2016年9月13日
;87 (11)
居民和其他部分
教学神经图片治疗急性脑病的:一个极其罕见的原因
保罗维克多de Souza Sgobbi,蒂亚戈Bortholin,Wladimir喷口Vieira de Rezende平托,Acary Souza Bulle奥利维拉
第一次出版2016年9月12日,
DOI: https://doi.org/10.1212/WNL.0000000000003104
保罗维克多de Souza Sgobbi
部门的神经肌肉疾病,神经学和神经外科,圣保罗联邦大学(UNIFESP),巴西圣保罗。首页
医学博士
蒂亚戈Bortholin
部门的神经肌肉疾病,神经学和神经外科,圣保罗联邦大学(UNIFESP),巴西圣保罗。首页
医学博士
Wladimir喷口Vieira de Rezende平托
部门的神经肌肉疾病,神经学和神经外科,圣保罗联邦大学(UNIFESP),巴西圣保罗。首页
医学博士
Acary Souza Bulle奥利维拉
部门的神经肌肉疾病,神经学和神经外科,圣保罗联邦大学(UNIFESP),巴西圣保罗。首页
医学博士
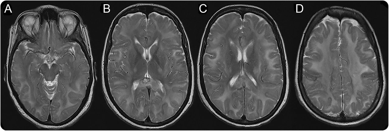
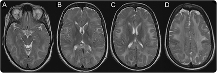
一个32岁的巴西人面对亚急性脑病和步态不稳。检查显示广义肌张力障碍和昏睡。脑部MRI显示分散对称脑白质病没有改变基底神经节(图)。遗传分析显示的杂合突变c。74年dupt和c。980-14A
图
神经影像学研究结果缺乏硫胺转运体
神经影像学研究SLC19A3基因突变。(模拟)轴向大脑MRI披露明显扩散hyperintensity深远的和大脑皮层下白质和皮质脊髓束hyperintensity内囊后肢的t2加权图像。
硫胺素代谢的遗传缺陷和运输是一个罕见的群neurometabolic疾病造成酶缺陷或转运障碍引起异构神经症状,如biotin-responsive基底节疾病,情景性共济失调,急性脑病、硫胺素和致命的头小畸型的临床改善后更换。1,2
作者的贡献
Souza博士:病例报告项目概念、组织和执行,初稿的写作。Bortholin博士:病例报告项目概念、组织和执行,初稿的写作。平托博士:病例报告项目概念和执行,初稿的写作,手稿评论和批判。奥利维拉博士:手稿评论和批判。
研究资金
没有针对性的资金报告。
信息披露
作者报告没有披露相关的手稿。去首页Neurology.org为充分披露。
脚注
下载教学幻灯片:首页Neurology.org
- ©2016美国神经病学学会的首页
信:快速的网络通信
你可能也会感兴趣
广告
提醒我
推荐的文章
- 文章
脑钙化和PCDH12变体盖尔人尼古拉斯,莫尼卡Sanchez-Contreras,玛丽莎拉莫斯艾丽亚娜一直等。
首页神经学:遗传学,7月26日,2017年 - 文章
Biotin-responsive基底节疾病再现临床、放射和基因的发现
卜拉欣Tabarki、眼眶Al-Shafi Saad Al-Shahwan et al。
首页神经学,2012年12月26日 - 审查
Neurometabolic障碍五个新事物
米歇尔·a·Willemsen印加德国哈丁,罗恩·a·威夫等。
首页神经学:临床实践,2016年6月29日 - 文章
鉴别诊断和评价小儿多发性硬化症金哈恩,丹妮拉波尔,玛丽Rensel et al。
首页神经学,2007年4月16日


