2013年2月5日
;80 (6)
居民和其他部分
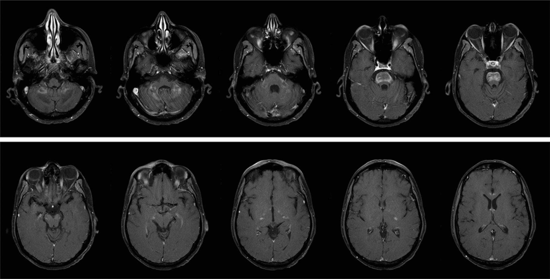
教学神经图片:脑罹
一种罕见的成人
拉尼娅a Elenein,苏尼尔奈克,斯蒂芬妮·金,Vineet Punia,卡琳金
第一次出版2013年2月4日,
DOI: https://doi.org/10.1212/WNL.0b013e3182815416
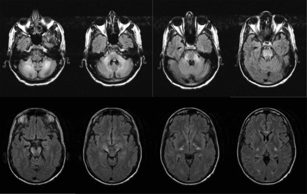
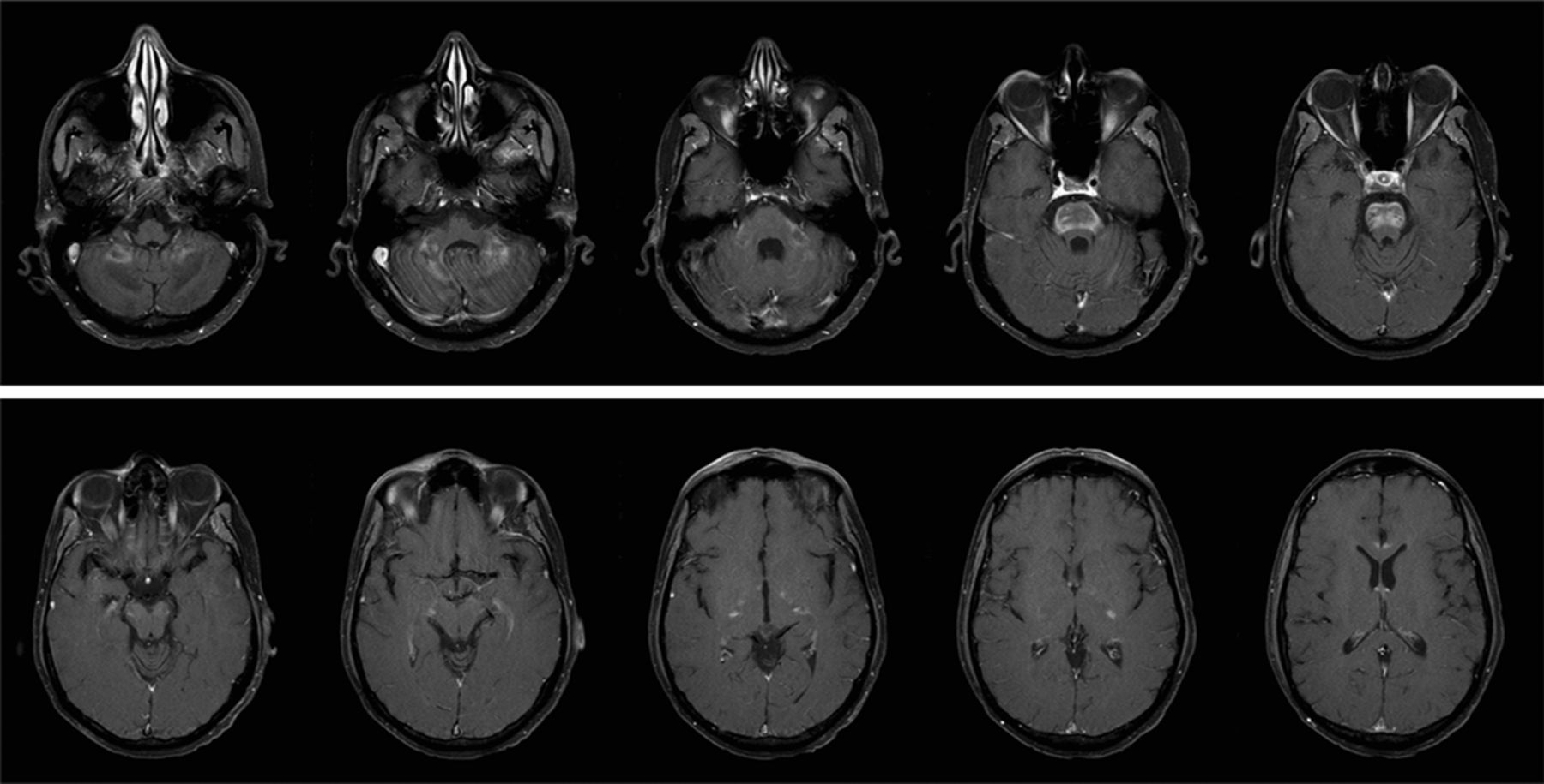
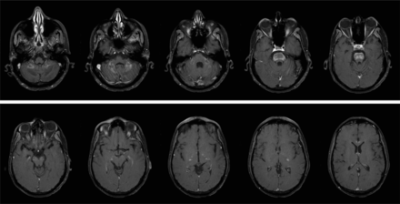
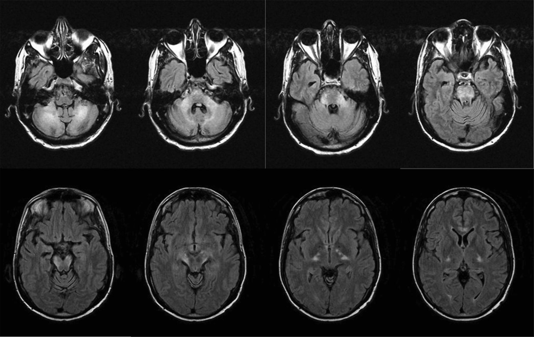
42岁的男子与艾迪生疾病呈现给急诊室1年的步态蹒跚。一个同父异母的兄弟有癫痫和行走困难,在6岁时去世。另一个同父异母兄弟长期以来步态障碍。在3到4个月,他与刚度,步态变得更糟共济失调、构音障碍。神经系统检查证明眼跳追求,眼颤振,严重痉挛状态,周围神经病变,反射亢进,阵挛,双边伸肌足底反射,标志着测距不准,dysdiadochokinesia。他站在一个标志着俯身向前弯曲膝盖。MRI显示在图1和图2。very-long-chain脂肪酸的血浆浓度,这是一个通用测试过氧化物酶病障碍,高架,证实诊断罹(ALD)。Very-long-chain脂肪酸也升高幸存的哥哥的等离子体。成人大脑退化是极其罕见的。这是x染色体过氧化物酶病障碍突变造成的ABCD1基因位于中Xq28和涉及到神经系统,肾上腺皮质,睾丸间质细胞和睾丸。1,2
研究资金
没有针对性的资金报告。
信息披露
作者报告没有披露相关的手稿。去Neuro首页logy.org充分披露。
脚注
去首页Neurology.org为充分披露。资金信息和披露认为作者相关的,如果有的话,年底提供这篇文章。
- ©2013美国神经病学学会的首页
信:快速的网络通信
你可能也会感兴趣
广告
相关文章
主题讨论
提醒我
推荐的文章
- 文章
MRI诊断工具在早发性过氧化物酶病障碍硕士van der Knaap, e·沃斯默N.I.狼et al。
首页神经学,2012年3月28日 - 加快出版
罹增加等离子体的内容很长链饱和脂肪酸
雨果•w•莫泽安b•莫泽凯伦k .磨损等。
首页神经学,1998年8月1日 - 文章
频繁出现在adrenomyeloneuropathy脑脱髓鞘Marlijn de啤酒,比约恩·m·马克•Engelen范加尔等。
首页神经学,2014年11月5日 - 首页神经病学临床病理会议
一个63岁的女人尿失禁和进步的步态障碍a . Lossos c·j·克莱恩,k . m . McEvoy et al。
首页神经学,2009年5月04日


