2016年9月13日
;87 (11)
神经图片
动静脉瘘模仿前庭神经鞘瘤
m·尼尔伍德奥,斯科特y拉希米
第一次出版2016年9月12日,
DOI: https://doi.org/10.1212/WNL.0000000000003103
一个59岁的女人面对进步奔袭感音神经性听力损失。检查显示一个增强病灶内部听觉运河(IAC)符合前庭神经鞘瘤(图1)。
病人接受了translabyrinthine方法切除的质量。IAC的硬脑膜打开的时候,没有发现肿瘤,但几家大型船只被指出。
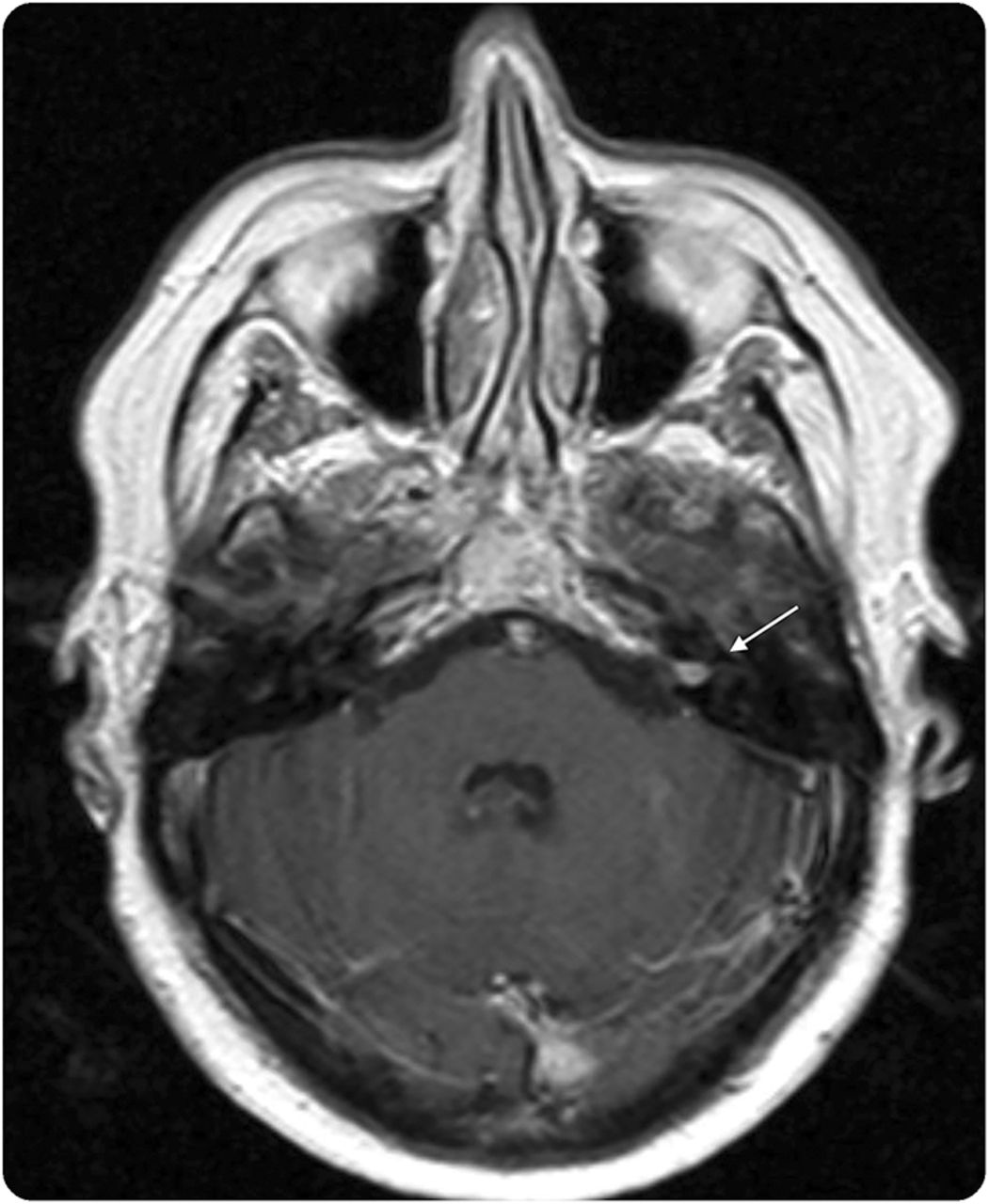
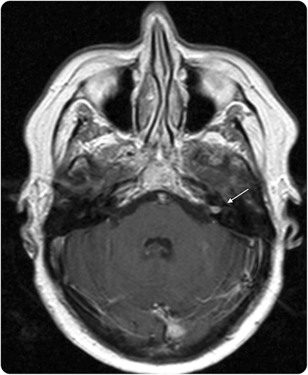
执行脑血管造影术和早期静脉引流动静脉瘘的建议,美联储前下小脑动脉,排入优越伪劣坚硬的鼻窦(图2)。
图2
脑血管造影,前后的视图,midarterial阶段,左椎动脉注入
脑血管造影前后的观点,midarterial阶段,左椎动脉注射显示早期静脉引流到上级坚硬的窦(箭头所指)。
脚注
披露:作者报告没有披露相关的手稿。去首页Neurology.org为充分披露。
作者的贡献:伍德奥博士:文献综述,手稿准备。拉希米博士:工程监理。
研究经费:没有针对性的资金报告。
- ©2016美国神经病学学会的首页
信:快速的网络通信
你可能也会感兴趣
广告
相关文章
-
没有找到相关文章。
主题讨论
提醒我
推荐的文章
- 居民和其他部分
临床推理:突发性耳聋眩晕在一个42岁的女人崔Jeong-Yoon Hyo-Jung Kim Ji-Soo金等。
首页神经学,2020年5月04日 - 文章
Hyperventilation-induced眼球震颤患者的前庭神经鞘瘤劳埃德·b·小托马斯·Haslwanter杜米尼克Straumann et al。
首页神经学,1999年12月1日 - 文章
回顾神经纤维瘤病2型诊断标准排除LZTR1-related schwannomatosis米里亚姆·j·史密斯,娜奥米·l·鲍尔斯迈克尔Bulman et al。
首页神经学,2016年11月16日 - 居民和其他部分
临床推理:一个共同原因Phelan-McDermid综合症和神经纤维瘤病2型一个环绑定它们
阿里尔·m·Lyons-Warren分围张,j·劳埃德Holder jr . et al。
首页神经学,2017年10月23日


