2019年2月12日
;92 (7)
科学杂志
肥厚性卵形的退化模拟视neuromyelitis谱系障碍复发
伊利亚Sechi,娜塔莉·e·公园,凯利k噪鹃,Eoin p·弗拉纳根
第一次出版2019年2月11日,
DOI: https://doi.org/10.1212/WNL.0000000000006930
伊利亚Sechi
从神经学部门(静电的首页,E。P。F.), Radiology (Division of Neuroradiology) (K.K.K.), and Laboratory Medicine and Pathology (E.P.F.), Mayo Clinic, Rochester, MN; and Department of Medicine (Division of Neurology) (N.E.P.), Dalhousie University, Halifax, Canada.
医学博士
娜塔莉·e·公园
从神经学部门(静电的首页,E。P。F.), Radiology (Division of Neuroradiology) (K.K.K.), and Laboratory Medicine and Pathology (E.P.F.), Mayo Clinic, Rochester, MN; and Department of Medicine (Division of Neurology) (N.E.P.), Dalhousie University, Halifax, Canada.
医学博士
凯利k噪鹃
从神经学部门(静电的首页,E。P。F.), Radiology (Division of Neuroradiology) (K.K.K.), and Laboratory Medicine and Pathology (E.P.F.), Mayo Clinic, Rochester, MN; and Department of Medicine (Division of Neurology) (N.E.P.), Dalhousie University, Halifax, Canada.
医学博士
Eoin p·弗拉纳根
从神经学部门(静电的首页,E。P。F.), Radiology (Division of Neuroradiology) (K.K.K.), and Laboratory Medicine and Pathology (E.P.F.), Mayo Clinic, Rochester, MN; and Department of Medicine (Division of Neurology) (N.E.P.), Dalhousie University, Halifax, Canada.
医学博士
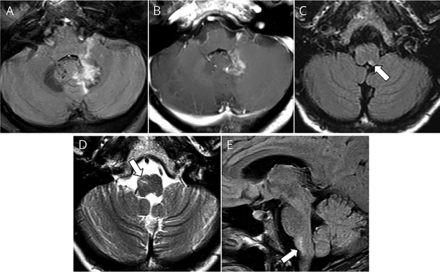
一位51岁的女人发达亚急性共济失调和棘手的呕吐。MRI显示左齿状和面积postrema病变(图1中,得了)。血清aquaporin-4-immunoglobulin G积极确认视neuromyelitis谱系障碍。血浆置换联合治疗类固醇和敏锐和维护6个月利妥昔单抗。9个月后MRI显示一个新的无症状右髓病变(图1中,D和E),促使霉酚酸添加治疗。肥大,预期位置和时间进程使我们诊断肥厚性从dentato-rubro-olivary电路(Mollaret三角形卵形的退化图2])中断;没有腭地震发生。1,2霉酚酸是停止。未能识别髓病变为肥厚性从之前侮辱沿着Mollaret三角形卵形的退化可能会导致不必要的治疗。
图1
大脑核磁共振(上面一行)和发病后9个月(底下一行)
轴向图像显示T2 hyperintensity左齿状(A),以增强postgadolinium (B),和区域postrema T2 hyperintensity (C),重复MRI显示正确的下橄榄核T2 hyperintensity /肥大轴向(D)和矢状图像(E)。
研究资金
没有针对性的资金报告。
信息披露
作者报告没有披露相关的手稿。去首页Neurology.org/N为充分披露。
附录的作者
脚注
去首页Neurology.org/N为充分披露。资金信息和披露认为作者相关的,如果有的话,年底提供这篇文章。
- ©2019美国神经病学学会的首页
信:快速的网络通信
你可能也会感兴趣
广告
相关文章
-
没有找到相关文章。
提醒我
推荐的文章
- 文章
区域postrema综合症频率、标准和严重程度在AQP4-IgG-positive NMOSD
Eslam商社,Dubey Divyanshu,杰奎琳宫殿等。
首页神经学,2018年9月26日 - 文章
视Neuromyelitis谱系障碍在儿童和青少年西尔维亚Tenembaum, Tanuja Chitnis,铃木一郎中岛美嘉et al。
首页神经学,2016年8月29日 - 文章
区分MOG抗体阳性和AQP4抗体阳性动谱系障碍继同行工人达戈贝托- Callegaro -道格拉斯Kazutoshi佐藤,Marco Aurelio Lana-Peixoto et al。
首页神经学,2014年1月10日 - 文章
Rituximab-Induced低丙球蛋白血症和AQP4和MOG Antibody-Associated感染疾病阿迪尔Maarouf亚历山大•Avouac Jan-Patrick Stellmann et al。
首页神经学:神经免疫学和神经炎症,3月15日,2021年


