文章出现在2019年4月出版
小说PNKP突变导致DNA链断裂缺陷修复和PARP1 MCSZ多动症
客观的
解决小说突变之间的关系在多核苷酸5′激酶3′磷酸酶(PNKP), DNA链断裂修复、神经系统疾病。
方法
我们使用whole-exome测序,桑格测序和分子/细胞生物学。
结果
我们描述一个病人头小畸型与早发性癫痫(MCSZ)来自印度次大陆窝藏2小说的突变PNKP,包括一个叉形头的致病性突变相关的领域。此外,我们确认MCSZ与hyperactivation单根打破传感器蛋白质聚(ADP-ribose)聚合酶1 (PARP1)流产拓扑异构酶诱导后我活动,DNA链断裂的来源之前与神经系统疾病有关。
结论
这些数据的频谱扩展PNKP突变与MCSZ和显示PARP1在未修理的hyperactivation topoisomerase-induced DNA断裂是这种疾病的分子特性。
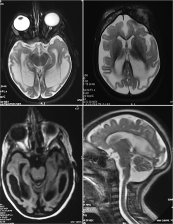
纯合子的TRPV4突变会导致先天性远端脊髓性肌萎缩和关节弯曲
客观的
识别一种先天性疾病的遗传原因脊髓性肌萎缩和关节弯曲(CSMAA)。
方法
一个两岁的男孩被诊断出患有关节弯曲多路复用congenita,严重的骨骼异常,斜颈,声带麻痹,减少下肢运动。Whole-exome测序(韦斯)进行渊源者和家庭成员。在计算机建模的蛋白质结构和外源蛋白表达和细胞毒性试验进行验证的致病性变异识别。
结果
韦斯透露的纯合子突变TRPV4基因(c.281C > T;p.S94L)。隐性突变的识别TRPV4扩展频谱TRPV4-associated疾病的隐性突变形式。p。S94L和其他发现TRPV4变体在不同蛋白质域结构建模和功能研究进行了比较。在硅结构建模表明,p。S94L突变是无序n端地区近端为磷酸肌醇及重要监管结合位点PACSIN3,这可能导致改变贩卖或通道的灵敏度。功能研究通过免疫印迹和免疫组织化学分析表明,p。S94L增加TRPV4基于活动的细胞毒性,因此合成TRPV4表达水平下降功能涉及的机制。
等热门文章
2019年3月30日
CHCHD10变体p。(Gly66Val)导致轴突疾病腓骨肌萎缩
m . Auranen e . Ylikallio m . Shcherbii et al . 2015; 1: e1。doi.org/10.1212/NXG.0000000000000003
dysferlinopathy的临床结果的研究:一个国际多中心研究
C.L. Bladen e·哈里斯,a·梅休et al . 2016; 2: e89。doi.org/10.1212/NXG.0000000000000089
KCNQ2脑病:特点、突变热点和ezogabine治疗11例
J.J. Millichap调查指出K.L.公园,t . Tsuchida et al . 2016; 2: e96。doi.org/10.1212/NXG.0000000000000096
孟德尔随机化显示了一个因果效应的低维生素D在多发性硬化的风险
b . Rhead m . Baarnhielm m . Gianfrancesco et al . 2016; 2: e97。doi.org/10.1212/NXG.0000000000000097
表型和分子分析原发性侧索硬化症
h . Mitsumoto PL。纳吉,c . Gennings et al . 2015; 1: e3。doi.org/10.1212/01.NXG.0000464294.88607.dd
- ©2019美国神经病学学会的首页
信:快速的网络通信
你可能也会感兴趣
相关文章
-
没有找到相关文章。
提醒我
推荐的文章
- 文章
纯合子TRPV4突变导致先天性远端脊髓性肌萎缩和关节弯曲迈克尔·穆Velilla马里奥•马尔凯蒂艾格尼丝Toth-Petroczy等。
首页神经学:遗传学,07年3月,2019年 - 发生了什么
发生了什么在神经病学®遗传学首页et al。
首页神经学,2019年5月6日 - 文章
表型频谱和TRPV4突变患者发病率继承了轴突的神经病变安Echaniz-Laguna、至理名言Dubourg皮埃尔卡莉et al。
首页神经学,2014年4月30日 - 文章
CMT2C与声带麻痹性痴呆与身材矮小和TRPV4基因的突变有关D.-H。陈,y德州m . Weiss et al。
首页神经学,2010年11月29日


