脑卒中后丘脑失语症患者丘脑皮质网络的参与
做出评论
看到评论
摘要
背景与目的理论认为丘脑脑卒中可能是因为连接的皮层网络功能障碍而导致失语。这考虑到大脑功能是在分布式网络中组织的,反过来,局部损伤可能导致网络障碍,如丘脑失语症。通过这项研究,我们研究了丘脑与特定丘脑皮质网络的整合是否构成了丘脑卒中后症状的基础。我们假设语言障碍患者的丘脑病变在功能上与语言和认知的皮层网络相连。
方法我们在急性或亚急性首次丘脑卒中患者的回顾性队列中结合非参数病变作图方法。使用非参数的基于体素的病变-症状映射来评估病变位置和语言障碍之间的关系。这种方法揭示了与那些没有感兴趣症状的患者相比,患者的受损区域更频繁。为了测试这些症状是否与一个共同的丘脑皮层网络有关,我们还进行了病变网络-症状映射。该方法使用来自健康参与者(n = 65)静息状态fMRI的规范连接组数据进行功能连接分析,病变部位作为种子。将语言障碍患者的病变依赖网络连通性与运动和感觉障碍患者作为基线进行比较。
结果共有101例患者(平均年龄64.1[14.6]岁,57例左侧病变,42例右侧病变,2例双侧病变)纳入研究。基于体素的病变-症状图谱显示语言障碍与左背中丘脑核病变损伤相关。损伤网络-症状映射显示,与感觉缺陷相比,语言与左侧额颞叶语言网络和双侧前额叶、脑岛-过眼、中线扣带和顶叶域-一般网络的更高的规范损伤依赖网络连接相关。与运动和感觉缺陷相关的病变在横跨前额叶、中枢前和中枢后皮层的感觉运动网络中表现出更高的病变依赖网络连通性。
讨论丘脑失语症与左侧背内侧丘脑核的病变有关,与用于认知控制的功能连接的左侧皮质语言和双侧皮质网络有关。这表明丘脑皮层网络功能障碍有助于丘脑失语症。我们认为在正常的区域网络和语言网络之间的低效整合可能导致丘脑失语症。
术语表
- 英航=
- Brodmann区域;
- 大胆的=
- blood-oxygenation-level依赖;
- 醉酒驾车=
- diffusion-weighted成像;
- 足球俱乐部=
- 功能连通性;
- 天赋=
- 流体衰减反演采收率;
- FWE=
- family-wise错误;
- 信号=
- 依赖病变的网络连接;
- LNSM=
- lesion-network-symptom映射;
- MNI=
- 蒙特利尔神经学研究所;
- ROI=
- 感兴趣地区;
- SPM12=
- 统计参数映射,版本12;
- VLSM=
- 基于体素的病变症状映射
丘脑卒中可引起各种症状,可能影响运动和感觉以及认知功能,如语言。在某些方面,这些语言障碍类似于左半球皮质性中风后观察到的语言障碍,被称为丘脑失语症。理论认为丘脑失语症是由连接的皮层网络功能障碍引起的。1这考虑到大脑功能是在分布式网络中组织的,反过来,局部损伤可能导致网络障碍,如丘脑失语症。迄今为止,这些理论都来自于小样本、健康人的成像或动物研究。1,-,4在缺乏来自更大人群的经验证据的情况下,丘脑对语言的功能贡献仍然是一个持续争论的问题,并对其融入认知和语言的皮质中心模型提出了挑战。从这个角度来看,该研究解决了一个临床相关的研究领域,该研究考虑到语言是在分布式网络中组织的,这些网络严重地参与了皮层下结构,反过来,考虑到它们的损伤可能导致网络障碍,如丘脑失语症。
根据病例系列和报告(参考表1),links.lww.com/WNL/C447),显性(左)丘脑各核的病变与语言障碍有关。这包括前核,最突出的是腹前核,腹外侧核,背中核和中心核,以及背外侧核和枕骨核。在丘脑病变后报告的高度可变的语言障碍(表1)中,有流利的输出伴随频繁的释义和理解障碍,不流利或自发言语输出减少,坚持和找词困难,言语流利性下降,不连贯的自发言语虚构和阅读障碍。除了其他认知执行缺陷外,还可能出现疾病感缺失。
尽管语言障碍和病灶位置之间存在明显的联系,但显性丘脑对皮层语言处理的间接影响一直受到青睐。这主要是基于没有失语症的健康人的丘脑核和涉及语言和认知控制的皮质区域之间的连通性。3.,5,-,7丘脑语言障碍的多样性随后被解释为更广泛的语言和认知网络随后功能障碍的结果,其中皮质激活被认为是由丘脑调节的,允许处理资源的分配。2,3.,5,-,8在这种情况下,症状出现在远离病变组织但与病变组织有功能连接的大脑区域的功能障碍,这一现象可被称为分离。9这转化为假设丘脑卒中可能导致失语症由于连接的皮层网络的语言和认知。然而,还没有系统地证明丘脑语言障碍是由丘脑核和皮层语言网络之间的功能断开引起的。
通过对丘脑病变患者的回顾性研究,我们旨在探讨丘脑失语症的神经基础。为了测试损伤位置和语言障碍之间的关联,以感觉和运动缺陷作为对照,我们首先使用基于体素的损伤-症状映射(VLSM)。在逐体素的基础上,它允许检查某些病变位置是否在统计上更频繁的患者与那些没有感兴趣的症状相比。10这种方法是基于这样的假设,即某些脑功能和症状在解剖学上局限于脑区域。然而,它在解释从解剖学或功能上连接的分布式网络的病变引起的症状方面的能力有限。因此,在第二步中,我们测试了与这些症状相关的病变是否映射在可能受分裂影响的不同功能网络上。为此,我们应用了病变网络症状映射(LNSM)方法,这是原始病变网络映射方法的改编版本。11,12该方法使用来自健康参与者静息状态fMRI的规范连接组数据进行功能连接(FC)分析,病变部位作为种子。根据与病变具有高度规范连通性的区域易受分裂的假设,比较所得到的病变依赖网络。13直接比较导致语言障碍的损伤依赖网络和导致其他症状的网络作为基线,从而使我们能够将丘脑失语症现象归因于特定的丘脑皮层网络。我们假设,丘脑皮层与左侧额颞叶语言网络和参与认知控制的双侧网络的明显连接模式与观察到的语言障碍有关。
方法
参与者
本研究中包括的所有患者都在2011年至2019年期间入住莱比锡大学医学中心。我们回顾性地根据包含关键字“丘脑”或“thalamisch”的放射学报告识别患者。thalamic)或“thalamo”,通过使用放射学报告(颅骨CT或MRI)的自动审查。进一步分析的纳入标准为(1)急性或亚急性缺血性,(2)首次丘脑卒中(3)患者年龄在18岁或以上。排除标准定义为(1)慢性,(2)非缺血性(如出血、肿瘤或转移),或(3)既往有其他卒中病变。根据影像学报告,我们也排除了(4)并发前循环病变或(5)严重微血管脑损伤(Fazekas scale >2)或相关脑萎缩的患者。此外,患有其他影响中枢神经系统的神经系统疾病(如痴呆和帕金森病)的患者被排除在分析之外。出血性或肿瘤病变不包括在内,因为周围的水肿和/或重组过程可能会削弱病变-症状的相关性。
感兴趣的中风症状评估
感兴趣的中风症状的评估是基于对符合纳入标准的所有患者的完整医疗报告的回顾性回顾。为此目的,详细回顾了所有与急性或亚急性事件相关的记录缺陷。作为中风常规护理的一部分,患者在入院后72小时内由主治医生反复检查。此外,所有患者在发病24小时内至少由训练有素的言语和语言治疗师、物理治疗师和职业治疗师进行一次评估,从而对中风症状进行相对可靠的筛查和完整的记录。由于丘脑卒中有时症状轻微且短暂,如果在急诊科初次神经学检查、反复就诊或治疗期间至少记录一次症状,则认为存在症状。常规检查不进行定量语言测试,但如果怀疑有失语症,言语和语言治疗师会使用标准化仪器(失语症检查表)。14我们根据以下记录来解释语言障碍的存在:流畅性降低、自发说话或找词困难、语言错乱、新词、词汇语义缺陷、命名或重复过程中的问题以及理解或阅读受损。构音障碍包括口齿不清或语速慢。运动缺陷包括所有有记录的运动障碍,如以下:肌肉张力改变(肌张力障碍或asterixis),协调障碍(如共济失调、运动障碍和运动障碍),站立和步态,或至少一个身体区域(面部、手臂或腿部检查时面部、内旋或向下漂移)的虚弱。感觉缺陷包括单侧触觉、疼痛或温度感觉异常,并报告至少1个身体部位感觉异常。
脑成像和病变描述
在临床常规CT或MRI上进行病灶划定。影像学检查通常在入院后的第一个小时内进行。在CT上没有病灶划分的病例中,在卒中发作后几天内进行MRI检查。在所有病例中,卒中症状的记录和用于病灶划定的影像学采集均在卒中发病后的前2周内进行。MRI扫描,包括扩散加权成像(DWI;体素大小1.8 × 1.8 × 3.0 mm3.)和流体衰减反转采收率(FLAIR;体素大小0.9 × 0.9 × 3.0 mm3.)图像是用西门子Magnetom Trio Tim以3特斯拉的电压获得的。ct采用飞利浦匠心128扫描仪获取,在数据采集期间,以1.25 mm的切片间隔重建所有扫描。用MRIcron描画病变15由一位审稿人(S.H.-R)对患者CT (n = 5)或MRI (n = 96)扫描的症状视而不见。所有病变图均由2名在脑卒中成像方面有经验的神经学家(A.S.和M.P.)监督,并用于归一化过程中的成本函数掩模。相应的CT和MRI扫描归一化到MNI152(蒙特利尔神经研究所)空间,并使用临床工具箱切片到1毫米各向同性体素16基于MATLAB (R2018b, The MathWorks Inc, Natick, MA)的SPM12 (v7487, Wellcome Trust Centre for Neuroimaging,伦敦,英国)。所得到的归一化参数也应用于本机空间病变图,然后用于MNI空间的进一步病变分析。
基于体素的病变-症状映射
为了检验病变位置与脑卒中症状之间的相关性,我们使用NiiStat软件进行VLSM17MATLAB (R2018b)。所有患者中至少10%的体素受损被纳入分析。我们对有或无相关症状(语言障碍、构音障碍、左右感觉或运动缺陷)的患者进行了二项数据的1尾Liebermeister检验,以检测组间差异。为了控制全家族误差(FWE)率,通过5000个随机排列获得了最大z分数的零分布。结果在体素水平上p(FWE) < 0.05时阈值。用丘脑核概率图谱进行解剖标记。18
Lesion-Network-Symptom映射
为了测试与感兴趣症状相关的病变是否映射在不同的脑功能网络上,我们应用了LNSM。该方法基于不相关健康对照的静息态fMRI数据。在这里,我们使用了来自公开的3特斯拉增强罗克兰样本的老年受试者的数据19(n = 65,平均年龄= 56岁,48%女性,85%右撇子,11%双撇子)。成像细节可以在参考。19.数据分析使用SPM12和内部工具,使用MATLAB (R2018b),类似于之前出版物中详细描述的程序。11简而言之,为了考虑磁场饱和,前4次功能(回波平面成像)扫描被排除在进一步的分析之外。其余扫描的预处理包括对切片时间采集差异的校正、运动校正、t1 -协配准以及所有功能扫描的归一化到MNI空间。此外,所有功能图像都采用全宽全宽5 mm的各向同性高斯平滑核卷积,以考虑残留的解剖方差和提高信噪比。使用多元回归方法去除干扰变量解释的随时间变化的信号方差。有害变量为运动参数(作为一阶项和二阶项)和来自白质和脑脊液信号的前5个主成分(作为一阶项)。对剩余BOLD时间序列进行带通滤波(0.01-0.08 Hz)。感兴趣区域(ROIs)被定义为个体病变掩膜,在空间上局限于代表双侧丘脑的掩膜,并作为FC分析的种子。18FC计算为平均ROI时间序列与大脑中所有其他体素时间序列之间的fisher -transform Pearson相关系数。所得到的连通性图对所有患者进行平均,以获得每个患者的单个病变依赖网络。为了将病变依赖网络映射到症状,LNSM采用非参数置换检验。20.为了揭示患者组之间病变依赖网络的差异(例如,语言障碍与无语言障碍),2样本t为每个体素计算测试。最大集群范围的空分布(给定集群定义的阈值为p< 0.001)通过5000次随机分配组标签的统计检验得到。然后将初始测试结果(具有正确的组分配)在聚类范围上进行阈值,对应于p(FWE)在聚类水平上< 0.05。解剖标记使用神经成像实验室概率脑图集和MRIcron提供的Brodmann图。21,22
标准方案批准、注册和患者同意
根据联邦萨克森州的法律法规,这项回顾性研究不需要伦理委员会的批准(§34 Sächsisches Krankenhausgesetz)。在莱比锡大学医疗中心录取合同的法律基础上,患者或其法定监护人书面同意存储所有医疗数据。根据法律(§34 Sächsisches Krankenhausgesetz),允许医生出于科学目的处理其机构(莱比锡大学医学中心)内存储的医疗数据。
数据可用性
我们已经制作了所有支持我们发现的数据(标准化病变图,病变依赖网络,以及允许VLSM和LNSM的行为数据),我们可以通过FigShare (https://figshare.com/articles/dataset/Thalamic_Aphasia/19154153).本研究按照STROBE检查表进行报告。23
结果
人口统计学和临床特征
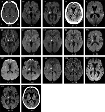
在报告回顾中确定的267例患者中,101例患者(64.1±14.6年;均值±标准差,女性40例,右撇子96例)符合纳入标准。左侧病变57例,右侧病变42例,双侧病变2例。从中风发作到记录相关中风症状的检查之间的平均时间为1.0天(SD 1.23;范围0-11天)。共有17名患者被发现有语言障碍(有关各自患者的详细缺陷描述和成像,请参见表1而且图1分别)。构音障碍48例,右侧运动障碍44例,左侧运动障碍32例,右侧感觉障碍34例,左侧感觉障碍37例。
基于体素的病变-症状映射
所有病变均分布在后循环区,最大病变重叠于丘脑左腹外侧核(n = 24/101例患者)。图2一个).所有患者中,只有至少10% (n≥10)的体素受影响进行了后续的VLSM分析。因此,两个丘脑的部分(即最外侧、后缘和前缘)不能包括在分析中(图2 b).
(A)病变频率图:MRI叠加101例患者在MNI空间的病变重叠(ch2bet模板分布与MRIcron)。颜色条表示每个体素中病灶重叠的患者数量,热色表示该区域病变患者数量较多。最大病变重叠位于左腹侧核(MNI - 16, - 20,2;N = 24)。(B)在所有患者中,只有至少10% (n≥10)的受影响区域进行了基于体素的病变-症状映射分析。虚线标记丘脑边界。代表性轴向切片在MNI空间中,每个图像下方报告z坐标。蒙特利尔神经学研究所。
与无语言障碍的患者相比,VLSM发现左侧背中丘脑核(102体素,MNI:−12,−15,1)存在显著相关性。右侧运动和感觉缺陷分别与对侧(左)腹侧侧核(819体素,MNI:−17,−21,2)、腹侧侧核和后外侧丘脑核(660体素,MNI:−17,−20,3)相关。尽管与语言相关的区域在空间上与与右侧运动或感觉缺陷相关的区域分离,但后两者在腹侧核重叠(图3).左运动(871体素,MNI: 15,−17,4)和感觉障碍(894体素,MNI: 17,−19,3)在对侧(右)腹外侧和后外侧核中出现镜像模式。构音障碍未发现相关。将病变体积作为分析中不感兴趣的协变量添加,并没有改变结果(未显示)。
基于体素的病变-症状映射,对比语言障碍和运动或感觉缺陷患者的病变。所有分析均采用非参数Liebermeister试验,阈值为p(FWE) < 0.05。仅显示相应症状的重要体素。与没有语言障碍的人相比,语言障碍与左侧中背丘脑核(青色)有关。运动和感觉缺陷分别映射到对侧腹侧(红色)和后外侧(绿色)丘脑核。这些突起部分重叠于丘脑腹侧核。每个比较包括所有101例患者,例如,右侧运动缺陷患者与所有其他无右侧运动缺陷的患者(包括左侧运动缺陷患者)进行比较。解剖标记基于人类丘脑的概率图谱,显示为基于体素的病变-症状映射结果旁边的参考;虚线标记丘脑核的边界。18代表性轴向切片位于MNI空间;z坐标报告在图像下方。FWE =家庭错误;蒙特利尔神经学研究所。
Lesion-Network-Symptom映射
与无语言障碍的患者相比,有语言障碍的患者与左侧额上回和中回(Brodmann区[BAs] 9、10、46,对应于前额叶前部和背外侧皮层)和左侧顶叶下(BA 39、40)的病变依赖网络连通性(LNC, p(FWE)在聚类水平上< 0.05)显著升高。此外,这些患者的左脑岛和左额下回(BA 45,47)、左颞下回和中颞回(BA 20,21,37)以及左背中核和前丘脑核(BA 20,21,37)有较高的LNC。图4一而且表2).所有显著的聚类均位于左半球。相比之下,与无构音障碍的病变依赖网络患者相比,构音障碍与右上上回和中额回(ba9,10,46) LNC相关。此外,它与双侧扣带皮层(BA 24,32)、右侧补充运动皮层(BA 6)和左侧小脑(BA 6)的高LNC有关。图4 b而且表2).
与没有相应症状的患者相比,病变网络-症状映射分析确定了较高规范的病变依赖网络连通性与(A)语言障碍、(B)构音障碍和(C)右侧感觉或(D)运动缺陷相关的区域。在网络功能障碍导致损伤的假设下,这些网络中的功能相互作用有助于语言、发音、感觉和运动的生成和感知。对于所有分析,统计推断基于随机排列检验阈值,在聚类水平上p(FWE) < 0.05。突出显示的体素在组之间有显著差异。与其他丘脑卒中症状患者相比,语言障碍患者的左半球下额叶和颞叶语言网络和区域一般网络(岛叶、前额叶和顶叶皮层)显示出明显更大的病变依赖网络连通性。坐标:MNI空间。FWE =家庭错误;蒙特利尔神经学研究所。
与语言和构音障碍相比,左右感觉和运动缺陷出现了不同的FC模式。为了更好地进行比较,下面我们将重点关注右侧赤字(左侧赤字,见图1,表2,links.lww.com/WNL/C447).与无右侧感觉缺陷的患者相比,双侧前额叶皮层(额中上回和眶额皮层)、中央后/上顶叶皮层(左>右)、左侧中央前皮层以及左侧腹侧丘脑核和枕部的LNC更高。此外,这些患者表现出较高的双侧小脑(右>左)、颞叶和中颞叶连通性(图4 c和表2)。与没有右侧运动缺陷的患者相比,发现了非常相似的模式。它包括较高的LNC与双侧额中回和上回,左侧中央前和中央后皮层,左侧腹侧丘脑核和枕状核。此外,双侧基底神经节(壳核和苍白球)和右侧小脑(图4 d表2)。
补充信息中显示了LNC的其他分析,其中我们限制了仅存在语言障碍的患者与具有其他症状的患者的比较(图2和表3)。links.lww.com/WNL/C447).
讨论
在这项观察性研究中,我们系统地调查了101例丘脑卒中患者的大回顾性队列中局灶性缺血性病变引起的症状。VLSM和LNSM的应用使我们不仅可以评估病变的局部影响,还可以评估病变对功能连接网络的影响。在接下来的文章中,我们将首先讨论和比较我们的发现,并根据以往的研究,不同的病变位置与丘脑失语症相关。其次,我们将解释与语言障碍相关的LNC,并将其与已知的功能性大脑网络进行评估。第三,我们将在分布式丘脑皮层网络的框架内扩展讨论丘脑失语症的可能机制。
本研究中纳入的患者病变分布于两侧丘脑。与其他研究一致,根据外侧丘脑是最常见的病变位置,腹外侧丘脑最常受影响(图2一个)。24,25前内侧和后内侧丘脑核受影响的频率较低,因此不能纳入VLSM分析,尽管先前的病例研究结果确实报告了这些核病变后的丘脑失语症(表1,links.lww.com/WNL/C447).作为主要结果,VLSM分析显示,与构音障碍和运动或感觉障碍患者相比,语言障碍患者左侧背中核更容易受损(图3青色)。后两种表现出与语言障碍在空间上截然不同的损伤-症状关联(图3(红色和绿色),并与先前腹侧和后外侧核参与运动和躯体感觉的证据一致。26虽然与报告左侧背中核累及丘脑失语症的病例研究一致(表1),但我们的研究基于更大样本的体素统计比较提供了额外的经验证据。基于任务的功能磁共振成像也证实了左背中核对语言的贡献,表明其在语义记忆和词汇-语义处理中发挥作用。27,-,29几项功能磁共振成像研究显示,丘脑峰分布的可视化显示左侧靠近中线区域(板内核和背中核)的聚类,特别是在感知挑战性的语言任务中。30.这可能与执行功能和语言功能之间的重叠有关,例如,对语言处理的领域一般执行控制可能会随着任务需求的增加而发挥作用。31,-,33在这种情况下,认知的调节作用一般被归因于背中核。8,34与此一致,一项损伤研究表明,丘脑背中核损伤导致执行功能受损,并提出丘脑皮质网络功能障碍导致这些缺陷。35在接下来的文章中,我们将讨论LNSM结果,特别关注涉及语言和领域通用网络的识别模式。
LNC的解释是基于以下假设:与病变具有较高规范连通性的区域更容易发生导致功能障碍的离散。13根据有和无感兴趣症状的患者之间LNC的统计学差异,症状归因于FC较高的区域。因此,这种方法间接地描述了神经回路的功能交互作用为语言、发音、感觉和运动的生成和感知服务的网络。
对于语言障碍,LNSM显示较高的LNC被识别为左半球额颞叶语言网络(左额下回,下回和中颞回),涉及语音及其含义的表示和处理。36此外,高LNC的区域可以被总结为域-一般网络(双侧前额叶腹侧和背外侧,中间和前扣带,岛盖皮层和顶叶皮层)也有助于语言障碍。语言能力需要语言网络和参与高阶认知过程的双边域通网络之间的联合处理。31,32反映本研究中确定的所有区域,区域一般网络可以进一步细分为由背外侧前额叶、中扣带皮层、楔前叶和下顶叶组成的额顶叶网络和包括前前额叶皮层、前岛叶、额盖和前扣带皮层的扣带-盖叶网络。37这两个网络分别为认知控制的启动和维持提供了灵活的资源,从而涉及有效的认知加工。38尽管关于这种执行控制操作如何影响语言处理的争论仍在继续,但从分布式语言网络中的多个集中选择与任务或目标相关的网络组件(例如,访问一个单词的含义或产生一个语音序列)可以被认为是由域通用网络介导的一种机制。31,39,40与局灶性病变引起的功能障碍的概念相一致,这些网络中的中断处理很可能有助于丘脑卒中后观察到的语言障碍。特别是丘脑失语症的特征是言语不连贯和不连贯41可能被认为是与语言有关的结构未受损的皮层区域之间处理控制较少的结果。在我们无法为潜在的神经元过程提供实验证据的限制下,在接下来的文章中,我们综合了已确定的丘脑皮层网络如何协同贡献语言的发现。
为了讨论丘脑失语症的潜在机制,必须首先考虑丘脑中枢对皮层信息处理的影响。集线器被定义为高度连接的网络组件,它在功能网络中组织的多个区域之间协调处理,支持复杂的行为。42丘脑就是这样一种皮质沟通的中介。这被认为依赖于高阶丘脑核(例如,背中核),它们从不同的皮层区域接收和发送传入和传出投影。43最近对中风患者和健康人的研究表明,背中核与几个不同的网络有相同的连接,这些网络具有不同的功能。35,44除了扣带-过眼和额顶神经网络外,这些神经网络还包括默认模式神经网络。对默认模式网络组织的分析也表明,不同的部分与认知控制网络和语言网络相关,为背侧丘脑和这些网络之间的功能整合提供了进一步的潜在联系。45这也强化了这样一种观点,即背中核是一个连接功能网络的连接中枢,从而支持不同输出的集成。46这种普遍的解释符合当前的概念,即语言交流需要在核心左额颞叶语言网络之外的多个系统集成。47例如,内侧和前额叶网络的激活控制着语言核心区域语义表征的目标导向选择。48将丘脑加入到这一网络视角中,我们认为丘脑失语症的一个潜在机制可能被视为未受损的区域网络和语言网络之间低效整合的结果。
在我们的研究中,我们还描述了丘脑损伤依赖网络的发音,感觉,和运动。由于我们的研究重点是丘脑失语症,因此纳入非语言障碍主要是为了建立对照组,以证明语言损伤网络是特定的。的确,与构音障碍和感觉和运动缺陷相关的病变依赖网络与前面描述的外侧丘脑-小脑-感觉运动功能网络一致。49这包括辅助运动、中枢前和中枢后,以及顶叶关联皮质,其中的活动可以归因于(发音)运动的计划和生成以及多模态感觉(反馈)信息的整合。然而,我们也发现病变依赖网络的背外侧、腹侧和腹内侧前额叶区域部分重叠,不仅导致语言症状,也导致非语言症状。在感觉运动处理过程中,与执行控制、注意力和突出性网络的交互允许最佳的、上下文适当的、目标导向的行为,与此概念一致,这些网络可能对语言是非特异性的。50,51
这项研究确实有一些局限性。首先,语言障碍的频率约为17%,高于以往对丘脑失语症的研究。52这可能是由于这样一个事实,即语言障碍被认为是存在的,即使只记录在首次神经系统检查入院急诊科。尽管回顾性研究设计没有标准化的语言测试,但这使我们能够包括所有可能患有丘脑失语症的患者,包括短暂性缺陷。这样,我们就不太可能漏掉任何语言障碍。然而,其他机制可能在早期瞬态缺陷中发挥了作用。例如,低灌注可能存在于比最终丘脑病变更广泛的区域。特别是,它可能影响了中颞皮质,它也属于后循环,在记忆中起作用。此外,语言评估的准确性可能会受到其他限制说话能力的因素的影响,例如警惕性降低或混乱。在前瞻性研究设计中,有可能对丘脑失语症进行更详细的描述和基于测试的有效诊断。然而,考虑到丘脑中风和失语症的低频率,足够数量的患者进行网络分析将需要多中心方法。
其次,我们的分析没有涵盖前内侧和后内侧(枕侧)丘脑核,之前报道了它们在语言处理中的作用(表1,links.lww.com/WNL/C447).更多的病例将需要更完整的病变覆盖丘脑。然而,在我们的LNSM分析中,左前丘脑显示出更高的FC,病变导致语言障碍。这表明,背中核和前核都可能在一个共同的功能网络中对语言做出贡献。然而,关于前核和枕核参与语言的经验证据还需要进一步的验证研究。
第三,假设FC较高的区域更容易发生神经衰弱,我们只提供了间接证据来证明这一由神经传入缺失导致的神经元活动减少的生理现象。然而,我们的结果与左侧丘脑前部和内侧卒中的病例研究一致,这些研究直接通过相似的左半球皮层区域的低代谢来证明心衰(表4,links.lww.com/WNL/C447).此外,还需要进一步的研究来证明,在丘脑失语症患者中,构成语言障碍病变网络的区域是否确实显示出FC的改变。
最后,我们提出的丘脑对语言的贡献的神经元机制并没有完全得到基本临床和病变数据的实证支持。相反,它应该激励未来的研究系统地研究丘脑皮质整合对不同功能网络的影响及其对语言功能的影响。
总之,我们的研究缩小了中风和健康人类之间的差距,这些研究提出了基于症状的丘脑对语言的贡献,丘脑皮层激活的相关证据,以及与语言处理相关的连通性。我们证明,与语言障碍相关的左丘脑病变与语言和域一般网络相比,与此症状无关的病变具有更高的规范连通性。我们认为这是皮层网络功能障碍的间接证据,这些大脑网络有助于丘脑失语症。它还强调了丘脑对语言处理的重要性,表明分布式皮层语言网络关键地参与了这个皮层下结构。我们提出,丘脑损伤后的各种语言障碍的一个主要机制可以概括为由丘脑皮层网络功能障碍引起的原本未受损的执行控制皮层网络与语言之间的低效整合。
研究资金
作者报告说没有针对性的资金。
信息披露
作者报告没有披露与手稿相关的信息。去首页Neurology.org/N全面披露。
附录的作者
脚注
文章处理费由作者出资。
去首页Neurology.org/N全面披露。作者认为相关的资金信息和披露(如果有的话)将在文章末尾提供。
↵*这些作者作为第一作者对这项工作做出了同样的贡献。
提交并经外部同行评审。处理编辑是José梅里诺,医学博士,哲学硕士,FAAN。
- 收到了2022年3月19日。
- 最终接受2022年9月14日。
- 版权所有©2022由Wolters Kluwer健康公司代表美国神经病学学会出版。首页
这是一篇开放获取的文章,根据创作共用署名-非商业性-非衍生品许可4.0 (CC BY-NC-ND),该网站允许下载和分享论文,前提是论文被正确引用。
参考文献
信件:快速在线通信
需求
如果你要上传关于文章的信件:
您必须在六个月内更新您的披露:http://submit.首页neurology.org
您的合著者必须发送一份完整的出版协议表格来首页(对于主要/通讯作者不需要填写以下表格即可),然后再上传您的评论。
如果你在回复一篇关于你最初撰写的文章的评论:
您(和共同作者)不需要填写表格或检查披露,因为作者表格仍然有效
并适用于信件。
提交规格:
- 文章必须少于200字,参考文献少于5篇。参考文献1必须是你所评论的文章。
- 投稿者不得超过5人。(例外:原作者回复可以包括文章的所有原作者)
- 只可提交发稿日起6个月内发表的文章。
- 不要冗余。在提交之前阅读文章上已经发布的任何评论。
- 提交的意见在发表前须经过编辑和编辑审查。


