珍珠和Oy-sters:亨廷顿疾病表现为原发性进行性失语
的语义
文摘
我们提出的语义变体原发性进行性失语的患者呈现功能亨廷顿病(HD)。病人最初发达进步语言障碍包括受损的命名和对象知识和单字原图理解然后发达舞蹈病和行为变化。大脑的核磁共振显示左前颞叶和海马萎缩。神经FDG PET / CT显示降低新陈代谢的左侧尾状核头。杭丁顿蛋白基因测试显示扩大39 CAG重复1等位基因。本例中概述了大量重叠HD和额颞叶大叶性变性症状的临床表现,并提供评论这些神经退行性疾病的调查。
珍珠
患者出现重叠的临床体征,基因检测可以补充结构和功能成像提供诊断明确,即使没有一个已知的家族史。
新兴读测序平台将允许测试短串联重复序列在多个基因在平行于最小化连续测试的需要。
Oy-sters
语义变体原发性进行性失语的临床综合征(PPA)可以来自不同的潜在神经退行性疾病。
单基因测试可能不足够全面,和面板测试基于新一代测序技术可能不检测短串联重复序列造成的障碍。
情况下
一个76岁的白人男子被称为三年历史的评价语言的困难。病人的家人和同事指出他与命名和口头回忆困难。在初始神经咨询、不自主运动历史和检查发现他的手指和肩膀和冲动和抑制行为。的相关性,没有思维定势,hyperorality,视觉幻觉,或梦想的特点制定。他有一个医学的历史局限性前列腺癌雄激素剥夺疗法和治疗骨关节炎。父母死于40岁因并发症与饮酒有关。他1年轻的男性同胞和5的孩子们。他取得了大学教育和管理牲畜房地产在抵押贷款经纪人。
病人的得分排在37/100认知Examination-III艾登布鲁克1在多个子域与点丢失。具体来说,他拿下14/18注意子域名,记忆6/26,1/14的流畅,语言3/26,13/16的视觉空间的功能。对抗性的命名、单字原图理解知识和对象被严重受损和避免重复演讲生产(视频1)。弗兰克有舞蹈的手,肩膀,和下肢。他与oromandibular orobuccal偶尔无意识的动作的运动障碍和运动impersistence舌头突出。他的步态是狭窄的基础和失用症的。没有运动徐缓或刚性。仅有测序是异常的,他有一个积极的双边抓握反射。他没有锥体迹象,弱点,或感觉的改变。
视频1
病人被要求描述他的早餐,然后描述Cookie盗窃的图景。注意与受损的命名和对象知识流利的演讲。有舞蹈的手和肩膀。下载补充视频1通过http://dx.doi.org/10.1212/207428_Video_1
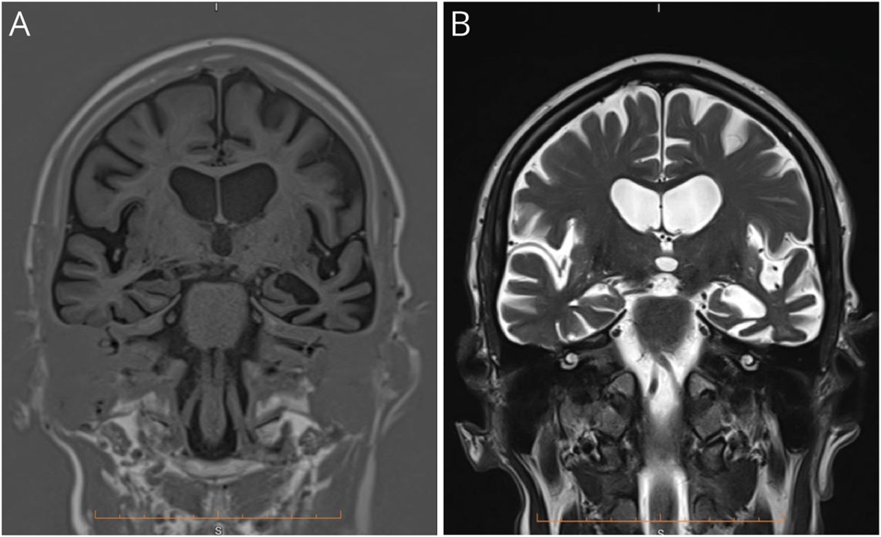
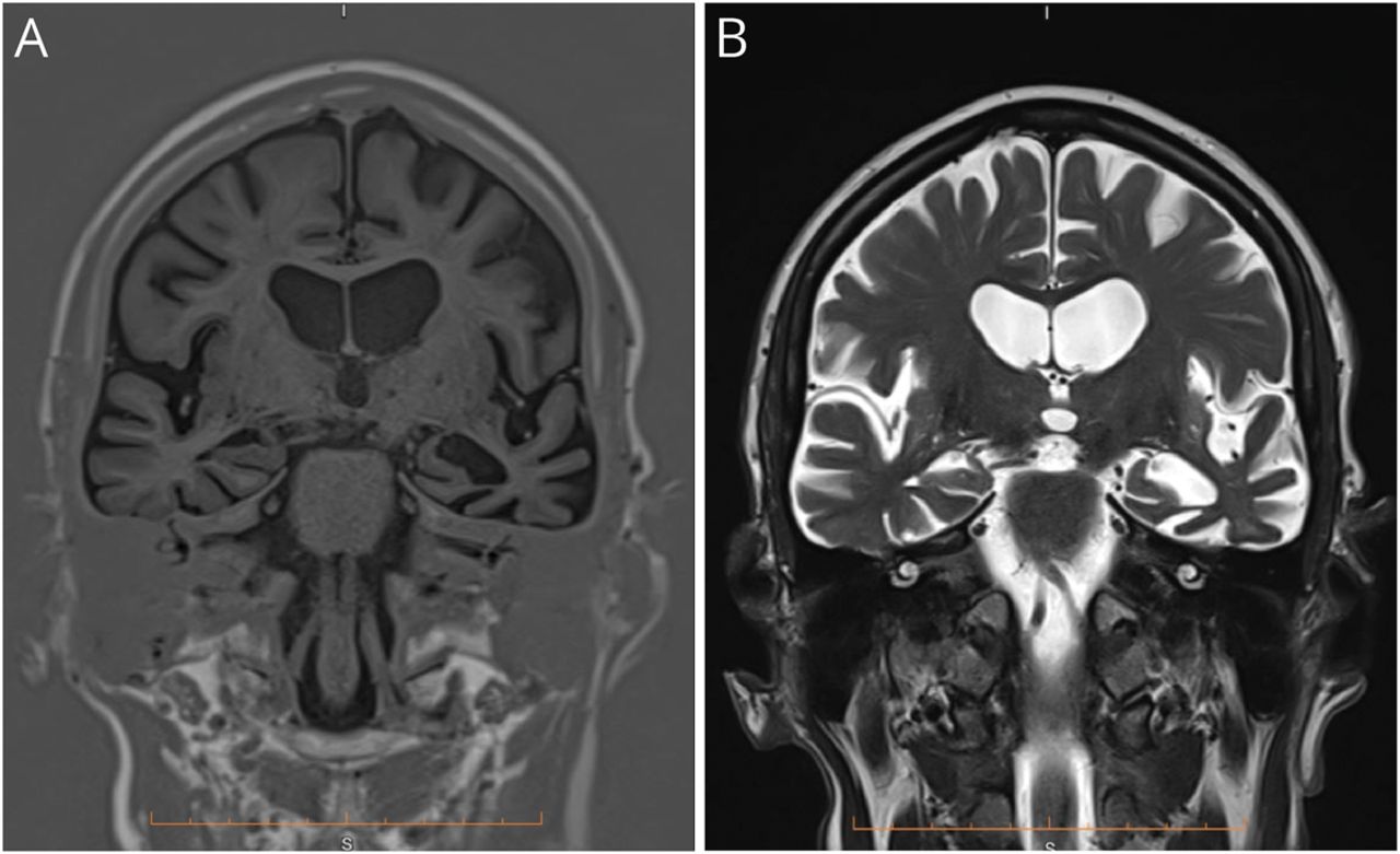
血清学的检测获得的代谢紊乱、维生素缺乏、感染、自身免疫,和多种的原因是noncontributory。大脑的核磁共振显示明显不对称左左前颞叶和海马和双边尾状萎缩。也有轻度到中度广义幕上的萎缩没有白质异常信号(图1)。
前颞叶所示冠状平面在t1 (A)和t2加权磁共振序列(B)。有不对称的左内侧颞叶萎缩与相应的侧脑室颞角增大。也有左额叶的体积损失的重要性在额叶和颞叶沟的空间。
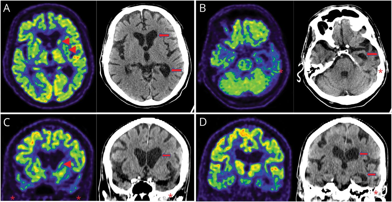
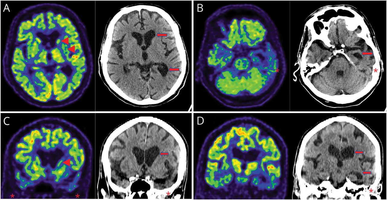
神经FDG PET / CT显示不对称(左比右)颞叶萎缩与葡萄糖代谢减退。有降低新陈代谢的头部的左侧尾状核(图2)。C9ORF72基因测试显示没有病理重复扩张等位基因;然而,测试的杭丁顿蛋白(计画)基因显示扩大39 CAG重复1等位基因和18重复。
成对FDG PET / CT transaxial(上面一行)和冠状(行)图像在基底神经节的水平(A, C)伪劣颞叶(B, D)。在A和C,有明显降低葡萄糖代谢的头左尾状核和壳核(箭头)和非对称放大额叶和左枕角(箭头)和代谢减退前颞叶(左>右,明星)。在B和D,标志着颞叶萎缩(左>右,明星)扩大左颞额角(箭头)和相应的显著减少代谢在颞叶(左>右,明星)。
逐渐的发现语言障碍、舞蹈病、和行为变化,支持MRI和PET / CT发现边缘重复扩张计画基因,是符合亨廷顿病(HD)。值得注意的是,功能符合语义变体PPA之前提到的出现典型的运动障碍。病人被称为遗传咨询考虑额外的家庭测试和社区的支持。
讨论
我们的案例中描述的语义变体PPA高清的初始临床表现。高清通常由三合一的精神特征变化,认知障碍和运动障碍由于致病性CAG三联体的扩展计画基因。HD患者有非典型表现症状,清晰的结构和功能成像支持高清的PPA变体。的语义subvariant PPA的特点是障碍,严重受损的单字原图理解重复和运动的演讲。2
语言障碍可以是一个突出特征在个体诊断HD和通常与推进痴呆进展和运动异常。3语言和信流利frontostriatal都会涉及到生理病理学,这发生在高清的早期。3,- - - - - -,5同样,受损表现代任务可能会反映frontostriatal中断词检索过程和执行功能障碍。3,5,6随着疾病的进展、颞叶和顶叶皮质萎缩导致语言功能障碍表现为受损的命名和对象的知识。6病人的工作作为一个抵押贷款经纪人可能注意到他在疾病的早期语言障碍。在演讲过程中,功能和解剖成像显示颞叶萎缩,支持皮质变性的贡献在高清认知症状。7,8
再扩张计画与早期典型疾病的发病有关。9中间的扩张》重复被认为是“减外显率”等位基因,但大多数患者39重复phenoconvert与HD 75岁。9代谢紊乱、炎症和多种症状和一系列遗传神经退行性条件可以模拟高清临床表现。10例如,hexanucleotide扩张C9ORF72家族的基因,而通常的主要遗传原因和零星的额颞叶痴呆(FTD),是最常见的遗传高清拟表型在英国队列。11相反,有有限的文献描述额颞叶大叶性变性的诊断(FTLD)综合症患者舞蹈病样的运动障碍或确诊高清。病例报告描述了一个基因证实HD患者有可能行为变异额颞叶痴呆(bvFTD)。12政府高级官员等。13最近描述3例,2 bvFTD和1的迟滞型变体PPA,窝藏的杭丁顿蛋白CAG重复扩张后全基因组序列数据的分析从超过2000名患者被诊断为FTD /肌萎缩性脊髓侧索硬化症。
基因测试使用靶向基因面板、whole-exome测序,或全基因组测序正越来越多地用于成人神经退行性条件和可以识别在多个潜在致病性变异基因。14这些技术利用新一代测序平台,可致病重复扩张,小姐等C9ORF72和计画扩张,由于短阅读每个片段的长度。新兴测序技术利用读测序有可能同时测试多个串联重复扩张障碍,包括准确量化的扩展长度。14这项技术允许并行评估不同基因的致病扩张除了其他序列变异被下一代测序。
我们的案例增加了越来越多的文献支持之间的重叠计画重复扩张和FTLD综合症,包括PPA,最近的研究表明,神经退行性疾病可能共存。15基因检测在这种情况下,支持典型的诊断HD,呈现语义变体PPA,促使进一步讨论额外的测试患者的孩子。最终确认潜在的神经退化过程导致患者的颞叶萎缩,然而,需要后期评估。
研究资金
没有针对性的资金报告。
信息披露
作者报告没有披露相关的手稿。去首页Neurology.org/N为充分披露。
承认
作者感谢他们的慷慨的病人和他的家人同意出版他的情况。
附录的作者
脚注
去首页Neurology.org/N为充分披露。资金信息和披露认为作者相关的,如果有的话,年底提供这篇文章。
提交和外部同行评议。处理编辑器是居民和其他副主编Ariel Lyons-Warren,医学博士。
- 收到了2022年11月11日。
- 接受的最终形式2023年4月4日。
- 188金宝搏官网登录


