2009年10月27日
;73 (17)
居民和其他部分
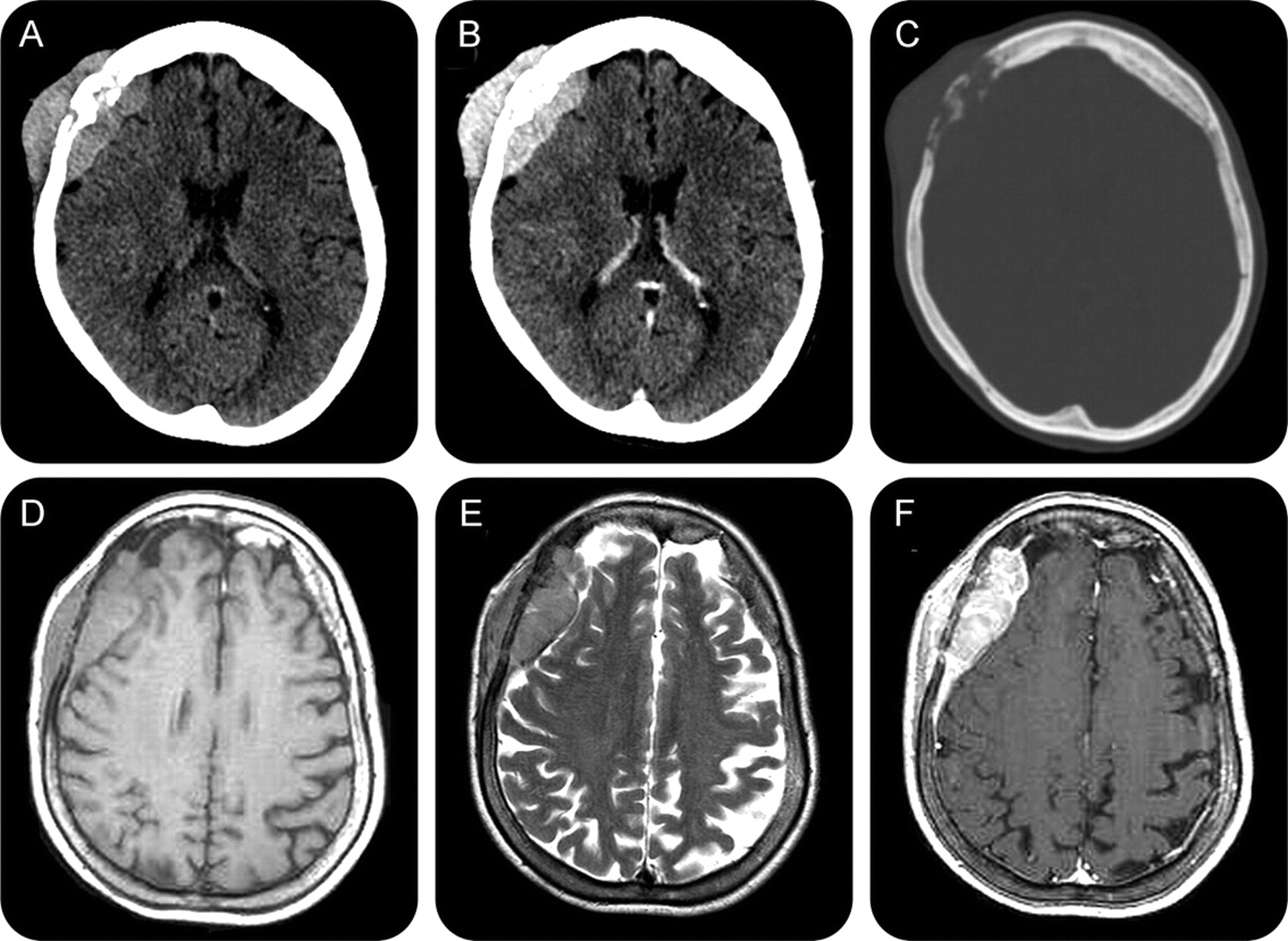
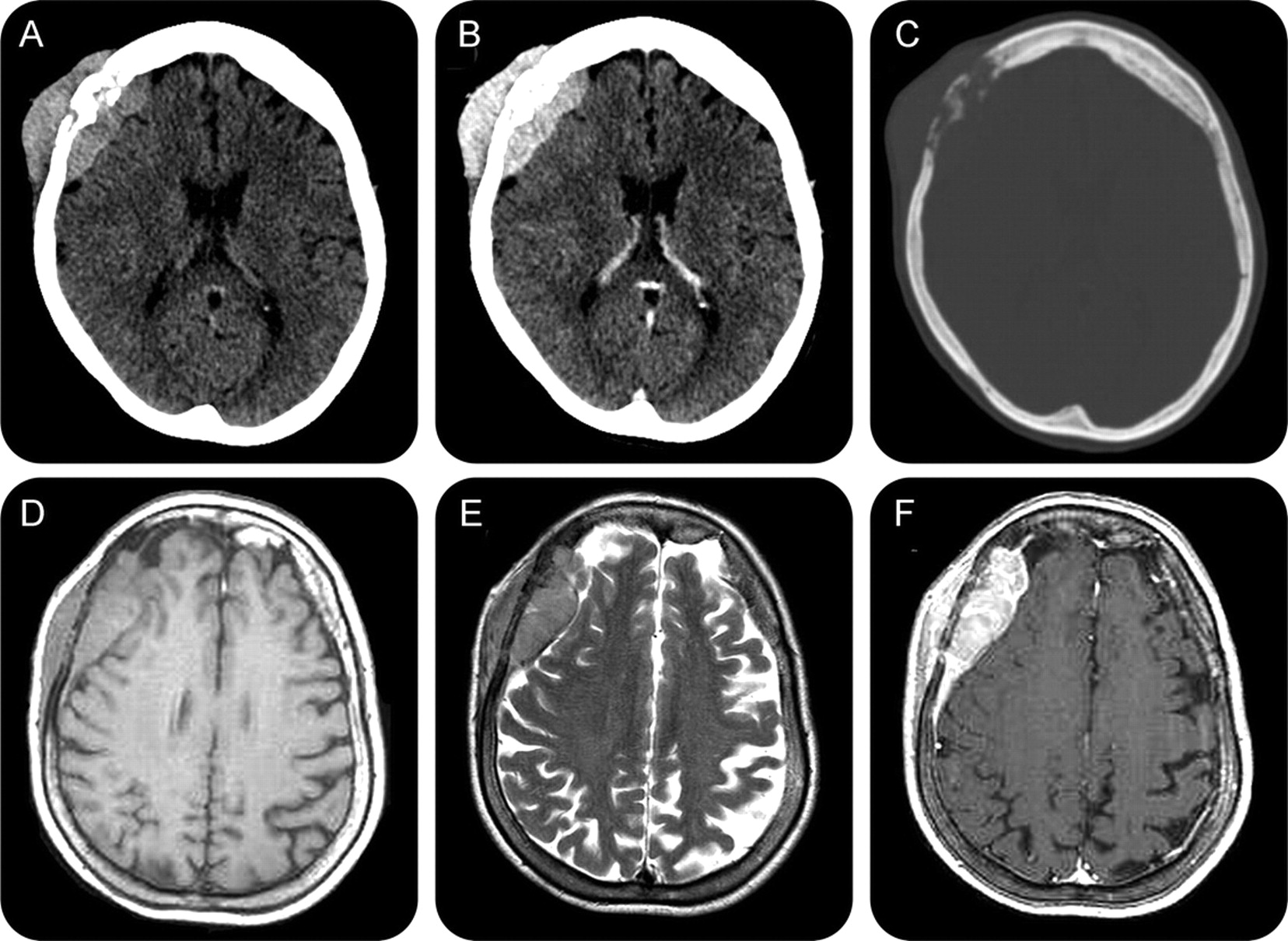
教学神经图片:主要弥漫型大b细胞淋巴瘤的颅穹窿
d·里纳德,c . Campello,o . Beraru,p . Bouillot,p . Labauge
第一次出版2009年的10月26日,
DOI: https://doi.org/10.1212/WNL.0b013e3181bd8283
c . Campello
o . Beraru
p . Bouillot
p . Labauge
一个67岁的女人面对痛苦的右侧头皮肿胀。大脑成像显示颅内和颅外额质量损伤,骨质破坏当地颅(图)。放射诊断包括恶性脑膜瘤、原发性骨肿瘤和骨转移。胸、腹部、骨盆和轨道CT扫描,骨显像,全身PET,骨髓活检,腰椎穿刺,眼科检查(包括裂隙灯检查)显示没有其他病变。打开病变活检显示弥漫性恶性大b细胞非霍奇金淋巴瘤的硬脑膜、颅骨头。6 R-CHOP周期(利妥昔单抗与环磷酰胺、阿霉素、长春新碱和泼尼松)方案就开始了。主骨(最常非霍奇金淋巴瘤)是罕见的。1、2在我们的例子中,相关的硬脑膜参与(这似乎是次要的)大脑成像和组织学。原发性骨肿瘤通常有一个有利的结果,特别是在治疗疗法相结合。临床阶段是最重要的预后变量在预测总体存活率。
脚注
披露:作者报告没有披露。
信:快速的网络通信
你可能也会感兴趣
广告
相关文章
-
没有找到相关文章。
提醒我
推荐的文章
- 文章
主要leptomeningeal淋巴瘤国际原发性中枢神经系统淋巴瘤协作小组报告
珍妮·w·泰勒,Eoin p·弗拉纳根,布莱恩·奥尼尔et al。
首页神经学,09年10月,2013年 - 情况下
EBV-positive原发性中枢神经系统淋巴瘤局限于脊髓圆锥的免疫活性的主机瑞尼阿尔瓦雷斯,马修·d·霍尔莱尔Feinstein et al。
首页神经学:临床实践,2019年3月27日 - 文章
救助全脑放射治疗复发或难治性原发性中枢神经系统淋巴瘤安德烈亚斯·加热,丽莎·m·DeAngelis Joachim Yahalom et al。
首页神经学,2007年9月10日 - 文章
大剂量甲氨蝶呤或无利妥昔单抗在新诊断原发性中枢神经系统淋巴瘤马提亚Holdhoff Prakash阿姆巴迪,艾哈迈德·阿卜杜拉齐兹•et al。
首页神经学,2014年6月13日


