2011年3月29日
;76 (13)
居民和其他部分
教学神经图片外观:蜂窝Canavan疾病患者的大脑
苏尼尔•普拉丹,Gourav Goyal
第一次出版2011年3月28日,
DOI: https://doi.org/10.1212/WNL.0b013e318212a887
苏尼尔•普拉丹
Gourav Goyal
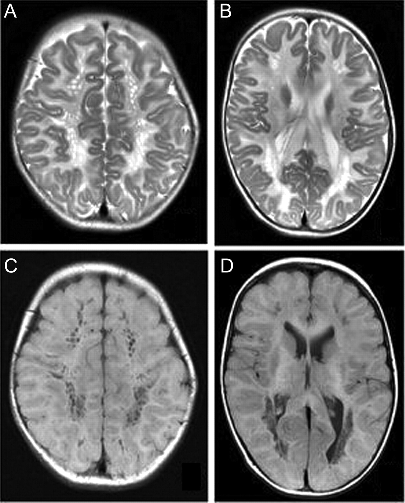
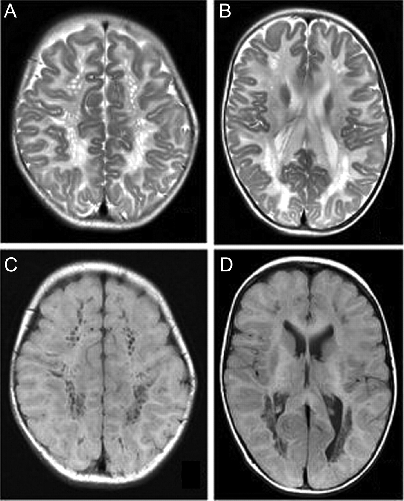
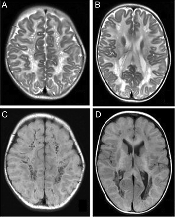
一个一岁的小女孩面对全球发育迟缓和广义主音发作5个月。她出生nonconsanguineous婚姻的任期,但需要复苏postdelivery期间为15分钟。她的头围是47厘米(90)。眼部专家是正常的。她是痉挛性双边反射亢进和伸肌足底的反应。白质的变化对大脑核磁共振1(图1)和高N-acetylaspartate高峰期(NAA)在大脑核磁共振光谱(图2)和尿核磁共振2建议Canavan疾病,一种常染色体隐性dysmyelinating疾病由于缺乏这种酶aspartoacylase催化分解乙酰天冬氨酸。其缺陷导致高NAA浓度血清和尿液。白质的蜂窝状外观可能是由于脑白质营养不良,或者可能的话,额外的产后缺血性事件。
图1
脑部核磁共振成像
T2加权(A, B)和T1 (C, D)大脑的核磁共振显示严重和扩散T2 hyperintense和T1 hypointense白质信号变化表明Canavan疾病。U纤维存在的重要参与。白质内多个圆形或椭圆形囊性改变蜂窝的外表。这些囊性空间的径向排列表明Virchow-Robin空间的扩张由于海绵状白质变性。
脚注
披露:普拉丹博士担任副主编首页神经学印度。Goyal博士报告没有披露。
- 版权©2011年长企业公司,。
信:快速的网络通信
你可能也会感兴趣
广告
相关文章
-
没有找到相关文章。
提醒我
推荐的文章
- 文章
大脑N-acetylaspartate水平与运动机能异染性脑白质营养不良c我大理,低速齿轮汉森,西北巴顿et al。
首页神经学,2010年11月22日 - 文章
夫人神经元标记和T细胞表型的变化观察到在早期艾滋病毒感染m·r·Lentz诉w . k . Kim Lee et al。
首页神经学,2009年4月27日 - 文章
定量1 h先生光谱成像在早期Rett综合症a . Horska s Naidu再见Herskovits等。
首页神经学、08年2月,2000年 - 文章
质子核磁共振光谱成像与弥漫性中枢神经系统hypomyelination童年共济失调g·泰德斯r . Schiffmann西北巴顿et al。
首页神经学,1995年8月1日


