视Neuromyelitis谱系障碍在儿童和青少年
文摘
视Neuromyelitis(动)是一种严重的中枢神经系统自身免疫性疾病,其特征是炎症复发事件主要涉及视神经和脊髓。在孩子动是罕见的,但早期识别开始充分的治疗是很重要的。在本文中,我们回顾动和提供一个更新的发展诊断标准的临床和神经影像光谱紊乱在儿科患者,包括当前知识与基于儿童免疫发病机理和治疗建议。
术语表
- AQP4=
- aquaporin-4;
- 阿扎=
- 硫唑嘌呤;
- 疾病预防控制中心=
- complement-mediated细胞毒性;
- 免疫球蛋白=
- 免疫球蛋白G;
- IPND=
- 国际板动诊断;
- 丙种球蛋白=
- 静脉注射免疫球蛋白;
- LETM=
- 纵向广泛的横向脊髓炎;
- MMF=
- 霉酚酸酯;
- MOG=
- 髓鞘少突细胞糖蛋白;
- 国会议员=
- 甲基强的松龙;
- 女士=
- 多发性硬化症;
- 动=
- 视neuromyelitis;
- NMOSD=
- 视neuromyelitis谱系障碍;
- 在=
- 视神经炎;
- 体育=
- 血浆置换;
- RTX=
- 利妥昔单抗;
- 系统性红斑狼疮=
- 系统性红斑狼疮;
- Th17=
- 辅助17
虽然视neuromyelitis(动)以前被认为是多发性硬化(MS)的亚型,自身免疫抗体的识别(NMO-immunoglobulin G(免疫球蛋白))针对aquaporin-4 (AQP4)水通道在大多数成人患者中确定动作为不同的自身免疫性疾病实体。1,2
高特异性的AQP4-IgG动使得识别患者血清反应阳性的非典型疾病的陈述:动谱系障碍(NMOSD)。3
尽管成年人主要是受到影响,动/ NMOSD日益认识到儿童,展示一个谱系疾病的袭击,通常涉及中枢神经系统领域之外的视觉神经和脊髓。4全面更新在儿科人口动/ NMOSD本文中提供。
人口统计学和流行病学
动表现的平均年龄范围从32到45年主要系列。以人群为基础的研究从欧洲、亚洲和南美表明动范围从0.05到的发病率4/100,000 / y和流行率从0.52到4.4/100000。5然而,这些研究中的大部分没有分层数据由儿童或成人发病年龄。5小儿发病相对少见。
全面的患病率研究古巴,一个多种族人口的国家,动20岁前发病构成3.4%的动情况下的整体流行率0.12/100000人。6在这项研究中,诊断是基于Wingerchuk et al。71999年的标准,AQP4抗体检测是不包括在内。
大型研究的患者样本收集的梅奥诊所,5%的AQP4抗体阳性患者的孩子(< 18年),平均年龄在12年临床发作,一个清晰的女性优势(7:1),混合种族背景,和一个贫穷的预后与童年的女士。4
3第一次脱髓鞘综合症患儿的前瞻性研究,0.6% (2/302),83.5% (3/86),9和3.7% (3/81)10患者被确认为有动在3 - 6年的随访。类似研究44儿童视神经炎()报道最后动在7%的患者的诊断。11
目前的数据表明,pediatric-onset动占3% -5%的动情况下,根据诊断标准利用和AQP4抗体测试。
新的诊断标准
过去的十年目睹了动校正的重要知识的进步,进步发起针对疾病的自身抗体的发现NMO-IgG。1
调查人员提出的被广泛接受的诊断标准最初是在1999年,梅奥诊所7其次是在2006年修订,12要求上和横向脊髓炎动诊断。1999年发表在生物标志物识别标准。2006年的修订相应的修改包括至少2的生物标志物以下额外的需求:纵向广泛的横向脊髓炎(LETM)涉及3或更多MRI上段;最初的大脑核磁共振nondiagnostic女士;或NMO-IgG血清阳性。12
2006标准的标准临床和研究目的。然而,AQP4抗体的识别患者临床特征超越2006年的标准光谱表明,表型可能更大。术语NMOSD包括临床和放射综合症与AQP4血清阳性,如以下几点:(1)有限形式的动,包括单个或复发性LETM和复发性或同时两国;(2)亚洲女士optic-spinal表型;(3)或骨髓炎与系统性自身免疫性疾病;和(4)或骨髓炎与脑损伤相关的典型动。3
2011年,一个国际小组基于诊断(IPND)综合动召开了专家来开发一个新的修订。13根据修订的诊断标准,将使用一个新的统一的术语NMOSD,分层进一步的血清学检查(NMOSD有或没有AQP4-IgG)。13的诊断NMOSD积极AQP4-IgG需要一个临床事件涉及至少一个典型的解剖区域(表)。13更严格的标准需要额外的核磁共振特性的诊断NMOSD没有AQP4-IgG或血清学检查时不可用(表)。13儿科患者IPND达到共识,认为修订的诊断标准是适当的,轻微的修改,在孩子。13主要注意的低特异性LETM NMOSD诊断在这个年龄段。与女士LETM可能观察到孩子14以及在亚当的孩子15和AQP4-IgG与单相LETM儿童很少发现。16因此,进一步验证IPND儿童标准是必需的。
临床表现和结果
主要儿科病例系列动NMOSD,第一临床事件发生在50% 30% -50%,-75%的病人和横向脊髓炎单独或组合。16,- - - - - -,18更分散的中枢神经系统的参与,包括ADEM-like表型,可以观察到在大约10%的儿童的情况下,导致具有挑战性的诊断情况。Pediatric-onset动被描述后感染(流感或疱疹病毒)和在一些患者骨髓移植。NMOSD也被观察到与另一种自身免疫性疾病。
脑干症状等参与长期呕吐反应迟钝的止吐药,有或没有打嗝,和颅神经功能障碍,经常被描述。19间脑的障碍是罕见的,包括内分泌病和水平衡失调。4进一步复发发生在超过90%的患者NMOSD和报道单相课程往往是有限的纵向观察的结果。16,- - - - - -,18
在法国研究NMOSD患者长期随访,小儿发作更频繁和禁用,更多的弥漫性脑损伤MRI,患者的死亡率低于成人发病。18结果也被脑症状的发生在45% -55%的病人,包括认知能力下降、癫痫、失语,嗜睡症和共济失调。4
儿童神经成像研究
根据之前的报道,中经常出现脑损伤pediatric-onset anti-AQP4抗体阳性NMOSD相比成人病例。4,17,- - - - - -,20.这些大脑病变通常大(> 2厘米)18和倾向于本地化领域高AQP4的表达如三世的室周的区域(间脑的)和第四脑室(脑干)幕上的infratentorial白质、中脑和小脑。4钆增强中可以看到大约三分之一的患者大脑病变,4,17经常有云雾的增强模式。
间脑的(图1一个)、下丘脑和面积postrema (图1 b)病变可能是惟一的AQP4抗体阳性病例中,有一个重要的角色在区分NMOSD中枢神经系统尤其是在其他炎症性疾病的孩子。类似于亚当,急性脑损伤往往解决重复治疗后核磁共振成像。17
12岁女孩出现棘手的呕吐,进一步发展视神经炎和纵向广泛的横向脊髓炎(积极aquaporin-4免疫球蛋白G)。(A)轴向fluid-attenuated反转恢复成像显示典型的间脑的信号变化(黑色箭头)。(B)矢状脑磁共振t2加权脑干hyperintense病变涉及背髓质(区域postrema)(白色箭头)。
视神经的参与通常确认为高信号纵向视神经病变扩展/ > 1/2长度在t2加权或short-T1反转恢复图像,经常后方延伸到视交叉(图2)。急性通常被钆增强,同时可以看到视神经萎缩严重损坏视神经的慢性阶段。钆增强涉及眶脂肪组织可以观察到儿童在升高相关NMOSD (图3)。
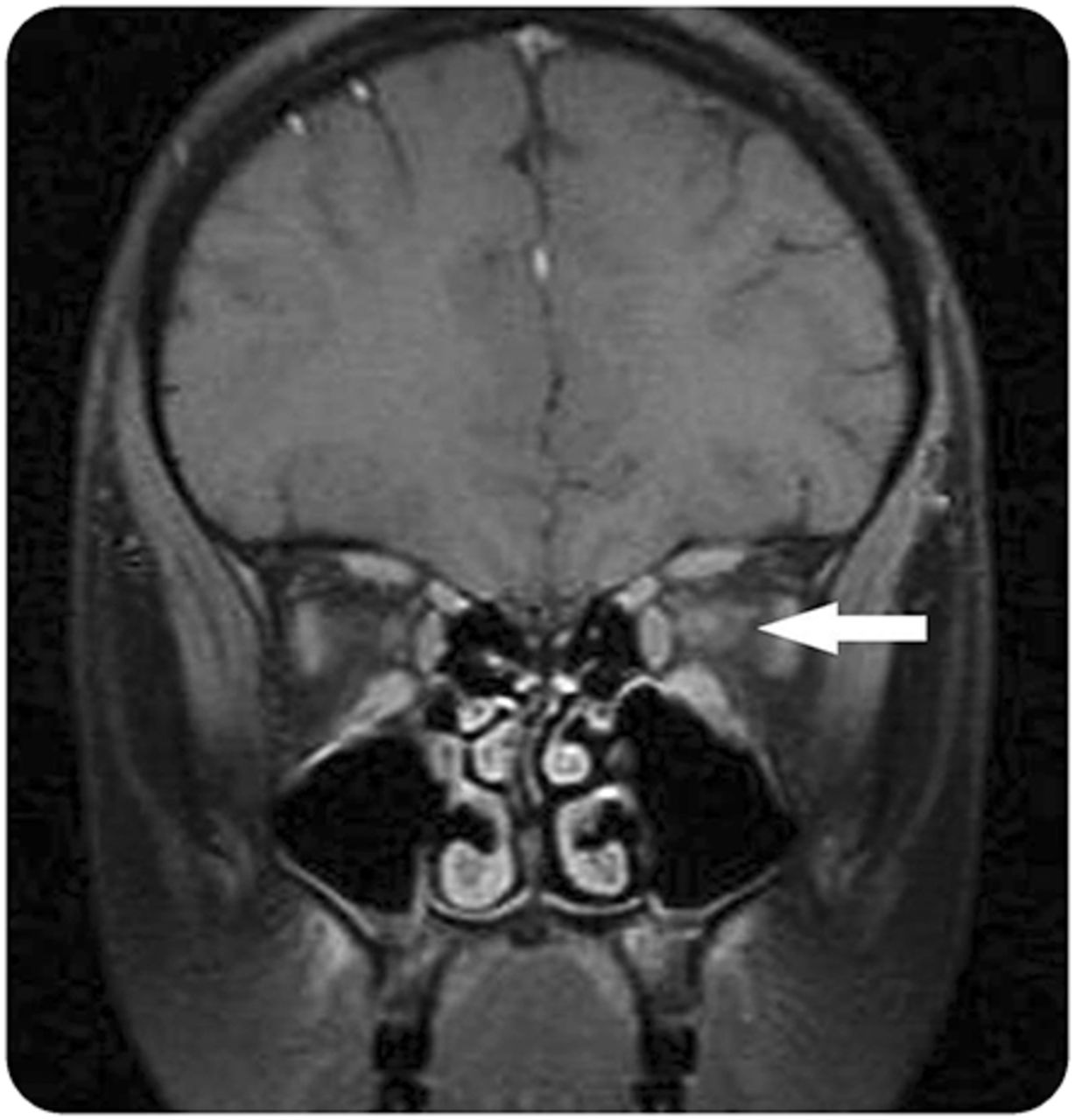
十三岁的女孩展示与双边视觉损失视神经炎。轴向fluid-attenuated反转恢复大脑成像显示视神经交叉参与(白色箭头)。Aquaporin-4免疫球蛋白G血清阳性证实NMOSD诊断。
与左视神经炎Aquaporin-4抗体阳性的15岁女孩。脑磁共振冠状t1描绘钆增强视神经周围的眶脂肪组织升高(白色箭头)。
虽然急性脊髓炎横没有观察到经常在演讲,它发生在大多数孩子在复发。4脊髓病变MRI上通常表现为广泛的集中位于高信号病变在t2加权像上跨越至少3段(图4)。脊髓出现肿胀,可能显示一个不规则的片状钆增强。颈纵向骨髓炎可能向上蔓延到脑干。非典型脊髓磁共振成像模式,但脊髓损伤最近一直在报道一个小女孩与血清反应阳性的NMOSD。21
目前的免疫发病机理知识
这是一个活跃的研究领域,包括人类的免疫系统的几乎每一个组成部分。基于体外组织和细胞培养系统,动物模型,和人体试验,新兴假设的理解机制触发炎症攻击视神经和脊髓动是它开始在外围的免疫系统。
最早的步骤动校正的发病机制可能涉及分子模仿人类AQP4与非人类之间的序列,AQP4相似。早期T细胞在此过程的重要作用是突出了最近的动物模型表明T细胞启动针对一个地区第二个细胞外循环内AQP4足以导致老鼠NMO-like疾病。尽管AQP4表达在许多固体器官在体内,AQP4-reactive小鼠T细胞极化辅助17 (Th17)表型的专门攻击中枢神经系统,保留其他AQP4-expressing器官。22在人类,这种适应性免疫过程可能取决于B细胞抗原表达能力;损耗的B细胞从血液anti-CD20单克隆抗体疗法非常有效的预防复发在动。23
一旦T细胞和B细胞合起来罢工视神经或脊髓,其余的免疫系统来帮助进行攻击。星形胶质细胞损伤过程中发生早期由于抗体绑定AQP4频道星形end-feet周围的血管。抗体绑定触发伤害通过补和细胞介导机制开始补C1q绑定和激活的古典补体级联。上游组件C3a和补充C5a强有力的刺激粒细胞的招聘包括中性粒细胞和嗜酸性粒细胞AQP4-specific依赖抗体攻击星形胶质细胞的细胞介导的细胞毒性。下游补组件膜攻击形式复杂,加剧损失通过complement-mediated星形胶质细胞细胞毒性(CDC)。髓鞘脱失,少突细胞细胞死亡,小胶质激活和轴突损伤被认为是次要的主要攻击星形胶质细胞的后果。是否以及如何上述所谓的疾病发病机理不同的孩子动相比,成年人还有待阐明。
AQUAPORIN-4-IGG血清学
在2004年,列侬et al。1描述一个特定的模式患者免疫球蛋白抗体反应性与高特异性组织的间接免疫荧光试验(但有限的敏感性,48%)复发形式的动,称为NMO-IgG (AQP4-IgG)。2
后代的抗原AQP4-IgG试验开发取得了进步的性能改进。AQP4的同种型作为抗原(长篇M1或短M23同种型)可能影响分析性能特征。24使用M1-AQP4 ELISA抗原显示大约60%的敏感性。24,25虽然特异性99% - -100%的报道分析,疑似假阳性结果中遇到临床实验室实践。24几组报告改进的敏感性(75% - -83%)和特异性(接近100%)利用细胞AQP4-IgG化验。25特别是,流式细胞术已经证明承诺作为一种高通量方法适用于大规模临床实验室。
不同研究儿童与NMOSD报道各种AQP4-IgG血清阳性从17%降至80%。16,- - - - - -,18,26儿童与成人相似,NMO-IgG血清阳性通常与复发相关课程。16然而,10% - -40%的患者诊断为NMOSD保持血清反应阴性的AQP4抗体。部分或全部这些AQP4-seronegative患者可能会受到另一种自身免疫或炎症性疾病机制的影响。
髓鞘少突细胞糖蛋白(MOG)抗体在儿童
MOG抗体已被描述在各种儿科脱髓鞘疾病表型包括复发,儿科,女士ADEM和单相或复发后ADEM发作(ADEM-ON)。27,28MOG抗体,主要从IgG1亚型和针对MOG蛋白表达的外部表面髓鞘,已被证明在体外可以诱导疾病预防控制中心。
Anti-MOG血清阳性也被发现在成年人的一组中29日,30.和孩子31日与AQP4抗体血清反应阴性的NMOSD。似乎是互惠的关系,没有病人报告都撤走,AQP4抗体。在群成人患者NMOSD,报道的频率MOG抗体从7%到20%不等。在成人和儿童,女男比例几乎相等,比那些没有年轻成人MOG抗体。临床评估表明NMOSD患者积极anti-MOG响应和消极anti-AQP4血清型往往有较少的严重袭击,两国,和更多的尾脊髓炎,恢复患者比AQP4抗体和抗体的血清反应阴性的人。29日,30.
播散性脑损伤类似描述ADEM和NMOSD可能发现在儿童MOG抗体,虽然这些病变很少涉及periependymal领域和优先看到包括基底神经节。这些大脑MRI病灶演示在后续成像分辨率,如果没有新的T2, fluid-attenuated反转恢复,钆增强病变或。
总体看来,MOG抗体存在于多种小儿炎症性疾病,其中一些与表型与NMOSD一致。意识到这可能是重要的特定子集NMOSD患者可能有不同的潜在疾病的机制。
共存的自身免疫性疾病和自身抗体
其他自身免疫性疾病的共存和自身抗体的选择进一步区分小儿NMOSD女士常见的自身免疫性疾病包括瀑特异性障碍(如甲状腺疾病、1型糖尿病、乳糜泻)和non-organ-specific障碍(系统性红斑狼疮(SLE),干燥综合征)。4自身抗体的生物标记这些障碍也常常NMOSD患者中发现,有时没有相关的临床疾病。抗核抗体是最常发现non-organ-specific自身抗体(64%)。4值得注意的是,AQP4-IgG不是干燥综合症患者中发现或系统性红斑狼疮中枢神经系统的参与。瀑特异性自身抗体定期检测患者NMOSD包括甲状腺过氧化物酶和甲状腺球蛋白抗体(13%),而磷脂抗体和腹腔疾病相关抗体也被描述。
共存神经自身抗体一般在AQP4-IgG发现NMOSD患者血清反应阳性的患者,很少女士报告包括NMOSD描述儿童肌肉乙酰胆碱受体抗体是最常见的共存神经抗体检测(11%),尽管只有2%的共存重症肌无力。32其他神经自身抗体检测在儿科NMOSD包括那些针对电压门控钙通道和钾离子通道复合物,65 kDa同种型谷氨酸脱羧酶,4以及NMDA受体抗体。
治疗策略:急性事件和预防复发
NMOSD治疗包括急性发作的管理,预防的临床发作,治疗引起的不良事件的监测,决定转换疗法由于缺乏耐受性或治疗失败。23,33目前,没有控制的临床试验中执行NMOSD患者和治疗决策在很大程度上是受病例分析和专家意见。23,33篇关于治疗NMOSD达成共识23和治疗更新集中在儿科患者34最近已经出版。
治疗急性事件。
在急性事件中,最初还是NMOSD的恶化,管理的重点是减少不可逆损害中枢神经系统和恢复神经功能。
四甲基强的松龙(MP)。
IV议员的每日推荐剂量30毫克/公斤/天最多每天1000毫克,连续5天。
预防性治疗。
硫唑嘌呤(AZA)。
与NMOSD回顾性研究包括两个孩子36,37报道明显降低复发率(89%),在18个月剩下60%的患者无复发,使用2 - 3毫克/公斤/天的阿扎。然而,高停药(46%)随着时间的推移也有相关报道。37
美罗华(RTX)。
儿童推荐剂量为375毫克/米2每周4周,额外的静脉输液根据CD19 + b细胞计数维持免疫抑制。23,34功效在减少复发频率被报道与NMOSD RTX对待儿童和成人,与稳定或改善残疾。23,38
霉酚酸酯(MMF)。
使用MMF的耐受和诱导减少复发频率与改善残疾2回顾性研究包括儿童(平均剂量2000毫克/天)。39
甲氨蝶呤。
持续缓解(36个月)报道,在一个孩子用甲氨蝶呤治疗。4
盐酸米托蒽醌。
使用米托蒽醌在儿科NMOSD仅限于一个病人18他终于转向其他的治疗方法(阿扎和MMF)。
治疗不建议用于NMOSD患者。
Interferon-β、natalizumab fingolimod可以沉淀NMOSD戏剧性的冲突。23,33阿仑单抗据报道在成人NMOSD患者无效。米托蒽醌和环磷酰胺也应避免在孩子们考虑潜在的严重的副作用。
新的治疗药物。
考虑到当前NMOSD治疗只是部分有效,在试验新的代理正在评估,包括以下:
Eculizumab (anti-C5单克隆抗体)
叫(anti-IL-6R单克隆抗体针对T - b细胞活化,Th17分化,和plasmablast生存)
Aquaporumab(竞争、不致病的anti-AQP4-specific抗体)
中性粒细胞弹性蛋白酶抑制剂
抗组胺药以eosinophil-stabilizing行动
酶AQP4-IgG deglycosylation或者乳沟
未来的发展方向
改进诊断和治疗方法的进步而言在成年人和更好的理解NMOSD病理生理学可以外推到孩子。儿童治疗方案与NMOSD是可用的,并将继续扩大。然而,更多的研究在儿科人口NMOSD是必要的,包括替代途径AQP4-seronegative儿童,和更多的数据长期安全性和治疗反应的旧的和新的治疗药物。
作者的贡献
西尔维亚博士Tenembaum构思和设计工作,分析了文学,写摘要,介绍,新的诊断标准、治疗策略,未来的发展方向,和表,选择图片。博士Tanuja Chitnis分析文献,写了人口统计学和流行病学,MOG抗体,NMOSD。一郎中岛美嘉博士分析了文学,写儿童的神经影像学研究结果,选择了图片。尼古拉斯Collongues博士分析了文献和临床表现和结果写道。安德鲁·麦克科恩博士分析了文献和写AQP4-IgG血清学和自身抗体共存。Michael Levy博士分析了文献和写当前的免疫发病机理知识。凯文Rostasy博士分析了文学和MOG抗体和NMOSD写道。所有作者的贡献广泛的编辑和consensus-finding过程的所有部分手稿,批判性的回顾和修订后的手稿,批准最后的手稿。
研究资金
这个补充通过女士治疗基金的资助下,丹麦社会女士,女士德国社会,意大利女士协会国际联合会女士,女士研究基金会(荷兰)、国家社会女士(美国)和瑞士女士的社会。
信息披露
美国Tenembaum担任顾问委员会成员或为默克公司Serono议长。专业的旅游指南/住宿费用已经被Merck-Serono Tenembaum博士授予。她是一个临床试验为Genzyme-Sanofi顾问委员会。t . Chitnis已收到个人顾问/咨询Biogen-Idec补偿,Merck-Serono,诺华,已收到Merck-Serono和诺华制药的研究支持。她是临床试验Genzyme-Sanofi和诺华的顾问委员会。即中岛美嘉收到资助旅行和代表Idec日本(2012 - 2014),田边三菱(2012 - 2015),和诺华制药公司(2012 - 2014),作为编辑委员会的成员多发性硬化症国际(2010年至今),收到LSI Medience拨款支持公司(2012 - 2014)。n Collongues是科学顾问委员会,并接受谢礼Idec,默克公司Serono,诺华,Teva, Sanofi-Genzyme,拜耳先灵葆雅制药,Alexion制药。a .麦肯报告没有披露相关的手稿。m·利维收到NIH研究支持Guthy杰克逊慈善基金会,Viropharma, Acorda,赛诺菲,神经干细胞,基因泰克,并作为顾问Chugai制药、葛兰素史克和落实。k . Rostasy报告没有披露相关的手稿。去首页Neurology.org为充分披露。
脚注
去首页Neurology.org为充分披露。资金信息和披露认为作者相关的,如果有的话,年底提供这篇文章。
- 收到了2015年8月19日。
- 接受的最终形式2016年1月4日。
- ©2016美国神经病学学会的首页
引用
信:快速的网络通信
你可能也会感兴趣
相关文章
-
没有找到相关文章。
提醒我
推荐的文章
- 文章
区分MOG抗体阳性和AQP4抗体阳性动谱系障碍继同行工人达戈贝托- Callegaro -道格拉斯Kazutoshi佐藤,Marco Aurelio Lana-Peixoto et al。
首页神经学,2014年1月10日 - 文章
髓鞘少突细胞糖蛋白抗体在双边和复发性视神经炎Ramanathan Sudarshini斯蒂芬·w·Reddel安德鲁·亨德森et al。
首页神经病学,神经免疫学神经炎症,2014年10月29日 - 观点和评论
国际共识视neuromyelitis谱系障碍的诊断标准迪恩·m·Wingerchuk Brenda Banwell,班纳特Jeffrey l . et al。
首页神经学,2015年6月19日 - 文章
小儿视神经炎大肠安叶,詹妮弗·s .坟墓,莱斯利·a·本森et al。
首页神经学,2016年8月29日


