2013年7月23日
;81 (4)
神经图片
新创大脑为成神经管细胞瘤放疗后动静脉畸形的孩子
伯特兰Mathon,托马斯Blauwblomme,斯蒂芬妮Bolle,Christelle杜福尔,奥利弗Nagarra,弗朗西斯·布鲁,斯蒂芬妮普吉
第一次出版2013年7月22日,
DOI: https://doi.org/10.1212/WNL.0b013e31829c5cd5
伯特兰Mathon
医院内克尔(B.M.,结核,运货单,年代。P.), Université René Descartes, Paris Cité Sorbonne; Gustave Roussy Cancer Institute (S.B., C.D.), University Paris XI, Villejuif; and Sainte-Anne Hospital (O.N.), Paris, France.
医学博士
托马斯Blauwblomme
医院内克尔(B.M.,结核,运货单,年代。P.), Université René Descartes, Paris Cité Sorbonne; Gustave Roussy Cancer Institute (S.B., C.D.), University Paris XI, Villejuif; and Sainte-Anne Hospital (O.N.), Paris, France.
医学博士
斯蒂芬妮Bolle
医院内克尔(B.M.,结核,运货单,年代。P.), Université René Descartes, Paris Cité Sorbonne; Gustave Roussy Cancer Institute (S.B., C.D.), University Paris XI, Villejuif; and Sainte-Anne Hospital (O.N.), Paris, France.
医学博士
Christelle杜福尔
医院内克尔(B.M.,结核,运货单,年代。P.), Université René Descartes, Paris Cité Sorbonne; Gustave Roussy Cancer Institute (S.B., C.D.), University Paris XI, Villejuif; and Sainte-Anne Hospital (O.N.), Paris, France.
医学博士
奥利弗Nagarra
医院内克尔(B.M.,结核,运货单,年代。P.), Université René Descartes, Paris Cité Sorbonne; Gustave Roussy Cancer Institute (S.B., C.D.), University Paris XI, Villejuif; and Sainte-Anne Hospital (O.N.), Paris, France.
医学博士
弗朗西斯·布鲁
医院内克尔(B.M.,结核,运货单,年代。P.), Université René Descartes, Paris Cité Sorbonne; Gustave Roussy Cancer Institute (S.B., C.D.), University Paris XI, Villejuif; and Sainte-Anne Hospital (O.N.), Paris, France.
医学博士
斯蒂芬妮普吉
医院内克尔(B.M.,结核,运货单,年代。P.), Université René Descartes, Paris Cité Sorbonne; Gustave Roussy Cancer Institute (S.B., C.D.), University Paris XI, Villejuif; and Sainte-Anne Hospital (O.N.), Paris, France.
医学博士
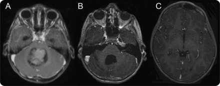
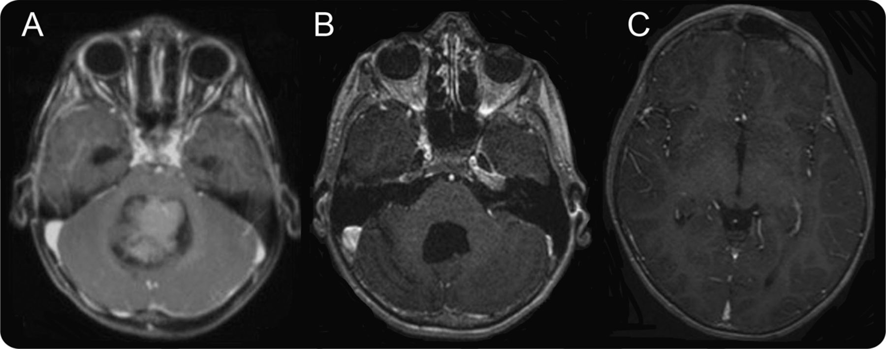
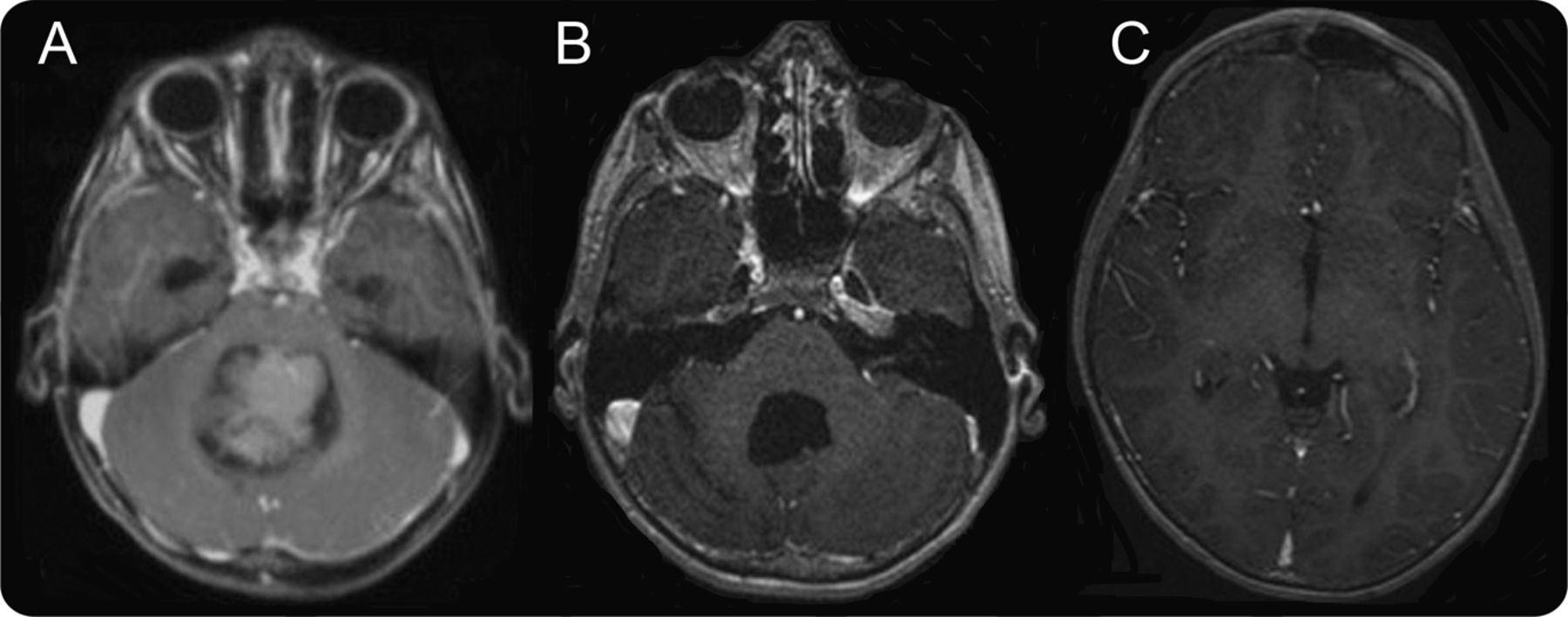
一个5岁的男孩动手术nonmetastatic第四脑室的成神经管细胞瘤(图1)。化疗和bifractionated craniospinal放射治疗管理。四年后,t1加权磁共振成像对比异常血管在右大脑侧裂透露,在随访期间逐渐增加;血管造影证实的动静脉畸形(AVM) (图2)。即使它是无症状的,其位置和增长促使我们治疗(栓塞然后残留病灶的切除)。这非常罕见的情况下辐射诱导AVM表明,当异常血管成像发生在后续1,2与血管造影进一步调查是必要的,考虑进一步治疗。
脚注
研究资金目标:没有资金报告。
信息披露:作者报告没有披露相关的手稿。去首页Neurology.org为充分披露。
- ©2013美国神经病学学会的首页
信:快速的网络通信
你可能也会感兴趣
广告
相关文章
-
没有找到相关文章。
主题讨论
提醒我
推荐的文章
- 文章
沟通前动脉动脉瘤下肢轻瘫综合症临床表现和病理相关
k·a·格林f . f .小型c . a . Dickman et al。
首页神经学,1995年1月1日 - 简短的沟通
Non-aneurysmal原发性蛛网膜下腔出血在妊娠高血压和惊厥A.K.沙等。
首页神经学,2003年7月8日 - 观点和评论
脑动静脉畸形自然历史回顾、病理学和干预措施
Ching-Jen Chen戴尔叮,科林·p·Derdeyn et al。
首页神经学,2020年10月1日 - 观点和评论
表面的铁尘肺n . Kumar a . a . Cohen-Gadol r·a·莱特等。
首页神经学,2006年4月24日


