2005年1月25日
;64 (2)
神经图片
包涵体肌炎手指屈肌无力
Miwa Takamure,Ken-ya日本村田公司,Makoto Kawahara,Satoshi上野
第一次出版2005年1月24日,
DOI: https://doi.org/10.1212/01.WNL.0000142980.87159.8C
Miwa Takamure
Ken-ya日本村田公司
Makoto Kawahara
Satoshi上野
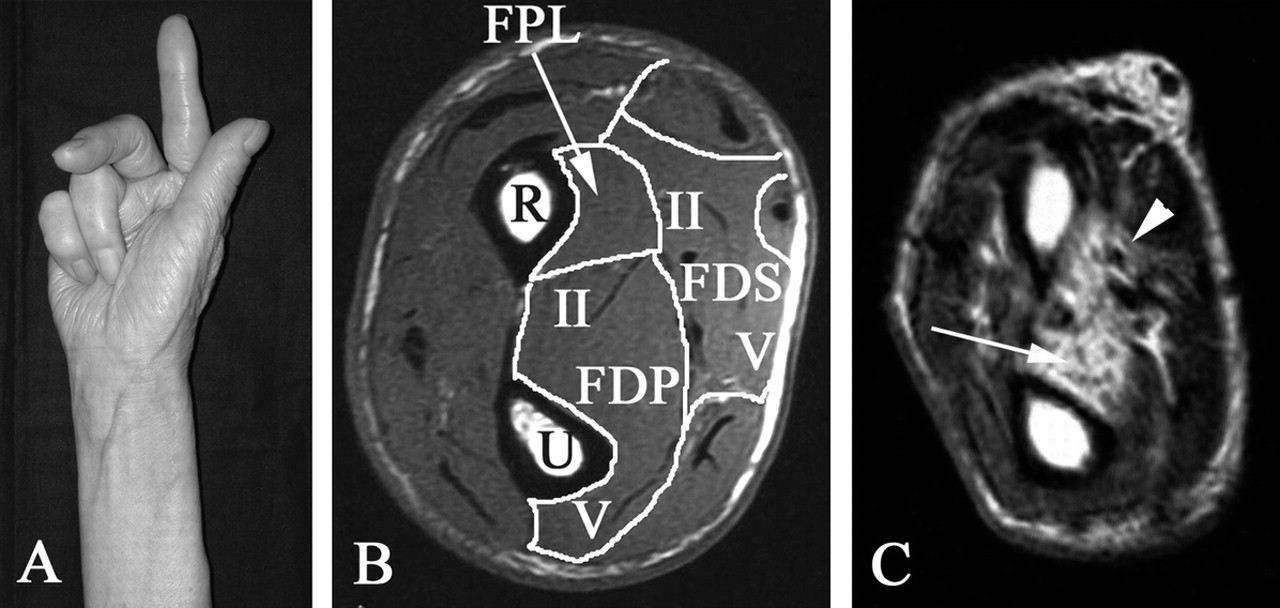
一个72岁的女人,零星的包涵体肌炎表现为缓慢进行性乏力手指屈肌和下肢近端。她无法flex双边第一位和第二位在近端和远端指间关节,而第四和第五位数相对幸免(图,一个)。感觉障碍和挛缩被观察到。每个数字之间的差异,肌肉无力与脂肪的渗透,显示T1 hyperintensity,长屈全身和特定区域内profundus屈肌腱牵向前和superficialis屈肌腱牵向前1(图中,B和C)。这些观察表明,疾病过程可能进展过程磕磕绊绊,不广泛,涉及肌肉内包涵体肌炎。
1。·弗雷肯斯坦杰。上肢的核磁共振。弗莱克斯坦:JL cru合资,雷蒙CD, eds。肌肉成像在健康和疾病。纽约:斯普林格出版社,1996年:69年-84年。
信:快速的网络通信
你可能也会感兴趣
广告
提醒我
推荐的文章
- 文章
重叠特性多肌炎和包涵体肌炎的感染艾滋病毒的病人托马斯·e·劳埃德·伊阿古Pinal-Fernandez,大肠哈伦米歇尔et al。
首页神经学,2017年3月10日 - 文章
相关的肌肉活检、临床过程和结果在下午和零星的IBMNizar Chahin,安德鲁·g·恩格尔et al。
首页神经学,2007年9月19日 - 临床/科学的笔记
包涵体肌炎和慢性淋巴细胞白血病:系列伊丽莎白·h·贝克,安东尼·a·阿马托史蒂文·a·格林伯格et al。
首页神经学,2014年5月23日 - 简短的沟通
包涵体肌炎的双胞胎安东尼·a·阿马托罗伯特·t·Shebert et al。
首页神经学,1998年8月1日


