识别和利用缺血半影
文摘
界限不明的概念被定义为不同区域内的缺血性地区演变成不可逆的脑损伤,这进化最重要联系的严重程度减少脑血流量(CBF)。缺血半影最初被定义为一个地区的CBF减少缺席自发或感应电势仍然维持离子体内平衡和跨膜电势。CBF的水平降低到10至15毫升/ 100克/分钟,大约25毫升/ 100克/分钟可能会确定界限不明的组织,和不可逆的缺血组织的缺血核心CBF值低于低阈值。确定这个极度贫困的作用从CBF脑组织进行分流病人的血管内治疗缺血性进化。综述我们关注基础科学的界限不明的概念和识别使用各种成像技术(PET、MRI和CT)在动物模型和人类研究。另一篇文章在这补充地址的临床意义和当前的理解和应用这一概念进入血管内治疗缺血性中风的临床实践。
术语表
- ADC=
- 表观扩散系数;
- CBF=
- 脑血流量;
- CBV=
- 脑血容量;
- CMRO2 =
- 脑氧代谢率;
- 化解=
- 扩散和灌注成像评价了解中风的进化;
- 迪亚斯二世=
- Desmoteplase在急性缺血性中风的审判;
- 醉酒驾车=
- diffusion-weighted核磁共振;
- 绰号=
- Echoplanar成像评价溶栓试验;
- 麻省理工=
- 平均运输时间;
- OEF=
- 氧萃取率;
- 预警指示器=
- perfusion-weighted核磁共振;
- T马克斯 =
- 时间最大浓度;
- tPA=
- 组织纤溶酶原激活物
缺血半影的概念最初提出的Astrup et al。1代表一个重要的里程碑,理解的时空演化焦缺血性脑损伤。界限不明的概念表明,缺血区域内的不同地区演变成不可逆的脑损伤,这进化最重要联系的严重程度减少脑血流量(CBF)。缺血半影最初被定义为一个地区的CBF减少缺席自发或感应电势仍然维持离子体内平衡和跨膜电势。这个狭窄的定义已经进化,2应该专注于随后的定义。Hossmann2缺血半影为“一个地区的特征约束能量代谢是保存的血液供应。“在社论,金斯堡和Pulsinelli3修改这个定义,表明能量代谢可能在缺血半影间歇性地妥协。如果缺血半影特点是这些方法,然后减少CBF水平较低的阈值之间的10 - 15毫升/ 100克/分钟和上层阈值大约25毫升/ 100克/分钟可能会确定的。缺血性梗塞的核心组织CBF值低于低阈值。CBF上阈值下降接近这一水平与神经赤字和的发展大大小于CBF的下降与电活动,作为原始缺血半影提出的概念。
CBF的病理生理的关系下降和代谢活动在缺血性组织是重要但不容易与中风患者的神经功能状态。一个简单但有意义的定义缺血半影临床医生和临床实验最初提出的哈基姆4和州的缺血半影是缺血性组织“潜在可逆的”及时干预。这个概念被扩大了潜在的可逆性有关这样缺血性组织可能被成像的特点,然后处理。5如果减少梗塞大小改善功能结果是治疗急性中风和脑缺血半影的目标是,部分可能被逆转的缺血性损伤,然后确定它和映射的进化是明显的重要性。
半影的早期特征后,精制的定义提出了,集中在分子这个地区的CBF减少的后果。大量的细胞效应发生在半影组织,包括与保护减少蛋白质合成三磷酸腺苷合成、酸中毒的感应,excitotoxic神经传递素的释放,增加一氧化氮的水平,interleukin-1,转化生长因子- 1β,肿瘤坏死factor-α,血管内皮生长因子、脑源性神经营养因子,和缺氧诱导因子。6其他分子如基质金属蛋白酶和NMDA-signaling分子可能有双重角色,调解缺血性损伤后不久开始但加强在之后的时间点恢复机制。7近年来蛋白质组学数据证明upregulation蛋白质参与凋亡,抗炎,线粒体在细胞培养热休克活动暴露在缺血条件。8这种增强的理解相关的细胞和分子的后果半影可以提供新的治疗方法的发展目标。除了这些进步有关的细胞和分子后果界限不明的CBF水平下降,整个神经血管单元的参与,而不仅仅是神经元内的界限不明的地区得到了接受和也应该被认为是在未来治疗的发展。9
的初始成像研究缺血半影中风动物模型和人类与宠物的一些调查人员进行。宠物可以让研究者去评估体内CBF的关系和脑代谢率等代谢参数的氧气(CMRO2)和氧气的速度提取脑组织(OEF)。10在正常的大脑,CBF和CMRO2线性比例关系,OEF相似的大脑。四个宠物模式观察局部脑缺血。11第一种模式是脑血容量增加cb v()都未维护CBF针对生理条件或要求(自动调整)。第二个模式是增加OEF响应减少CBF CMRO2维护,此模式定义血量减少。第三个宠物模式是增加OEF与减少CBF和CMRO大脑区域2尝试尽可能保持组织的新陈代谢,这模式定义了缺血性组织界限不明的特色。第四个模式是非常低的CBF和CMRO2OEF差的水平,这种模式代表不可逆转的缺血性损伤或梗塞核心。猫和狒狒进行实验局灶性缺血和串行MRI研究进化的缺血性病变发生梗塞模式的界限不明的模式。12,13宠物在中风患者的研究都取得了有价值的信息关于位置和缺血半影的演化。14这些研究已经确定了界限不明的缺血性中风发病和组织许多小时后显示的时间窗口可能有效的治疗一些病人可能相当长。
另一个宠物缺血半影的潜在识别方法是使用优先的配体结合的,而不是不可逆转地受伤的组织。两个这样的配体11C flumazenil和18F-fluoromisonidazole。两个配体优先与缺氧缺血性组织,但潜在可行的相结合,初步研究表明它们可以用来区分缺血半影和核心。15,16宠物代谢和配体成像的问题是有限的可用性的宠物扫描仪的常规临床使用和耗时的性质的研究。宠物将仍然是一个有用的研究工具,但不能用于临床试验和病人护理。
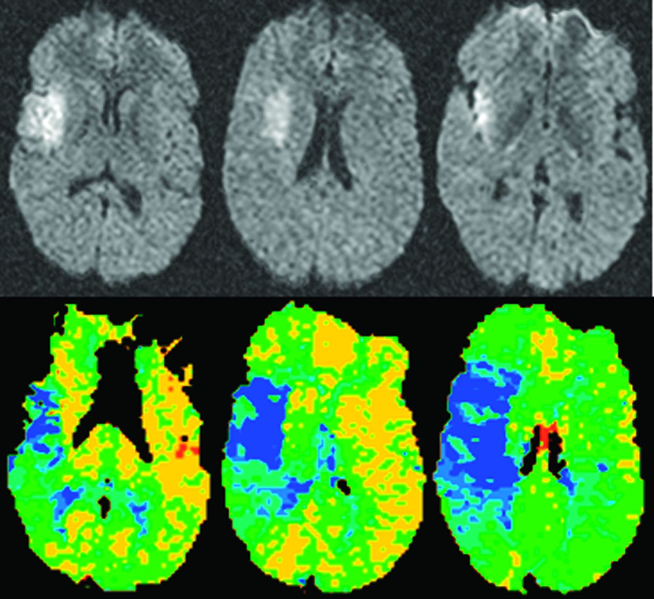
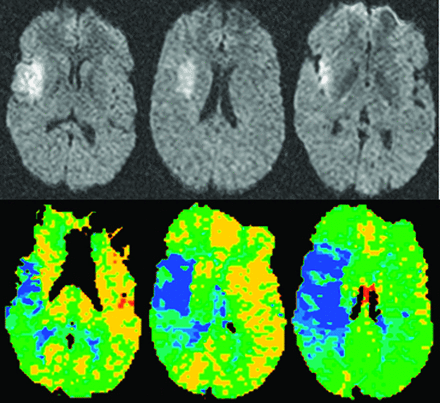
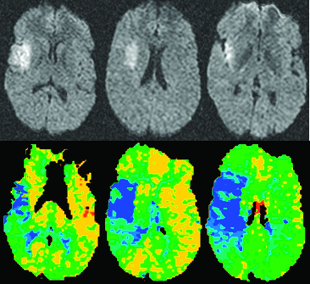
Diffusion-weighted成像(驾车)和perfusion-weighted MRI(预警指示器)是广泛使用的核磁共振成像模式,提供有价值的信息焦点脑缺血的组织特点和流动的微循环。17异常的表观扩散系数(ADC)在缺血性脑区醉酒驾车和组织灌注在预警指示器开始后的几分钟内可检测缺血中风动物模型和在大多数中风病人当他们最初成像。此信息明显有利于中风的诊断和定位,但它也可能提供洞察潜在可逆缺血组织的存在和大小。最初提出,缺血性脑区与灌注减少预警指示器和hyperintensity醉酒驾车梗塞的代表地区,地区异常灌注正常的驾车代表半影。18这种所谓的DWI-PWI不匹配是临床上有用的但只有接近梗塞核心之间的区别和半影(图1)。预警指示器异常的一部分代表oligemic组织CBF减少的严重程度相对温和,和这个组织不会成为不可逆转地受伤。19醉酒驾车的相反,部分异常与相对温和的ADC与及时的再灌注可以扭转下降,已经证明了实验中风模型和中风患者接受静脉和动脉内的溶栓治疗。20.,21DWI-PWI不匹配的识别的一个重要变量是2的区域异常是如何确定的。醉酒驾车的损伤识别是相对简单的地区hyperintensity ADC值相应减少。描述异常的预警指示器地区更多的问题,因为它是依赖于阈值用于定义hypoperfused组织。22目前,没有有效的,普遍商定的阈值定义预警指示器异常,已经和建议使用的地图时间达到峰值,平均运输时间(MTT)、最大浓度和时间(T马克斯)定义预警指示器灌注不足。最合适的和精确的验证预警指示器hypoperfused组织的鉴定还有待建立。目前,MTT和T马克斯方法是使用最广泛的,尽管精确验证它们允许临床医生合理识别异常预警指示器区域之间的明显不匹配和醉酒驾车hyperintense区域。
在实验中风研究自然历史和治疗对DWI-PWI不匹配的演变的影响进行评估。在实验中使用验证阈值来确定扩散和灌注损伤卷,不匹配的演变在老鼠缝合闭塞和栓塞性中风模型演示了一个更大、更持久的插子的模型不匹配。23这表明,插子的模型更接近于人类中风的病理生理学缝合模型和有更多的潜在可挽回的缺血性组织可能适合治疗更长的时间。治疗实验表明,粒细胞集落刺激因子开始1小时后中风发作的永久闭塞缝合模型停止酒后驾车的扩大,维护DWI-PWI错配数小时,并降低组织学证实梗塞的范围在24小时。24在栓塞大鼠中风模型中,高速流normobaric氧过多也停止了醉酒驾车病变增大,当结合静脉组织纤溶酶原激活物(tPA)在中风发作后3小时,它允许这种疗法显著减少梗死体积与对照组相比在24小时(室内空气和tPA 3小时)。25描述的使用绝对的ADC值和定量CBF测量动脉spin-labeling预警指示器似乎更精确的比与丸对比预警指示器的相对简单的方法。随着这种预警指示器技术变得可供人类中风成像,类似的方法更精确的界限不明的识别可能会进化。
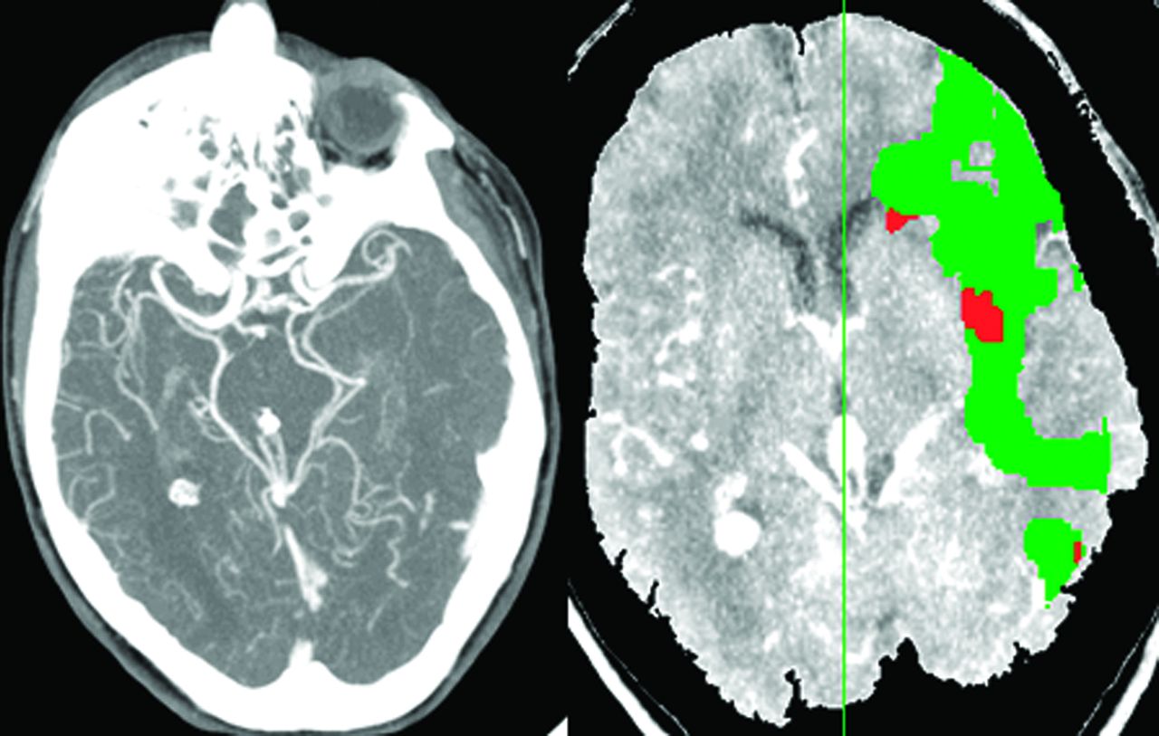
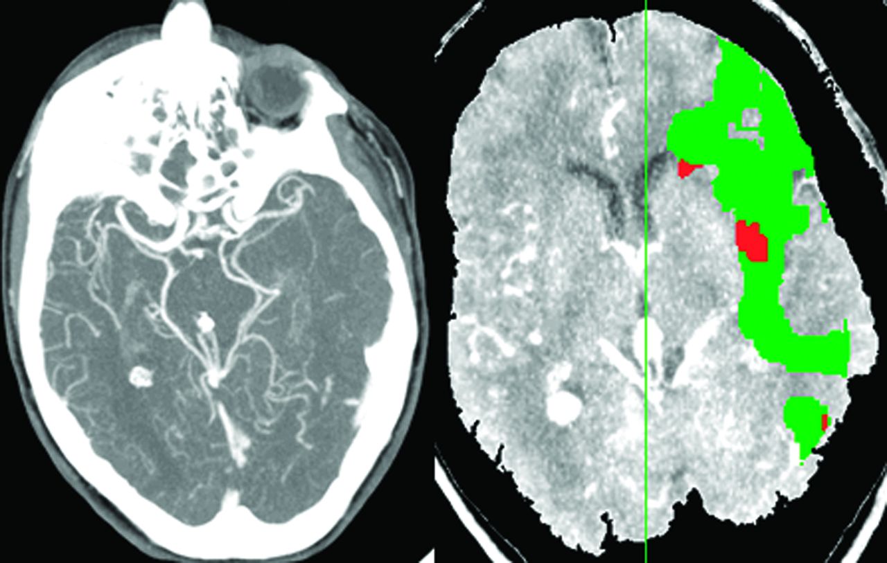
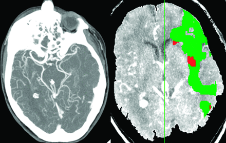
灌注CT是第二个成像模式被用来确定一个近似的半影急性缺血性中风患者。灌注CT图像上获得超快的CT扫描仪通过快速重复扫描后注入碘化对比材料。与一个信号冲刷bolus-contrast灌注CT扫描生成的曲线,可以生成cb v半定量的cb v和地图都未都未。26cb v随着缺血变得更严重,崩溃,都未与灌注CT缺血性核心被确定为一个地区与cb v明显下降。都未CBF和MTT地图展示缺血灌注值低于一个阈值定义为异常的地区的大脑区域。缺血半影操作上定义为该地区的CBF cb v或MTT异常值高于都未崩溃的阈值(图2)。27,28使用灌注CT是目前受到几个因素,与DWI-PWI相比。这些因素是有限的报道缺血性脑(只有2 - 4片对于大多数扫描仪,尽管整个大脑覆盖率现在可以在更新模型),更可靠地确定阈值识别CBF cb v / MTT和异常,都未和小动物成像技术建模工作。灌注CT的一个主要优点是更广泛的可用性和访问与MRI相比。样本大小适度的做的一项研究证明类似目标的识别病人的治疗决定3 -见到时间窗与灌注CT与DWI-PWI相比,但这一发现需要确认更多的患者在多个网站。29日当一些与灌注CT解决当前的问题和可比性DWI-PWI界限不明的近似被证实,实际问题表明,它将成为最常用的成像工具界限不明的近似。
半影成像的潜在效用的中风患者选择治疗3小时窗口当前IV tPA是新兴的病例分析和早期临床试验。两个欧洲情况下一系列的中风患者DWI-PWI不匹配第四治疗卒中后3至6小时开始表现出良好的90天的结果率与病人的0 - 3小时时间窗,人只有41 CT扫描的筛选。30.,31日这些案例系列没有不匹配的对照组患者没有接受IV tPA治疗。扩散和灌注成像评价了解中风进化(缓和)研究中,患者接受静脉tPA在3到6小时的窗口中,所有患者进行一个全面的MRI电池,包括酒后驾驶和预警指示器。32不匹配是不需要包容,但这个适当大小的探索性研究的基本假设是,患者会不匹配的回应比non-mismatch患者更好的治疗。预警指示器异常是由T马克斯> 2秒的延迟,超过20%不匹配的预警指示器和醉酒驾车在基线观察病变卷37(54%)的68名患者。早期再灌注发生在49%的病人在他可以确定。早期再灌注不匹配的患者与一个有利的结果,定义为一个改良Rankin量表得分为0 - 2在56%的患者中,只有19%的病人没有再灌注不匹配实现这一结果。一些不匹配的患者有一个“恶性不匹配模式,”定义为一个大型(> 100毫升)基线醉酒驾车病变或预警指示器病变> 100毫升很长,8秒延迟(T)马克斯。这样一个恶性模式是观察到的很少,但与低的有利结果和50%的致命的脑出血的风险。在non-mismatch患者中,缺乏早期再灌注与较高的有利的结果,而不是早期再灌注。的再灌注成功,non-mismatch患者比不匹配的患者更有利的结果。每一种类型的场景的数量非常小。
另一个适度规模的研究中,Echoplanar成像评价溶栓试验(绰号),随机患者静脉tPA或车辆在3 - 6小时时间窗口,包括基线MRI评估但不包含的要求不匹配。33一个T马克斯> 2秒的延迟也用来定义预警指示器异常,在缓和,但在这项研究中86%的101名患者有20%或更高版本不匹配的基线预警指示器和驾车卷。主要结果测量的研究判断梗塞增长:评估几何平均相对增长;这是1.24 tPA组和安慰剂组(1.78p= 0.24)。当缺血性损伤增长一分为二成增长或没有增长90年基线和天之间,tPA集团的23%没有增长,几乎丢失的统计学意义。再灌注的超过90%的初始预警指示器病变观察tPA 56%的患者和26%的安慰剂的患者(p= 0.01)。二分的改良Rankin量表分数,在0 - 1和2 - 6,收益率为15% tPA患者取得良好的结果(p= 0.153),但如果二分是0 - 2和3 - 6,那么只有5%的差异。恶性不匹配模式没有增加出血的风险。最近,化解和绰号汇集分析数据集进行,使用相同的自动图像分析程序,快速,对定义预警指示器和相同的阈值病变,T马克斯> 6秒的延迟。在这个分析相结合,目标不匹配的患者再灌注成功有一个5.6或90天有利的结果,患者再灌注等相比,没有成功。在non-mismatch患者再灌注改善的机会没有被观察到一个有利的结果。34
Desmoteplase,溶栓代理来自蝙蝠唾液,也评估2小试验,采用灌注/扩散磁共振成像;> 20%的不匹配是需要包容。Desmoteplase剂量的90年和125年μg /公斤被证明安全引起再灌注,减少梗塞大小的趋势和改善临床结果。35,36desmoteplase desmoteplase的放大试验在急性缺血性中风试验(二叠纪II),研究了这两个剂量和安慰剂,证明没有临床受益desmoteplase剂量和晚期死亡率与高剂量的增加。37在这项研究中,大约有三分之二的病人包括PWI-DWI失配> 20%,另三分之一的基础上包括灌注CT CBF-CBV不匹配。26审判不评价再灌注和临床结果的一天90年作为主要结果评估。基线中风的严重程度是适度的积极治疗组和安慰剂组;NIH卒中评分量表中位数为9组,临床结果上的差异,但并没有在第90天。高剂量的desmoteplase组晚期死亡的倾向更糟糕的结果,因为这是不太可能辅助治疗。只分析结合MRI-screened患者从二叠纪II的患者2小,早期试验表明,病人的比例达到改良Rankin量表得分为0 - 2高13%和desmoteplase(几乎统计学意义)。38
案例的数据系列的患者选择MRI中风发作后3 - 6小时,仅3 - 6小时四世tPA化解研究中,3到6小时比较绰号IV tPA与安慰剂的研究中,和3 desmoteplase试验提供有用的信息对未来的设计beyond-3-hour再灌注试验。它似乎假定的半影的选择,通过核磁共振,大量DWI-PWI不匹配在急性缺血性中风患者可以识别那些更有可能对再灌注疗法在一个扩展的时间窗口。样本量可能需要在二期试验和三期试验来确定一种有益的临床结果将适度:可能,数百名患者每个剂量组,当然远远低于需要的审判没有界限不明的成像。39
的精确定义预警指示器异常需要进一步验证,但T马克斯延迟超过目前使用2秒可能会需要更精确的描述hypoperfused组织梗死。不匹配的比例大于20%显然需要确定一个研究人群最有可能对治疗作出回应。成像和临床包含/排除标准需要协调确保基线中风的严重程度患者随机不太温和,从而排除高速率在安慰剂组好的结果。除了使用reperfusion-based临床试验DWI-PWI失配的方法,这种方法可用于未来神经保护试验提高招聘更容易应对治疗的患者,特别是在延迟时间点。40目前,灌注CT先进的界限不明的识别是不如mri界限不明的识别。然而,cb v的阈值和CBF需要都未识别核心和hypoperfused地区缺血性梗塞的风险成为更好的特征和组织成像的范围扩大,灌注CT将演变为界限不明的更广泛应用模式识别在临床试验和实践。
作者的贡献
费希尔博士:起草/修订手稿。Bastan博士:起草/修订手稿,采集的数据。
信息披露
Fisher博士是Photothera科学顾问委员会,CoAxia,洋橄榄医疗、Servier;收到费雷尔的旅行资金;担任副主编中风;作为主编中风;担任顾问Sygnis、赛诺菲-安万特和惠氏制药;收到了来自三菱制药美国和BioClinica谢礼;收到了来自辉瑞和Sygnis研究支持;并持有股票期权在Photothera和Brainsgate。Bastan博士报告没有披露。去首页Neurology.org为充分披露。
- 收到了2011年6月28日。
- 接受2011年8月31日。
- 版权©2012年长企业公司,。
引用
- 1。↵
- 2。↵
- 3所示。↵
- 4所示。↵
- 哈基姆我
- 5。↵
- 6。↵
- 7所示。↵
- 8。↵
- 9。↵
- 10。↵
- 11。↵
- 12。↵
- 13。↵
- 14。↵
- 15。↵
- 16。↵
- 17所示。↵
- 18岁。↵
- 19所示。↵
- 20.↵
- 21。↵
- 22。↵
- 23。↵
- 24。↵
- 25。↵
- 26岁。↵
- 27。↵
- 28。↵
- 29。↵
- 30.↵
- 31日。↵
- 32。↵
- 33。↵
- 34。↵
- 35。↵
- 36。↵
- 37岁。↵
- 38。↵
- Warach年代
- 39岁。↵
- 40。↵
- 费雪米
信:快速的网络通信
你可能也会感兴趣
相关文章
-
没有找到相关文章。
提醒我
推荐的文章
- 观点和评论
自动化的CT灌注成像在急性缺血性中风珍珠和实际使用的缺陷
Achala迷走神经,马克斯•Wintermark Kambiz Nael et al。
首页神经学,2019年10月21日 - 神经影像学
急性中风成像中的应用选择患者血管再生疗法
Tiesong商,名为r . Yavagal et al。
首页神经学,2012年9月24日 - 文章
担保协会的地位和缺血性急性缺血性中风患者的核心增长哈哈,Jianhong杨Chushuang陈等。
首页神经学,2020年12月1日 - 文章
识别的半影和梗塞核心hyperacute 41和灌注CTe·m·m·w·帕森斯胡椒,g·a·贝特曼等。
首页神经学,2007年3月5日


