2010年2月16日
;74 (7)
居民和其他部分
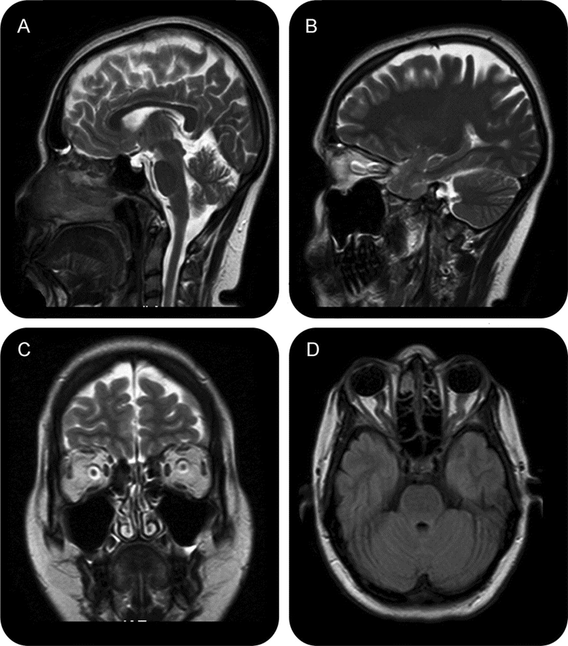
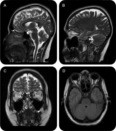
教学神经图片:特发性颅内高血压
核磁共振特性
Haseeb哈桑,Abhijit Das,Neeraj n . Baheti说,Ashalatha Radhakrishnan
第一次出版2010年2月15日,
DOI: https://doi.org/10.1212/WNL.0b013e3181cff723
Haseeb哈桑
Abhijit Das
Neeraj n . Baheti说
Ashalatha Radhakrishnan
信:快速的网络通信
你可能也会感兴趣
广告
相关文章
-
没有找到相关文章。
提醒我
推荐的文章
- 文章
过度诊断特发性颅内高血压Adeniyi Fisayo博·b·布鲁斯南希·j·纽曼et al。
首页神经学,2015年12月30日 - 文章
特发性颅内高血压的临床过程与横窦狭窄布莱恩·d·Riggeal博b·布鲁斯·阿米特·m·Saindane et al。
首页神经学,2012年12月26日 - 社论
特发性颅内高血压吗?斯蒂芬•西尔伯斯坦·d·罗伯特·c·麦金斯三世et al。
首页神经学,2003年5月13日 - 文章
特发性颅内高血压患者死亡率IH注册登记山姆·m·爱马仕尼克·r·米勒Carin Waslo et al。
首页神经学,2020年3月27日


