2017年1月3日,
;88 (1)
居民和其他部分
教学视频神经图片:背中脑的最小异常综合征(Parinaud综合征)
罗哈斯皮拉尔,菲利普maed,凉山州Borruat
第一次出版2016年12月26日,
DOI: https://doi.org/10.1212/WNL.0000000000003462
罗哈斯皮拉尔
从眼科Jules-Gonin眼科医院(公关,F.-X.B.), and Radiology Department, CHUV (P.M.), University of Lausanne, Switzerland.
医学博士
菲利普maed
从眼科Jules-Gonin眼科医院(公关,F.-X.B.), and Radiology Department, CHUV (P.M.), University of Lausanne, Switzerland.
医学博士
凉山州Borruat
从眼科Jules-Gonin眼科医院(公关,F.-X.B.), and Radiology Department, CHUV (P.M.), University of Lausanne, Switzerland.
医学博士
Parinaud综合症后连合功能障碍的结果,与4大迹象:限制upgaze,瞳孔light-near离解,收敛性异常,科利尔的迹象。1,2
一名46岁男子抱怨垂直复视由于微妙的左斜偏差。Upgaze追求是正常的,但向上跳阅放缓,没有收敛异常或科利尔(视频信号首页Neurology.org)。瞳孔light-near离解在场(视频)。MRI显示tectal中脑的病变(图)。
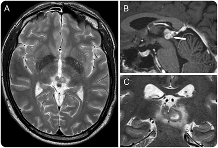
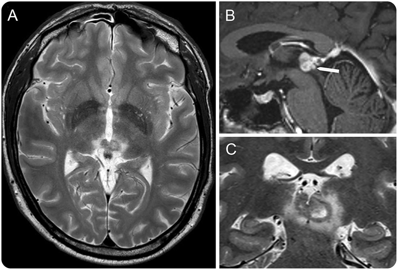
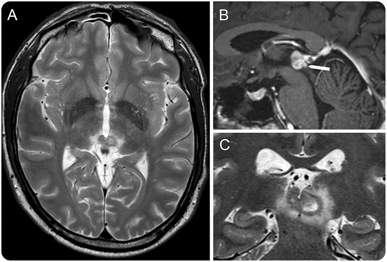
图
脑部核磁共振成像
T2轴向和削减日冕(A, C)和T1矢状切钆(B)显示肿瘤来自第三脑室后方的墙壁,和后连合的入侵(白色箭头)。后来病变活检和病理显示pilocytic星形细胞瘤。
放缓向上跳阅和瞳孔light-near离解代表后连合功能障碍的早期阶段,在弗兰克upgaze麻痹,科利尔符号,或收敛性异常。
作者的贡献
罗哈斯皮拉尔是一个作家和导致起草和修改手稿。菲利普maed是一个作者,导致数据采集,修订后的手稿。凉山州Borruat是一个作者,导致数据采集,修订后的手稿。
研究资金
没有针对性的资金报告。
信息披露
作者报告没有披露相关的手稿。去首页Neurology.org为充分披露。
脚注
补充数据首页Neurology.org
下载教学幻灯片:首页Neurology.org
- ©2016美国神经病学学会的首页
信:快速的网络通信
你可能也会感兴趣
广告
提醒我
推荐的文章
- 居民和其他部分
珍珠和Oy-sters:瞳孔大小不等大的在黑暗中:不仅仅是霍纳瞳孔艾米丽Witsberger,萨莎a . Mansukhani约翰j . Chen等人。
首页神经学,2020年11月18日 - 文章
Contralesionally击败扭转眼球震颤单方面吻侧中脑病变Christoph Helmchen Stefan Glasauer克劳斯Bartl et al。
首页神经学,1996年8月1日 - 医学假说
一个假设的方案的脑干控制垂直的目光Roongroj Bhidayasiri戈登·t·植物r·约翰·利等。
首页神经学,2000年5月23日 - 居民和其他部分
临床推理:一个48岁的男子出现复视Niranjan k . Pehere Kebede高飞et al。
首页神经学,2020年11月16日


