跳转到主要内容
广告
  • 首页Neurology.org
  • 期刊
    • 首页
    • 临床实践
    • 教育
    • 遗传学
    • 神经免疫学和神经炎症
  • 在线部分
    • 首页神经学视频杂志俱乐部
    • 多样性,股本,包含(一些)
    • 首页神经学:临床实践加速器
    • 实践的嗡嗡声
    • 当前实践
    • 居民和同伴
    • 无国界
  • 188app官网下载
    • COVID-19
    • 争议和辩论
    • 健康差异
    • 信息图
    • 188app下载地址
    • 零假设
    • 188app苹果
    • 话题无所不包的
    • 188app下载
    • UDDA修订系列
  • 188bet官网app网址
  • 芝加哥商品交易所
  • 关于
    • 关于期刊
    • 联系我们
    • 188app
  • 作者
    • 提交新的手稿
    • 提交修改后的手稿
    • 作者中心

高级搜索

主菜单

  • 首页Neurology.org
  • 期刊
    • 首页
    • 临床实践
    • 教育
    • 遗传学
    • 神经免疫学和神经炎症
  • 在线部分
    • 首页神经学视频杂志俱乐部
    • 多样性,股本,包含(一些)
    • 首页神经学:临床实践加速器
    • 实践的嗡嗡声
    • 当前实践
    • 居民和同伴
    • 无国界
  • 188app官网下载
    • COVID-19
    • 争议和辩论
    • 健康差异
    • 信息图
    • 188app下载地址
    • 零假设
    • 188app苹果
    • 话题无所不包的
    • 188app下载
    • UDDA修订系列
  • 188bet官网app网址
  • 芝加哥商品交易所
  • 关于
    • 关于期刊
    • 联系我们
    • 188app
  • 作者
    • 提交新的手稿
    • 提交修改后的手稿
    • 作者中心
  • 家
  • 最新文章
  • 最新一期
  • 过去的问题
  • 首页神经学视频杂志俱乐部
  • 居民和同伴

用户菜单

  • 订阅
  • 我的提醒
  • 登录

搜索

  • 高级搜索
首页
家
最广泛的阅读和高度引用同行评议的神经病学杂志上首页
  • 订阅
  • 我的提醒
  • 登录
网站的标志
  • 家
  • 最新文章
  • 最新一期
  • 过去的问题
  • 首页神经学视频杂志俱乐部
  • 居民和同伴

分享

2002年6月25日 ;58 (12) 在这个问题上

6月25日了

第一次出版2002年6月25日, DOI: https://doi.org/10.1212/WNL.58.12.1711
完整的PDF
引用
6月25日了
首页 2002年6月, 58 (12) 1711 - 1712; DOI:10.1212 / WNL.58.12.1711

引用管理器格式

  • 助理
  • 书挡
  • 值得
  • 尾注(标记)
  • 尾注8 (xml)
  • 枸杞
  • Mendeley
  • 论文
  • RefWorks标记
  • Ref经理
  • RIS
  • Zotero
权限

做出评论

看到评论

下载
298年

分享

  • 文章
  • 数据与数据
  • 信息与信息披露
加载

抗癫痫药物需要在所有商业航班

“你想要照顾一个病人癫痫持续状态没有服用过抗癫痫类药物在32000英尺?”

Sirven等人审查所有空气为一家美国主要的航空公司地面医疗咨询。癫痫和其他神经系统问题导致最多的空中紧急呼叫,类似于心血管症状发生率为紧急医疗转移飞机降落。估计成本:9000000美元/年的航空公司。

看到页面1739年

社论的作者苔藓和Longstreth认为航空业Sirven报告的含义。心脏病专家莫斯是一群心脏病学家成功地转移到外部去纤颤器放在董事会所有洲际/越洋商业航空公司的航班。抗癫痫药物应该为政府提供飞行。

看到页面1717年

非正式的护理费用

“我们拥有成本估计更好吗?当然可以。我们应该在表面价值接受他们吗?当然不是。”

Hickenbottom等人估计的数量和成本> 70岁非正式照顾病人得了中风。使用家庭健康助手的平均工资(8.20美元/小时),他们估计总成本在美国非正式护理的家庭照顾者是中风患者为61亿美元。

看到页面1754年

社论的作者Lanska认为的一些假设在Hickenbottom等人研究:中风诊断准确,病人存活至少一年,一个退休老人的工资率是准确地反映在8.20美元/小时这项研究有理由的和保守的。Lanska还指出,其他的“成本”等负面影响照顾者的情感和身体健康和家庭关系等重要因素,即使有时包括非正式的估计成本。本文的读者和编辑可能得出这样的结论:非正式的成本并不一定添加剂卫生保健美元成本由第三方承担,甚至病人。

看到页面1718年

IFNß-treated女士:中和抗体阻断淋巴细胞MxA的生产

Vallittu等人现在一年前瞻性研究发展的绑定和中和抗体(Nab)和他们的关系MxA蛋白质诱导患者复发缓和女士减少MxA蛋白质表达水平往往先于Nab的形成。两个病人高MxA水平尽管逮捕。

看到页面1786年

进步在老年帕金森症状预测死亡率

威尔逊等人每年评估787年天主教神职人员没有诊断PD帕金森的迹象。在5年的随访,刚度和步态障碍以及这些迹象是强烈的发展速度与死亡率相关。

看到页面1815年

在欧洲流行的嗜睡症

Ohayon等人研究了睡眠障碍的患病率在近19000名受试者的样本在德国、意大利、葡萄牙、西班牙和英国。虽然真正的嗜睡症是罕见的(47/100,000)15%的受试者报告说日间极度嗜睡和16%报告猝倒。

看到页面1826年

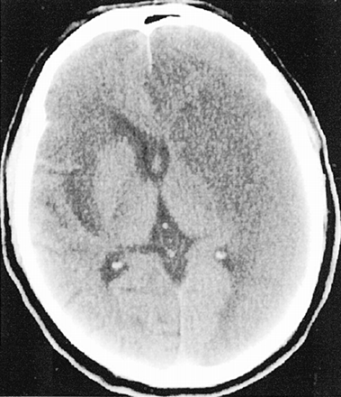
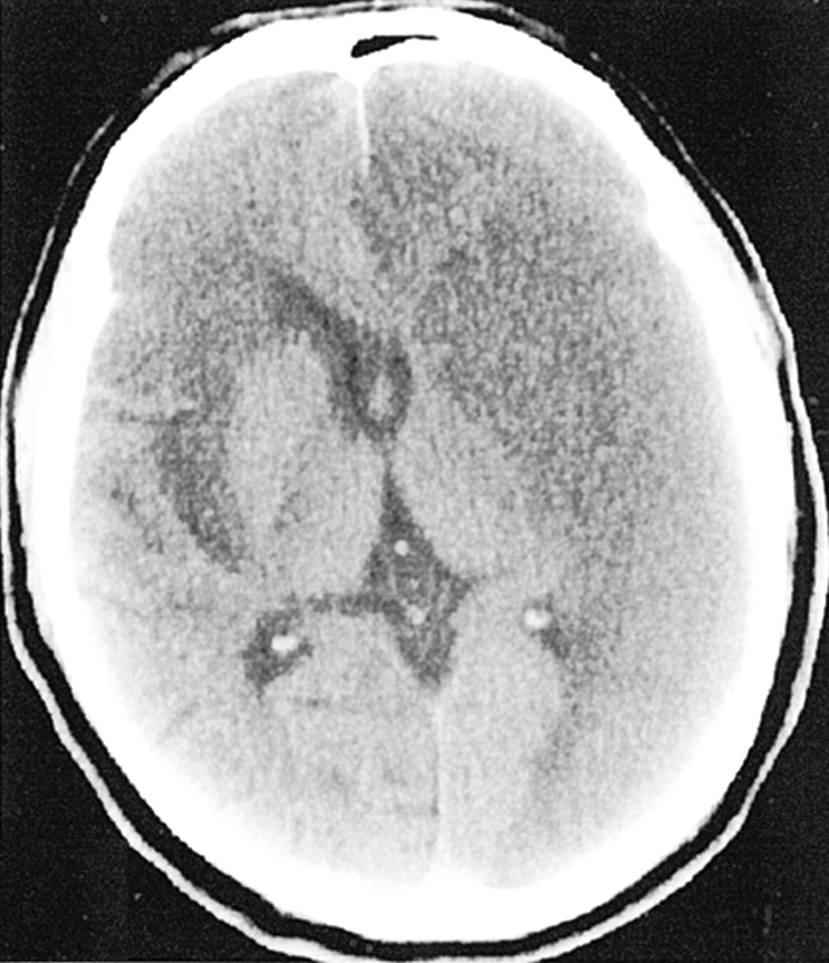
从双边颈动脉闭塞突然昏迷

Kwon等人描述从双边六突然昏迷患者颈内动脉闭塞最初提出严重的脑干中风。原因是壁血栓(3)和心脏发生的栓塞(3),3天内所有患者死亡。

图
  • 下载图
  • 打开新标签
  • 下载演示文稿

看到页面1846年

大剂量环磷酰胺没有干细胞耐火CIDP的救援

Brannagan等人研究了耐火材料患者慢性炎性脱髓鞘多神经病(CIDP)服用大剂量环磷酰胺(200毫克/公斤)没有干细胞救援。所有患者改善和其他免疫调节药物有可能停止。

看到页面1856年

信:快速的网络通信

没有对本文发表评论。
评论

需求

你必须确保披露已经过去6个月内更新。请到我们的提交网站添加或更新你的披露信息。

你的合作者必须发送完成出版协议形式来首页员工(不是必要的领导/通讯作者如下表单就足够了)在你上传你的评论。

如果你回复评论,写过一篇文章你最初撰写:
你(和合作者)不需要填写表单或检查信息披露作为作者形式仍然有效
和申请信。

提交规格:

  • 提交必须与< < 200字5引用。参考1必须你评论的文章。
  • 提交不应该超过5作者。(例外:原作者回复可以包括所有原始作者的文章)
  • 6个月内提交只在文章发表日期的问题。
  • 不会是多余的。读任何评论已经张贴在本文之前提交。
  • 提交评论编辑和编辑审查发布之前。

更多的指导方针和信息在争议和辩论

写评论

关于文本格式的更多信息

纯文本

  • 不允许HTML标记。
  • 网页地址和电子邮件地址自动转化为链接。
  • 行和段落自动打破。
作者信息
注:第一作者的作者也必须相应的评论。
第一次或名字,如。“彼得”。
最后,或家庭,名字,如。“MacMoody”。
你的电子邮件地址,例如higgs-boson@gmail.com
你的角色和/或职业。“整形外科医生”。
您的组织或机构(如果适用),例如:“皇家自由医院”。
出版协议
注意:所有作者,除了第一/通讯作者,必须完成一个独立的出版协议形式前向编辑部提供通过电子邮件可以发表评论。
验证码
这个问题测试你是否人类访问者,并防止自动垃圾邮件提交。

垂直制表符

你可能也会感兴趣

回到顶部
  • 文章
    • 抗癫痫药物需要在所有商业航班
    • 非正式的护理费用
    • IFNß-treated女士:中和抗体阻断淋巴细胞MxA的生产
    • 进步在老年帕金森症状预测死亡率
    • 在欧洲流行的嗜睡症
    • 从双边颈动脉闭塞突然昏迷
    • 大剂量环磷酰胺没有干细胞耐火CIDP的救援
  • 数据与数据
  • 信息与信息披露
广告

直接医疗成本与多发性硬化症:以人群为基础的队列研究在不列颠哥伦比亚,加拿大,2001 - 2020

丹尼斯Bourdette博士和林赛Wooliscroft博士

►看

相关文章

  • 没有找到相关文章。

提醒我

  • 提醒我当eletters出版

推荐的文章

  • 简短的沟通
    大剂量环磷酰胺没有干细胞耐火CIDP的救援
    T.H. Brannagan三世,a . Pradhan Heiman-Patterson et al。
    首页神经学,2002年6月25日
  • 文章
    增量直接成本与行为症状相关广告
    D.L. Murman,问:陈,贝拉鲍威尔等。
    首页神经学,2002年12月10日
  • 文章
    帕金森症的影响在AD患者医疗费用和路易体痴呆
    Daniel l . Murman,雪莉郭,米歇尔·c·鲍威尔等。
    首页神经学,2003年10月13日
  • 文章
    中和抗体和干扰素β-1a的效果
    四年对照研究
    m . Clanet m . l .卡波斯Sandberg-Wollheim et al。
    首页神经学,2005年7月11日
首页神经学:101 (9)

文章

  • 提前打印
  • 最新一期
  • 过去的问题
  • 受欢迎的文章
  • 188app下载

关于

  • 关于期刊
  • 道德政策
  • 188app
  • 1888博金宝
  • 做广告

提交

  • 作者中心
  • 提交一份手稿
  • 信息审核人员
  • 河畔的指导方针
  • 权限

用户

  • 订阅
  • 激活订阅
  • 报名参加eAlerts
  • RSS提要
网站的标志
  • 神经学访问模首页板在Facebook上
  • 在Twitte首页r上关注神经病学模板
  • 访问YouT首页ube上的神经学
  • 首页
  • 首页神经学:临床实践
  • 首页神经学:教育
  • 首页神经学:遗传学
  • 首页神经学:神经免疫学和神经炎症
  • AAN.com
  • AANnews
  • 连续体
  • 大脑和生活
  • 首页今天神经学

Wolters Kluwer标志

首页神经病学|打印ISSN:0028年- - - - - -3878年
在线ISSN: 1526 - 632 x

188金宝搏官网登录

  • 隐私政策
  • 反馈
  • 做广告
Baidu
map