2016年9月6日
;87 (10)
居民和其他部分
教学视频神经图片:P / q型电压门控钙channel-associated多种椭圆眼球震颤
伊娃a Mistry,安德鲁·g·李,尤金·c·赖
第一次出版2016年9月5日,
DOI: https://doi.org/10.1212/WNL.0000000000003068
伊娃a Mistry
从神经学部门(E.A.M.首页,E。C.L.) and Blanton Eye Institute, Department of Ophthalmology (A.G.L.), Houston Methodist Neurological Institute, TX; Departments of Ophthalmology, Neurology, and Neurosurgery (A.G.L.), Weill Cornell Medical College, New York, NY; Department of Ophthalmology (A.G.L.) at Baylor College of Medicine, UTMB, Galveston; and the UT MD Anderson Cancer Center (A.G.L.), Houston, TX.
安德鲁·g·李
从神经学部门(E.A.M.首页,E。C.L.) and Blanton Eye Institute, Department of Ophthalmology (A.G.L.), Houston Methodist Neurological Institute, TX; Departments of Ophthalmology, Neurology, and Neurosurgery (A.G.L.), Weill Cornell Medical College, New York, NY; Department of Ophthalmology (A.G.L.) at Baylor College of Medicine, UTMB, Galveston; and the UT MD Anderson Cancer Center (A.G.L.), Houston, TX.
尤金·c·赖
从神经学部门(E.A.M.首页,E。C.L.) and Blanton Eye Institute, Department of Ophthalmology (A.G.L.), Houston Methodist Neurological Institute, TX; Departments of Ophthalmology, Neurology, and Neurosurgery (A.G.L.), Weill Cornell Medical College, New York, NY; Department of Ophthalmology (A.G.L.) at Baylor College of Medicine, UTMB, Galveston; and the UT MD Anderson Cancer Center (A.G.L.), Houston, TX.
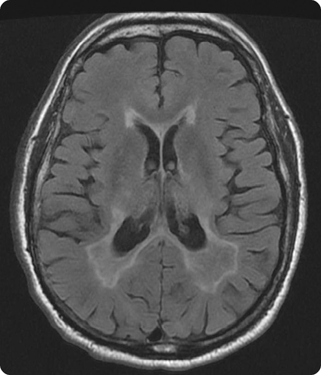
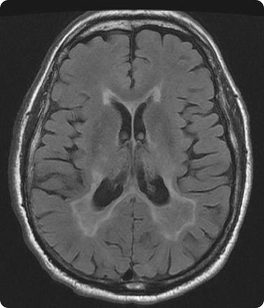
71岁的慢性吸烟者有一个11个月的历史单眼双目椭圆眼球震颤和振动幻视紧随其后(视频首页Neurology.org)。大脑MRI显示广泛的室周的T2信号变化(图)和脑脊液蛋白升高到102 mg / dL。脑脊液和血清中多种面板显示血清浓度升高anti-P / q型电压门控钙通道(VGCC)和anti-neuronal-type电压门控钾通道抗体。后一个潜在的恶性肿瘤未找到一个广泛的调查。病人与卡马西平治疗有症状的控制,其次是第四大剂量甲强龙,导致温和改善。Anti-VGCC抗体已经涉及多种的眼球震颤和小细胞肺癌是最常见的恶性肿瘤有关。1,2
作者的贡献
电子艺界Mistry创作手稿,参与病人的治疗和诊断。赖博士批判性回顾了手稿,参与病人的治疗和诊断。李博士批判性回顾了手稿,参与病人的治疗和诊断。
研究资金
没有针对性的资金报告。
信息披露
作者报告没有披露相关的手稿。去首页Neurology.org为充分披露。
脚注
补充数据首页Neurology.org
下载教学幻灯片:首页Neurology.org
- ©2016美国神经病学学会的首页
信:快速的网络通信
你可能也会感兴趣
广告
提醒我
推荐的文章
- 文章
SOX1抗体的标记多种Lambert-Eaton肌无力的综合症l·萨瓦特m . Titulaer Saiz et al。
首页神经学,2007年11月21日 - 文章
GABAB受体抗体在边缘脑炎和anti-GAD-associated神经紊乱a . Boronat l·萨瓦特Saiz et al。
首页神经学,2011年2月28日 - 文章
长期生存在多种Lambert-Eaton肌无力的综合症保罗•麦迪森马修·j·保罗·Gozzard Grainge et al。
首页神经学,2017年3月1日 - 文章
GABAB受体自身抗体血清学的频率在服务评估奥利弗·j·杰弗瑞万带兰列侬,肖恩·j·Pittock et al。
首页神经学,07年8月,2013年


