2009年10月27日
;73 (17)
居民和其他部分
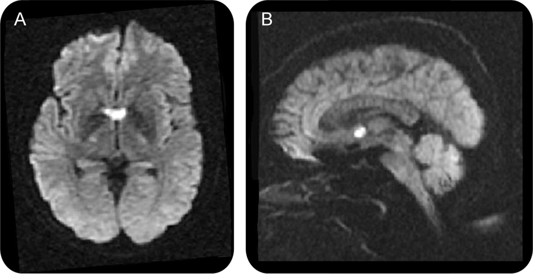
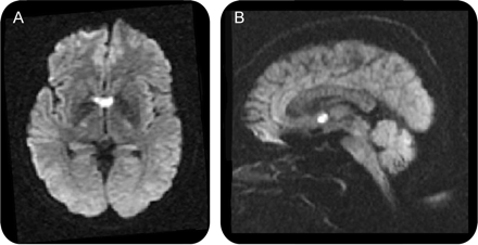
教学神经图片由于穹窿梗死:遗忘
b . l . Adamovich,g . Gualberto,t·罗伯茨,m . w .上流社会的,l·古特曼
第一次出版2009年的10月26日,
DOI: https://doi.org/10.1212/WNL.0b013e3181bd80af
b . l . Adamovich
g . Gualberto
m . w .上流社会的
一个53岁的右撇子老师发达急性混乱和短期记忆困难,包括重要的逆行,顺行性遗忘。智慧完好无损。她重复短语说最近没有召回,问不恰当的问题。
细微精神状态检查是正常的,除了不能回忆起任何3对象后5分钟。她没有其他神经系统异常。CT血管造影技术和超声心动图显示没有血栓栓塞源。失忆坚持2个月后。
脚注
披露:Adamovich博士和Gualberto报告没有披露。罗伯茨博士收到资金从强生。上流社会的接受谢礼博士在NIH研究部分(成人精神病理和疾病老化研究的部分);的编辑委员会衰老、神经心理学和认知;并担任专家证人在法医学的程序。古特曼博士获得了研究支持试验由Jacobus制药公司赞助,Inc .(π)Jacobus制药公司,Inc .(π),Genzyme公司(PI),施瓦兹生物科学(coinvestigator) Avanair制药(coinvestigator)和Idec, Inc . (coinvestigator)。
信:快速的网络通信
你可能也会感兴趣
广告
相关文章
-
没有找到相关文章。
主题讨论
提醒我
推荐的文章
- 河畔年度会议摘要
2016年新兴科学项目时间表et al。
首页神经学,2016年7月11日 - 河畔年度会议摘要
2015年新兴科学文摘et al。
首页神经学,2015年7月27日 - 河畔年度会议摘要
2012年新兴科学文摘et al。
首页神经学,2012年9月10日 - 文章
快速与多发性硬化疾病在非洲裔美国人kist, e . Chamot J.H.培根et al。
首页神经学,2010年7月19日


