2013年1月22日
;80 (4)
居民和其他部分
教学神经图片:多病灶的神经介入作为唯一IgG4-related疾病的表现
西尔维亚Imbergamo,玛尔塔Campagnolo,伦佐·Manara,菲利普·马里诺,Fausto阿达米,奇亚拉Briani
第一次出版2013年1月21日,
DOI: https://doi.org/10.1212/WNL.0b013e31827f08ae
西尔维亚Imbergamo
从医学部门(S.I.粮农组织),神经科学(m,C.B.), Neuroradiology (R.M.), and Medical Diagnostic Sciences and Special Therapies (F.M.), University of Padova, Italy.
医学博士
玛尔塔Campagnolo
从医学部门(S.I.粮农组织),神经科学(m,C.B.), Neuroradiology (R.M.), and Medical Diagnostic Sciences and Special Therapies (F.M.), University of Padova, Italy.
医学博士
伦佐·Manara
从医学部门(S.I.粮农组织),神经科学(m,C.B.), Neuroradiology (R.M.), and Medical Diagnostic Sciences and Special Therapies (F.M.), University of Padova, Italy.
医学博士
菲利普·马里诺
从医学部门(S.I.粮农组织),神经科学(m,C.B.), Neuroradiology (R.M.), and Medical Diagnostic Sciences and Special Therapies (F.M.), University of Padova, Italy.
医学博士
Fausto阿达米
从医学部门(S.I.粮农组织),神经科学(m,C.B.), Neuroradiology (R.M.), and Medical Diagnostic Sciences and Special Therapies (F.M.), University of Padova, Italy.
医学博士
奇亚拉Briani
从医学部门(S.I.粮农组织),神经科学(m,C.B.), Neuroradiology (R.M.), and Medical Diagnostic Sciences and Special Therapies (F.M.), University of Padova, Italy.
医学博士
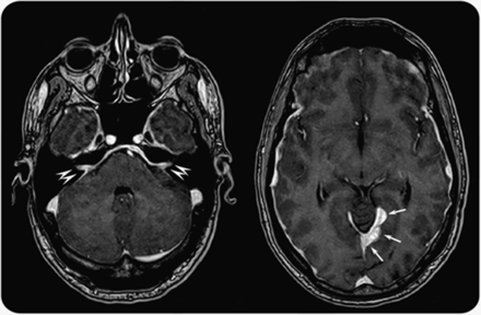
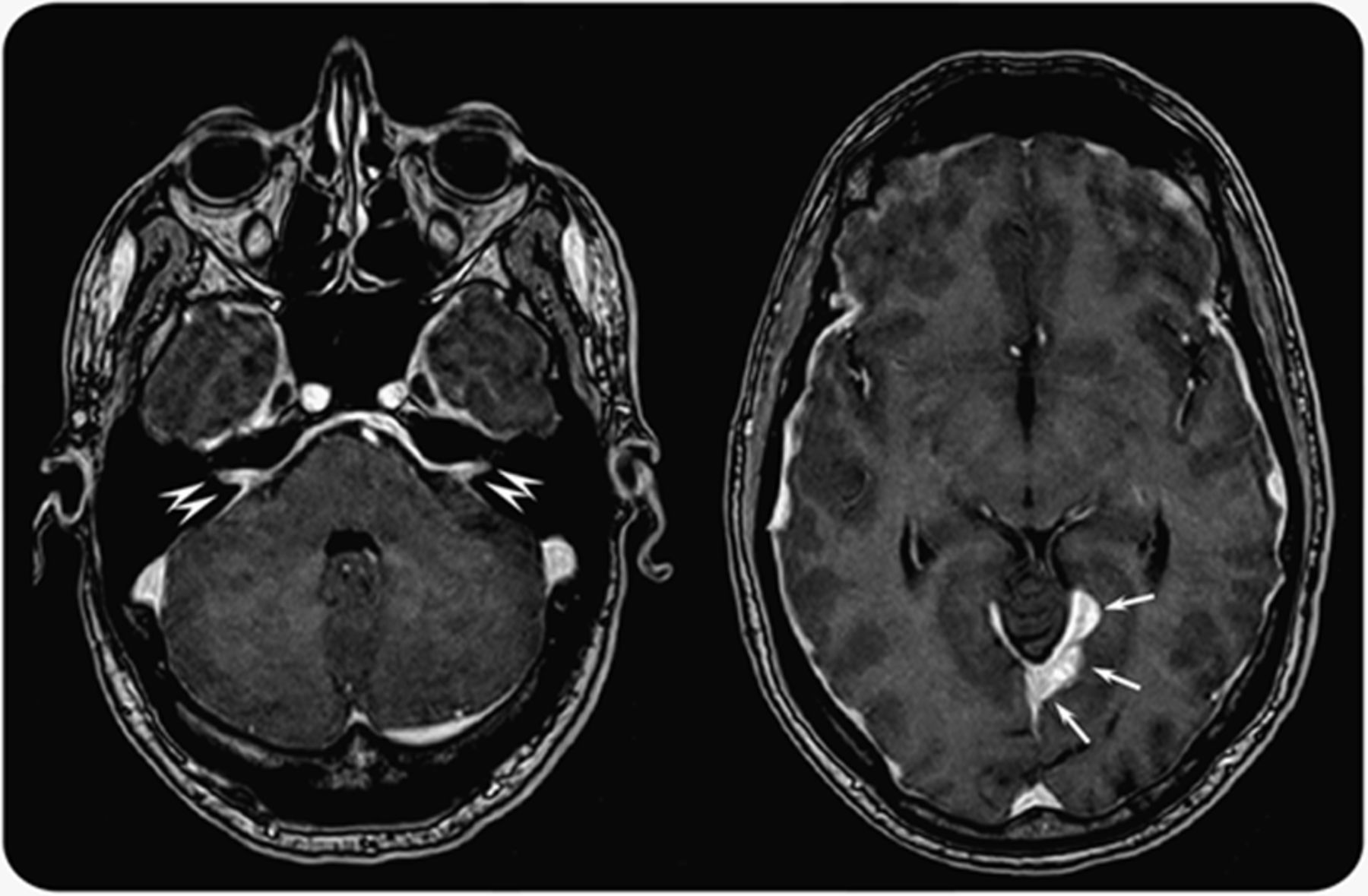
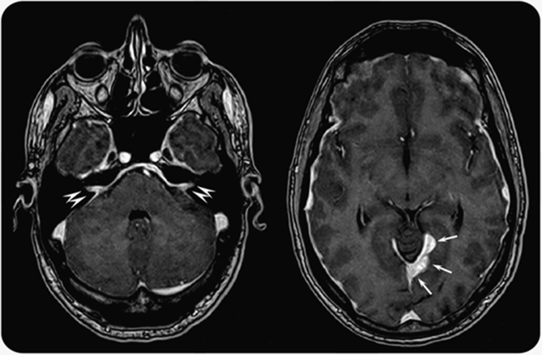
一名46岁男子与进步的视力丧失接受脑多病灶的MRI显示结节pachymeningeal涉及视神经脑膜增厚双边和内部声学道硬脑膜(图1)。扩散meningiomatosis被诊断和放射治疗有症状稳定。四年后,留给发生听力损失和对听觉减退,轻微的瞬态高剂量地塞米松后改善。血清免疫球蛋白(Ig) G4增加。CSF分析显示增加蛋白质、寡克隆免疫球蛋白、浆细胞和淋巴细胞。脑活检显示脑膜的浆细胞肉芽肿与IgG4-positive多克隆浆细胞和淋巴球浸润(图2)。IgG4-related疾病被诊断。1美罗华是不成功的。IgG4-related疾病是fibroinflammatory multiorgan块状病变和簇状条件特点是lymphoplasmacytic富含IgG4-positive浆细胞浸润可能影响每个器官;血清IgG4可能较高。尽管IgG4-related与独家多病灶的中枢神经系统疾病定位极其罕见,常误诊,2,- - - - - -,4它应该考虑类肿瘤的鉴别诊断颅内病变和hyperthrophic硬脑膜炎。
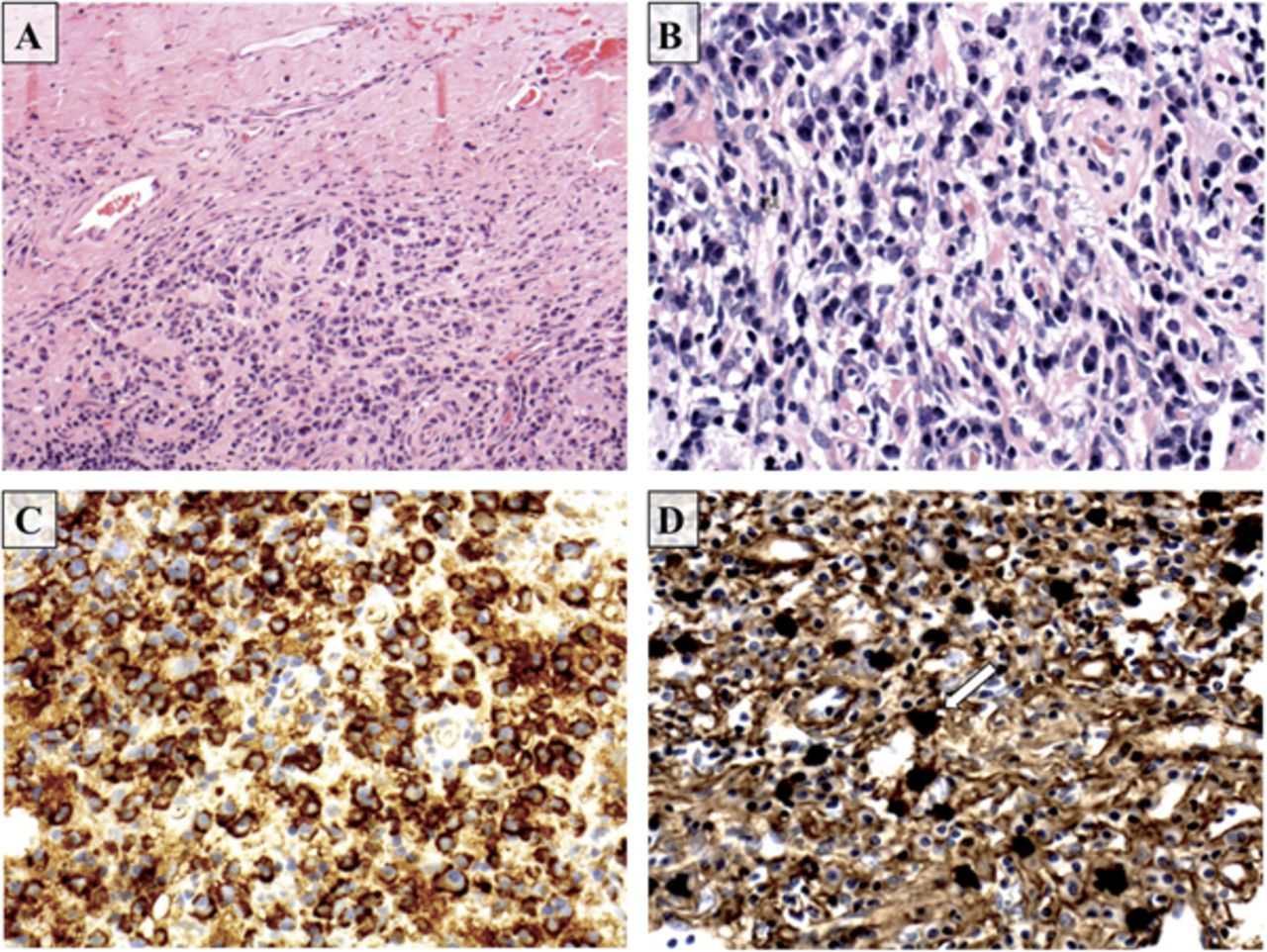
图2
组织病理结果
(A)部分脑膜和浆细胞浸润,苏木精和伊红())200×。(B)更强的放大显示浆细胞不典型特征,他走时400×。(C)积极的浆细胞,CD138染色,400×。(D)积极的浆细胞,免疫球蛋白G4染色(见箭头),400×。
研究资金
没有针对性的资金报告。
信息披露
作者报告没有披露相关的手稿。去首页Neurology.org为充分披露。
脚注
去首页Neurology.org为充分披露。资金信息和披露认为作者相关的,如果有的话,年底提供这篇文章。
- ©2013美国神经病学学会的首页
引用
信:快速的网络通信
你可能也会感兴趣
广告
相关文章
主题讨论
提醒我
推荐的文章
- 文章
免疫球蛋白G4-related炎性疾病的病理特征肯•高手Haruki小池百合子,米氏高桥等。
首页神经学,2015年9月25日 - 观点和评论
免疫球蛋白G4-related肥厚性硬脑膜炎case-oriented审查
米凯尔·科恩迈克尔•Levraut Saskia Bresch et al。
首页神经学:神经免疫学和神经炎症,07年5月,2019年 - 临床/科学的笔记
IgG4-related肥厚性硬脑膜炎coexpressing antineutrophil胞质抗体詹妮弗·梅西等。
首页神经学:神经免疫学和神经炎症,3月16日,2017年 - 临床/科学的笔记
耐火材料IgG4-related颅内肥厚性硬脑膜炎回应利妥昔单抗Bing廖,卡洛斯•Kamiya-Matsuoka香方等。
首页神经病学,神经免疫学神经炎症,2014年10月29日


