临床推理:一年轻男子亚急性发作痉挛性肢体麻痹
做出评论
看到评论
摘要
脑白质营养不良是一组罕见的神经退行性疾病,通常在婴儿期出现认知、运动和协调障碍的可变组合。成人发病的病例更为罕见,即使是经验丰富的神经学家也常常面临诊断挑战。在这里,我们提出了一个44岁男性亚急性和快速进展性痉挛性截瘫的病例,其大脑MRI显示白质异常与脑白质营养不良的诊断相一致。我们讨论如何应用简化的诊断算法来区分获得性白质脑病与白质营养不良,以及如何深入研究白质疾病的基因检测迷宫。在我们的患者中,我们诊断出了一种可治疗的疾病,其早期识别对于防止严重的神经恶化至关重要。
第一节
一名44岁男性,非血亲父母所生,在发病4个月后出现亚急性起病和快速进行性行走困难,需要使用一根拐杖,并伴有尿失禁和勃起功能障碍。他患有常染色体显性多囊肾病,并伴有一种致病性变异PKD1遗传自他母亲。他的父亲在62岁时死于结直肠癌。先证者需要学校的教育支持,但能够获得中学学位。他有稳定的工作,定期参加举重锻炼。
症状出现18个月后在我们中心进行的第一次神经系统评估显示痉挛性肢体麻痹需要拐杖行走。下肢无力为中度(根据医学研究委员会对髂腰肌和胫骨前肌的评分,双侧为4级),并有痉挛标记(双侧修正Ashworth评分= 3)。痉挛性截瘫评分量表为26分。无明显肌肉萎缩或肌肉束。四肢深腱反射活跃(3+),双侧均有Hoffman和Babinski征象。上肢、脑神经、感觉功能均正常。
第二节
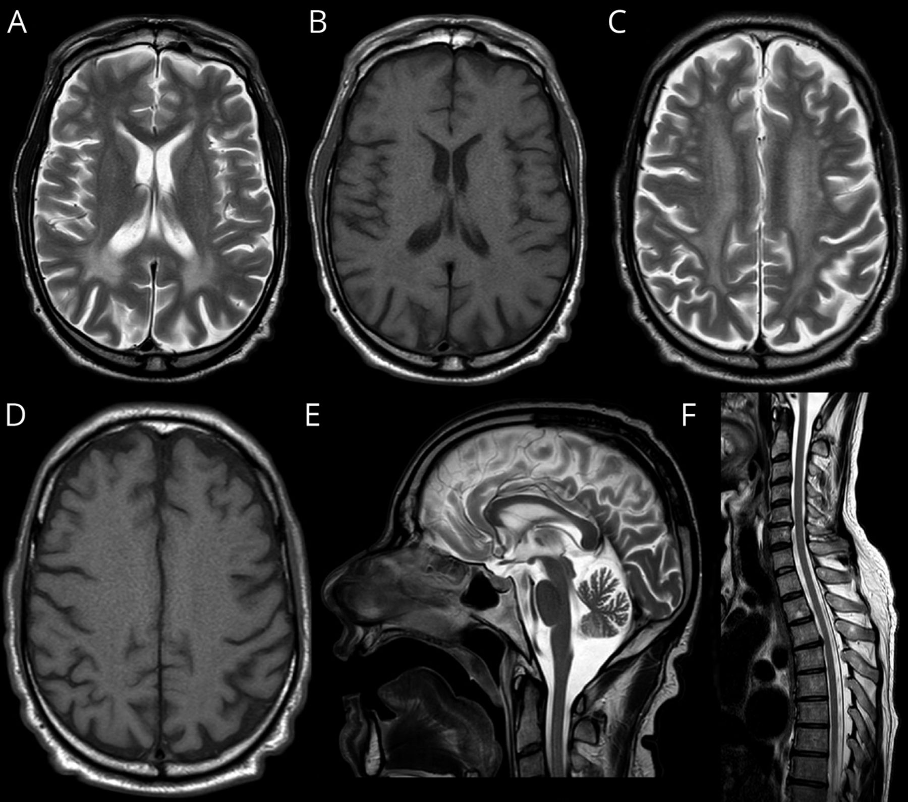
首先,由于痉挛性截瘫伴有上肢的快速反射,因此进行脊髓MRI检查,以确定该水平可能存在的颈髓病或其他结构性病变,结果正常(数字).随后行脑MRI,显示广泛的T2高信号累及深部,主要是后部,白质(WM),相应的T1信号轻度低信号,皮质下u纤维和胼胝体保留(数字).轻度小脑萎缩也存在。MR光谱(MRS)未见异常峰。由于慢性肾脏疾病,没有注射钆造影剂。
显示t2加权(A, C)和t1加权(B, D)基底神经节(A, B)和半卵圆椎体(C, D)水平轴向MRI扫描的面板。广泛对称的T2高信号(A, C)主要累及枕顶叶白质,对应T1轻度低信号(B),皮质下u型纤维和胼胝体保留。(E) t2加权矢状MRI扫描显示轻度蚓状小脑萎缩。(F)脊髓t2加权矢状MRI扫描。
神经电图显示轴突感觉和脱髓鞘运动多发性神经病。脑电图显示全身性背景θ变慢。眼科检查正常。
第三节
在我们的患者中,痉挛性截瘫的亚急性和侵袭性过程可以排除WM疾病的获得性原因,即炎症、毒性/代谢性和肿瘤性病因。1神经系统表现似乎与伴发性疾病无关PKD1疾病时,即使肾功能下降,血压也得到很好的控制。
某些结构(u型纤维、胼胝体、脊髓和并置WM)的对称、汇合和保留与多发性硬化症的诊断不一致。2JC病毒相关的进行性多灶性白质脑病也不太可能,因为我们的患者从未受到免疫抑制。3.
药物滥用(海洛因和甲醇)和暴露于放疗/化疗(5-氟尿嘧啶和甲氨蝶呤)均可引起融合性、对称性WM异常1;然而,这种病因在我们的患者身上是不可信的。
原发性中枢神经系统淋巴瘤和脑胶质瘤病可引起广泛的脑WM异常。4前者脑MRI表现为T1低信号,T2等至低信号,增强清晰,常表现为胼胝体交叉。4脑胶质瘤病是一种罕见的至少累及3个脑叶的肿瘤,可见微小的肿块效应和强化。我们患者的长期病史使得这两种假设都不太可能,即使在没有对比增强图像的情况下。
任何亚急性起病和进行性WM障碍的初始诊断工作应包括艾滋病毒、梅毒、乙型/丙型肝炎、结核病、JC病毒的血清学检查,寻找自身免疫性抗体、血乳酸、叶酸和维生素B12,以及CSF检查寻找寡克隆带。1这些检测结果都是阴性的。
此外,还应考虑到可能是后天或遗传的脑小血管疾病。获得性心脏病通常与长期暴露于心血管危险因素有关;相反,大脑常染色体显性动脉病伴皮层下梗死和白质脑病(CADASIL/NOTCH3),常染色体隐性脑动脉病伴皮层下梗死和白质脑病(CARASIL/HTRA1), IV型胶原蛋白/COL4A变异和法布里病/杯子代表遗传形式的病因。5在脑小血管疾病中,脑MRI最初显示多灶性、双侧斑片状WM异常,随后在疾病过程中合并至合并WM病变。然而,基底神经节、丘脑和脑干常受影响,梯度回波和敏感性加权扫描常可见微出血。5所有这些特征在我们的案例中都没有。
因此,融合的、双侧的、对称的幕上WM异常提示一种遗传性WM疾病,即白质营养不良。
第四节
成人发病的白质营养不良可能具有非特异性表现,包括认知能力下降、痉挛和共济失调的可变组合。6,7大多数脑白质营养不良是缓慢进展的,但有些形式可能突然出现,如脑肾上腺白质营养不良/ABCD1和消失的白质/EIF2B.脑肾上腺白质营养不良立即被正常水平的血浆超长链脂肪酸、促肾上腺皮质激素和皮质醇排除,而消失性白质疾病被认为不太可能,因为在我们的患者中,神经系统恶化之前没有感染或头部创伤,且脑MRI未显示空泡性白质病。1,6
尽管下一代测序(NGS)技术具有优势,但在成人发病的白质营养不良的诊断工作中,一些鉴别线索仍然是基本的(表格),因为某些形式与标准NGS检测不到的主要基因组结构重排有关。常染色体显性成人发病白质营养不良,其特征为早期自主神经异常合并痉挛,与基因复制有关LMNB1,只能通过多重连接依赖探针扩增检测。我们专门在我们的病人身上寻找,结果是阴性的。1
成年性脑白质病,轴突球体和色素胶质1型或2型,由常染色体显性变异引起CSF1R或AARS2,分别也可能进展迅速:两种形式的特征都是非常小的、对称的钙化,脑CT能更好地发现,主要位于额顶皮层下WM,基底神经节保留。8同样,在我们的患者中,正常的大脑CT使这种情况不太可能发生。
如果T2/FLAIR WM高信号是弥漫性的,T1图像中对应的信号是等信号、轻度低信号或高信号,而脱髓鞘疾病中WM始终显示低信号T1信号,则提示中枢神经系统低髓鞘化。9最常见的低髓鞘性脑白质营养不良,Pelizaeus-Merzbacher病由于复制PLP1由于这是一种极其严重的x系脑白质营养不良,通常是非常早发的形式,在脑MRI上具有特征性的tigroid模式和特殊的扭转性眼震,因此没有进行研究。10同样,正常的MRS引起脑干和脊髓的白质脑病与升高的乳酸(由于DARS2变体)不太可能。9
除了血浆中超长链脂肪酸水平外,其他容易在外周血或尿液中进行的代谢测试可能有助于鉴别诊断伴有周围神经病变的痉挛性残障的成人发病白质营养不良,包括半乳糖脑苷酶、糖原分支酶和白细胞中的芳基硫酸酯酶活性(在Krabbe病、成人多葡聚糖体病和异染性白质营养不良中,由于基因的变异,白细胞活性降低GALC,GBE1,ARSA / PSAP分别);血清胆固醇(脑神经黄色瘤病升高,由于CYP27A1变种);促性腺激素和游离睾酮(均在戈登·霍姆斯综合征中减少,由于POLR3变种);而同型半胱氨酸(在亚甲基四氢叶酸还原酶缺乏症中升高,由于MTHFR变异)。1,6,7,11所有这些测试在我们的病例中都是正常的。
通过针对白质营养不良的定向重测序面板进行的初步诊断NGS方法给出了阴性结果。因此,进行了临床外显子组,鉴定出2个致病变异多环芳烃C . 842c >T p.(Pro281Leu),遗传自其母亲;C . 143t >C p.(Leu48Ser),可能遗传自已故的父亲。分子诊断为苯丙酮尿症(PKU),血浆高苯丙氨酸血症(1592 μmol/L)确诊。12在一个月的四氢生物蝶呤(BH4),开始低苯丙氨酸饮食,在3个月的随访中,患者的运动表现趋于稳定。13
讨论
PKU,也称为苯丙氨酸羟化酶(PAH)缺乏症(OMIM #261600),是一种罕见的常染色体隐性先天苯丙氨酸代谢错误。12多环芳烃负责将苯丙氨酸转化为酪氨酸。患有PKU的婴儿出生时是正常的,但如果不加以治疗,必然会出现智力障碍、癫痫、异常行为和精神症状。12PKU主要影响脑WM,因为相关的高苯丙氨酸血症改变了形成髓磷脂的脑脂质的合成。在意大利,我们的患者出生15年后,即1992年,在全国范围内实施了强制性的、基于人群的新生儿血液筛查。13
大多数PKU患者是不同PAH致病变异体的复合杂合子,主要是误义改变,预计会损害PAH酶活性。13遗传异质性和复合杂合导致PAH缺乏症具有广泛的表型谱,其中轻度PKU患者可对BH有反应4.12因此,PAH基因分型和基因型-表型研究可能有助于预测对BH的反应性4,可替代低苯丙氨酸饮食。12在我们的病例中,这两种变体都与经典(55%)和轻度(45%)的PKU形式相关14;然而,轻度、晚发性临床表现和预测的BH4C . 143t >C变异的灵敏度支持BH的选择4作为第一治疗方案,其缺乏反应转移到低苯丙氨酸饮食治疗。15
对于PKU,特定治疗的可用性可能改善症状和/或防止疾病进一步进展,12,13因此,神经学家应该意识到,在发达国家,在建立PKU筛查项目之前出生的个体和来自发展中国家的移民中,未诊断的成人性PKU仍然可能发生。总之,血浆氨基酸图应作为进展性白质脑病的诊断标准之一。
研究资金
作者报告说没有针对性的资金。
信息披露
作者报告没有披露与手稿相关的信息。去首页Neurology.org/N全面披露。
鸣谢
作者感谢Glen W. McWilliams教授和Stephanie Efthymiou博士修改了手稿的英文形式。
附录的作者
脚注
去首页Neurology.org/N全面披露。作者认为相关的资金信息和披露(如果有的话)将在文章末尾提供。
提交并经外部同行评审。处理编辑是Whitley Aamodt,医学博士,公共卫生硕士。
- 收到了2022年4月5日。
- 最终接受2022年9月20日。
- ©2022美国神经病学学会首页
参考文献
信件:快速在线通信
需求
如果你要上传关于文章的信件:
您必须在六个月内更新您的披露:http://submit.首页neurology.org
您的合著者必须发送一份完整的出版协议表格来首页(对于主要/通讯作者不需要填写以下表格即可),然后再上传您的评论。
如果你在回复一篇关于你最初撰写的文章的评论:
您(和共同作者)不需要填写表格或检查披露,因为作者表格仍然有效
并适用于信件。
提交规格:
- 文章必须少于200字,参考文献少于5篇。参考文献1必须是你所评论的文章。
- 投稿者不得超过5人。(例外:原作者回复可以包括文章的所有原作者)
- 只可提交发稿日起6个月内发表的文章。
- 不要冗余。在提交之前阅读文章上已经发布的任何评论。
- 提交的意见在发表前须经过编辑和编辑审查。


