同音异义的偏盲复杂治疗术后鼻出血
活检后的右鼻腔恶性肿瘤的一个60岁的老男人,一个插入22-French Foley阻止术后出血与后未能解决鼻包装。CT扫描获得了第二次尝试通过福利,揭示,导管穿过cribri-form板和留下了pneumocephalic小道穿过大脑创伤出血侧脑室和枕叶。神经系统检查,病人是困惑和一个完整的离开同向偏盲对抗性的视觉领域。大脑成像显示正确的视神经束受伤;光学辐射、外侧膝状体和枕叶幸免(图)。病人出院门诊病人放射治疗鼻腔鼻窦癌细菌未分化。
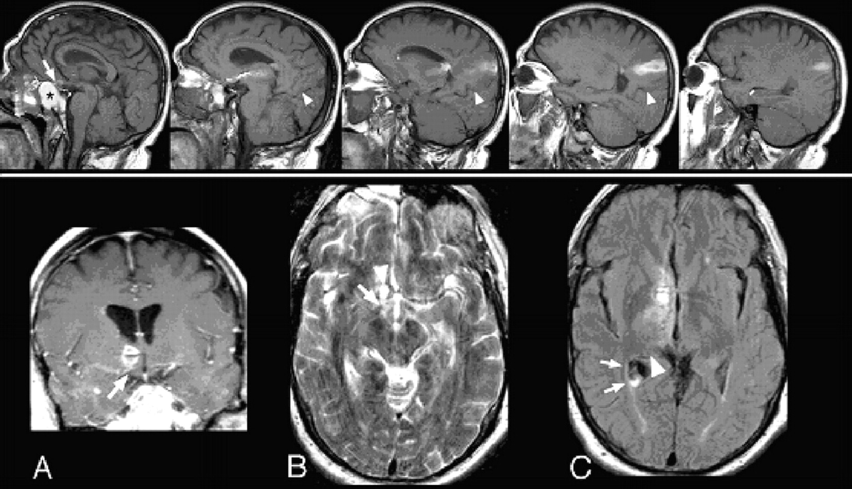
图。未上面板(左到右):节能矢状T1影像显示导管留下了一个不规则的线,一串出血(视为hyperintense信号)的入口点在蝶鞍上蝶窦前(最左边的形象;额叶箭头),通过丘脑,和通过侧脑室后上的右顶叶。蝶窦内可见出血(最左边的图像;黑色星号)。上方的导管小道跑parieto-occipital裂缝(箭头),因此不涉及枕叶。有一个小的集合亚急性血的提示下角(最右边的图片)。底板:(A)右额叶出血是立即优于右侧视神经束(T1增强冠状图像);(B)对视神经束显示异常增加信号(箭头)相邻导管小道(箭头;T2轴向图像); (C) the optic radiations (arrow) and lateral geniculate (arrowhead) are not within the catheter trajectory and are thus spared (FLAIR axial image).
直接穿透性损伤的大脑是一个不寻常的并发症导管插入从鼻腔止血。1
1。Corbett JJ Shults WT,美元年代,Kardon R,文德恩JS,基础上詹。Neuro-ophthalmic颅内并发症导管。神经外科1993年;33:135年-138年。OpenUrlPubMed
脚注
披露:作者报告没有利益冲突。
信:快速的网络通信
你可能也会感兴趣
相关文章
-
没有找到相关文章。
提醒我
推荐的文章
- 文章
外侧膝状体核的损害评估视觉通路的失踪的节点
雅典娜Papadopoulou劳拉盖太诺,Armanda费等。
首页神经学,2019年4月10日 - 文章
视网膜神经元的轴突丧失在多发性硬化症与光学辐射损伤有关亚历山大•Klistorner Prima·Nikitha Vootakuru et al。
首页神经学,2014年5月16日 - 文章
视神经neuritis-induced女士长期结构性变化在视觉通路马克•Pawlitzki Marc Horbrugger克里斯蒂安·洛伊等。
首页神经学:神经免疫学和神经炎症,2020年1月22日 - 文章
同音异义的偏盲在904例Clinical-anatomic相关性
x张棚s, m·j·林恩et al。
首页神经学,2006年3月27日


