2006年9月26日
;67 (6)
居民和其他页面
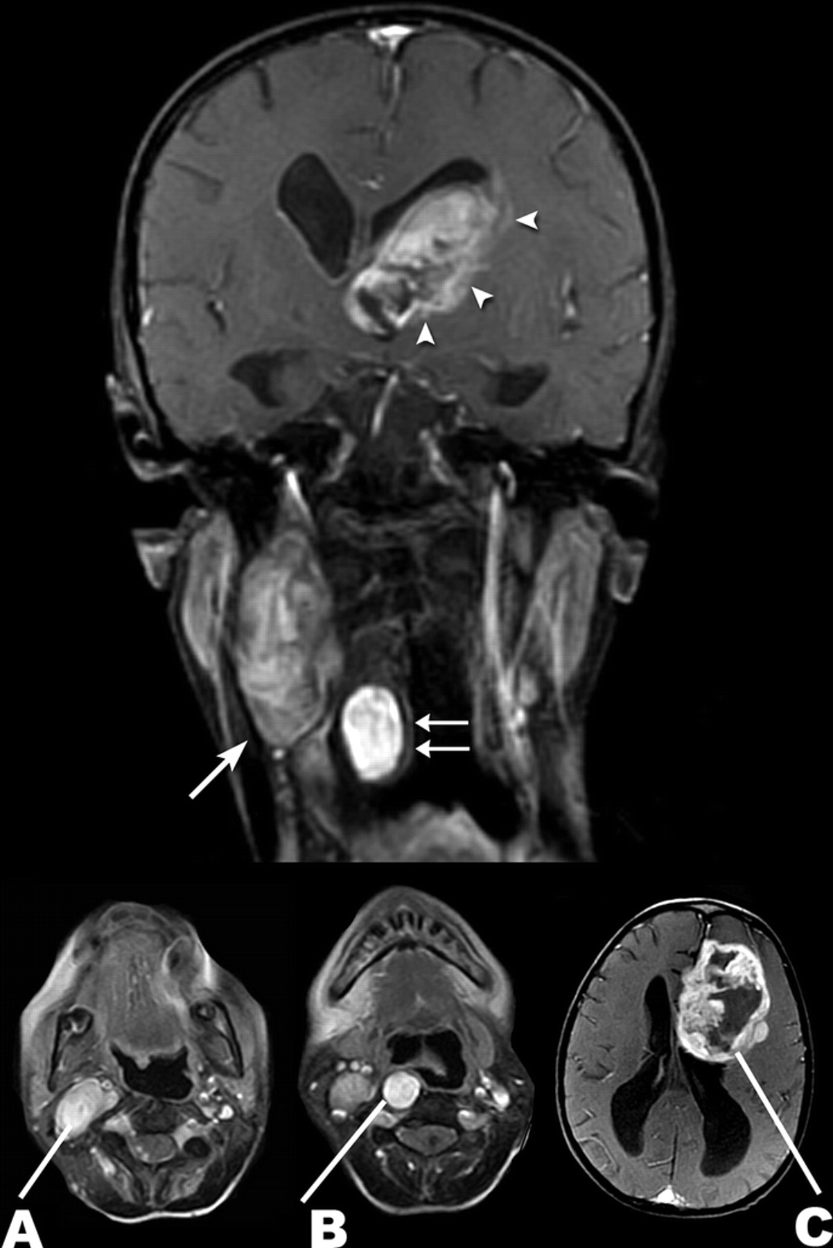
良性和恶性病理神经纤维瘤病1型
梅勒妮•沃克,帕特里克•Gabikian
第一次出版2006年9月25日,
DOI: https://doi.org/10.1212/01.wnl.0000237339.82395.a3
信:快速的网络通信
你可能也会感兴趣
广告
相关文章
-
没有找到相关文章。
提醒我
推荐的文章
- 文章
联系NF1的良性和恶性周边神经鞘肿瘤t·塔克·Wolkenstein j . Revuz et al。
首页神经学,2005年7月25日 - 生物标记物
Genotype-Phenotype相关性神经纤维瘤和潜在的临床应用奇Bettegowda之一Meena Upadhayaya, d . Gareth Evans et al。
首页神经学,2021年7月6日 - 观点和评论
临床与诊断影响neurofibromatoses镶嵌性马蒂诺Ruggieri,苏珊·m·Huson et al。
首页神经学,2001年6月12日 - 首页神经病学临床病理会议
21岁的女人与多个癌症和脑损伤d·希夫E.M. Lam J.E. Parisi et al。
首页神经学,2012年3月5日


