2013年7月23日
;81 (4)
居民和其他部分
教学神经图片自发的丘脑出血导致收敛过度
yi cheng大,Sung-Chun唐,Jiann-Shing刘正
第一次出版2013年7月22日,
DOI: https://doi.org/10.1212/WNL.0b013e31829c5cc0
yi cheng大
从神经学部门(Y.-C.T。首页,S.-C.T。,J.-S.J.), National Taiwan University Hospital, Taipei; and the Department of Neurology (Y.-C.T.), E-Da Hospital/I-Shou University, Kaohsiung, Taiwan.
医学博士
Sung-Chun唐
从神经学部门(Y.-C.T。首页,S.-C.T。,J.-S.J.), National Taiwan University Hospital, Taipei; and the Department of Neurology (Y.-C.T.), E-Da Hospital/I-Shou University, Kaohsiung, Taiwan.
医学博士
Jiann-Shing刘正
从神经学部门(Y.-C.T。首页,S.-C.T。,J.-S.J.), National Taiwan University Hospital, Taipei; and the Department of Neurology (Y.-C.T.), E-Da Hospital/I-Shou University, Kaohsiung, Taiwan.
医学博士
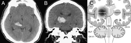
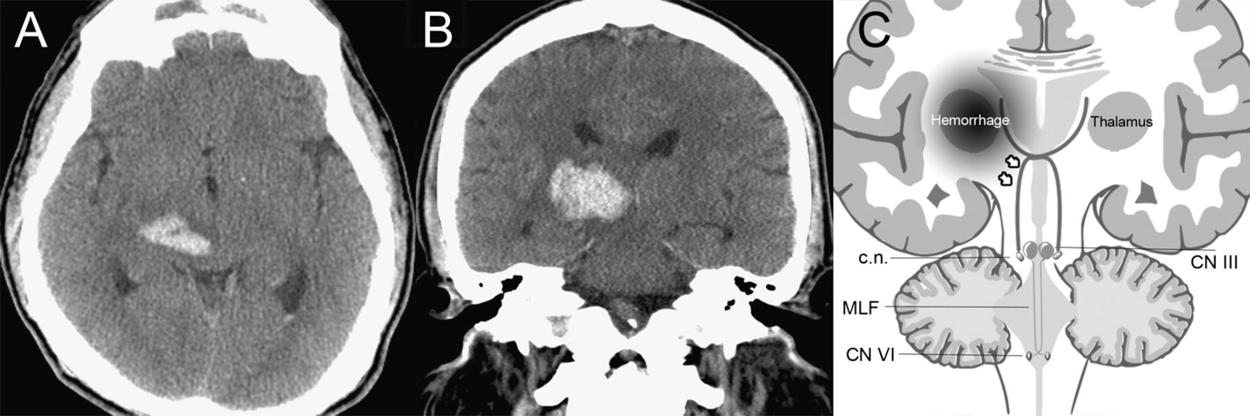
一个61岁的老人急性昏迷和左路的弱点。头部CT显示右丘脑出血(图1中,A和B)。第二天恢复意识,他举行了双边收敛过剩和向上凝视限制(图2),保留光和oculocephalic反射。这种现象消失在睡觉。
图1
轴向与结构说明和冠状CT显示丘脑血肿对收敛的影响系统
(A, B)对丘脑出血与中脑扩展和2毫米第三脑室中线的转变。(C)收敛性神经元(花旗集团(c.n:行情)眼球运动的核背外侧,由下行控制在丘脑皮层通路交叉的区域。单侧丘脑病变同侧和交叉成十字形侧纤维破坏(箭头),导致与对侧突出眼睛的双边收敛过剩。MLF =内侧纵束。
收敛过度很少是由丘脑病变引起的。1收敛性神经元,眼球运动的核背外侧,由下行控制皮质通路。2丘脑下的地区的通路交叉成十字形,单侧丘脑病变可能会扰乱身体的同侧的和交叉侧纤维(图1 c)。赞同清醒表明其与附近的网状结构。
作者的贡献
大博士是负责起草的概念和手稿。唐博士是负责修订和最终批准的手稿。刘正博士负责的重要修订手稿。
研究资金
没有针对性的资金报告。
信息披露
y大作为一个神经学家(居住)在国立台湾大学医院神经病学和临床研究员E-Da医院和报告没有披露。首页美国唐担任学院的神经学家(参加)国立台湾大学医院神经病学和报告没有披露。首页j .刘正作为一个神经学家(参加)的神经学国立台湾大学医院和报告没有披露。首页去首页Neurology.org为充分披露。
承认
作者感谢Chia-Huei日圆,帮助说明的解剖学。
脚注
去首页Neurology.org为充分披露。资金信息和披露认为作者相关的,如果有的话,年底提供这篇文章。
下载教学幻灯片:www.首页neurology.org
- ©2013美国神经病学学会的首页
信:快速的网络通信
你可能也会感兴趣
广告
提醒我
推荐的文章
- 居民和其他部分
临床推理:一个48岁的男子出现复视Niranjan k . Pehere Kebede高飞et al。
首页神经学,2020年11月16日 - 居民和其他部分
珍珠和oy-sters ophthalmoparesis的本地化特蕾莎修女Buracchio,珍妮特·c·洛克等。
首页神经学,2007年12月10日 - 文章
异常朝向上脑干梗塞Pseudoabducens麻痹
p . Pullicino n . Lincoff B.T. Truax et al。
首页神经学,08年8月,2000年 - 居民和其他部分
珍珠和Oy-sters:内侧纵束的眼部运动生理学t . c . Frohman s Galetta r·福克斯等。
首页神经学,2008年5月20日


