神秘的例子:Balo同心硬化症
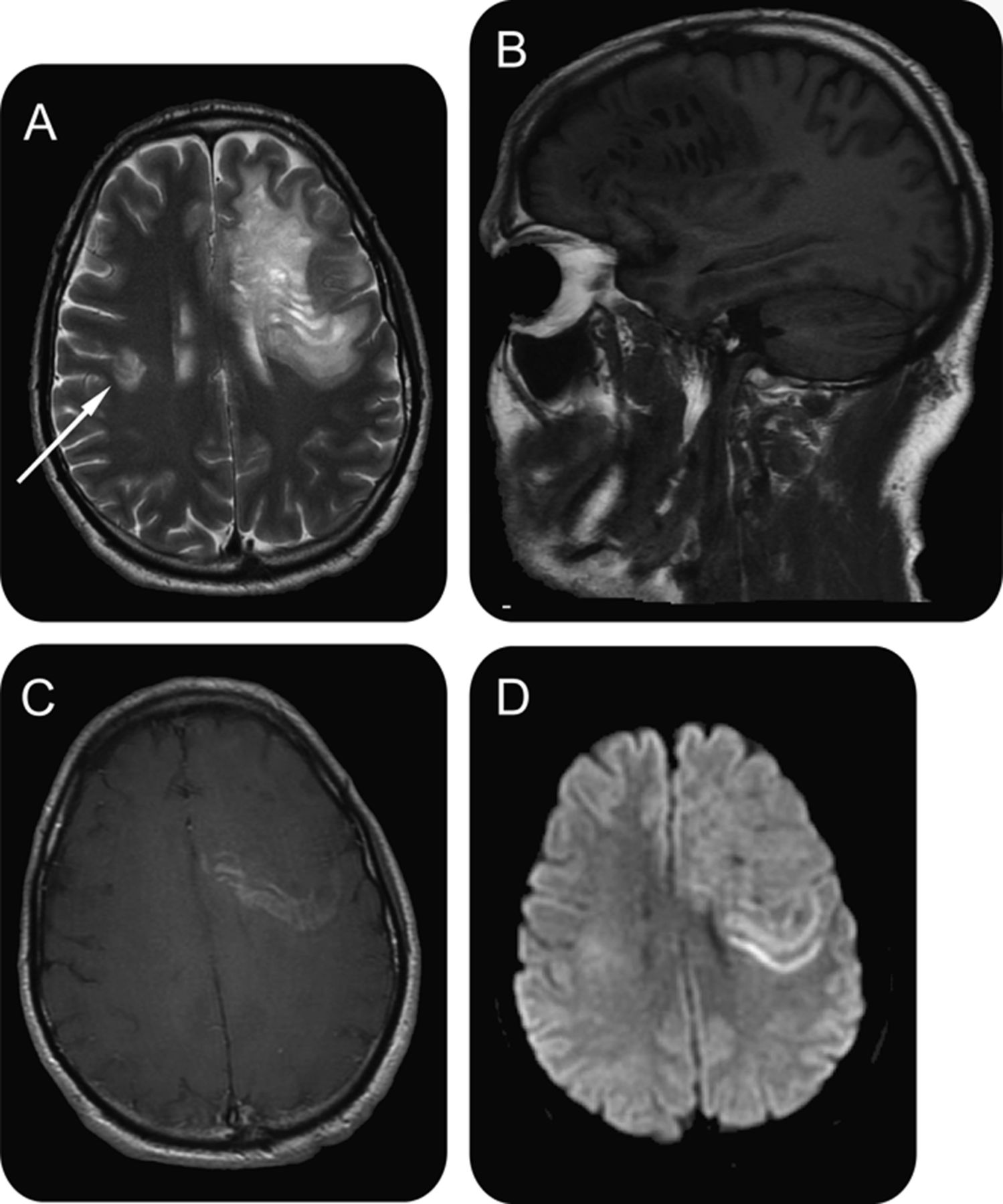
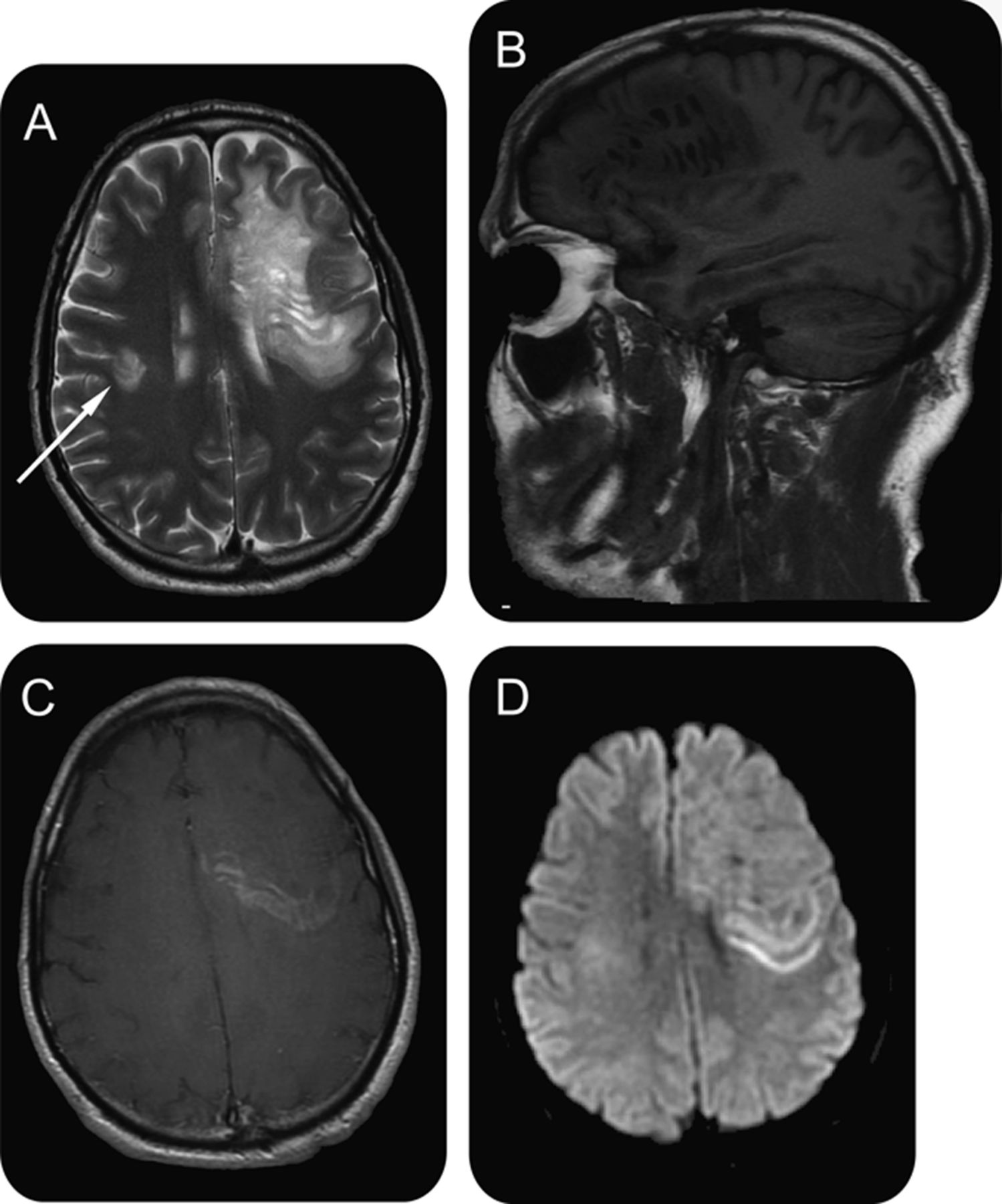
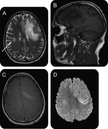
一个45岁的男人面对进步布失语症和进行性加重。MRI显示白质病变,多个环(图)。这些离心环反映同心层活跃的髓鞘脱失,典型的Balo同心硬化症。1脑脊液寡克隆乐队和轻微的脑脊液细胞增多。用四甲基强的松龙治疗部分复苏后5天(每天1克)。Balo同心硬化,多发性硬化中罕见的一种,长期以来被认为是一个进步和致命。目前的情况下确认的可能性在某些情况下更良性的课程。2
(一)轴向41 t2加权图像。(B)矢状41 t1加权图像。(C)轴向gadolinium-enhanced t1加权图像。(D)轴向diffusion-weighted形象。大左额叶白质病变显示多个T2-hyperintense和T1-hypointense戒指。钆增强和扩散限制出现在最外层(主动)戒指。一个小病变右脑(箭头所指)所示。
作者的贡献
所有作者的贡献同样数据的解释和起草和修改手稿。
神秘的情况下反应
系列是由神秘的情况首页®居民和其他部分学员的临床推理能力发展。实习项目,医学院学生教师和个人被邀请去使用这个神秘的情况下作为一个教育工具。反应请求通过电子邮件发送到一组美国神经病学学会财团的神经学的居民和同伴和通过社会媒体。首页所有的答案,我们收到了来自个人居民而非团体和他们都合理周到。他们中的大多数是通过社交媒体。许多受访者(24%)已猜出来的neuroradiologic特性Balo同心硬化症。替代诊断,提出了包括中枢神经系统淋巴瘤(17%),感染(10%)。
这个神秘的案例说明了一个相当罕见的脱髓鞘疾病,以前被认为是快速进步的单相,类似于多发性硬化症的马尔堡变体。这份报告是一致的证据表明Balo同心硬化可能更懒惰与长期生存或自发缓解。
德拉格尼特,医学博士
儿童医院,多伦多大学,多伦多,加拿大
脚注
研究经费:没有目标资金报告。
作者报告没有披露相关的手稿。去Neuro首页logy.org充分披露。
- ©2013美国神经病学学会的首页
信:快速的网络通信
你可能也会感兴趣
相关文章
主题讨论
提醒我
推荐的文章
- 金博宝手机版官网首页
临床和放射特性、病理和治疗Balo同心硬化症埃文·a . Jolliffe勇郭,托德·a·哈代等。
首页神经学,2021年5月19日 - 文章
Hypoxia-like组织损伤和神经胶质反应导致Balo同心病变的发展Yoshiki Takai, Tatsuro甜点,血缘西山英彦等。
首页神经学,2016年10月12日 - 临床/科学的笔记
从块状脱髓鞘簇状明显Balo同心硬化演变托德·a·哈迪布莱恩·g·约翰·r·Corboy Weinshenker et al。
首页神经学,2017年5月03日 - 临床/科学的笔记
CADASIL突变和Balo同心硬化症:髓鞘脱失和缺血之间的联系?Tanuja Chitnis,特拉维斯j . Hollmann et al。
首页神经学,2012年1月04


