2012年9月18日,
;79 (12)
居民和其他部分
教学神经图片:Duret出血由于双边硬膜下血肿导致核间眼肌麻痹
Rob pw Rouhl,智囊机构a Postma
第一次出版2012年9月17日,
DOI: https://doi.org/10.1212/WNL.0b013e31826aacc3
Rob pw Rouhl
从神经学部门(R.P.W.R.)和放射学(儿科学首页会),马斯特里赫特,荷兰马斯特里赫特大学医学中心。
医学博士
智囊机构a Postma
从神经学部门(R.P.W.R.)和放射学(儿科学首页会),马斯特里赫特,荷兰马斯特里赫特大学医学中心。
医学博士
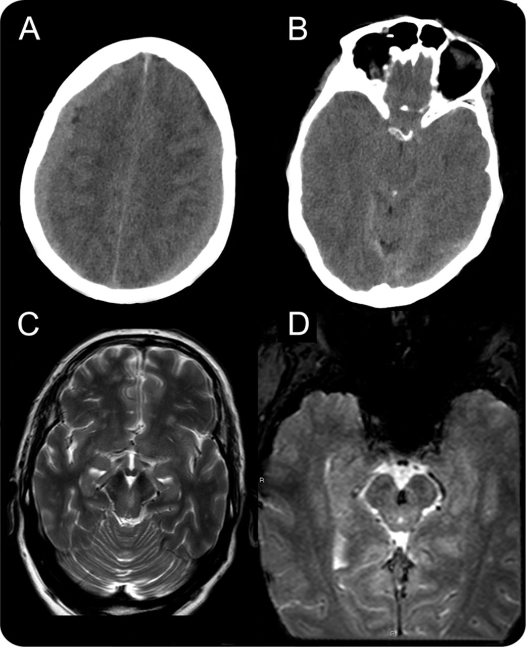
一个67岁的老人与心房颤动的临床历史和口服抗凝剂使用了头痛和呕吐,昏迷在几小时内迅速恶化。CT显示双边硬膜下血肿transtentorial疝和脑干压缩(图)。得到了双边磨洞。术后复苏的除了左前核间眼肌麻痹瘫痪的内收的左眼右外侧目光收敛与保存)。
图
成像
CT显示双边硬膜下血肿(A)和中部和uncal transtentorial形成疝与脑干压缩(B)。T2加权图像(C)显示了一个小区域的左侧中脑hyperintensity内侧内侧纵束和眼球运动的核,与敏工件T2 *图像(D),相应的含铁血黄素。
随后的核磁共振显示局部病变在中脑的中央部分解释为Duret出血(所示图)。一般来说,Duret出血被认为是严重的,往往致命的,大脑形成疝并发症,1然而,微妙的神经赤字,如核间眼肌麻痹,可能是它唯一的标志。
作者的贡献
R.P.W. Rouhl,医学博士,导致起草和修改的手稿(医疗)内容和数据的分析和解释。嗜Postma,医学博士,导致起草和修改的手稿(医疗)内容和数据的分析和解释。
脚注
作者报告没有披露相关的手稿。去首页Neurology.org为充分披露。
- 版权©2012年长企业公司,。
信:快速的网络通信
你可能也会感兴趣
广告
相关文章
-
没有找到相关文章。
提醒我
推荐的文章
- 文章
单边伊诺与眼部倾斜反应pontomesencephalic病变间接宾语+
a . Zwergal c . Cnyrim诉Arbusow et al。
首页神经学,2008年8月18日 - 居民和其他部分
珍珠和Oy-sters:中央第四神经麻痹丹尼尔·r·金(Robert k . Shin史蒂文Galetta et al。
首页神经学,2012年12月03日 - 临床/科学的笔记
伤到一个特定的神经通路被ultra-high-field MRI肯•Sakaie Masaya Takahashi, Koji Sagiyama et al。
首页神经学,2013年11月27日 - 临床/科学的笔记
双边伊诺:不寻常的眼跳入侵模式,来自豪尔赫·奥特罗-米兰David s . David r . Benavides Zee et al。
首页神经学,2015年9月23日


