珍珠和Oy-sters:结核性脑膜炎
不是一个诊断排除
珍珠
开始公开治疗和皮质类固醇不应等待明确的诊断,而是应该任命起初怀疑结核性脑膜炎。
OY-STERS
不能排除结核性脑膜炎的负面脑脊液文化、诽谤或核酸扩增试验。CSF概要文件不得不同于细菌性脑膜炎。
正常胸片可能出现在活动性结核病病例的15%。纯蛋白衍生物(产后抑郁症)测试可能是负面的。
病例报告
提交给当地的一个21岁男子急诊科5天的头痛、无趣,枕,双边、nonthrobbing,逐步恶化。它与轻度发烧、畏光和颈部疼痛和僵硬。他没有历史的头痛、慢性疾病,最近的疫苗,皮肤疹、咳嗽、腹泻、关节痛、肌痛。他来自厄瓜多尔和已经在美国生活了不到1年。他被监禁在厄瓜多尔。舌下温度对录取为102.6°F。其他生命体征都在正常范围内。在体检,他看上去很瘦弱但不是恶病的。他有假性脑膜炎和畏光,但没有视神经乳头水肿和他的精神状态预警和专注。没有焦神经赤字。 CSF contained red blood cells: 24 × 103/μL;白细胞:85 /μL(淋巴细胞主要);蛋白质:128 mg / dL;和葡萄糖:48 mg / dL (CSF /血清葡萄糖比= 0.53)。CSF革兰氏染色剂和文化,产后抑郁症测试,血液和尿液文化都是负面的。CT扫描的头一天承认完全是正常的。没有钆对比MRI显示一个点状的T2 hyperintensity在左额叶室周的白质。胸片是清楚的。他惯用的万古霉素、头孢曲松钠和无环鸟苷。糖皮质激素并没有给出。 The patient did not improve with antibiotics and continued to be intermittently febrile. On day 5, he became abruptly more somnolent, then comatose, opening eyes only to pain, his pupils were 5 mm and reactive, he had intact brainstem reflexes, withdrawing both arms and legs. Emergent head CT showed development of hydrocephalus and a ventriculoperitoneal shunt was emergently placed. The neurologic examination did not improve after shunt placement, and repeat head CT showed increased hydrocephalus with bilateral cerebral infarcts. On day 11, he was transferred to Columbia University Medical Center for intensive care. He was febrile and comatose. He did not open his eyes to pain, pupils were 7 mm minimally reactive, brainstem reflexes were intact, and he exhibited extensor posturing to pain. Mannitol was given, corticosteroid therapy was started, and an extraventricular drain was placed. The next day, his right pupil was 8 mm and nonreactive. MRI showed diffuse contrast enhancement of the arachnoid, extensive infarction of basal ganglia, midbrain, and pons, and small ring-enhancing lesions in the cerebellum (图1中,模拟)。重复腰椎穿刺显示红细胞:550×103/μL;白细胞:250 /μL(14%的中性粒细胞,80%的淋巴细胞,单核细胞6%);蛋白质:65 mg / dL;和葡萄糖:< 10 mg / dL (CSF /血清葡萄糖比= 0.08)。CSF测试隐球菌弓形体病是负的。脑脊液抗酸杆菌涂片(AFB) -×2,和CSF核酸扩增试验也为阴性肺结核。血清HIV检测是负面的。直到14天之后首次表示和3天转移到重症监护室公开治疗后终于开始,因为在MRI显示梗塞的模式基脑膜炎和他没有改进的广谱抗生素。同一天,第一个涂片是阳性痰空军基地,作为日常痰涂片空军基地都成功。肺结核痰核酸扩增是积极的,但从脑脊液持续消极。每日便携式胸片正常(阅读可能肺不张),但胸部CT显示致密合并左肺和在两肺弥漫性结节性的透明。两天后,他头痛的发作只有21天后,病人死于心肺骤停的次要transtentorial脑疝。13天后,脑脊液文化变得积极结核分枝杆菌对链霉素、异烟肼、乙胺丁醇,利福平,吡嗪酰胺。
(A和B)与钆对比显示蛛网膜增强和小脑ring-enhancing疫源地兼容小脓肿。(C)限制扩散的双边额叶、基底神经节和pontomesencephalon兼容广泛梗塞。使用三维飞行时间(D)磁共振血管造影成像显示颈内动脉狭窄的远端和近端左大脑中动脉(箭头),以及远端和脑动脉分支的前部和中部与血管炎兼容。
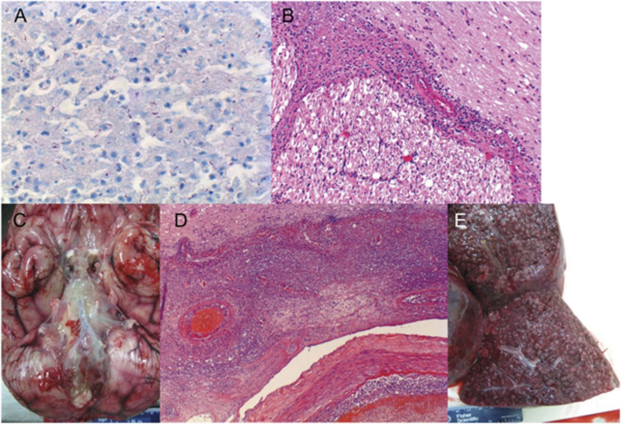
有限的解剖大脑和肺部证实主要进步广泛涉及两肺肺结核和结核性脑膜炎。无数粟粒状的肉芽肿被确定在两肺、双边和也有广泛的右侧胸膜粘连心包,隔膜,和胸壁表明肺部感染的时间,可能几个月。左肺显示坏死性肺炎和肺水肿。考试的大脑基部的脑膜炎,广泛增厚和乳白色变色的基底软脑膜从基底动脉和椎动脉和视交叉上颈椎脊髓。许多大脑血管显示外膜炎症浸润破坏,甚至一些显示内侧和内膜的参与,经常与纤维素样和/或干酪样坏死完全阻塞血管腔。渗透了几个颅神经炎症细胞参与的神经束膜和神经内膜。空军基地的染色显示无数明亮的粉红色,薄,纺锤状杆菌一致M肺结核,现在主要在基底软脑膜,也见过软脑膜的卓越的额叶皮质,在双边颅神经的神经内膜,并跟踪到单纯脑桥的薄壁组织(图2中,安妮)。
讨论
结核性脑膜炎,常见诊断在美国,是最常见的原因之一,亚急性和慢性脑膜炎在发展中国家。在美国1993年到2006年之间,有253299例肺结核报告,其中1.2%是结核性脑膜炎。结核性脑膜炎患者,61%是外国出生的,平均年龄42岁,20%是HIV阳性。1
急性结核性脑膜炎发展老焦与脑膜病变的沟通(称为富疫源地)破裂,释放出大量的分枝杆菌,引发一个健壮的t细胞反应和灾难性的免疫反应在脑膜和相关的脉管系统。脑积水发生的一种炎性渗出物的粘合剂的发展,影响大脑侧裂缝,基底水池,脑干、小脑,导致脑脊液阻塞。与随后的梗死血管炎可能引起的几种机制:绞窄的血管渗出物底部厚厚的大脑,T-cell-mediated动脉外膜炎症导致血管壁坏死,血栓形成,血管的伸展迅速扩大心室的设置急性脑积水、中脑和额叶梗死的大脑患疝气。2
结核性脑膜炎的诊断并不总是简单的,证明了这种情况。然而,有几个特点,将引发猜疑。结核性脑膜炎患者通常表现为亚急性课程。他们更容易有颅神经麻痹。他们通常不会有血白细胞增多。CSF通常是明确的中等数量的淋巴细胞和中性粒细胞,高蛋白质,低CSF /血清葡萄糖比例。然而,中性粒细胞可以占主导地位,尤其是在中枢神经系统感染的早期,血清和CSF /葡萄糖比值可以正常。3,4CSF核酸扩增检测和涂片检查通常是负面的。脑脊液文化不能依赖,因为他们需要数周才能成长和成功取决于收购大量的CSF(> 5毫升)。最近的一项研究报道,空军基地从只有71%的病人最终被培养。4胸片实际上是非常有用的和具有成本效益的诊断活动性结核病,敏感性从68%到97%不等。然而,多达15%的住院患者可能有负面胸部x光活性肺结核。5因素干扰的敏感性胸片包括图像的质量(便携式射线照片的图像质量很差),病人是否免疫妥协。6产后抑郁症测试在大多数情况下是80%到90%敏感的活动性结核病;然而,应注意对产后抑郁症的解释测试因为几个因素可能会导致假阴性结果。这些包括最近与活病毒疫苗接种疫苗,最近使用皮质类固醇,最近肺结核、并发感染艾滋病,癌症,和非常严重的肺结核,免疫系统不能再挂载一个适当的响应(在这种情况下,可能出现的情况)。消极的产后抑郁症测试病人来自一个流行地区权证考虑免疫抑制的可能性。核磁共振,基底脑膜增强、结核瘤和梗死(特别是基底神经节的)都支持诊断为结核性脑膜炎,但不能排除隐球菌脑膜炎、结节病、淋巴瘤。2
在这种情况下,结核性脑膜炎的诊断应该被怀疑鉴于历史和表现,但适当的治疗延误的原因是一个非典型CSF,消极的胸部,和消极的产后抑郁症测试。未经治疗的结核性脑膜炎的死亡率是100%。7即使充分治疗,死亡率仍很高,治疗开始后患者发展到昏迷。8开始公开治疗不应等待明确的诊断,而是被任命在第一个怀疑结核性脑膜炎。9病人也应该快速检测艾滋病,开始大剂量糖皮质激素,这是与降低死亡的风险密切相关。10除了公开和皮质类固醇治疗,阻塞性脑积水发展应立即预期和由心室排水管理。
作者的贡献
艾米·c·Jongeling:起草和修订后的手稿并提供了图1。大卫Pispapia:提供的描述病理结果和图2。
研究资金
没有针对性的资金报告。
信息披露
作者报告没有披露相关的手稿。去首页Neurology.org为充分披露。
承认
作者承认博士J.C.M. Brust博士为他宝贵的贡献和技术编辑的手稿。
脚注
去首页Neurology.org为充分披露。资金信息和披露认为作者相关的,如果有的话,年底提供这篇文章。
- ©2013美国神经病学学会的首页
引用
信:快速的网络通信
-
结核性脑膜炎:做出诊断
- Nitin K。塞提,神经病学助理教授首页,纽约长老会医院,威尔康奈尔医学中心,525东68街,纽约100sethinitinmd@hotmail.com
- Nitin K Sethi,纽约,纽约
提交07年2月,2013年
你可能也会感兴趣
相关文章
-
没有找到相关文章。
提醒我
推荐的文章
- 研究
结核性脑膜炎的长期认知结果Valakunja Harikrishna Ganaraja, Rajeshwaran投入,Chandrashekhar Nagarathna et al。
首页神经学:临床实践,2020年9月11日 - 观点和评论
人畜共患成人细菌性脑膜炎Anusha van Samkar Matthijs c .这阿里van der不可或缺et al。
首页神经学,2016年8月17日 - 临床和伦理挑战
结核性脑膜炎诊断和治疗的挑战
杰罗姆·h·下巴等。
首页神经学:临床实践,2014年5月21日 - 文章
早期诊断结核性脑膜炎的聚合酶链反应琳达F.F. Kox、Sjoukje Ing Kuijper。艾伦H.J. Kolk et al。
首页神经学,1995年12月1日


