蛛网膜下腔出血的临床推理:一种罕见的原因
第一节
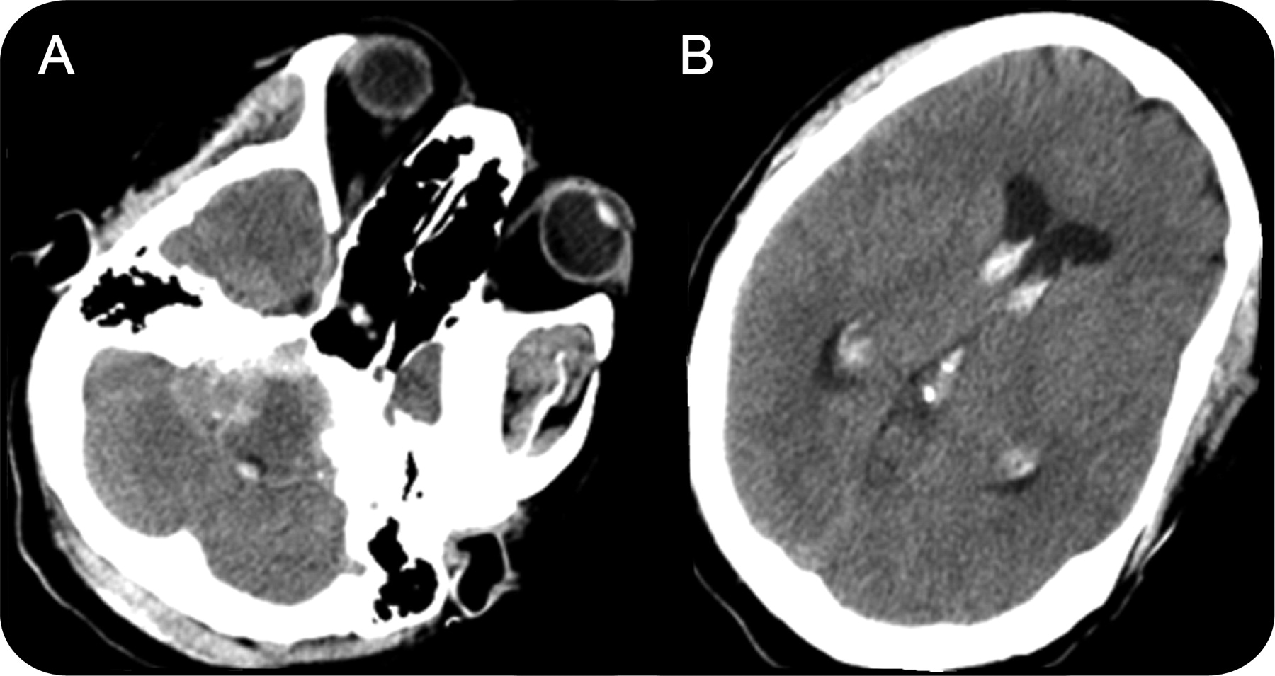
一个48岁的女人面对严重头痛辐射脖子和胸部,其次是短暂的意识丧失在急诊室。她苏醒后,病人描述了2年历史的右侧搏动性耳鸣和听力损失。她也有高血压和不遵守她的药物控制不好。在检查她的血压239/90毫米汞柱,不起眼的神经检查结果。脑蛛网膜下腔出血CT显示(图1A和B)。
考虑的问题:
蛛网膜下腔出血的可能的病因是什么?
你会考虑什么额外的诊断检测?
第二节
CT血管造影术的头部和颈部没有透露任何颅内动脉瘤或血管畸形(图2A和B)。然而,大量存在于正确的颞骨颈静脉孔与侵蚀和侵犯的权利内部声学运河。MRI证实其高血管性质量包含大量流动的空洞。质量位于外侧的髓质和扩展优小脑桥脑角水箱。它扩展下级向上级的方面对肿块空间和流离失所的右颈内动脉(图2C)。
(一)CT血管造影显示一个增强颈静脉孔质量扩展到颅后窝。(B)加强在颅底肿瘤的质量。(C)核磁共振t2加权图像显示满头花白的外观。(D)选择性右咽升血管造影横向视图显示一个hypervascularized肿瘤脸红,由两个主要从扩大右咽升动脉分支。
Catheter-based脑血管造影术显示一个强烈的其高血管性肿瘤脸红从上级方面正确的颈动脉鞘的头骨基地(图2D)。的主要喂养动脉分支内部上颌动脉,咽升动脉、耳后动脉。耳朵、鼻子和喉咙的评估显示红色的质量在中耳可见鼓膜和右声带麻痹性痴呆与最小的绑架。患者否认有任何声音沙哑,吞咽困难、构音障碍、或局灶性神经赤字。
考虑的问题:
你的诊断是什么?
你将如何管理这个病人?
第三节
24小时尿液样本演示变肾上腺素升高(1519μg / 24小时;参考,95 - 475μg / 24小时)和normetanephrine(567μg / 24小时;参考,52 - 310μg / 24小时)水平但正常尿vanillylmandelic酸。没有肾上腺质量上腹部核磁共振。高血压病人的治疗与酚苄明nicardipine,美托洛尔和肼苯哒嗪。
术前栓塞后右颈外动脉喂食器,病人接受经岩/颞颥骨下的窝肿瘤切除的方法。一个大红色的质量被认为中耳内的空间与大量的扩展通过颅底和颅内。通过颈静脉孔肿瘤扩展,有相当大的侵蚀的岩石的颞骨的顶点。颅内肿瘤毗邻的横向部分降低脑桥和髓质。有几个大型的前下小脑动脉动脉喂食器。颈内静脉大大膨胀与肿瘤扩展几厘米下级内部的腔静脉。肿瘤的这一部分被全体测量8.0厘米,1.7厘米,0.8厘米。腊肠形出血性肿瘤与凝胶状的外观,切割面观察了齐次tan粉红色的外观(图3A和B)。其余的肿瘤被零碎的时尚。访问所需的肿瘤面部神经改道的。肿瘤转移附近舌咽神经、迷走神经、脊髓配件,和舌下神经。
(A, B)的部分质量从颈静脉腔内发现了一个肿瘤,8厘米×1.7厘米×0.8厘米,谭粉红色切割面。质量的显微照片(C,苏木精和伊红)揭示了一个高度血管化肿瘤与肿瘤细胞巢(zellballen)隔开小血管。(D) CD34染色突显出血管。(E)扩散chromogranin免疫反应性。(F)分散S100-positive细胞(支撑的细胞)。
显微镜下,肿瘤血管(很图3C和D)。肿瘤内部的血管将细胞分成不规则组织造成zellballen模式(图3C和D),血管明显由CD34染色(图3D)。主要的细胞被chromogranin积极(图3E)和synaptophysin(没有显示)。支撑的细胞被S100积极(图3F)。解剖诊断jugulotympanic副神经节瘤。手术后,她立即耳鸣解决。病人开发了新的面部从面部神经改道的弱点,继续改善。她的高血压也有所改善,但并没有完全解决。
讨论
副神经节瘤是一种很不寻常的蛛网膜下腔出血的原因。据我们所知,这是第二例文献报道。1副神经节瘤,也称为chemodectomas或血管球瘤是罕见的肿瘤来源于extra-adrenal paraganglionic组织被认为起源于神经嵴。2他们在生理上嗜铬细胞瘤相似。据估计,副神经节瘤占30000的头部和颈部肿瘤。副神经节瘤的头部和颈部4主要地点:颈静脉球,中耳腔,迷走神经和颈动脉体。最常见的头颈部副神经节瘤是颈动脉体瘤,其次是jugulotympanic副神经节瘤(血管球tympanicum和颈静脉),然后通过迷走神经的副神经节瘤(血管球vagale)。2血管球tympanicum中耳是最常见的肿瘤,起源于在耳蜗海角paraganglionic组织。颈静脉肿瘤源自paraganglionic沿着颈静脉球动脉外膜组织。当他们的起源到海角不能确定,他们被称为jugulotympanic副神经节瘤。3
组织学检查副神经节细胞包含2类型:主要细胞和支持支撑的细胞。这些都是典型的安排在“细胞球”(zellballen)著名的毛细管网包围着。首席细胞含有猴颗粒充满儿茶酚胺。3通过免疫组织化学分析,细胞染色标记的神经分化,包括synaptophysin特异性神经元烯醇酶,chromogranin。4支撑的细胞染色和S100局部与胶质原纤维酸性蛋白。它们的功能还不清楚。2
副神经节瘤是良性的,但无节制的增长会造成广泛的破坏。患者血管球tympanicum和颈静脉通常有相似的临床特征,如跳动的耳鸣和听力损失,这是有关这个肿瘤血管的生长中耳内的空间。在后期,低颅神经病变(舌咽神经、迷走神经和辅助神经)也常见。5临床上重要的激素分泌出现在只有2%的病人。迹象暗示激素活性的肿瘤(如不稳定高血压、面部发红,和心动过速)授权全面评估排除嗜铬细胞瘤。3症状颅内肿瘤扩展往往是微妙的,除非是大到足以引起脑干压缩或脑积水。蛛网膜下腔出血的症状很常见但并不奇怪,考虑到这些病变高度血管的性质及其与高血压频繁联系。
CT成像很好展示骨破坏颅底的变化特征。MRI优越评估肿瘤血管分布和扩展。在t1影像副神经节瘤出现hypointense斑点出现。gadolinium-enhanced T1影像,早期和明显增强,目睹其高血管性肿瘤的性质。蛇形流空模式,描述为“问世”的外表,是这些肿瘤的特点。3神经影像可能允许分化2其他常见的副神经节瘤颈静脉孔损伤、脑膜瘤、神经鞘瘤。主要颈静脉孔脑膜瘤的特点是一个permeative僵化的骨颈静脉孔的边缘和硬脑膜的反面的存在。的颈静脉孔神经鞘瘤导致扩张贝壳well-corticate骨边缘,没有头骨基渗透。6
其高血管性副神经节瘤是一个挑战,因为他们的管理性质,在诊断晚期,艰难的解剖位置。手术仍然是最主要的治疗年轻患者健康的功能性颅神经赤字。放射治疗或立体定向放射治疗可以作为辅助手术,作为主要治疗模式在可怜的手术适应症的患者或双边疾病。3
信息披露
Emami博士,博士Panichpisal Benardete博士,汉森博士Mangla博士和饶博士报告没有披露。贝尔德博士是这篇社论的董事会中风和中风的研究和治疗;已经收到了校内和校际比赛的资金国家卫生研究院;基本专利的发明人re:微分与急性中风相关分子的表达和未决专利re:分子的微分表达式与血管疾病风险和相关脑出血;曾担任顾问Avanir药品;和已经收到资金为旅行和议长谢礼Avanir制药和三菱田边制药公司。
神秘的情况下反应
系列是由神秘的情况首页®居民和部分开发实习生的临床推理能力。实习项目,医学院学生教师和个人被邀请去使用这个神秘的情况下作为一个教育工具。响应请求通过集团电子邮件和社交媒体包括Facebook和Twitter。团体或个人阅读案例演示,开发自己的鉴别诊断,并确定什么诊断测试应预制。
有16对这个神秘的案例中,2是通过社交媒体提交。除了一个提交来自个人。都是合理的和周到,许多人详细,包括微分的广泛讨论和可能的测试和治疗方案。
绝大多数的受访者认为患者的耳鸣和间歇高血压史。最常见的诊断建议是副神经节瘤的正确诊断,显示50%的受访者。额外的考虑,按照降序排列,他们引用的次数,包括动静脉畸形、小脑桥脑角肿瘤,颈动脉解剖,先天性畸形,可逆的大脑血管收缩综合症。
最常推荐的诊断测试是血管造影术(54%的受访者)。降序排列的其他建议的次数,他们引用包括核磁共振对比,24小时尿儿茶酚胺代谢产物收集,耳镜检查,CT和胸部,腹部和骨盆。
这是第三个神秘案件发表在居民和其他部分首页®。这个案例展示了多峰性成像的重要性和注意系统性症状,这可能帮助医生做出正确的诊断。
基思·r·Ridel MD
脚注
看到页面e46神秘反应。
- 版权©2011年长企业公司,。
引用
- 1。↵
- 2。↵
- 弗林特PW,
- 豪伊黑洞,
- 隆德VJ,
- et al。
- 一天助教,
- 布克曼l,
- RumboldtZ,
- 乔JK
- 3所示。↵
- 4所示。↵
- Prayson类风湿性关节炎,
- 戈德布拉姆小
- Prayson类风湿性关节炎
- 5。↵
- 6。↵
信:快速的网络通信
你可能也会感兴趣
提醒我
推荐的文章
- 居民和其他部分
与晕厥的临床推理:一位51岁的女人和多发性颅神经病变Ioannis卡拉奇,Rodica e . Petrea Janice Wiesman et al。
首页神经学,2008年8月18日 - 居民和其他部分
临床推理:一个40岁的女人,肩胛骨的飞行和言语障碍穆罕默德Aladawi迈克尔·Punsoni Ezequiel Piccione et al。
首页神经学,2021年5月12日 - 居民和其他部分
教学实验:Collet-Sicard综合症和听力损失与血管球jugulotympanicumAravind Ganesh Zarina阿西斯,丹尼尔Fok)等。
首页神经学,2019年9月30日 - 临床/科学的笔记
自发的颈内动脉解剖与孤立的迷走神经赤字迈克尔•Moussouttas斯坦利Tuhrim et al。
首页神经学,1998年7月1日


