2006年9月12日
;67 (5)
神经图片
大脑萎缩由于急性血钠过多
Machino武,Toshihiro吉泽章
第一次出版2006年9月11日
DOI: https://doi.org/10.1212/01.wnl.0000221726.41727.06
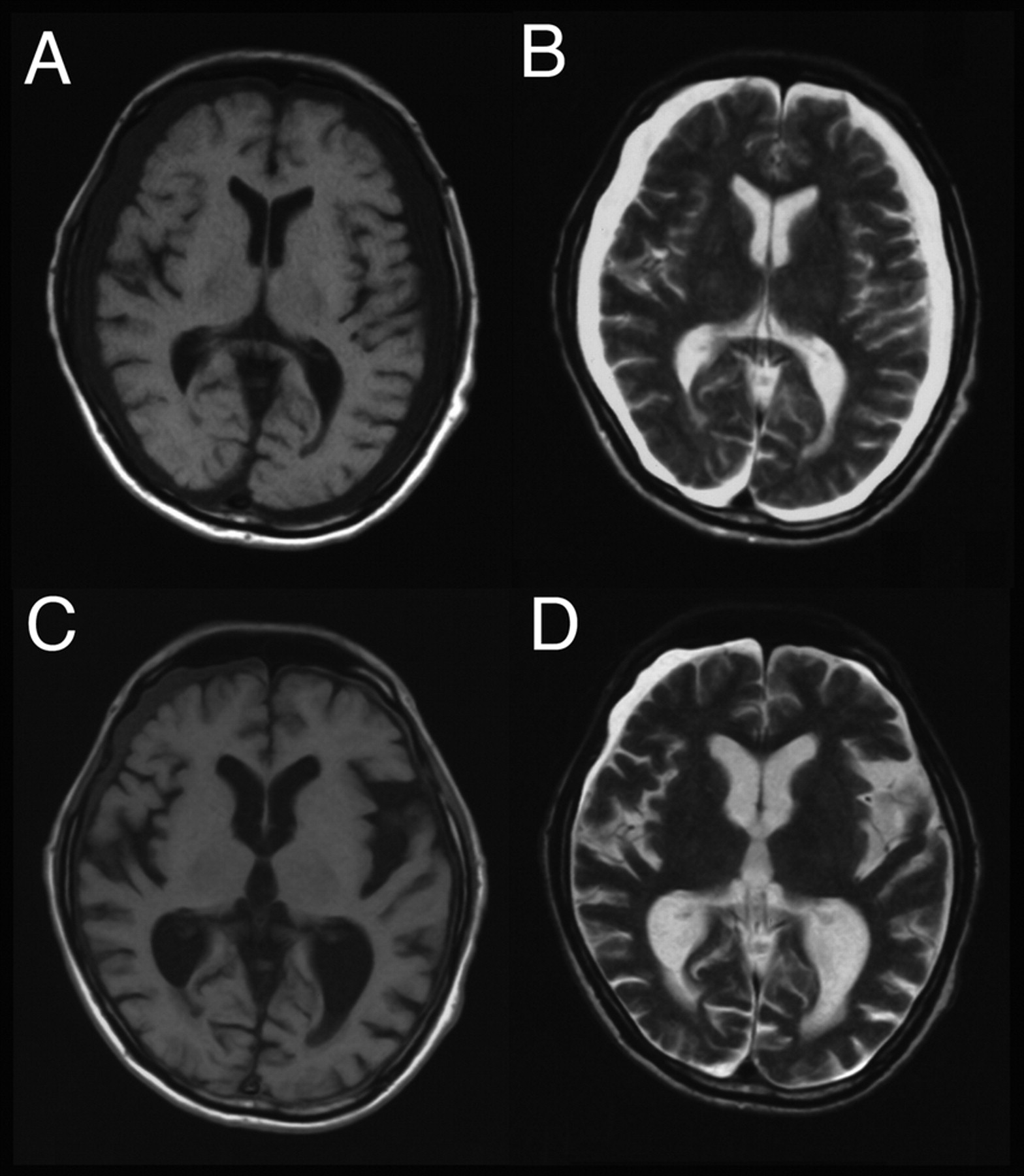
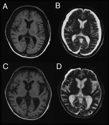
一个73岁的老人出现呕吐、颤抖,意识障碍12小时后食用酱油,试图自杀。他的血钠188毫克当量/ L和氯142毫克当量/ L。血清渗透性高314 mOsm /公斤H2o . T1和t2加权脑部MRI显示对称大脑萎缩和硬膜下液体收集在大脑皮层(图中,A和B)。在诊断急性血钠过多由于摄取过多氯化钠,我们纠正他的血钠过多在未来48小时内,和他的条件迅速改善。没有观察到肾脏功能障碍。评价脑容量恢复,我们重复MRI 3周后出现。尽管一些硬膜下液体收集器似乎依然存在,脑容量恢复(图中,C和D)。急性血钠过多收缩大脑通过脱水。1我们的案例表明,可逆的大脑萎缩和补偿扩大硬膜下腔是大脑脱水的金字招牌。
脚注
披露:作者报告没有利益冲突。
信:快速的网络通信
你可能也会感兴趣
广告
相关文章
-
没有找到相关文章。
提醒我
推荐的文章
- 文章
硬膜下积脓症在细菌性脑膜炎亲属k .吉姆Matthijs c .这阿里van der不可或缺et al。
首页神经学,07年11月,2012年 - 临床/科学的笔记
血钠过多从渗透myelinolysis的绝食抗议的原因安妮特·莫莱森van der Helm-van Mil珀斯P.P. van Vugt,哥特简拉默斯等。
首页神经学、07年2月,2005年 - 文章
方法严重半球中风w·泰勒金伯利,凯文·n·Sheth et al。
首页神经学,2011年2月14日 - 简短的沟通
弥漫性脑膜增强overdraining患者,长期脑室分流术m·赛斯招聘托马斯p Naidich et al。
首页神经学,1999年1月1日


