2023年7月18日
;101 (3)
居民和其他部分
教学实验:由于JC病毒颗粒细胞Neuronopathy小脑萎缩
临床综合征不同于经典的PML
第一次出版2023年2月20日,
DOI: https://doi.org/10.1212/WNL.0000000000207155
卡洛斯Silva-Rosas
的神经病学与神经外科(C.S.-R。首页,G.A.,A.Q.-R.), Clinical Hospital of University of Chile, Santiago de Chile; Royal Free London NHS Foundation Trust (H.A.-L.); and Department of Clinical and Movement Neurosciences (H.A.-L.), UCL Queen Square Institute of Neurology, United Kingdom.
加布里埃尔Abudinen
的神经病学与神经外科(C.S.-R。首页,G.A.,A.Q.-R.), Clinical Hospital of University of Chile, Santiago de Chile; Royal Free London NHS Foundation Trust (H.A.-L.); and Department of Clinical and Movement Neurosciences (H.A.-L.), UCL Queen Square Institute of Neurology, United Kingdom.
阿隆索Quijada-Riquelme
的神经病学与神经外科(C.S.-R。首页,G.A.,A.Q.-R.), Clinical Hospital of University of Chile, Santiago de Chile; Royal Free London NHS Foundation Trust (H.A.-L.); and Department of Clinical and Movement Neurosciences (H.A.-L.), UCL Queen Square Institute of Neurology, United Kingdom.
希瑟Angus-Leppan
的神经病学与神经外科(C.S.-R。首页,G.A.,A.Q.-R.), Clinical Hospital of University of Chile, Santiago de Chile; Royal Free London NHS Foundation Trust (H.A.-L.); and Department of Clinical and Movement Neurosciences (H.A.-L.), UCL Queen Square Institute of Neurology, United Kingdom.
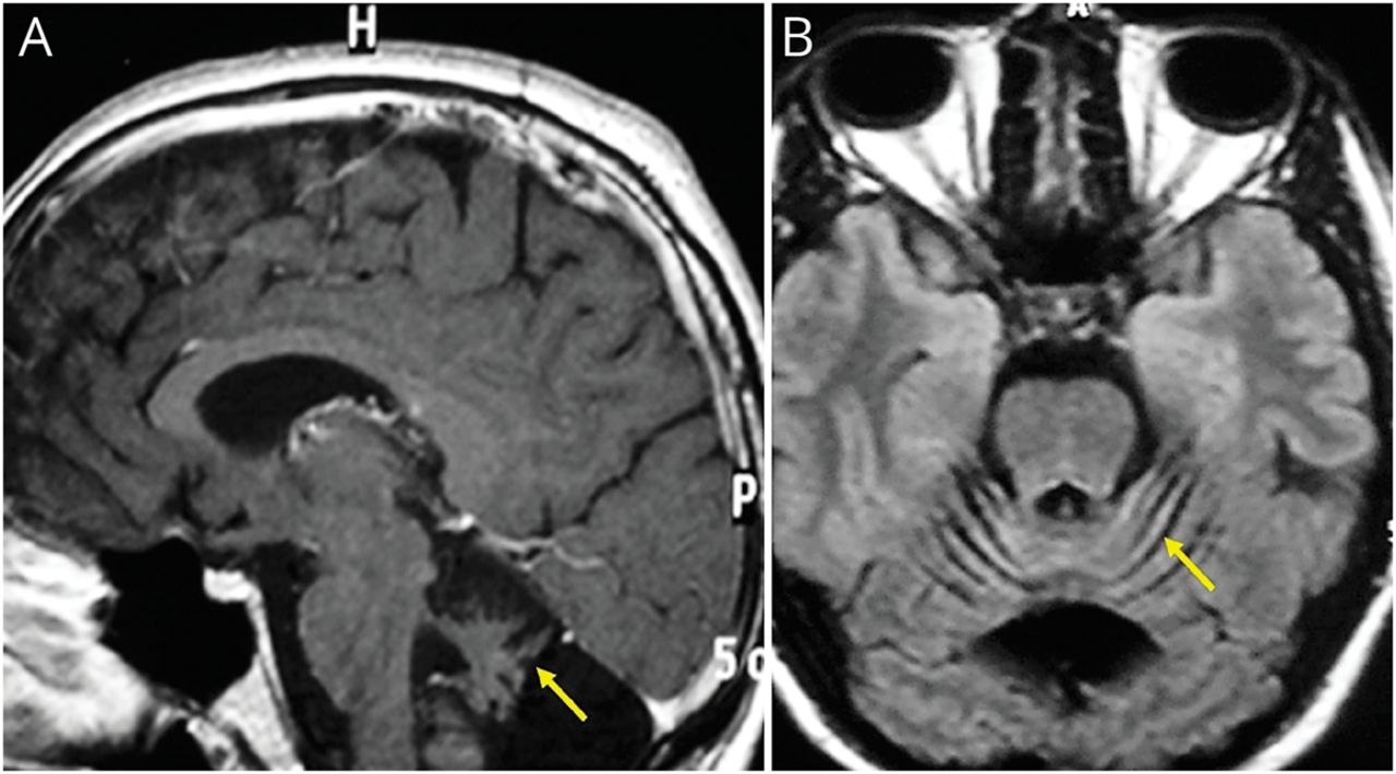
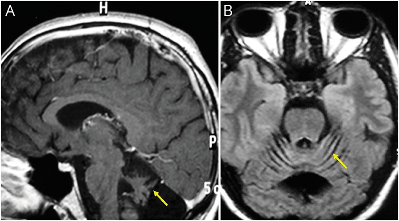
34岁的西班牙人与艾滋病毒感染没有治疗(CD4 20 /μL,病毒载量1.9/106拷贝/毫升)提出了4个月的眩晕、共济失调、扫描演讲符合pancerebellar综合症。核磁共振扫描(图)表明小脑萎缩。脑脊液显示正常细胞计数、蛋白质和葡萄糖水平,不反应的性病研究实验室测试。脑脊液PCR负了巨细胞病毒、水痘带状疱疹1型和2,巴尔,约翰·坎宁安和疱疹病毒6,但阳性(JC)病毒。JC病毒颗粒细胞neuronopathy (GCN)被诊断。JC病毒变异可能很少感染小脑颗粒神经元而不是少突胶质细胞在典型的渐进多焦点的脑白质病与白色物质参与。1,2鸡尾酒疗法(齐多夫定、拉米夫定、依法韦伦)立即开始,在12个月里,轻微的症状改善MRI扫描持平。临床医生应该怀疑JC病毒株感染生产GCN艾滋病患者小脑萎缩症状2和开始HAART promptly-immune调整炎症综合征通常不是一个问题在孤立的情况下JC病毒之下。
作者的贡献
c . Silva-Rosas:起草/修订手稿的内容,包括医学写作内容;在数据的采集主要作用;研究或设计概念;数据的分析和解释。g . Abudinen:研究或设计概念;数据的分析和解释。答:(Quijada-Riquelme研究或设计概念;数据的分析和解释。h . Angus-Leppan:研究或设计概念;数据的分析和解释。
研究资金
没有针对性的资金报告。
信息披露
作者报告没有相关的信息披露。去首页Neurology.org/N为充分披露。
附录的作者
脚注
去首页Neurology.org/N为充分披露。资金信息和披露认为作者相关的,如果有的话,年底提供这篇文章。
提交和外部同行评议。处理编辑器是居民和其他部分编辑Whitley阿莫德医学博士英里。
*这些作者的贡献同样这项工作。
- 收到了2022年10月19日。
- 接受的最终形式2023年1月20日。
- 188金宝搏官网登录


