临床理由:66岁女性进行性脑病和双侧听力丧失
第一节
66岁女性,无病史,因急性认知改变到院外就诊,表现为漫无目的的徘徊、好斗行为和难以理解的言语,病程超过3天。抵达时,她有认知改变、精神运动性躁动、无法服从命令,但没有虚弱、构音障碍、感觉丧失、视力丧失或脑膜。生命体征和实验室检查包括全血细胞计数、综合代谢组、尿液分析和尿液药物筛查均正常。
第二节
没有局灶性特征的脑病患者通常经历局限于大脑半球的疾病。这类患者的鉴别诊断很广泛,最常见的病因是代谢性、毒性、感染性、炎症性、肿瘤性、血管性或癫痫性。对这种鉴别的初步研究应包括头部CT、脑MRI、脑脊液研究和脑电图。头部CT显示左侧颞顶区5毫米低密度病变,周围水肿,可能有出血。脑部钆增强MRI显示双侧多灶性皮质下水肿和点状皮质出血,累及脑岛、中央前回、顶叶和外侧颞叶。脑脊液检查显示每mcL有3个白细胞(正常0-5个/mcL),葡萄糖74 mg/dL(正常50-80 mg/dL),蛋白质49 mg/dL(正常15-60 mg/dL), HIV和VDRL试验阴性,脑膜炎/脑炎小组,自身免疫/副肿瘤小组,细胞学未显示。24小时脑电图显示全身性减慢。外院因疑似自身免疫性脑炎给予经验性类固醇及IVIg治疗,认知改善后出院。
四周后,她以类似的脑病发作并伴有明显的双侧听力损失来到我们医院。在检查中,她表现出双侧皮质功能障碍,其特征是格拉斯哥昏迷评分为11分,弗兰克惊吓性肌挛累及双侧上、下肢远端,并且无法服从命令。除了严重的双侧听力损失外,脑神经是完整的。她表现出下肢张力增加,四肢对有害刺激反应退缩。
第三节
听力损失可以是传导性的,表明外耳或中耳有损伤,也可以是感觉神经性的,表明耳蜗、耳蜗神经或中央听觉通路有损伤。传入中枢听觉通路虽然复杂,但它的主束始于耳蜗核,投射到对侧上橄榄核和外侧小丘,继续到下丘,然后是丘脑的内侧膝状体,最后到达颞叶上表面的初级听觉皮层。考虑到双侧听力损失的急性发作,传导性听力损失的可能性很低。她没有服用任何耳毒性药物,因此不可能出现耳毒性耳聋。
表现为脑病和急性/亚急性听力损失的患者仅限于一些疾病,如Susac综合征、血管内淋巴瘤、中枢神经系统原发性脉管炎(PACNS)和神经结节病。脑磁共振造影显示,右侧初级听觉皮质增强,耳蜗神经和耳蜗无增强,左侧上橄榄核和左侧听觉丘脑皮质通路有液体衰减反转恢复(FLAIR)高信号,提示患者急性耳聋为皮质性耳聋(图1).除了谷氨酸脱羧酶-65 (GAD65)抗体水平为0.03 nmol/L(正常值< 0.02 nmol/L)外,其他脑脊液评估包括淋巴瘤的细胞学检查、快速进展性脑病的快速进展性quic检查、神经结节病的ACE检查、脱髓鞘疾病和神经结节病的低克隆带检查以及自身免疫/副肿瘤检查均为阴性。48小时脑电图评估间歇性癫痫发作,显示无三角刷的全面性迟缓。
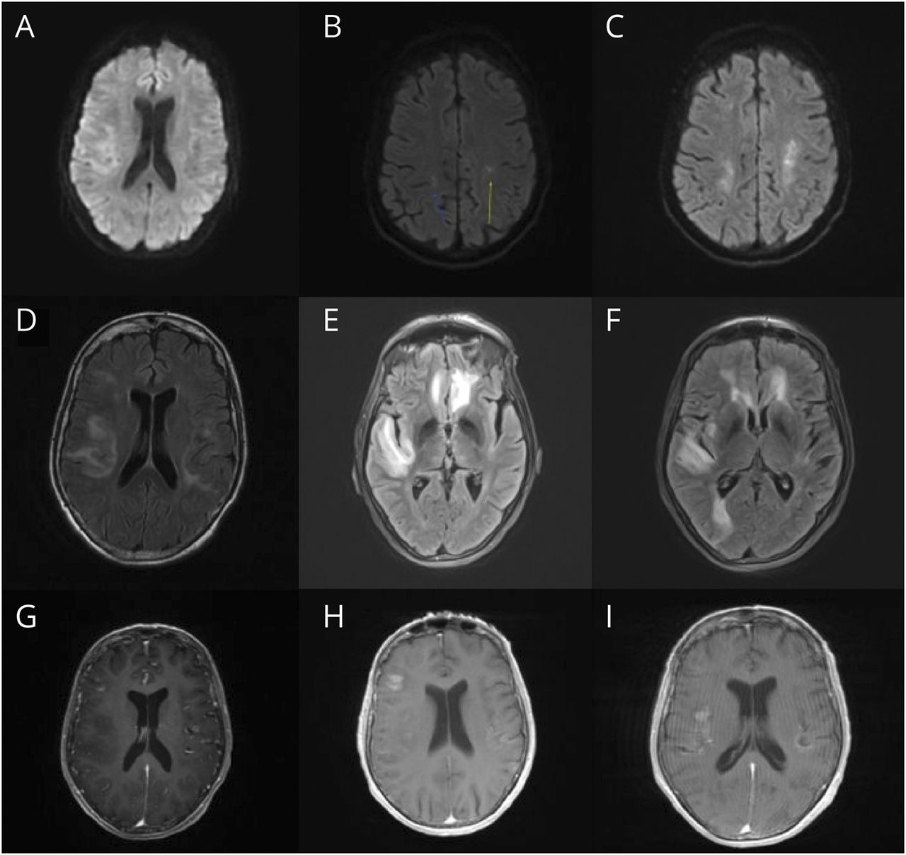
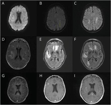
(A - C)第一次(A)、第二次(B)和第三次入路(C)的DWI图像显示扩散受限病灶进展,最终累及双侧额叶、双侧顶叶、右侧枕叶和右侧小脑半球。(D - F)第一次(D)、第二次(E)和第三次入路(F)的T2/FLAIR图像显示,皮层下信号增强主要发生在双侧额顶叶岛叶和外侧颞叶,并逐渐累及双侧直回、双侧额顶叶区、右侧额外侧区、右侧岛叶、右侧颞叶、右侧枕叶和右侧小脑半球。(G - I) T1第一次(G)、第二次(H)和第三次(I)入路造影后图像显示钆增强的进展,最终累及双侧直回、双侧额顶区、右侧额外侧区、右侧岛、右侧颞叶、右侧枕叶和右侧小脑半球。
第四节
考虑到双侧听力损失和MRI结果,我们考虑了Susac综合征。然而,在MRI或视力丧失上,胼胝体未见典型的“雪球”病变。头部和颈部的CT血管造影正常,考虑到她没有头痛和局灶性缺陷,不太可能出现PACNS。由于脑脊液中ACE的缺失和结节病的全身性表现,结节病的可能性较小。眼科未发现任何提示小动脉血管炎的眼部表现。她先前使用类固醇治疗有所改善,因此她第二次静脉注射类固醇治疗5天,感觉有所改善。她的读、写、理解和流利说话的能力完好无损,但她的听力在出院时并没有改善。
不幸的是,她没有继续做神经病学检查。首页她5周后返回,认知能力下降,表现为定向障碍、失步和躁动。再次行脑部钆扫描MRI以评估T2/FLAIR高信号幕上和幕下分散区进展及相关异常强化的间期变化。右小脑半球新发T2/FLAIR高信号病变伴含铁血黄素沉积。眼科进行了荧光素血管造影,未发现动脉闭塞、血管炎、玻璃斑块或提示Susac综合征的小动脉分割。
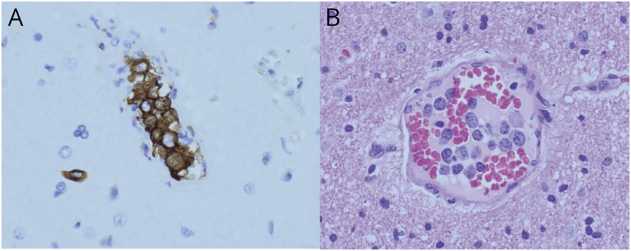
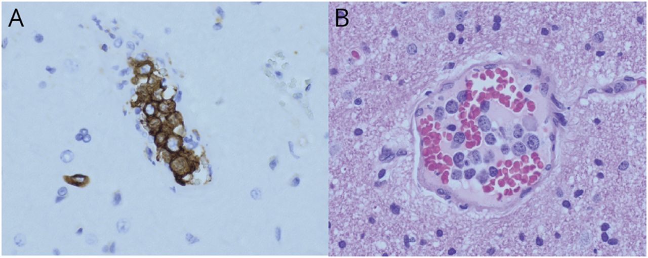
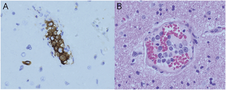
有淋巴瘤的嫌疑。鉴于最近的类固醇疗程和缺乏皮肤表现,我们没有进行皮肤活检。神经外科医生对右额叶的强化区域进行了脑活组织检查(图2).活检结果与血管内大b细胞淋巴瘤一致。她接受了大剂量甲氨蝶呤治疗。尽管接受了治疗,她的认知能力仍在继续恶化。她在确诊后1个月内死亡。
讨论
血管内大b细胞淋巴瘤(IVLBCL)是一种罕见的大细胞淋巴瘤亚型。关于IVLBCL的大部分知识来自个案报告和小病例系列。随着意识的提高,IVLBCL在死前诊断的频率越来越高。在缺乏及时治疗的情况下,IVLBCL是普遍致命的。
特定的分子特征将IVLBCL与典型的大b细胞淋巴瘤区分开来。IVLBCL细胞表达参与细胞迁移和粘附内皮的分子,但缺乏参与外渗的分子。1,-,3.淋巴细胞增殖局限于小血管的管腔,导致IVLBCL的多种临床表现,使诊断具有挑战性,没有高度的怀疑和代表性的组织样本。
IVLBCL的症状可表现为发烧、盗汗和体重减轻,并累及皮肤、中枢神经系统、周围神经系统、脾脏、肝脏和肾脏等器官。最常见的症状通常与中枢神经系统(39%-76%)和皮肤(17%-39%)受累有关。1,2,4症状是由小动脉微梗死形式的组织损伤引起的。在IVLBLC中有1例假性susac的报告。该患者的临床病程与发病时脊髓病的存在和随后的急性前庭综合征不同。5
IVLBCL的诊断是通过鉴定受影响组织的小血管内的大淋巴瘤细胞来进行的。在同时累及皮肤和中枢神经系统的情况下,由于该手术的侵入性较小,应考虑在脑活检之前进行皮肤活检。6,7一项研究调查了16例疑似IVLBCL患者随机皮肤活检的有效性,报告了100%阳性的预测价值,但也注意到诊断前使用低可溶性白介素-2受体和类固醇可能导致假阴性结果。7常见的影像学表现包括SWI序列易感性改变的异常模式和T2/FLAIR序列的消失或迁移模式,本例患者均有此表现。8,-,10腰椎穿刺尚未被证明对诊断有帮助。常见的脑脊液表现既不敏感也不特异性,包括细胞增多和轻度蛋白升高。虽然在颅内脉管系统内发现淋巴瘤细胞,但仅具有神经系统表现的IVLBCL患者在血清或脑脊液细胞学检查中很少或未发现淋巴瘤细胞。连续腰椎穿刺可增加细胞学上发现淋巴瘤细胞的敏感性。
累及中枢神经系统的IVLBCL的主要治疗是甲氨蝶呤(MTX)为基础的鞘内化疗和R-CHOP的组合。鞘内MTX也可用于诊断时未累及中枢神经系统的患者的预防。11,12诊断时累及中枢神经系统预后较差。孤立性皮肤受累的病例有最好的治疗反应和生存率。在一项病例报告、病例系列和回顾性研究的荟萃分析中,包括有和没有中枢神经系统受累的患者,接受含利美昔单抗化疗的患者,通常由6个周期组成,显着延长生存期(450天对180天)。13在中枢神经系统受累的患者中,很少有R-CHOP治疗后长期缓解的病例报告。
我们报告一例IVLBCL引起人们对这种罕见淋巴瘤的关注。通过适当的皮肤或脑部活检进行早期诊断并开始治疗可能会带来更好的结果。该病例不同于任何其他有文献记载的病例报告,最初是复发,最终是脑病的进展过程,伴有急性发作的持续性双侧感音神经性听力损失,没有任何额外的全身表现。
研究资金
作者报告说,没有针对性的资助。
信息披露
作者未报告相关披露。去首页Neurology.org/N完整的信息披露。
附录的作者
脚注
去首页Neurology.org/N完整的信息披露。如果有,作者认为相关的资金信息和披露将在文章的末尾提供。
提交和外部同行评审。处理编辑是Whitley Aamodt,医学博士,公共卫生硕士。
- 收到了2022年1月25日。
- 接受最终形式2022年9月23日。
- ©2022美国神经病学学会首页
参考文献
信件:快速在线通信
-
读者回应:临床推理:66岁女性进行性脑病和双侧听力丧失
- 推基古陈,神经病学临床助理教授首页,英属哥伦比亚大学
- AseelAlsalem,首页神经内科住院医师PGY-3,英属哥伦比亚大学
- 新浪Marzoughi,首页神经内科住院医师PGY-4,英属哥伦比亚大学
提交日期为2022年12月18日
需求
如果你上传的是与文章有关的信件:
您必须在六个月内更新您的信息披露:http://submit.首页neurology.org
您的共同作者必须发送一份完整的出版协议表格来首页在您上传您的评论之前,员工(不需要主要/通讯作者,因为下面的表格就足够了)。
如果你是在回复一篇关于你原创文章的评论:
您(和共同作者)不需要填写表格或检查披露信息,因为作者表格仍然有效
并适用于信件。
提交规格:
- 投稿必须少于200字,参考文献少于5篇。参考文献1必须是你正在评论的文章。
- 投稿者不得超过5人。(例外:原作者回复可以包括文章的所有原作者)
- 只可提交6个月内发表的文章。
- 不要多余。在提交之前,阅读任何已经张贴在文章上的评论。
- 提交的评论在发布之前要经过编辑和编辑的审查。


