跳转到主要内容
广告
  • 首页Neurology.org
  • 期刊
    • 首页
    • 临床实践
    • 教育
    • 遗传学
    • 神经免疫学和神经炎症
  • 在线部分
    • 首页神经学视频杂志俱乐部
    • 多样性,股本,包含(一些)
    • 首页神经学:临床实践加速器
    • 实践的嗡嗡声
    • 当前实践
    • 居民和同伴
    • 无国界
  • 188app官网下载
    • COVID-19
    • 争议和辩论
    • 健康差异
    • 信息图
    • 188app下载地址
    • 零假设
    • 188app苹果
    • 话题无所不包的
    • 188app下载
    • UDDA修订系列
  • 188bet官网app网址
  • 芝加哥商品交易所
  • 关于
    • 关于期刊
    • 联系我们
    • 188app
  • 作者
    • 提交新的手稿
    • 提交修改后的手稿
    • 作者中心

高级搜索

主菜单

  • 首页Neurology.org
  • 期刊
    • 首页
    • 临床实践
    • 教育
    • 遗传学
    • 神经免疫学和神经炎症
  • 在线部分
    • 首页神经学视频杂志俱乐部
    • 多样性,股本,包含(一些)
    • 首页神经学:临床实践加速器
    • 实践的嗡嗡声
    • 当前实践
    • 居民和同伴
    • 无国界
  • 188app官网下载
    • COVID-19
    • 争议和辩论
    • 健康差异
    • 信息图
    • 188app下载地址
    • 零假设
    • 188app苹果
    • 话题无所不包的
    • 188app下载
    • UDDA修订系列
  • 188bet官网app网址
  • 芝加哥商品交易所
  • 关于
    • 关于期刊
    • 联系我们
    • 188app
  • 作者
    • 提交新的手稿
    • 提交修改后的手稿
    • 作者中心
  • 家
  • 最新文章
  • 最新一期
  • 过去的问题
  • 首页神经学视频杂志俱乐部
  • 居民和同伴

用户菜单

  • 订阅
  • 我的提醒
  • 登录

搜索

  • 高级搜索
首页
家
最广泛的阅读和高度引用同行评议的神经病学杂志上首页
  • 订阅
  • 我的提醒
  • 登录
网站的标志
  • 家
  • 最新文章
  • 最新一期
  • 过去的问题
  • 首页神经学视频杂志俱乐部
  • 居民和同伴

分享

2023年8月22日 ;101 (8) 居民和其他部分

珍珠和Oy-sters:特发性轨道与颅内炎症和Tolosa-Hunt综合症扩展

视图ORCID概要塞布丽娜余,视图ORCID概要推陈
第一次出版2023年4月25日, DOI: https://doi.org/10.1212/WNL.0000000000207368
塞布丽娜余
的眼科及视觉科学(林亭汝),神经学和分裂)(郭台强,医学院,英属哥伦比亚大学,加拿大温哥华。首页
医学博士
  • 在谷歌学术搜索找到这位作者
  • 在PubMed找到这位作者
  • 寻找作者在这个地点上
  • 塞布丽娜Yu ORCID纪录
推陈
的眼科及视觉科学(林亭汝),神经学和分裂)(郭台强,医学院,英属哥伦比亚大学,加拿大温哥华。首页
医学博士FRCPC
  • 在谷歌学术搜索找到这位作者
  • 在PubMed找到这位作者
  • 寻找作者在这个地点上
  • 推基古陈ORCID纪录
完整的PDF
引用
珍珠和Oy-sters:特发性轨道与颅内炎症和Tolosa-Hunt综合症扩展
塞布丽娜余,推基古陈
首页 2023年8月, 101年 (8) 371 - 374; DOI:10.1212 / WNL.0000000000207368

引用管理器格式

  • 助理
  • 书挡
  • 值得
  • 尾注(标记)
  • 尾注8 (xml)
  • 枸杞
  • Mendeley
  • 论文
  • RefWorks标记
  • Ref经理
  • RIS
  • Zotero
权限

做出评论

看到评论

下载
0

分享

  • 文章
  • 数据与数据
  • 信息与信息披露
加载

珍珠

  • Tolosa-Hunt综合征(黑色)的特点是steroid-responsive痛苦眼肌麻痹特发性肉芽肿性炎症的海绵窦,眶上裂或轨道。

  • 不属于特发性眼眶炎性疾病(iou),其中还包括轨道此病。

  • 视力损害区分病变的轨道顶端从海绵窦(视神经的参与)。

Oy-sters

  • 的诊断标准,但一个诊断排除;需要一个广泛的引起痛苦的眼肌麻痹的广泛的鉴别诊断。

  • Steroid-responsiveness不是特定于手,和患者需要长期监测和成像,以确保缓解。

  • 颅内扩展是罕见的但可能发生在解说和IOI。

病例报告

一个37岁的健康的人开发的逐渐进步,nonthrobbing,相当恒定的左颞和轨道疼痛超过4周。他没有任何畏光,声音恐惧症,恶心,呕吐,和没有颅自主症状如结膜充血、流泪,鼻塞、鼻液溢或听觉的压力。他最初看到在当地社区诊所和萘普生对待,阿莫西林,clavulinic酸假定鼻窦炎没有发烧。尽管完成7天的抗生素,他注意到进步的左眼疼痛和眶周的肿胀,之后两个星期,双目斜复视四面八方的目光,于是他提出了急诊室。他说没有视力丧失或其他局灶性神经系统症状。没有系统性症状或发烧。他最初经验与静脉注射抗生素治疗眶蜂窝组织炎的可能性在社区医院和中心转移到我们的进一步调查。

考试,他无热的生命体征正常,没有颈背的刚度。他是警报和面向,精神状态是不起眼的。有4毫米的奔袭突出(测量使用赫特尔镜头,右眼(OD) 21毫米vs左眼(OS) 25毫米100毫米)的基础,这是nonpulsatile无结膜充血或眼部散播。视力是OD 20/20和20/30操作系统。色觉是相等的双眼,没有主观红稀释。对抗性的视觉领域是满的。Fundoscopy显示正常出现视神经盘。左眼是hypertropic几乎完全离开眼肌麻痹四面八方的目光和正常右眼沉放(图1)。学生显示瞳孔大小不等,OD测量3毫米和5毫米OS的光,扩张到6毫米OD和8毫米OS在黑暗中(可能生理瞳孔大小不等,没有副交感失败),剩下一个微妙的瞳孔传入障碍。减少面部感官测试,他说在左前额针刺V1分布,否则正常。角膜反射双边在座。面部充满力量。舌头和小舌中线。剩余的考试是noncontributory-he正常强度、反射、感觉,协调四肢。集体,他检查符合左轨道顶端综合症基于单侧视神经病变的存在以及脑神经三世,四世,V1, VI参与和突出。

图1
  • 下载图
  • 打开新标签
  • 下载演示文稿
图1 眼球运动检查

眼球运动检查显示左突出,上斜眼,轻微的外斜视和完整的左眼肌麻痹与正常眼球运动。

MRI显示增强的眼外肌肉,轨道顶端,海绵窦、左颞柔脑膜(图2一个)。最初的血液工作没有系统性感染,炎症或恶性疾病。血液细胞计数、c反应蛋白在正常范围内。TSH受体抗体antithyroperoxidase抗体显示负面结果。血管紧张素转换酶、自身免疫性抗体(抗核抗体、蛋白酶3 antineutrophil胞质抗体和myeloperoxidase-antineutrophil胞质抗体),和血清补体水平显示负面结果。他有正常血清电泳面板没有单克隆乐队和正常免疫球蛋白和免疫球蛋白G (Ig)子类面板(包括IgG4水平)。艾滋病和梅毒血清学显示负面结果。CSF分析显示11白细胞/μL(91%淋巴细胞,无恶性细胞,正常的流式细胞术;ref 0 - 5)、蛋白质0.82 g / L (ref 0.15 - -0.45),葡萄糖3.0更易/ L (ref 2.3 - -4.1)和血管紧张素转换酶3 U / L (ref 0 - 3.1)。CT胸部、腹部和骨盆恶性肿瘤显示负面结果,纤维化或淋巴结病,镓扫描没有显示scintigraphic结节病的证据。

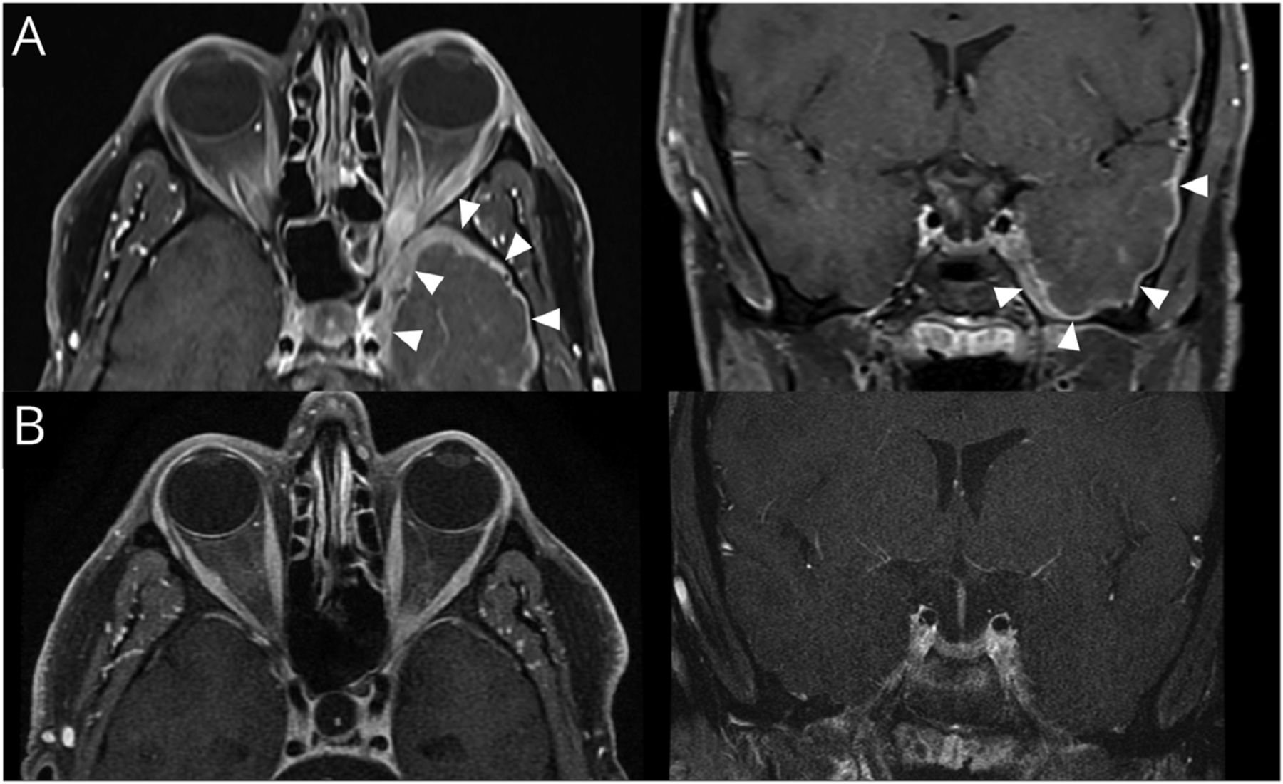
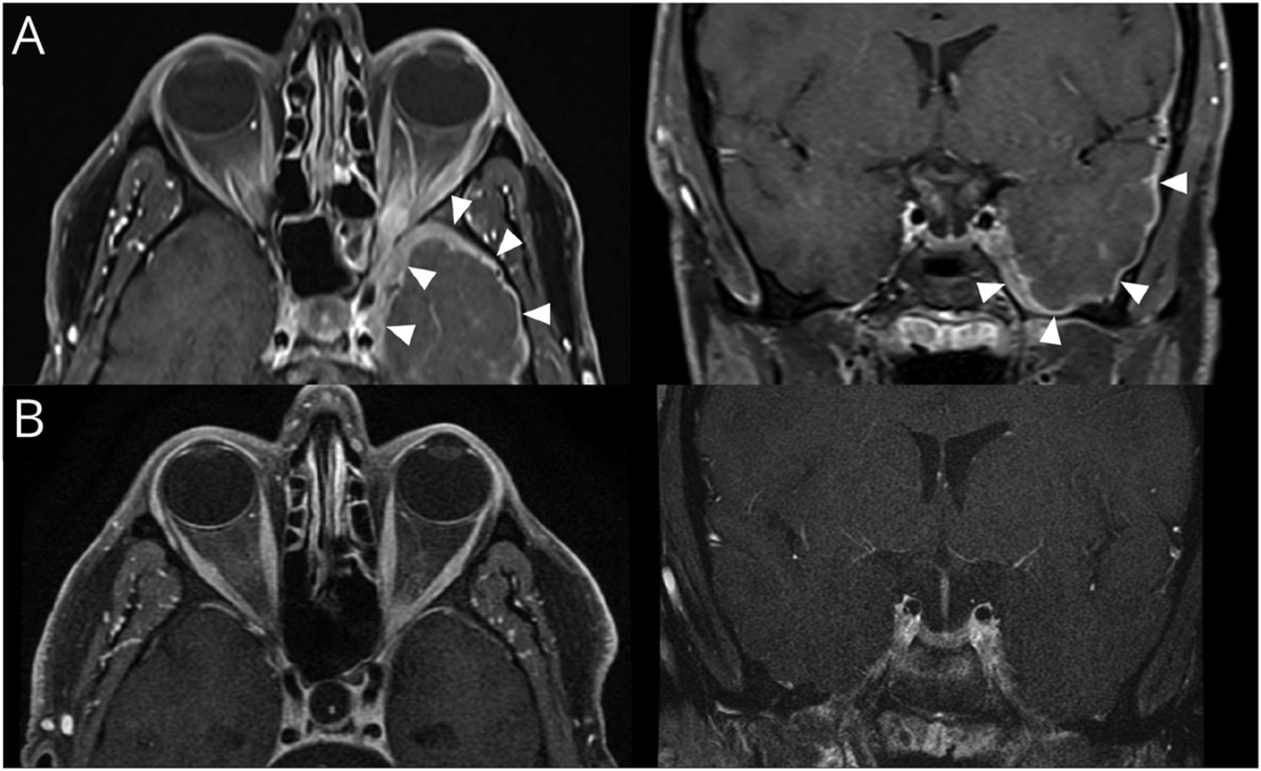
图2
  • 下载图
  • 打开新标签
  • 下载演示文稿
图2 核磁共振的轨道

(一)对比MRI显示增强的左外侧直肌和轨道顶端跟踪后方左侧海绵窦和颅内硬脑膜的扩展中颅窝(箭头)。(B)对比MRI 6个月后,与缓慢的锥度,大剂量糖皮质激素后显示完整的增强分辨率和横向腹直肌增大。

神经外科勘探被认为是过于侵入性,相反,一个左横向腹直肌和眶脂肪垫活检是追求,显示非特异性炎症变化和温和的慢性炎症,显示结果为恶性肿瘤,血管炎,或IgG4-related疾病。在医院,他的视力下降了20/200的操作系统,所以他对待经验1 g的IV脉冲连续5天每天甲强龙,紧随其后的是60毫克每日口服强的松。他的痛苦决定,他在临床及影像上逐步改善(图2 b)。在1月,突出和相对瞳孔传入障碍解决了持久的瞳孔大小不等。视力是OD 20/20和20/60 OS,他的眼外的动作都是在垂直距离,稍微受到绑架和内收的5%。强的松在慢慢锥形超过2个月。在24个月,他和20/20的双眼视力保持无症状,轻度残余exodeviation测量2棱镜度在正确的目光。

讨论

特点是steroid-responsive这么痛苦的眼肌麻痹特发性肉芽肿性炎症的海绵窦,眶上裂,或轨道,伴随颅神经麻痹。1,- - - - - -,3眼部运动颅神经(III、IV和VI)、视神经(II),很少其他颅神经(V,七世)或交感神经支配的学生可能会涉及。1,- - - - - -,3虽然年代不同的诊断标准2,3(表),它仍然是一个症候群的诊断,以及轨道此病,存在于一个更大范围的IOI疾病。有重大的进步评价(例如,MRI)诊断和发现的病因(如IgG4-related疾病)因为最初的黑色的描述。4痛苦的眼肌麻痹的鉴别诊断是广泛的,可以分为4大类的创伤,肿瘤,血管或炎症。需要一个广泛的检查排除其他病因诊断解说之前,1,- - - - - -,3和长期的临床监测是必需的,以确保缓解和排除其他诊断。

把这个表:
  • 内联视图
  • 查看弹出
  • 下载演示文稿
表

诊断标准Tolosa-Hunt综合征(黑色)

颅内扩展iou是罕见的,8.8%在CT系列中,5在解说更罕见。炎症扩展通过眶上裂,视神经管眶下裂。在CT系列中,三世的多数出现颅神经麻痹,第四,VI,除了疼痛之外,突出,和视力丧失,意味着症状持续时间25个月前CT。四6研究患者颅内扩展了可怜的类固醇。虽然硬脑膜的增强是很少看到在神经影像学,leptomeningeal增强成像是非常罕见的在解说和其他进程包括转移提出了怀疑,淋巴瘤、结节病、感染。

MRI在IOI,解说的主要限制结果的非特异性和可变性。6全身性疾病如IgG4-related疾病,与polyangiitis肉芽肿病,结节性多动脉炎,结节病可能存在类似的临床情况的非传染性的轨道炎症。4,7确认疾病的神经外科活检可能是必要的,虽然在某些情况下,眼科手术和/或oculoplastic也可能有助于获得组织诊断。然而,组织病理结果显示可以非特异性肉芽肿性炎症。1,- - - - - -,3在我们的例子中,眼科和oculoplastic手术是微创组织抽样。提高蛋白质和白细胞计数已报告在脑脊液检查,但分析应该一般不起眼的。1,- - - - - -,3如果脑脊液异常持续存在,进一步诊断评估需要排除其他诊断。

高剂量的糖皮质激素在治疗IOI和手是有效的,但复发和慢性可能发展,8因此需要长期监测,以确保缓解。虽然疼痛迅速改善与类固醇,解说的过程中一般认为是自限性的,也没有确凿的证据表明,治疗改变了眼肌麻痹的程度或持续时间。9目前没有循证建议类固醇治疗的剂量和持续时间,7,10所以治疗主要是指导临床评估的反应。鉴于重大的发病率与视力丧失,视神经参与权证更紧急的大剂量糖皮质激素治疗。在耐火材料情况下,放射治疗或免疫抑制剂可能被考虑。10

诊断排除,这可能会变得不太常见的定义更具体的病因。然而,诊断标准仍有助于否则描述那些没有明确的诊断。虽然非典型特性应该提高怀疑替代诊断和进一步的调查,颅内可能发生扩展的手。

研究资金

没有针对性的资金报告。

信息披露

作者报告没有相关的信息披露。去首页Neurology.org/N为充分披露。

附录的作者

表

脚注

  • 去首页Neurology.org/N为充分披露。资金信息和披露认为作者相关的,如果有的话,年底提供这篇文章。

  • 提交和外部同行评议。处理编辑器是居民和其他部分副主编Ariel Lyons-Warren,医学博士。

  • 编辑、页面337年

  • 收到了2022年11月4日。
  • 接受的最终形式2023年3月17日。
  • 188金宝搏官网登录

引用

  1. 1。↵
    1. 克莱恩磅,
    2. 霍伊特WF
    。Tolosa-Hunt综合症。J神经Neurosurg精神病学。2001年;71年(5):577年- - - - - -582年。doi:10.1136 / jnnp.71.5.577
    OpenUrl 免费的全文
  2. 2。↵
    1. La Mantial,
    2. Curone米,
    3. 拉波波特我,
    4. BussoneG
    ;国际头痛协会。Tolosa-Hunt综合症:关键文献综述基于IHS 2004标准。头痛。2006年;26(7):772年- - - - - -781年。doi:10.188金宝慱官网下载1111 / j.1468-2982.2006.01115.x
    OpenUrl CrossRef PubMed
  3. 3所示。↵
    头痛分类委员会国际头痛协会(IHS)。头痛疾患的国际分类,第3版。头痛。2018年;38(1):1- - - - - -211年。doi:10.1177 / 0333102417738202
    OpenUrl CrossRef PubMed
  4. 4所示。↵
    1. LueckCJ
    。时间退休Tolosa-Hunt综合症吗?Pract神经。2018年;18(5):350年- - - - - -351年。doi:10.1136 / practneurol - 2018 - 001951
    OpenUrl 免费的全文
  5. 5。↵
    1. 克利夫顿AG),
    2. BorgsteinRL,
    3. 莫斯利如果,
    4. 肯德尔是,
    5. 肖PJ
    。颅内轨道pseudotumour的延伸。中国Radiol。1992年;45(1):23- - - - - -26。doi:10.1016 / s0009 - 9260 (05) 81462 - x
    OpenUrl CrossRef PubMed
  6. 6。↵
    1. SchuknechtB,
    2. SturmV,
    3. 豪氏威马助教,
    4. 兰道K
    。Tolosa-Hunt综合症:先生成像特性在15 20集的患者痛苦的眼肌麻痹。欧元J Radiol。2009年;69年(3):445年- - - - - -453年。doi:10.1016 / j.ejrad.2007.11.034
    OpenUrl CrossRef PubMed
  7. 7所示。↵
    1. 艾伯特D,
    2. 米勒J,
    3. 阿扎尔的D,
    4. 年轻的韩
    1. 托雷AA,
    2. 嘉里蒂晶澳,
    3. SneboldNG
    。非传染性的轨道炎症。:艾伯特D,米勒J,阿扎尔的D,年轻的韩,eds。艾伯特和Jakobiec眼科的原则和实践。施普林格国际出版;2020年:1- - - - - -40。doi:10.1007 / 978 - 3 - 319 - 90495 - 5 _62 - 1
    OpenUrl CrossRef
  8. 8。↵
    1. BencherifB,
    2. Zouaoui一个,
    3. ChedidG,
    4. Kujas米,
    5. 范EffenterreR,
    6. MarsaultC
    。特发性眼眶炎性假瘤的颅内扩展。AJNR是J Neuroradiol。1993年;14(1):181年- - - - - -184年。
    OpenUrl 文摘/免费的全文
  9. 9。↵
    1. 格莱斯顿摩根大通
    。方法患者痛苦的眼肌麻痹,关注Tolosa-Hunt综合症。咕咕叫痛头痛代表。2007年;11(4):317年- - - - - -325年。doi:10.1007 / s11916 - 007 - 0211 - 7
    OpenUrl CrossRef PubMed
  10. 10。↵
    1. 星期四PW,
    2. 陈YM,
    3. 刘WM
    。复发性Tolosa-Hunt综合症。慈济医学。2021年;33(3):314年。doi:10.4103 / tcmj.tcmj_137_20
    OpenUrl CrossRef

信:快速的网络通信

没有对本文发表评论。
评论

需求

你必须确保披露已经过去6个月内更新。请到我们的提交网站添加或更新你的披露信息。

你的合作者必须发送完成出版协议形式来首页员工(不是必要的领导/通讯作者如下表单就足够了)在你上传你的评论。

如果你回复评论,写过一篇文章你最初撰写:
你(和合作者)不需要填写表单或检查信息披露作为作者形式仍然有效
和申请信。

提交规格:

  • 提交必须与< < 200字5引用。参考1必须你评论的文章。
  • 提交不应该超过5作者。(例外:原作者回复可以包括所有原始作者的文章)
  • 6个月内提交只在文章发表日期的问题。
  • 不会是多余的。读任何评论已经张贴在本文之前提交。
  • 提交评论编辑和编辑审查发布之前。

更多的指导方针和信息在争议和辩论

写评论

关于文本格式的更多信息

纯文本

  • 不允许HTML标记。
  • 网页地址和电子邮件地址自动转化为链接。
  • 行和段落自动打破。
作者信息
注:第一作者的作者也必须相应的评论。
第一次或名字,如。“彼得”。
最后,或家庭,名字,如。“MacMoody”。
你的电子邮件地址,例如higgs-boson@gmail.com
你的角色和/或职业。“整形外科医生”。
您的组织或机构(如果适用),例如:“皇家自由医院”。
出版协议
注意:所有作者,除了第一/通讯作者,必须完成一个独立的出版协议形式前向编辑部提供通过电子邮件可以发表评论。
验证码
这个问题测试你是否人类访问者,并防止自动垃圾邮件提交。

垂直制表符

你可能也会感兴趣

回到顶部
  • 文章
    • 珍珠
    • Oy-sters
    • 病例报告
    • 讨论
    • 研究资金
    • 信息披露
    • 附录的作者
    • 脚注
    • 引用
  • 数据与数据
  • 信息与信息披露
广告

直接医疗成本与多发性硬化症:以人群为基础的队列研究在不列颠哥伦比亚,加拿大,2001 - 2020

丹尼斯Bourdette博士和林赛Wooliscroft博士

►看

相关文章

  • 时不要忘记Oy-sters Tolosa-Hunt综合症

主题讨论

  • 所有Neuro-ophthalmology
  • 轨道

提醒我

  • 提醒我当eletters出版
首页神经学:101 (9)

文章

  • 提前打印
  • 最新一期
  • 过去的问题
  • 受欢迎的文章
  • 188app下载

关于

  • 关于期刊
  • 道德政策
  • 188app
  • 1888博金宝
  • 做广告

提交

  • 作者中心
  • 提交一份手稿
  • 信息审核人员
  • 河畔的指导方针
  • 权限

用户

  • 订阅
  • 激活订阅
  • 报名参加eAlerts
  • RSS提要
网站的标志
  • 神经学访问模首页板在Facebook上
  • 在Twitte首页r上关注神经病学模板
  • 访问YouT首页ube上的神经学
  • 首页
  • 首页神经学:临床实践
  • 首页神经学:教育
  • 首页神经学:遗传学
  • 首页神经学:神经免疫学和神经炎症
  • AAN.com
  • AANnews
  • 连续体
  • 大脑和生活
  • 首页今天神经学

Wolters Kluwer标志

首页神经病学|打印ISSN:0028年- - - - - -3878年
在线ISSN: 1526 - 632 x

188金宝搏官网登录

  • 隐私政策
  • 反馈
  • 做广告
Baidu
map