2014年1月21日
;82 (3)
居民和其他部分
教学神经图片:新生儿parechovirus脑炎
典型的核磁共振研究
Vincenzo Belcastro,保罗•比尼人,罗伯塔Barachetti,马里奥Barbarini
第一次出版2014年1月20日,
DOI: https://doi.org/10.1212/WNL.0000000000000040
Vincenzo Belcastro
从神经科学的部门(V.B.)和新生儿学(回堵,R.B.,M.B.), S. Anna Hospital, Como, Italy.
医学博士
保罗•比尼人
从神经科学的部门(V.B.)和新生儿学(回堵,R.B.,M.B.), S. Anna Hospital, Como, Italy.
医学博士
罗伯塔Barachetti
从神经科学的部门(V.B.)和新生儿学(回堵,R.B.,M.B.), S. Anna Hospital, Como, Italy.
医学博士
马里奥Barbarini
从神经科学的部门(V.B.)和新生儿学(回堵,R.B.,M.B.), S. Anna Hospital, Como, Italy.
医学博士
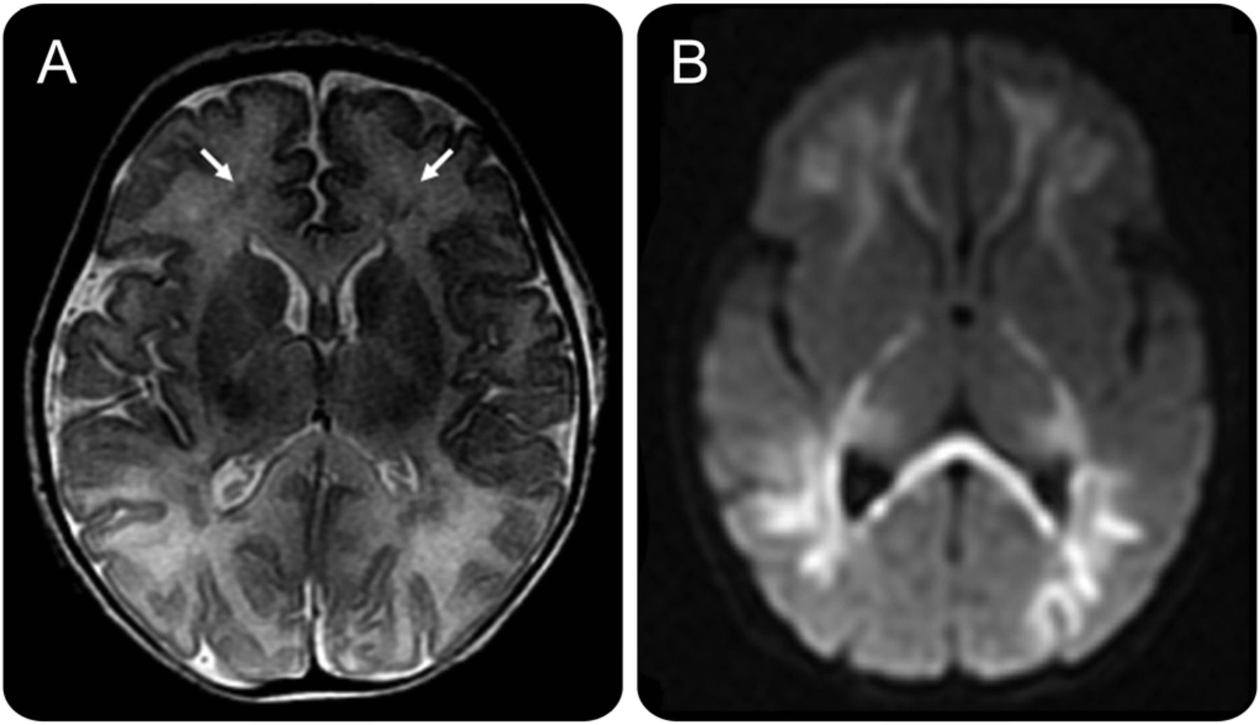
一个足月之一女孩出现发烧、易怒和癫痫发作。颅超声,脑脊液常规检查和实验室测试是正常的。脑部核磁共振成像显示弥漫性脑白质异常(图)。人类parechovirus (HPeV) 3型被隔离在脑脊液和血液。神经发育的结果在4个月差,MRI显示了一个广泛的额叶白质囊性脑栓塞。
图
核磁共振的新生儿parechovirus脑炎
核磁共振t2加权旋转回声轴节(一个)显示点状的白质病变(箭头)暗示了瘀斑的出血。Diffusion-weighted成像部分(B)显示弥漫性高信号强度过度。这个独特的白质参与模式是值得注意的,这些异常延伸到皮层下白质,涉及整个纤维束,胼胝体、光学辐射,和后丘脑。
HPeV感染的诊断是由积极HPeV PCR在脑脊液和血液。广泛的白质异常是一个典型的MRI发现在新生儿HPeV脑炎,而单纯疱疹病毒脑炎展品扩散灰质和白质的变化。1
作者的贡献
Vincenzo Belcastro和保罗•比尼人:起草/修订手稿的内容,包括医学写作内容;分析或解释数据;监督或协调研究。马里奥Barbarini和罗伯塔Barachetti:分析或解释数据;起草/修订手稿的内容,包括医学写作。
研究资金
没有针对性的资金报告。
信息披露
作者报告没有披露相关的手稿。去首页Neurology.org为充分披露。
脚注
下载教学幻灯片:www.首页neurology.org
- ©2014美国神经病学学会的首页
信:快速的网络通信
你可能也会感兴趣
广告
提醒我
推荐的文章
- 文章
独特的白质损伤模式和轮状病毒感染新生儿(Kim Jung胆小鬼Yeom, Ji-Hyun Seo et al。
首页神经学,2014年12月03日 - 简短的沟通
白质损害新生儿肠病毒脑膜炎m·a·Verboon-Maciolek f . Groenendaal f·考恩等。
首页神经学,2006年4月24日 - 文章
较低的扩散在白色产前甲基苯丙胺的孩子接触的问题c . c .斗篷,t·恩斯特·l·藤井裕久等。
首页神经学,2009年4月15日 - 文章
早产儿大脑异常成熟与不良发展结果有关凡洲,安妮Synnes,露丝大肠Grunau et al。
首页神经学,08年11月,2013年


