临床推理:进步的认知能力下降的逆转,大脑中动脉支架位置
第一节
46岁的右撇子的非洲裔美国人出现在急诊室后10分钟一集的突发左侧虚弱和口齿不清。他有显著左小脑卒中病史6年前。这个事件发生在一个物理训练,被认为是次要的椎动脉解剖。1,2他被放在阿司匹林每日81毫克。病人有微小残留赤字,左脸麻木和听觉减退。他不吸烟,喝酒,或使用毒品。没有中风或血管疾病的家族史。
在最初的检查,病人血压正常的人。他的精神状态是完好无损,细微精神状态检查(MMSE)的30/30。没有失用症、失语或视野赤字。颅神经检查结果正常除了左听觉迟钝和左面部麻木针刺V1-V3分布。眼底检查可显示任何视神经乳头水肿和血管病变。运动、感觉和小脑考试是正常的。深部腱反射与双边2 +在足底的反应。
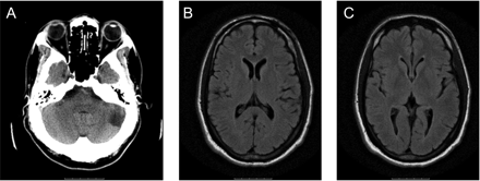
实验室测试包括一个完整的血细胞计数、血清化学、凝固面板,肝功能测试是正常的。心电图显示正常窦性心律和左心室肥大的证据。核磁共振成像显示,没有证据表明急性颅内异常;一种慢性左小脑梗塞是(图1)。CT血管造影显示严重双侧大脑中动脉(MCA)狭窄,更糟糕的是在右边,以及一个没有左椎动脉由传统血管摄影证实(图2一个)。
头部CT (A)在入学证明慢性左小脑梗塞。Fluid-attenuated反转恢复(天赋)MRI入院时没有证据显示大脑中动脉缺血性改变领土(B),天赋也负(C)。
考虑的问题:
颅内狭窄的鉴别诊断是什么?
诊断的研究应该考虑什么?
第二节
颅内大舰艇狭窄最常见的原因是颅内动脉粥样硬化性疾病。3其它不太常见的中枢神经系统的主要原因是脉管炎,一种罕见的和鲜为人知的血管炎性疾病形式限制大脑和脊髓,和中等的中枢神经系统血管炎。这些异构群失调表现为血管炎症,产生不同但经常重叠的临床表现。组织学变化允许分类涉及根据容器的大小。这些包括巨细胞动脉炎、多动脉炎、系统性血管炎继发于韦格纳肉芽肿病、系统性红斑狼疮、干燥综合征、胶原疾病,与神经皮肤综合征或恶性肿瘤(leukocytoclastic血管炎,血管内淋巴瘤)。检测不到发炎其他迹象要考虑血管病变包括血管痉挛(cocaine-induced,可逆的大脑血管收缩综合症)、感染(莱姆病,meningovascular梅毒和艾滋病感染),和血液条件(即。镰状细胞病)。其他血管病变与颅内血管病变狭窄是辐射和肌纤维发育不良有关。最后,检测不到发炎性烟雾病是一种迹象的血管病变与进步的狭窄或闭塞颈内动脉远端和近端脑动脉。4
这个病人的评估包括脂质板、24小时动态心电监测和超声心动图。由于病人的年轻时代,被认为是一个血凝过快面板。磁共振血管造影术以来没有足够的分辨率记录介质的变化和小血管血管炎,血管造影进行更好的评估颅内血管,以及寻找解剖的证据。CSF分析的证据vasculitic炎症过程和重要的是,排除感染进程或恶性肿瘤。艾滋病毒检测和尿毒理学也执行。
除了高总胆固醇(190 mg / dL)和低密度脂蛋白(130 mg / dL)的水平,评价是负数,技术包括负面结果超声心动图,血凝过快面板,CSF分析、血清学检查,艾滋病毒检测,尿毒理学,外围涂片,镰状细胞筛选。24小时动态心电监测上没有发现心律失常。脑血管造影术显示中度到重度的右MCA狭窄和温和派左MCA狭窄(图2),没有急性解剖或潜在的血管病变血管痉挛的证据。决定治疗与药物治疗病人。阿司匹林是停止,病人是放在氯吡格雷,辛伐他汀,低剂量氨氯地平与没有症状的复发。
两个月后,病人回到诊所的投诉间歇性麻木和弱点在他的左边。他经历了大幅下降记忆和功能状态。他无法返回工作岗位。他的妻子说,他出现“慢”和易怒。他开始拖着左腿走路时,开车时迷路了。他注意到有一个温和的轻偏瘫在左边。他的MMSE拒绝26/30。
考虑的问题:
额外的测试你会考虑什么?
你会推荐的变化他的医疗方案吗?
第三节
病人接受治疗医学上对颅内狭窄,现在与恶化的症状了,进步奔袭赤字以及认知能力下降。没有随机数据支持的实践转换的抗凝抗血小板药物或使用颅内狭窄。5大脑MRI显示排除急性或亚急性梗死的存在。CT血管造影应考虑评估颅内恶化狭窄和低灌注。神经心理测试进行更好地定义领域的认知障碍。
与乙酰唑胺显示减少灌注SPECT扫描大脑半球,更糟糕的是在右边,符合减少血管储备MCA领土(图3)。神经心理评估(提供了额外程度的敏感性的检测脑功能障碍)强烈建议赤字在右半球功能(受损的视觉空间的判断,构造失用症,减少了洞察力和自我监控),没有证据表明impersistence(电动机或其他)。他的视觉感知能力下降的受损范围和他的复制复杂的数字是明显的遗漏的元素以及不准确。他缓慢时获取口头信息在列表格式和回忆只有5 10项,尽管多个试验。有证据的执行功能障碍与缺陷时钟画(号码重复,手不正确)。没有任何证据表明焦虑或抑郁。这些孤立的赤字在学习和记忆、执行功能、和视觉空间功能符合减少灌注脑结构提供的MCA,包括颞叶。
SPECT扫描(A, B)和乙酰唑胺(C, D)显示减少灌注的脑半球,更糟糕的是在右边,符合减少大脑中动脉的血管储备地区(A, B) prestent,返回的脑血流量储备植入支架后的(C, D)。
重复MRI没有显示新的梗塞的证据。重复血管造影(图2B)证明恶化MCA狭窄。
考虑的问题:
什么是病人的迅速进步的认知能力下降的原因吗?
在这个阶段你会考虑什么治疗吗?
第四节
这个病人有一个快速进行性痴呆。微分是广泛的,但他知道MCA狭窄和赤字SPECT扫描,最可能的病因是灌注不足。
病人现在已经进步灌注不足的症状,可参考的症状性颅内狭窄,尽管最佳医疗管理,介入管理被认为是。病人接受的翼展self-expandable支架放置正确的MCA (图2C) 2周后SPECT和认知测试。乙酰唑胺脑SPECT重复3天poststent显示改善皮质灌注没有受损的血管储备的新领域图3B)。4周后,重复神经心理测试显示完整的认知功能(平均或更好),包括正常的视觉空间技能,语言学习、记忆和执行功能,除了轻微的缺陷与受益于复杂的视觉记忆检索识别信号。这种患者的颅内疾病的潜在病因仍然不明。
讨论
每年大约有100000患者缺血性事件与颅内动脉粥样硬化疾病,其中大部分是与动脉粥样硬化相关疾病。3颅内狭窄可以导致慢性脑低灌注和脑功能障碍,尽管这些影响是不清楚。6颅外颈动脉疾病的认知改善血管再生后颈动脉内膜切除手术,颈动脉支架植入,颅内或颅外/ (EC / IC)绕过报道。7在过去的十年中,血管成形术和支架植入已成为治疗症状性颅内动脉狭窄的选项。3
在临床的设置,慢性脑灌注不足和认知功能之间的关系通常很难确认老化等因素,系统性疾病,或教育背景可以影响认知能力。神经元可以存在hypofunctional但可行的国家长期的时间设置的减少脑血流量(CBF)和新陈代谢后实验MCA遮挡,这表明这些细胞可能是能利用的CBF的恢复。8使用EC / IC搭桥手术一般在1970年代和1980年代早期治疗患者完全或几乎完全闭塞的颈动脉,但放弃了由于缺乏有效性。9然而,改善认知功能和SPECT灌注已经证据确凿的EC / IC旁路后,表明一群精心挑选的患者可能受益。Sasoh et al。10记录一系列的病人EC / IC旁路与认知障碍的逆转,其中一些人面对轻偏瘫,认知功能障碍,和正常的核磁共振成像,类似于我们的病人。我们的报告记录的客观认知改善神经心理学评估修正后一个可逆SPECT灌注赤字独立MCA的结构性变化在磁共振成像。这说明仔细执行顺序的重要性认知表现患者的颅内血管疾病,因为尽管急性变化对核磁共振,脑灌注不足可导致显著进步的功能缺陷。随着支架的安全性的提高,这可能是一个重要的治疗选择患者颅内狭窄。
信息披露
罗萨里奥博士,明镜,博士和鞑靼报告没有披露。麦克科鲁斯医生是演讲者的局勃林格殷格翰集团和接收研究来自美国国立卫生研究院/研究所的支持。
承认
作者感谢杰佛逊放射学准备SPECT图像。
- 版权©2011年长企业公司,。
引用
信:快速的网络通信
你可能也会感兴趣
相关文章
-
没有找到相关文章。
提醒我
推荐的文章
- 简短的沟通
中国急性中风患者颅内狭窄黄y . n, s . k . s . Wong高et al。
首页神经学,1998年3月1日 - 文章
患病率brain-supplying动脉狭窄和遮挡的年轻的中风患者贝蒂娜·冯·Sarnowski Ulf Schminke奥Tatlisumak et al。
首页神经学,2013年3月6日 - 文章
中风复发患者的症状和无症状性大脑中动脉疾病r·克恩w . Steinke m . Daffertshofer et al。
首页神经学,2005年9月26日 - 文章
在急性栓塞大脑中动脉狭窄Segura t . j .塞雷娜·m·卡斯特罗等。
首页神经学,2001年2月27日


