相关研究:首页指南:两个例子
“我们的目标是发布严格的、高质量的研究可能提供新的见解遗传优势。”
这篇社论的鸟等人研究的重要性以及关联研究中固有的潜在问题。他们指出,有两种基因关联研究这个问题。,由Weinshenker et al .,未能确认(在早前报告首页)将TNF-α多态性与易女士的另一个负面研究Desautels等人追求合理的假说,多巴胺能受体或相关酶和不宁腿综合症有关。鸟等人提出了简洁的指南(构成工作草案首页批准的政策首页编辑委员会),反映和控制的,统计分析,生物基因的相关性研究,和复制在一个独立的样本。编辑和编辑委员会欢迎评论此事(www.neurology.org/cgi)。首页
看到页面1153年、1304和1341
识别和面孔的记忆
两篇论文和一篇社论认为最有趣的任务面部recognition-perhaps人类思维的能力。巴顿等人表明,五个获得患者(从成人出现创伤、中风或脑炎)面孔失认症可以诱导(即识别人脸。,没有意识,只有通过间接检测行为测试或生理反应)在语义线索,甚至在受损的四个面感知。发展(从早期的静态性脑病)面孔失认症与秘密无关能力,大概是因为这防止形成语义知识和面部记忆之间的联系。
看到页面1161年
面对记忆缺陷后额叶损伤
Rapcsak等人研究了人脸识别内存额叶损伤患者。患者与正常对照组相比,额顺行标记和相对温和的逆行性记忆障碍。右额叶病灶多不熟悉的面孔的错误识别。这些发现表明前额叶皮层的一个角色执行控制面临的记忆编码和检索。
看到页面1168年
社论的作者Chatterjee和法拉笔记巴顿等人如何和Rapcsak等人论文面临处理贡献关系认知的两个视图:模块化对一个分布式网络处理信息。他们指出,虽然面部识别显然是模块化的,拥有一个离散区域temporal-occipital皮层,网络的影响额和其他地区影响面部的记忆,熟悉,和情绪的影响。
看到页面1151年
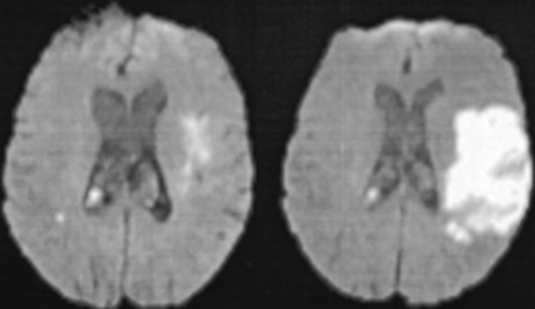
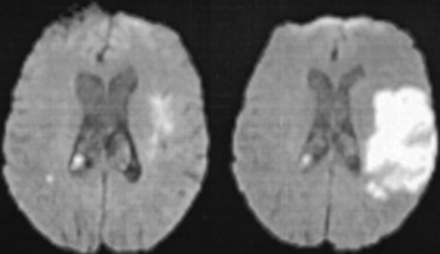
急性中风:Perfusion-weighted成像预测病变对酒后驾车的严重性
Thijs et患者原发性12醉酒驾车和预警指示器早期急性中风后确定阈值可以区分关键和非关键灌注不足。最后梗塞大小可以预测的定量分析图预警指示器病变的严重程度。
看到页面1205年
卒中后痴呆的发病率和病因(PSD)
在未来的研究中,Henon等人发现PSD的发病率在卒中后3年达到28.5%。约有三分之一的患者遇到标准广告和血管性痴呆的三分之二。PSD的风险增加在老年患者和患者先前存在的认知能力下降,糖尿病,沉默的梗塞。
看到页面1216年
沉默的MRI图像增加中风的临床风险
在一项研究中超过3300个社区老年患者前瞻性后发生脑MRI扫描,Bernick等人发现的沉默梗塞后续临床中风的风险增加了一倍。那些有多个沉默梗塞或并发房颤有更高的未来中风的风险。
看到页面1222年
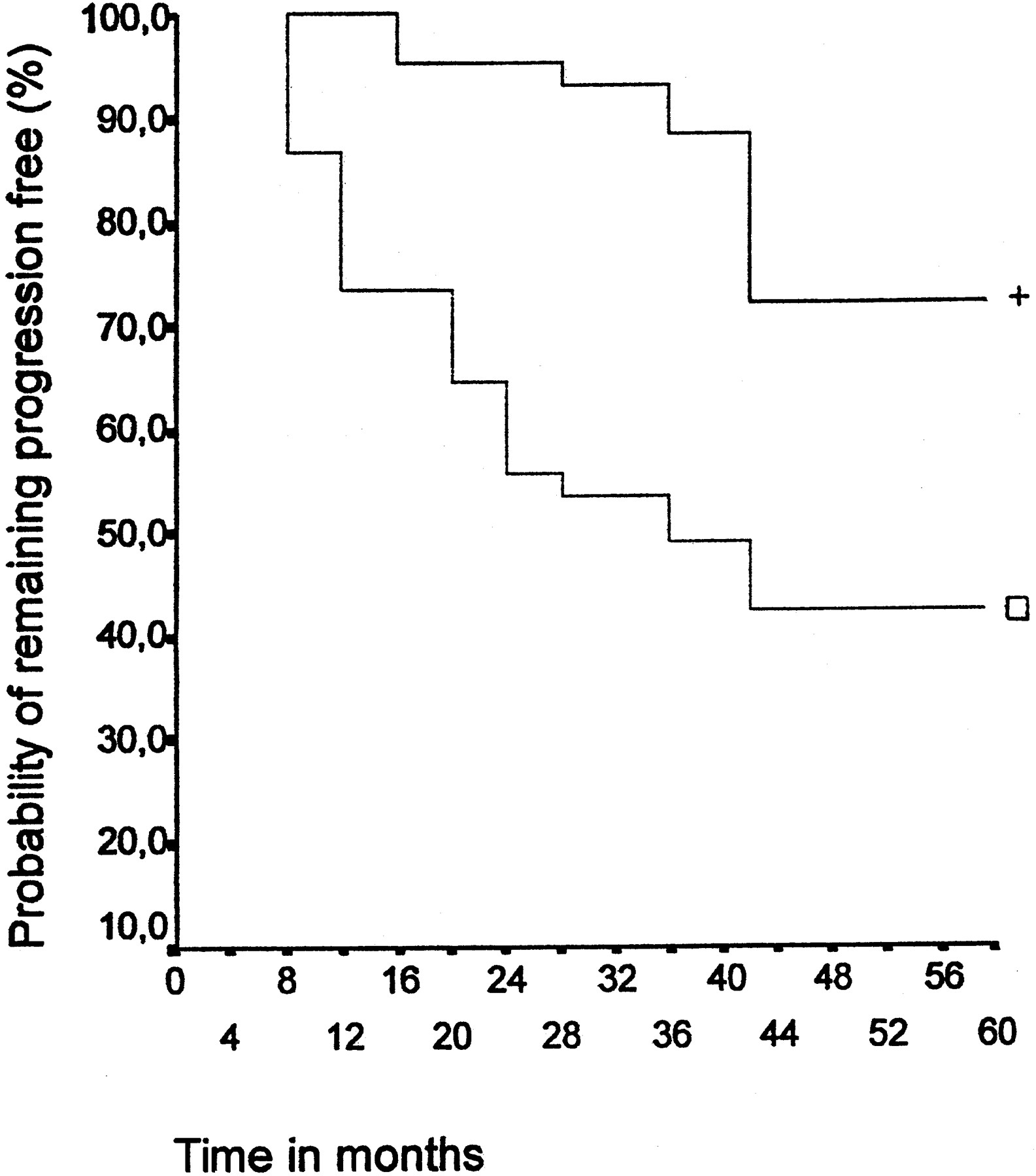
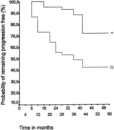
第四methylprednisolonein复发缓和女士(名RRMS)
5年,随机对照试验的名RRMS Zivadinov等人相比常规脉冲四甲基强的松龙和四甲基强的松龙复发。患者在常规脉冲四甲基强的松龙治疗进展放缓黑洞的体积,图脑萎缩和残疾。
看到页面1239年
自闭症在结节性硬化症复杂
浅野等人报告功能异常和色氨酸代谢葡萄糖的PET扫描与复杂结节性硬化症(TSC)自闭症儿童。他们建议在颞皮层功能异常,尾状核和小脑区域有助于自闭症儿童TSC的特性。
看到页面1269年
颈动脉狭窄的风险一般手术
埃文斯和Wijdicks研究了224名普通外科患者50%或更大的狭窄的颈动脉超声检查。中风的风险是3.6%,不是那些增加的更大的狭窄。他们的数据不支持常规预防颈动脉内膜切除手术。
看到页面1328年
18世纪化学家亨利·卡文迪什:阿斯伯格综合症?
Oliver Sacks,引用乔治·威尔逊的卡文迪什的传记,指出,“著名的卡文迪许的特征几乎是特殊的阿斯伯格综合症”(高功能自闭症)。
看到页面1347年
信:快速的网络通信
你可能也会感兴趣
相关文章
-
没有找到相关文章。
提醒我
推荐的文章
- 文章
面对记忆障碍患者额叶损伤s . z . Rapcsak l·尼尔森·l·d·Littrell et al。
首页神经学,09年10月,2001年 - 文章
初始和后续动脉瘤筛查在家庭与家族性蛛网膜下腔出血加布里埃尔·狄奥多拉高家俊Raaymakers J.E. Rinkel,利诺议员拉莫斯等。
首页神经学,1998年10月1日 - 文章
识别结节性硬化症的自闭症谱系障碍的风险因素复杂A.L. Numis, p .专业,硕士黑山et al。
首页神经学,2011年3月14日 - 医学假说
不宁腿综合症从脊髓角度回顾多巴胺假说
斯蒂芬·克莱门斯,大卫黑麦、肖恩·哈克曼等。
首页神经学,2006年7月10日


