2010年3月2日
;74 (9)
居民和其他部分
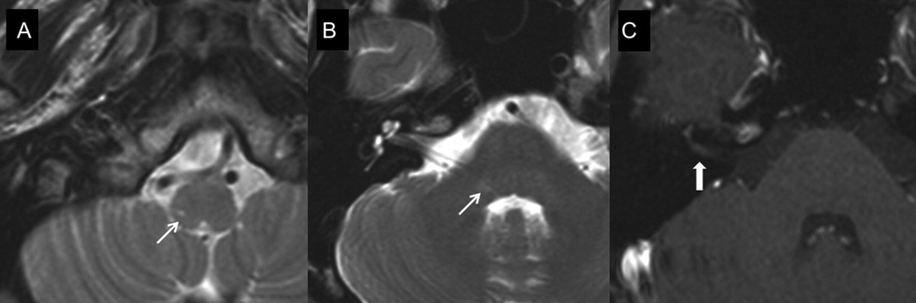
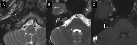
教学神经图片:MRI Ramsay-Hunt三叉神经带状疱疹后综合症
Donghoon哦,Seong-Ho公园
第一次出版2010年3月1日,
DOI: https://doi.org/10.1212/WNL.0b013e3181d25b4a
Donghoon哦
Seong-Ho公园
信:快速的网络通信
你可能也会感兴趣
广告
相关文章
-
没有找到相关文章。
主题讨论
提醒我
推荐的文章
- 居民和其他部分
珍珠和Oy-sters:三叉神经病变与口唇疱疹佐藤Umehara,对面奥卡河,Chizuko丰田等。
首页神经学,2012年11月5日 - 临床/科学的笔记
拉姆齐亨特综合症与MRI脊髓三叉神经核和呼吸道的参与劳尔•g . Nogueira威廉·w·斯利等。
首页神经学,2003年11月10日 - 临床/科学的笔记
水痘带状疱疹感染脑干紧随其后BROWN-SÉ带综合症马龙·s·马修斯,格兰特c·索金迈克尔Brant-Zawadzki et al。
首页神经学,2009年5月26日 - 文章
最优脑深部刺激网站和目标连接慢性丛集性头痛Harith Akram莎拉·米勒苏茜Lagrata et al。
首页神经学,2017年10月13日


