脊髓中央管增强和三叉戟在结节病
我们报告一个增强模式9例脊髓结节病(SCS)亚急性发作(< 4周)脊髓炎作为初始结节病的表现。表现症状包括9的麻木、尿投诉7,疲软的6。检查发现异常本体感受8,痉挛性的四肢瘫痪/下肢轻瘫在6和6感觉水平。MRI显示中央管增强独自一人(11%)或结合dorsal-subpial增强1(89%)(图1),通常类似三叉戟在轴向序列(图2)。7病人肺活检确诊结节病;两个病人没有活检门的腺病。中央管增强和亚急性脊髓炎的三叉戟标志应该提高SCS的怀疑。
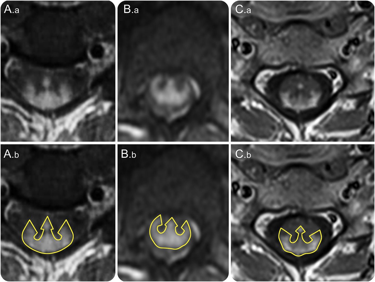
核磁共振成像显示纵向广泛的T2 hyperintensity (。a、B。a, C。,地方检察官)和背单纯增强(a。b, b。b, C。b; arrows) and central canal enhancement (A.b, B.b, C.b, D.b; arrowheads).
新月形的分层后单纯的增强伴随着中央管增强导致一个三管齐下的外观(。a、B。a, C。a) resembling a trident head (A.b, B.b, C.b).
脚注
作者的贡献:尼古拉斯Zalewski:作者、数据采集。卡尔Krecke:影像学数据审查。Brian Weinshenker:至关重要的修订手稿、分析和解释。Allen Aksamit:至关重要的修订手稿、分析和解释。Brittani康威:数据采集。安德鲁·麦肯:至关重要的修订手稿、分析和解释。Eoin弗拉纳根:研究和概念设计,分析和解释,重要的修订手稿,研究监督。
研究经费:没有针对性的资金报告。
披露:n Zalewski和k Krecke没有披露。b . Weinshenker收到版税秩和牛津大学的技术许可aquaporin-4自身抗体用于诊断neuromyelitis视。他是数据安全监测委员会为诺华制药,Biogen-Idec,三菱制药公司,是一个审判小组落实药品。他担任顾问葛兰素史克,锐气,小野,Chugai, Alexion和诺华制药公司。他是编辑委员会首页®,加拿大神经科学杂志》上,土耳其的神经病学杂志首页。a . Aksamit和b·康威没有披露。a .麦肯收到Medimmune的研究支持,担任顾问Medimmune(没有个人赔偿)。e·弗拉纳根没有披露。去首页Neurology.org为充分披露。
- ©2016美国神经病学学会的首页
信:快速的网络通信
你可能也会感兴趣
相关文章
-
没有找到相关文章。
提醒我
推荐的文章
- 文章
的临床和MRI表型sarcoidosis-associated脊髓病Olwen c·墨菲,安德里亚·Salazar-Camelo豪尔赫·a·吉梅内斯等。
首页神经学:神经免疫学和神经炎症,08年4月,2020年 - 居民和其他部分
临床推理:一位55岁女性出现共济失调和麻木回肠切除后1年格雷戈里奥Spagni也好卡萨诺,拉斐尔人工等。
首页神经学、07年10月,2019年 - 诊断和治疗的挑战
一个年轻人在胳膊和腿麻木从国家多发性硬化症协会会议论文集
安德鲁·r·罗密欧,罗伯特·p·Lisak伊桑Meltzer et al。
首页神经学:神经免疫学和神经炎症,2018年10月23日 - 临床/科学的笔记
Ventral-subpial增强脊髓结节病braid-like标志
嘉斯米娜Boban Majda m . Thurnher et al。
首页神经学,2018年12月28日


