2013年8月27日,
;81 (9)
居民和其他部分
教学神经图片:结节病表现为纵向广泛的骨髓炎
优秀的对英夫利昔单抗
指甲戈恩卡,Nagagopal Venna
第一次出版2013年8月26日,
DOI: https://doi.org/10.1212/WNL.0b013e3182a2cc03
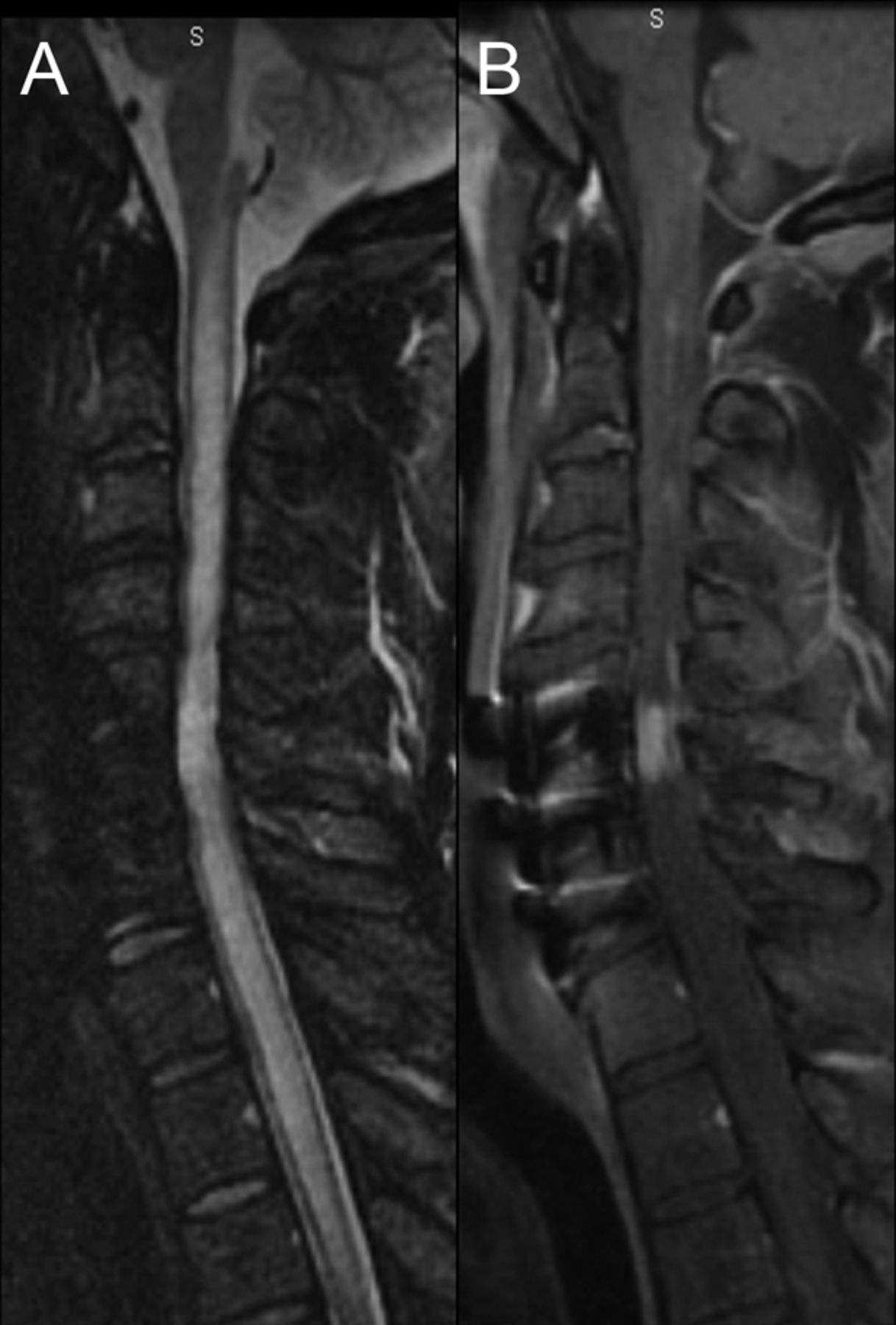
一个44岁的男人提供2周的进步对身体麻木,软弱,圆周烧灼感在他的躯干。脊柱MRI显示纵向广泛脊髓炎(图1)。MRI大脑和实验室调查除了脑脊液淋巴细胞是正常脑脊液细胞增多(9白细胞/毫米3)。CT显示肺门和纵隔淋巴结病,活检显示noncaseating肉芽肿结节病的暗示。作为病人有多个临床复发类固醇,他与英夫利昔单抗治疗输液(5毫克/公斤每4周),而且有完整的临床和放射分辨率后1年(图2)。脊髓炎呈现结节病的特点是非常罕见的,对英夫利昔单抗。1,2
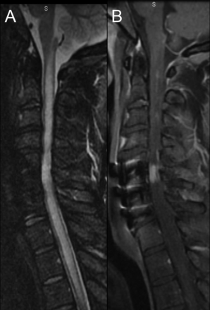
图1
预处理核磁共振
矢状t2加权图像(一)演示了支流hyperintensity从上部颈椎脊髓胸上。在postgadolinium t1加权图像(B),增强多焦点的,不完整的。
作者的贡献
净收益回顾了临床病例和准备手稿和数字。喷嘴速度监督临床护理和批判性的评论的手稿。两位作者批准了最终版本。
研究资金
没有针对性的资金报告。
信息披露
作者报告没有披露相关的手稿。去首页Neurology.org为充分披露。
- ©2013美国神经病学学会的首页
信:快速的网络通信
你可能也会感兴趣
广告
相关文章
主题讨论
提醒我
推荐的文章
- 诊断和治疗的挑战
一个年轻人在胳膊和腿麻木从国家多发性硬化症协会会议论文集
安德鲁·r·罗密欧,罗伯特·p·Lisak伊桑Meltzer et al。
首页神经学:神经免疫学和神经炎症,2018年10月23日 - 文章
英夫利昔单抗治疗中枢神经系统结节病多机构研究系列
迈克尔·j·布拉德肖杰弗里·m·盖尔芬德巴尼·j·斯特恩等。
首页神经学,2017年10月13日 - 文章
的临床和MRI表型sarcoidosis-associated脊髓病Olwen c·墨菲,安德里亚·Salazar-Camelo豪尔赫·a·吉梅内斯等。
首页神经学:神经免疫学和神经炎症,08年4月,2020年 - 临床/科学的笔记
Ventral-subpial增强脊髓结节病braid-like标志
嘉斯米娜Boban Majda m . Thurnher et al。
首页神经学,2018年12月28日


