2016年9月13日
;87 (11)
视频神经图片
咳嗽震颤脑室肿瘤的症状
玛丽亚蔷薇花坛马扎,莫里吉奥Morelli,米开朗基罗Gangemi,会Ferrigno,巴西利奥Vescio,路易吉·玛丽亚·卡瓦略,奥尔多•夸特隆,弗朗西斯科·波诺
第一次出版2016年9月12日,
DOI: https://doi.org/10.1212/WNL.0000000000003100
玛丽亚蔷薇花坛马扎
从神经学研究所(Drs。首页马扎,Morelli Ferrigno•夸特隆,Bono),麦格纳Græcia Catanzaro大学;费德里科•那不勒斯第二大学(Drs。Gangemi和李东旭);和研究所的分子Bioimaging和生理学(Drs。Vescio•夸特隆,Bono),国家研究理事会,Catanzaro,意大利。
医学博士
莫里吉奥Morelli
从神经学研究所(Drs。首页马扎,Morelli Ferrigno•夸特隆,Bono),麦格纳Græcia Catanzaro大学;费德里科•那不勒斯第二大学(Drs。Gangemi和李东旭);和研究所的分子Bioimaging和生理学(Drs。Vescio•夸特隆,Bono),国家研究理事会,Catanzaro,意大利。
医学博士
米开朗基罗Gangemi
从神经学研究所(Drs。首页马扎,Morelli Ferrigno•夸特隆,Bono),麦格纳Græcia Catanzaro大学;费德里科•那不勒斯第二大学(Drs。Gangemi和李东旭);和研究所的分子Bioimaging和生理学(Drs。Vescio•夸特隆,Bono),国家研究理事会,Catanzaro,意大利。
医学博士
会Ferrigno
从神经学研究所(Drs。首页马扎,Morelli Ferrigno•夸特隆,Bono),麦格纳Græcia Catanzaro大学;费德里科•那不勒斯第二大学(Drs。Gangemi和李东旭);和研究所的分子Bioimaging和生理学(Drs。Vescio•夸特隆,Bono),国家研究理事会,Catanzaro,意大利。
医学博士
巴西利奥Vescio
从神经学研究所(Drs。首页马扎,Morelli Ferrigno•夸特隆,Bono),麦格纳Græcia Catanzaro大学;费德里科•那不勒斯第二大学(Drs。Gangemi和李东旭);和研究所的分子Bioimaging和生理学(Drs。Vescio•夸特隆,Bono),国家研究理事会,Catanzaro,意大利。
博士学位
路易吉·玛丽亚·卡瓦略
从神经学研究所(Drs。首页马扎,Morelli Ferrigno•夸特隆,Bono),麦格纳Græcia Catanzaro大学;费德里科•那不勒斯第二大学(Drs。Gangemi和李东旭);和研究所的分子Bioimaging和生理学(Drs。Vescio•夸特隆,Bono),国家研究理事会,Catanzaro,意大利。
医学博士
奥尔多•夸特隆
从神经学研究所(Drs。首页马扎,Morelli Ferrigno•夸特隆,Bono),麦格纳Græcia Catanzaro大学;费德里科•那不勒斯第二大学(Drs。Gangemi和李东旭);和研究所的分子Bioimaging和生理学(Drs。Vescio•夸特隆,Bono),国家研究理事会,Catanzaro,意大利。
医学博士
弗朗西斯科·波诺
从神经学研究所(Drs。首页马扎,Morelli Ferrigno•夸特隆,Bono),麦格纳Græcia Catanzaro大学;费德里科•那不勒斯第二大学(Drs。Gangemi和李东旭);和研究所的分子Bioimaging和生理学(Drs。Vescio•夸特隆,Bono),国家研究理事会,Catanzaro,意大利。
医学博士
一位39岁的女性面对右手地震引发的咳嗽。她的检查发现静止震颤和不规则的肌阵挛和瞬态右手颤抖沉淀通过咳嗽(视频首页Neurology.org)。脑部核磁共振成像显示脑室肿瘤和部分室间孔阻塞(图)。在这个位置会导致突然间歇性脑积水脑室肿瘤,1和焦丘脑病变可能导致手震颤。2我们假设压缩引起的丘脑腹侧核中间cough-induced脑积水,cerebello-thalamo-cortical电路功能障碍的可能机制cough-associated侧手震颤;这个手术切除subependymoma后消失。咳嗽震颤可能与脑室肿瘤有关。
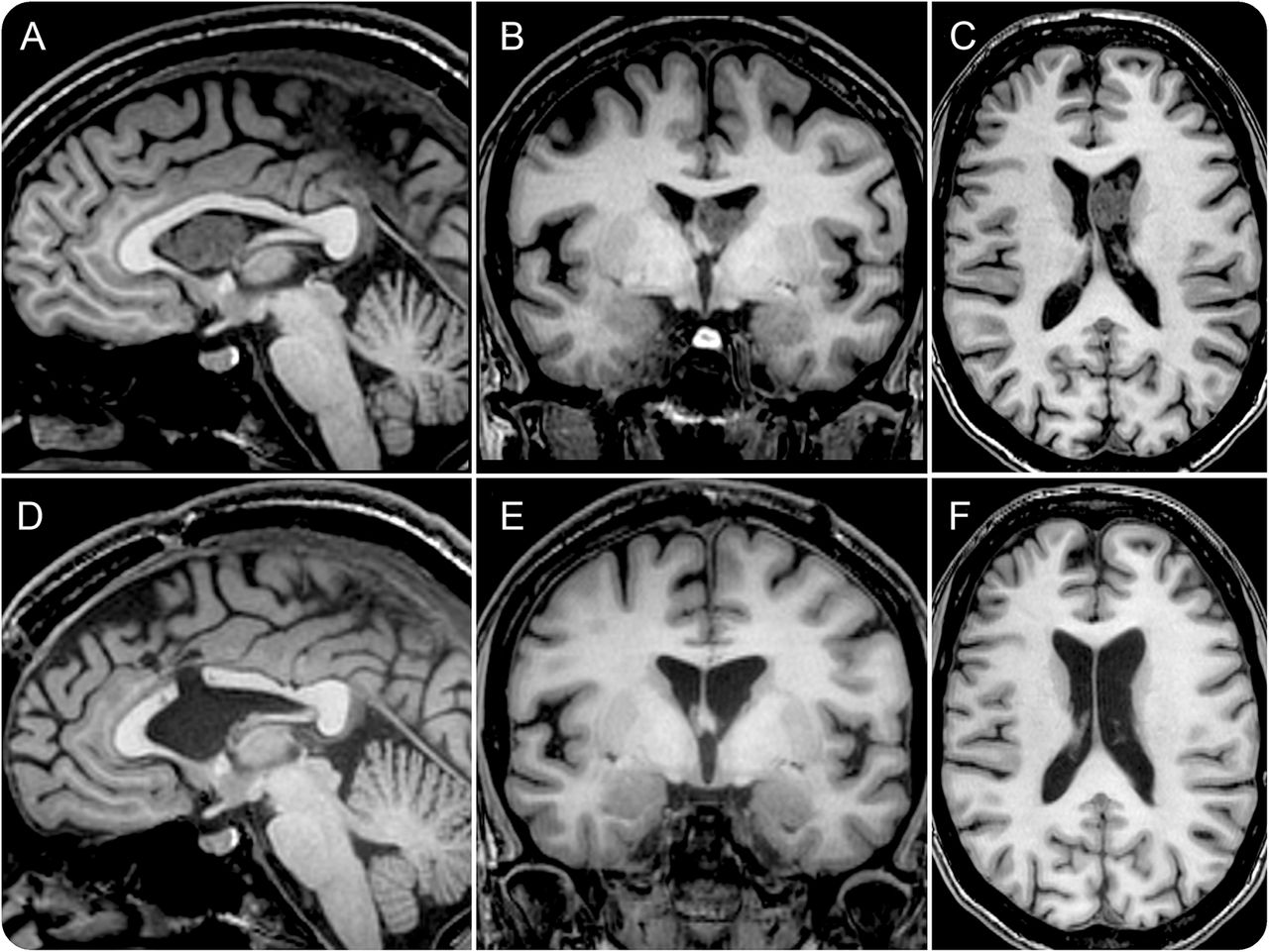
图
脑室肿瘤导致间歇性脑积水
MRI显示脑室质量(A)和孟氏孔部分梗阻(B)导致轻微的左侧侧脑室扩大(C),咳嗽转移肿瘤,完全自由流动的阻塞脑脊液孟氏孔,造成间歇性脑积水。孟氏孔阻塞手术切除后消失subependymoma (D-F)。
脚注
↵*这些作者的贡献同样这项工作。
补充数据首页Neurology.org
作者的贡献:马扎博士:起草/修订手稿,采集的数据,分析和解释数据。Morelli博士:起草/修订手稿,采集的数据,分析和解释数据。Drs。Gangemi和李东旭:手术切除肿瘤,分析和解释数据。Ferrigno博士:分析和采集的数据。Vescio博士:分析和采集的数据。•夸特隆教授:数据的分析和解释。博诺博士:研究概念和设计,起草/修改手稿,分析和解释数据。
研究经费:没有针对性的资金报告。
披露:作者报告没有披露相关的手稿。去首页Neurology.org为充分披露。
- ©2016美国神经病学学会的首页
信:快速的网络通信
你可能也会感兴趣
广告
提醒我
推荐的文章
- 文章
纵向随访对矛盾的VIM丘脑脑深部电刺激或特发性震颤隆Tsuboi,倡导建立Jabarkheel,帕梅拉·r·Zeilman et al。
首页神经学,2020年2月11日 - 观点和评论
震颤在肌张力障碍是肌张力障碍的表型特征吗?乔凡尼看来,安东内拉·康特·拉斯泰利,安吉洛Gigante et al。
首页神经学,2015年2月6日 - 临床/科学的笔记
心因性地震发生在脑深部电刺激术特发性震颤安德鲁•麦肯j . Eric Ahlskog约瑟夫y松本et al。
首页神经学,2008年4月14日 - 文章
直立性震颤的临床、电生理学的和184名患者的治疗结果
安哈哈桑,j . Eric Ahlskog约瑟夫y松本et al。
首页神经学,08年1月,2016年


