2006年10月10日
;67 (7)
神经图片
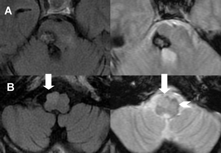
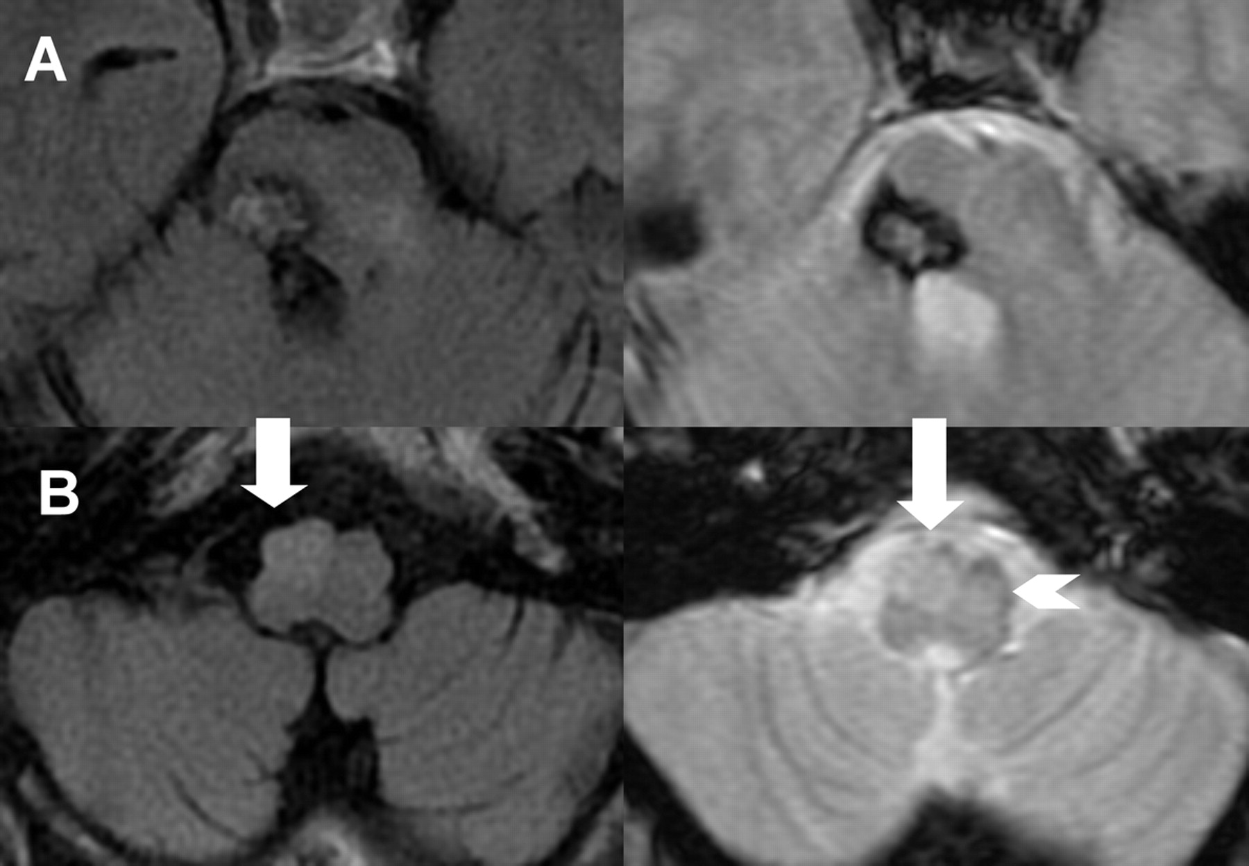
小脑肢体震颤和下橄榄肥大
阿尔贝托·j·Espay,弗雷迪·j·里维拉
第一次出版2006年10月9日,
DOI: https://doi.org/10.1212/01.wnl.0000243947.26950.43
49岁的坐在轮椅上的人是呈现左hemi-paretic,构音障碍的,diplopic后脑干出血。几个月后,他开发了一种逐步禁用左臂震颤。检查显示倾斜偏差,左hemipare-sis,左偏身麻木,躯干的运动失调,姿势和动作近端左臂震颤(视频)。脑部MRI表现出对脑干上部和畸形的同侧下橄榄核二级放大中央盖的呼吸道病变(图)。小脑肢体震颤与对侧的肥厚性劣质橄榄油,类似于二级腭震颤,1延迟性的数周或数月后损伤可能是由于补偿运动系统的变化。2
1。Deuschl G,托罗C, Valls-Sole J, Zeffiro T,哈雷特Zee DS, m .腭震颤症状和必不可少的。1。临床、生理和核磁共振分析。大脑1994年;117年:775年-788年。OpenUrl文摘/免费的全文
2。路易斯·埃德·林奇T,福特B,格林P, Bressman某人Fahn s .延迟性小脑综合症。拱神经1996年;53:450年-454年。OpenUrlCrossRefPubMed
脚注
附加材料与本文可以发现首页网站。去www.首页neurology.org和向下滚动表内容的10月10日问题找到本文的标题链接。
披露:作者报告没有利益冲突。
信:快速的网络通信
你可能也会感兴趣
广告
提醒我
推荐的文章
- 居民和其他部分
珍珠和Oy-sters: Oculopalatal震颤与半桥的出血后综合症亚阿拉丁,詹姆斯•Scozzafava Taim Muayqil et al。
首页神经学,2008年10月13日 - 文章
眼部振荡模式oculopalatal震颤成像的相关性
j·s·金,郑胜耀月亮,k - d。崔et al。
首页神经学,2007年4月2日 - 文章
尾靠近中央的中脑综合症路易吉Mossuto-Agatiello et al。
首页神经学,2006年6月12日 - 情况下
腭震颤和肥厚性卵形的退化作为基底动脉闭塞的后遗症圣扎迦利Bulwa何塞•比勒等。
首页神经学:临床实践,2019年1月14日


