珍珠和Oy毕业的优先:阵发性运动运动困难由于丙酮酸脱氢酶缺乏症
文摘
阵发性运动运动障碍可能是由于能量代谢紊乱,如过剩缺1、丙酮酸脱氢酶缺乏或线粒体呼吸链紊乱。一个4岁男孩发烧痉挛出现阵发性肌张力障碍的历史,由运动引起的,或发生在休息的时候。额外的调查证明pallidal hyperintensities对大脑核磁共振和低CSF葡萄糖。丙酮酸和乳酸升高。临床表现结合神经影像学异常和生化概要(乳酸/丙酮酸比率)丙酮酸脱氢酶缺乏症的线索,可治疗代谢紊乱,神经系统的演示。
珍珠
阵发性运动运动障碍和癫痫发作可能是由于能量代谢紊乱,如过剩缺1、丙酮酸脱氢酶(PDH)不足或线粒体呼吸链紊乱。
异常MRI大脑Leigh-like特性线粒体呼吸链中可以看到障碍和丙酮酸脱氢酶缺乏症。
乳酸丙酮酸(L / P)比例高于20暗示线粒体呼吸链的功能障碍。一个正常的L / P比值(< 20)被视为PDH不足。
Oy-sters
低葡萄糖CSF值不一定等同Glut-1缺乏症。问题:水平在90%的情况下,它是< 40 mg / dL。
CSF乳酸升高反对Glut-1缺乏症。
病例报告
一个4岁男孩面对法术不平衡与矛盾的姿态的双腿。他出生在术语的产前和围产期的历史。张力减退和斜头畸形指出在他的第一年的生活,后者用头盔疗法改善。他温和的运动发育迟缓但陷入与职业和物理治疗发展的里程碑。他演示了语言和社会情感的正常发展。在他生活的第二年,他开发了一个上肢姿势震颤和有3个简单的发热性癫痫。初步调查包括脑电图,基本的实验室,和神经影像nondiagnostic,和他不是治疗。
在4岁时,他面对的步态困难,体现“把”的一个或两个脚,有时不平衡。每天事件会发生,可能会持续几分钟。最一致的触发是运动(例如,步行一英里上学),但他们也可能发生在疲劳的设置,饭后,或没有一个清晰的原因(视频1)。偶尔,他表达了一个模糊前驱的感觉,这预示着一集。卡马西平是尝试经验但是是无益的,恶化他的震颤。
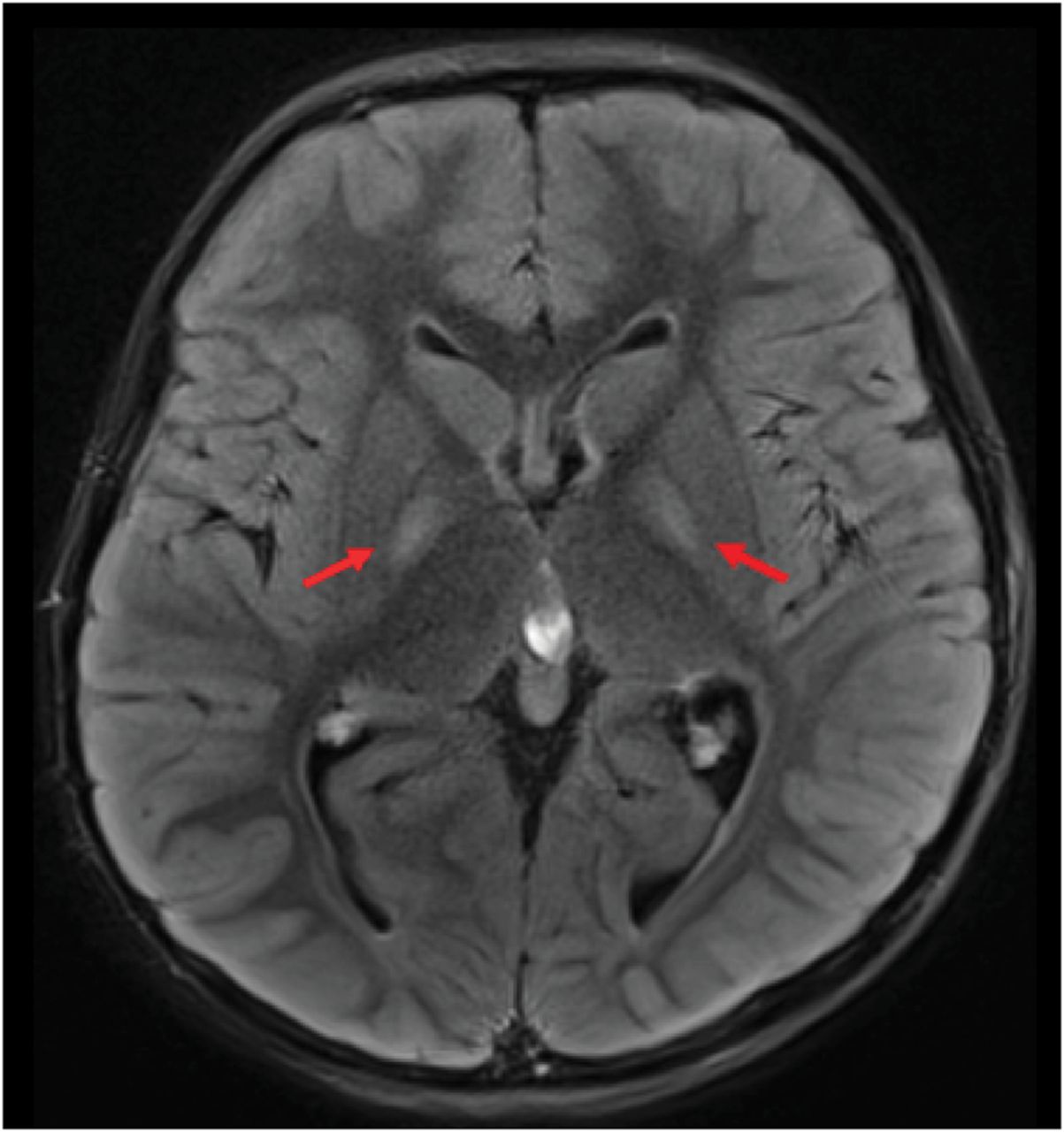
考试,他是一个营养良好的男孩,适龄的语言、电机、和社交技巧。姿势和上肢动力学震颤,无需测距不准或步态共济失调。剩余的神经系统检查是正常的。没有矛盾的事件引发了在考试期间或之后短暂的运动。家族史是著名的兄弟姐妹孤独症和多动症;母亲发作二次脑震荡。实验室调查显示海拔血清丙酮酸(0.221更易/ L)。CSF葡萄糖低在48 mg / dL, CSF乳酸(4.3更易/ L)和丙氨酸(59.2 mcmol / L)升高;完整的实验室数据详细eTable 1 (links.lww.com/WNL/C656)。大脑MRI是著名的双边pallidal hyperintensities (图1)。
基于存在的阵发性运动运动障碍(PED),能量代谢障碍被怀疑。怀疑是最高GLUT-1缺陷综合症(GLUT1-DS)。因此,有针对性的基因面板包括SLC2A1基因被命令。然而,它导致负面的。后续测试全外显子组测序和线粒体DNA分析表明致病变种PDHA1(NM_000284.4: c。214 c > T;p.R72C),产生丙酮酸脱氢酶复合体缺陷的诊断。病人被放在硫胺素和修改后的生酮饮食,完全改善他的法术。
讨论
阵发性运动运动障碍
PED是一种遗传异质性疾病的特点是反复发作突然,不随意运动引起的长时间运动。1患者可能会出现肌张力障碍和/或舞蹈病的变量组合,尤其是四肢的参与这项运动。2确切的运动量需要诱导攻击并不明确。典型的攻击持续时间可能范围从30分钟;然而,这是非常变量。3
致病性的杂合突变SLC2A1基因,编码GLUT1-DS GLUT-1运输车和病因的,PED的主要原因。3,4然而,鉴别诊断包括其他几个条件。这种情况下特别相关的是涉及脑能量代谢紊乱,如丙酮酸脱氢酶缺乏症和线粒体功能障碍。后者因为致病突变可以发生在核基因与线粒体相关的功能(如ECHS1 HIBCH,和PRKN)或mtDNA突变导致呼吸链缺陷。3,5,- - - - - -,7此外,致病性变异与其他阵发性运动障碍相关基因亚型(例如,PRRT2,MR1,ADCY5,TBC1D24)或多巴胺赤字(例如,GCH1PED)也可以出现,通常与额外的现象学。
诊断陷阱和技巧
这个案例说明了几个陷阱在调查的上下文中PED怀疑GLUT1-DS患者。首先,成像异常并不GLUT1-DS一般。更改兼容Leigh-like综合症(对称T2 /天赋hyperintense基底神经节和/或脑干病变),如中描述图1可以看到,在丙酮酸脱氢酶缺乏症和线粒体疾病。
第二,一个人应该小心获取和解读CSF葡萄糖的结果,特别是边缘。儿童hypoglycorrachia绝对截止值为变量,所以比较值和age-normative可以信息数据。绝对CSF葡萄糖值<第十百分位年龄血清和CSF /葡萄糖比值≤25百分位为GLUT1-DS年龄有歧视性的价值,与发表的参考价值。8在这种情况下,CSF血糖水平(48 mg / dL)高于第十百分位年龄截断值、血清和CSF /葡萄糖比值(0.56)正是在第25百分位。值得注意的是,在大约90%的确认GLUT1-DS情况下,绝对CSF葡萄糖值< 40 mg / dL。
最后,CSF乳酸水平可能是有益的。在这种情况下,CSF乳酸升高,而在GLUT1-DS,它通常是低或正常。8,9海拔在乳酸中可以看到各种各样的收购或遗传疾病。乳酸有助于鉴别诊断,丙酮酸(L / P)比可以的。10与葡萄糖,同时血清测量可能是有用的作为对比。
丙酮酸是糖酵解的副产品(图2)。根据稳态平衡,细胞质的一小部分丙酮酸是可互换的丙氨酸或乳酸。然而,细胞呼吸,丙酮酸必须运送到线粒体基质,它是通过丙酮酸脱氢酶酶转化为乙酰辅酶a的复杂(PDH)。乙酰辅酶a,然后进入三羧酸循环,产生减少等价物等烟酰胺腺嘌呤核苷酸(NADH)、高能电子载体的电子传递链(等)。多个后续电子转移等发生氧化磷酸化过程中最终产生ATP,与氧作为最终电子受体和生成NAD +作为一个副产品。
三个替代丙酮酸代谢的途径进行描述:转换成乙酰辅酶a通过PDH进入三羧酸循环,转换通过丙氨酸脱氢酶和丙氨酸转换通过LDH乳酸。LDH酶是胞质浓度的影响NADH和NAD +。电子传递链的功能障碍时,NAD +生产下降。NADH / NAD +均衡的转变推动生产乳酸,增加乳酸/丙酮酸比例。关键:(1)糖酵解酶、丙氨酸转氨酶(2),(3)丙氨酸脱氢酶、乳酸脱氢酶(4),(5)丙酮酸脱氢酶,(6)克雷布斯循环电子传递链(7)、(8)NAD / NADH航天飞机。缩写:过剩:Glut1运输车;MPC:线粒体丙酮酸载体;未经中华人民共和国交通部:Monocarboxylate运输车。创建BioRender.com。
通常情况下,丙酮酸和乳酸在细胞胞浆的平衡。这种平衡是受NADH和NAD +的浓度的影响。如果氧化磷酸化功能失调(因为基因缺陷或收购等),有一个减少NAD +生产。这个转变细胞NADH / NAD +均衡和驱动产生更多的乳酸,乳酸脱氢酶酶随之增加L / P比值。许多作者的L / P比值> 20通常是指示性的缺陷等。6另一方面,PDH缺陷不影响细胞NADH / NAD +平衡。因此,当有功能障碍的PDH酶,有比例累积的丙酮酸和乳酸,L / P比值往往是正常的(即。,< 20)。在我们的病人,血清乳酸/丙酮酸比例是7。
PDH
PDH情结是一种酶组装不同的亚基编码的PDHA1,PDHB,DLAT,PDHX,‘基因。在84%的情况下,缺陷是由突变引起的PDHA1基因,X-linked-although女性可能存在疾病取决于X失活的模式。临床上,PDH不足影响主要是中枢神经系统发现先天性头小畸型,肌张力减退、癫痫、共济失调和可变程度的发育迟缓。虽然可能会有一些临床重叠,4先前确定临床表型亚型:阵发性运动症状和发育迟缓;情景性共济失调与周围神经病变;急性脑干和基底神经节功能障碍与“Leigh-Like MRI和脑病新生儿乳酸酸中毒,面部先天性畸形、脑畸形。7然而,PDH障碍的临床表现是扩大与下一代测序。大脑MRI显示胼胝体发育不全,和双边基底神经节有或没有脑干T2 hyperintensities,暗示Leigh-like模式。代谢异常如增加等离子体丙酮酸、乳酸酸血症,CSF乳酸增加,可以出现代谢性酸中毒。6,7
治疗PDH的不足可以通过补充其代数余子式硫胺素或试图增强PDH的物质活动,如二氯醋酸和phenylbutyrate。6,11,- - - - - -,13此外,生酮饮食可以提供一个替代能源供应到大脑。在我们的病人,因为建立一个修改后的阿特金斯饮食法(一种限制较少的生酮饮食),他的阵发性症状明显改善。他的颤抖与普萘洛尔控制。
这种情况下是临床表现型通知进行预测的重要性和后续测试的概率在订购时和解释基因检测结果,这熊直接影响管理。CSF血糖水平低导致锚定的认知偏差,忽视临床线索如神经影像和实验室异常。它还突显出,确认PED的分子诊断,基因型通知处理。例如,生酮饮食可以在PDH缺陷和GLUT-1 DS是有用的,但是可以在患者致病突变是有害的ECHS1。6,14,15其他遗传阵发性运动障碍可能受益于特定的治疗方法,如卡马西平PRRT2突变,咖啡因ADCY5和左旋多巴GCH1和PRKN。
研究资金
作者报告没有针对性的资金。
信息披露
作者报告没有披露相关的手稿。去首页Neurology.org/N为充分披露。
承认
我们愿意承认这个病人的家庭,谁请提供同意视频发布。
附录的作者
脚注
去首页Neurology.org/N为充分披露。资金信息和披露认为作者相关的,如果有的话,年底提供这篇文章。
提交和外部同行评议。处理编辑器是居民和其他部分编辑Whitley阿莫德医学博士英里。
- 收到了2022年9月1日。
- 接受的最终形式2023年1月19日。
- 188金宝搏官网登录
引用
- 1。↵
- 埃罗R,
- Stamelou米,
- 当天C,等
- 2。↵
- 3所示。↵
- DantiFR,
- InvernizziF,
- 莫洛尼我,
- GaravagliaB,
- NardocciN,
- 圭G
- 4所示。↵
- 5。↵
- Olgiati年代,
- Skorvanek米,
- 表示“四”米,等
- 6。↵
- 7所示。↵
- 8。↵
- 利恩工作组,
- 威夫类风湿性关节炎,
- KamsteegE-J,
- 雅伯H,
- Verbeek毫米,
- Willemsen马
- 9。↵
- 10。↵
- SaudubrayJ-M,
- 费利克斯先生,
- 沃尔特J
- SaudubrayJ-M,
- 费利克斯先生,
- 沃尔特J
- 11。↵
- Vyas以及年代,
- JauhariP,
- SankhyanN,
- SinghiP
- 12。↵
- Bhandary年代,
- AguanK
- 13。↵
- 14。↵
- 15。↵


