临床推理:一位39岁的女性与进步的近端无力
第一节
一位39岁的女性提供进步的弱点在过去2½年。她最初注意到疲软的腿后,走出一条船。她的腿软弱慢慢进步在未来2年,她与楼梯上有很大的困难,从坐姿起床,特别是从低表面。在2个月前她首次访问中,她注意到困难达到开销。她否认有任何皮肤变化,皮疹,或肌肉疼痛。她没有任何双或视力模糊、上睑下垂、面部缺陷,构音障碍、吞咽困难、呼吸短促,麻木或刺痛。她的症状出现前,她没有医疗问题除了哮喘和没有服用任何药物或补品。详细的神经系统疾病的家族史是负面的。她检查了温和的弱点颈屈肌(医学研究委员会(MRC) 4级),和温和的,对称的,近端手臂和腿的弱点(MRC等级3)。远端肌肉强壮。认知、颅神经、肌肉体积和语气,深部腱反射,感官检查,和协调是正常的。 She had a mild Trendelenburg gait. There was no myotonia or fasciculation.
考虑的问题:
你差这一点是什么?
测试将有助于缩小差什么?
第二节
这个病人提供2年的进步没有感觉损失近端无力。微分是广泛的,包括疾病的肌肉(包括收购和继承),神经肌肉接点(重症肌无力,兰伯特伊顿)、运动神经,和前角细胞。中枢神经系统过程只影响强度不太可能由于缺乏病理反射,软弱的模式,和没有任何认知的情况下,视觉和感官的发现。
血清肌酸激酶(CK)测试和风湿病的EMG得到她看到2个月前访问。她的CK升高到4600单位/ L在多个场合。EMG证明异常自发活动的形式颤电位和积极的大幅波近端肌肉的胳膊和腿随着小振幅,短期,复杂的运动单位电位检查所有肌肉。她的感觉和运动神经传导研究都是正常的。
考虑的问题:
基于这些发现,当前的鉴别诊断是什么?
明确诊断测试你会做什么?
第三节
历史,神经系统检查,中正升高,肌电图结果指向一个痛的过程。这个过程可以是收购或继承。没有肌肉疾病的家族史并不排除遗传条件。,尽管一些遗传性肌肉疾病如facioscapulohumeral肌肉萎缩症或三好有特定的弱点模式,区分肢带肌营养不良的获得仅仅肌病临床理由是很困难的。因此肌肉活检是必要作进一步鉴定疾病的过程。
当考虑收购了肌肉疾病,有毒曝光信息(如酒精),药物(如他汀类药物、类固醇、艾滋病毒药物,羟氯喹,和秋水仙素),代谢障碍(如甲状腺机能减退、肾上腺机能不全、电解质异常),或急性疾病(如肌病重要疾病,传染性坏死性肌病)是至关重要的。在缺乏这些因素,特发性炎性肌病是最有可能的。特发性炎性肌病包括皮肌炎、多肌炎、免疫介导性坏死性肌病,包涵体肌炎。中详细说明表。定义的炎症性肌病病理特征也支持这个病人的肌肉活检的需要。
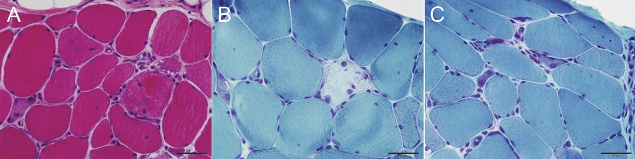
病人接受了左股四头肌肌肉活检(图)。这证明了多个坏死肌肉纤维/高性能的场。一些炎症细胞被认为和没有液泡。免疫染色显示没有明显的膜攻击复杂(MAC)沉积或表达主要组织相容性复合体(MHC)我在血管或非坏死性纤维。这些发现与坏死性肌病是一致的。并发肿瘤进行检查,包括CT和PET扫描,和是负面的。血细胞计数、电解质、促甲状腺激素、血清蛋白电泳和immunofixation多种面板中,循环citrullinated肽、抗核抗体,类风湿因子,Jo1抗体,c反应蛋白,和艾滋病都是正常的还是消极的。
讨论
这个病人被诊断患有免疫介导性坏死性肌病(IMNM)。IMNMs被认为是免疫攻击的产品导致破坏的肌肉。通常肌肉活检显示坏死纤维炎症。这种自身免疫反应的潜在诱因包括信号识别颗粒抗体(SRP Ab)1,2结缔组织疾病,3,4恶性肿瘤,5病毒性疾病,6,7最近,他汀类药物。3,8虽然IMNM通常被认为是一种罕见的实体,在225年的一项研究肌肉活检患者的临床、血清学、肌病和电生理学的特点,确定26例(10%)有一个原发性坏死性肌病。这些26患者,10例(38%)被暴露于他汀类药物。3
与其他炎性肌病、近端肌无力亚急性发作IMNM出现在大多数情况下。疾病的持续时间有点不寻常的大多数讨论,但不是全部,患者现在不到6个月的弱点。IMNM疲软的程度通常被认为是比典型的多发性肌炎(PM)和皮肌炎(DM),但这并不总是真的,宽广的临床严重程度被描述。1,2,9肌痛可能是也可能不是礼物。吞咽困难是常见的报道。1,2,8,9间质性肺病(ILD)发生在大约20%的患者SRP-positive肌炎,这让ILD的风险在可比水平DM和点。2鉴于癌症是INMN煽动因素之一,理所当然,癌症风险增加在这个人口;然而,这并不是在一个横断面研究。4
男人和女人是同样IMNM他汀类药物后的风险敞口。8女性可能更常见的开发与SRP Ab IMNM相关。1,2发病年龄似乎与PM / DM。
在实验室测试中,CK升高水平似乎比其他炎性肌病。4,9针EMG通常是符合炎症性肌病演示插入异常和自发活动的形式颤电位和积极的尖波和短期,低烈度,多相电机单元,招募早期在正常频率。3,5,8
INMN病态定义的存在坏死纤维在肌肉活检没有或很少坏死区域外的炎性浸润。没有炎症细胞在非坏死性区域区分的关键IMNM点或包涵体肌炎(IBM)。也没有围萎缩是一个期望在DM和任何有框的液泡,通常是在IBM。疣状IMNM显示变量中沉积的MAC毛细血管(通常少于在DM)和肌肉纤维1,- - - - - -,4在非坏死性纤维以及变量MHC-1表达式。1,3,4点和IBM与扩散mhc i表情肌肉纤维。尽管炎症的相对缺乏,IMNM被认为可能是自身免疫在自然界中由于偶尔的出现疣状异常,可能与自身抗体和其他临床疾病与自身免疫有关,免疫调节和响应。
免疫调节疗法是治疗IMNM。然而,IMNM是相对罕见的和新近发现的实体,因此特定的指南治疗是不完善的。IMNM可以耐火材料单剂和倾向于复发(48% - -70%)。1,- - - - - -,3,8大多数作者描述使用的剂量强的松为最初的代理40到100毫克每天。在这种情况下,病人已经放在强的松60毫克每日订单,5周之前来到我们的诊所没有临床改善。强的松的持续时间并不明确的文学;然而,我们通常至少3 - 6个月的大剂量类固醇。当病人的力量开始复苏的时候,我们锥形强的松非常缓慢和小心。当病人很弱或没有响应强度大剂量强的松和持续下降,我们将添加另一个immunomodulating代理。二级代理通常是必需的,但使用的特定的药物大幅变化。基于临床反应的剂量滴定。我们通常用甲氨蝶呤,每周15到25毫克,作为第二剂,如果没有改善,有时会添加一个静脉免疫球蛋白的2 g / kg / 2为3个月5天,其次是维护治疗每1到2个月。10在多种IMNM,删除或煽动的适当治疗癌症显然是首要任务。
作者的贡献
奎恩博士:概念化、设计和起草手稿。卡拉姆反对博士:概念化和修改手稿知识内容。
研究资金
没有针对性的资金报告。
信息披露
c·奎因没有披露。c·卡拉姆反对作为副主编的首页®命令e点击部分的编辑委员会首页®居民和其他部分。去首页Neurology.org为充分披露。
承认
作者感谢安德鲁·恩格尔博士提供图中的图像。
脚注
去首页Neurology.org为充分披露。资金信息和披露认为作者相关的,如果有的话,年底提供这篇文章。
- ©2013美国神经病学学会的首页
引用
信:快速的网络通信
你可能也会感兴趣
相关文章
-
没有找到相关文章。
提醒我
推荐的文章
- 文章
肌质MxA表达式一个有价值的皮肌炎的标志
Akinori Uruha保持,明子Nishikawa Rie Tsuburaya et al。
首页神经学,2016年12月30日 - 文章
特发性炎性肌病评分者间信变化肌肉活检阅读
Pieter a·奥利弗,伯德Paepe爱阿罗尼卡et al。
首页神经学,2019年7月29日 - 文章
更加突出肌肉参与皮肌炎患者anti-Mi2自身抗体伊阿古Pinal-Fernandez克里斯托弗•a . Mecoli玛丽亚Casal-Dominguez et al。
首页神经学,08年10月,2019年 - 文章
Myositis-specific自身抗体特定肌肉肌炎与遗传疾病利维亚Casciola-Rosen安德鲁•l .定丽莎Christopher-Stine et al。
首页神经病学,神经免疫学神经炎症,2015年11月19日


