2005年11月08
;65 (9)
居民和其他页面
对称的基底节钙化与米拉一个9岁的孩子
Sheng-Horng涌,Shyr-Chyr陈,Wen-Jone陈,Chien-Chang李
第一次出版2005年11月7日,
DOI: https://doi.org/10.1212/01.wnl.0000184112.34211.d1
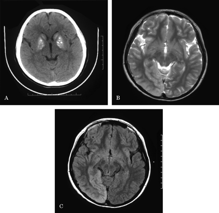
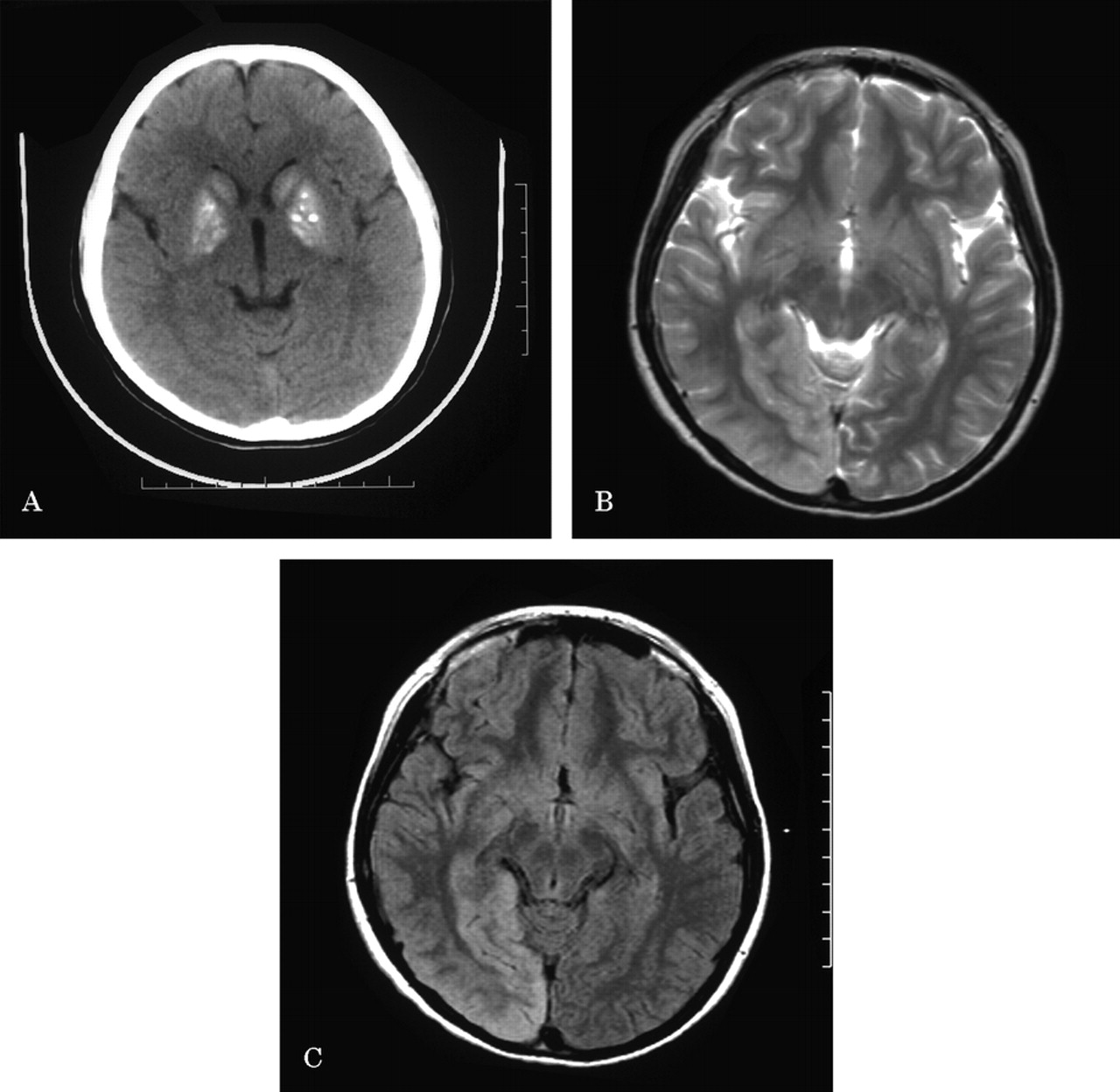
一个9岁的男孩出现头痛、呕吐,左眼睛凝视偏差。在检查,左同向偏盲,水平眼球震颤,anisocoric学生指出。脑CT披露对称基底节钙化(图一个)。血液检查显示乳酸学术界。进一步的核磁共振显示右occipito-temporo-parietal皮质hyperintensities (图中,B和C)。肌肉活检显示ragged-red纤维,和遗传研究显示一个A3243G突变点,线粒体encephalomyopathy证实的诊断,乳酸酸中毒,strokelike症状(看见)。对称基底节钙化,脑局灶性病变不局限于血管的领土在一个年轻的病人需要进一步检查线粒体细胞病。1、2
脚注
披露:作者报告没有利益冲突。
信:快速的网络通信
你可能也会感兴趣
广告
提醒我
推荐的文章
- 文章
延迟一个霉菌毒素引起的肌张力障碍与纹状体CT光亮(3-nitropropionic酸)Fengsheng他Shoulin张Fangyi钱等。
首页神经学,1995年12月1日 - 临床/科学的笔记
复发性脑血肿米拉与线粒体ND5基因突变有关即Penisson-Besnier, p . Reynier, p .全面接触式等。
首页神经学,2000年7月25日 - 临床/科学的笔记
偏头痛先兆的患者与可逆MRI异常有关史蒂文·雷斯尼克尤兰达Reyes-Iglesias,雷纳卡雷拉斯et al。
首页神经学,2006年3月27日 - 居民和其他部分
临床推理:脑病在一个10岁的男孩兰斯横行,英格丽·爱因斯坦等。
首页神经学,2012年7月16日


