2014年1月21日
;82 (3)
神经图片
弥漫性脑瘀点在一个8岁的女孩与耐甲氧西林金黄色葡萄球菌肺炎和败血症
一位t·威廉姆斯,杨惠妍江
第一次出版2014年1月20日,
DOI: https://doi.org/10.1212/WNL.0000000000000039
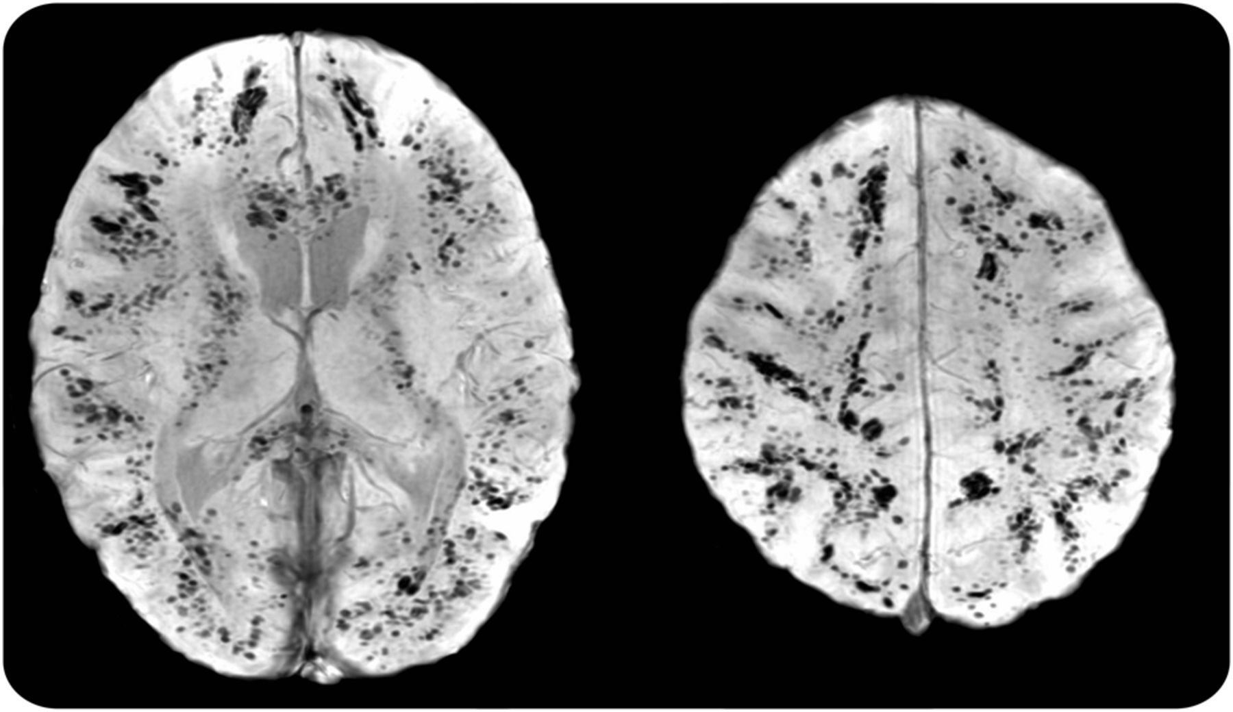
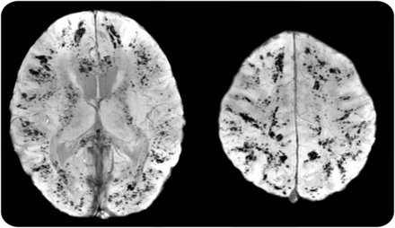
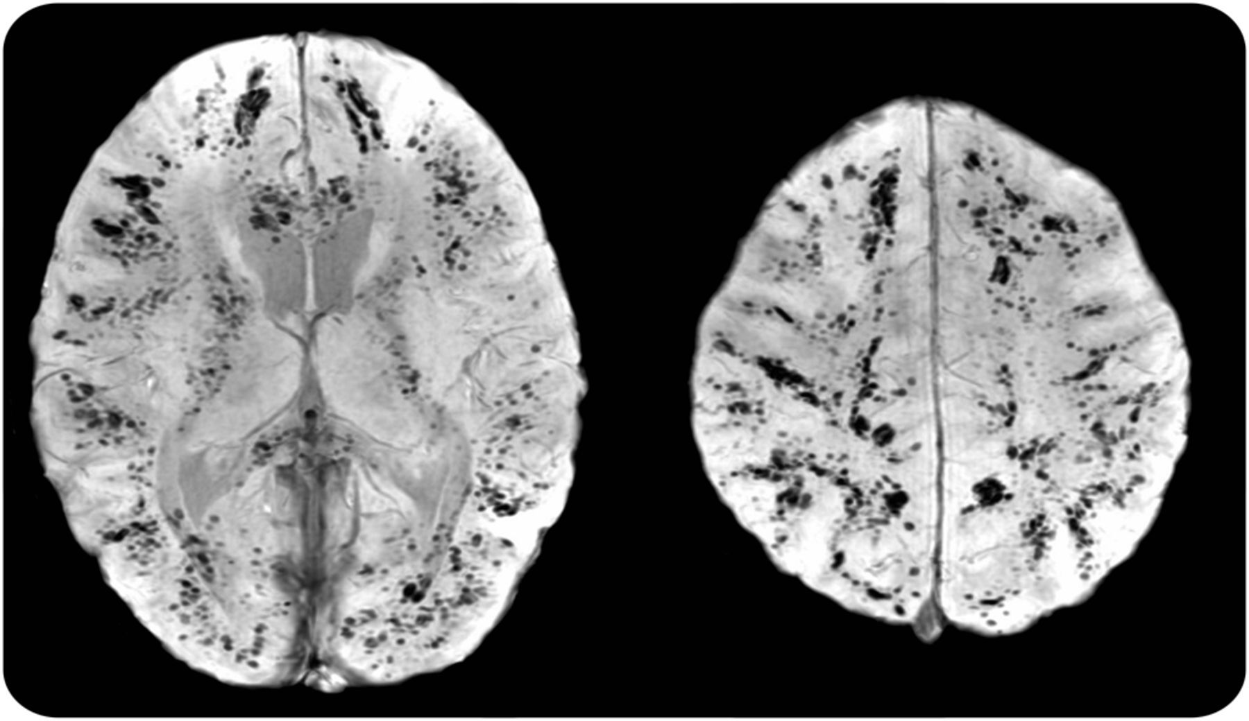
一个8岁的女孩因坏死性耐甲氧西林感染性休克金黄色葡萄球菌(MRSA)肺炎发达终末器官损害的迹象,新右半身不遂,注视偏好。Susceptibility-weighted MRI显示广泛的多焦点的瘀点优先在灰白色物质界面由于感染性微栓塞(图)。出血的机制包括小血管阻塞导致霉菌的动脉瘤的形成与破裂或化脓性动脉炎没有动脉瘤形成。1颅内出血与转移性葡萄球菌感染很少被描述2尤其值得注意和弥漫性脑瘀点设置的转移性耐甲氧西林金黄色葡萄球菌。
图
Susceptibility-weighted MRI脑半球
无数的离散瘀斑的出血在大脑半球在轴向susceptibility-weighted MRI演示的那样。大多数病变位于灰白色接口。
脚注
作者的贡献:m·威廉姆斯:研究概念和设计,采集的数据和解释,写草稿的手稿。h .江:案例的讨论和修订的手稿。
研究经费:没有针对性的资金报告。
披露:作者报告没有披露相关的手稿。去首页Neurology.org为充分披露。
- ©2014美国神经病学学会的首页
信:快速的网络通信
你可能也会感兴趣
广告
相关文章
-
没有找到相关文章。
提醒我
推荐的文章
- 文章
的有效性和成本筛查动脉瘤蛛网膜下腔出血后每5年亨德里克·Koffijberg Marieke J.H. Wermer,艾琳·c·范德Schaaf et al。
首页神经学,2008年4月16日 - 居民和其他部分
珍珠和Oy-sters:多种大脑血管炎自发的凸性蛛网膜下腔出血的罕见的原因
Anuja帕蒂尔,Ritu Shree, Darakhshan Naheed et al。
首页神经学,2018年2月26日 - 文章
厉螨分数的预测的风险未破裂颅内动脉瘤的生长她女儿回来,加布里埃尔J.E. Rinkel, Jacoba Greving et al。
首页神经学,2017年3月31日 - 文章
协会的颅内动脉瘤破裂与吸烟持续时间、强度和停止阿尼尔,维克多·m·卡斯特罗Yildirim h·奥兹德米尔et al。
首页神经学,2017年8月30日


