珍珠和Oy-sters:孤立的面孔失认症的主诉胶质母细胞瘤
面对欺骗
珍珠
面孔失认症定位在内侧颞叶梭状回,从双边病变或少经常发生单侧病变涉及右侧。
通常报道病变导致面容失认症包括中风和癫痫涉及上述地区,而肿瘤很少报道。
人脸识别是一个比此前认为的更加复杂的过程。人脸识别核心网络在大脑中包括枕面区域,梭状回面孔区,面临选择性后颞上沟。
Oy-sters
一个孤立的认知赤字面孔失认症可能是第一个症状患者的原发性脑瘤或转移性疾病,涉及双边内侧颞叶或右颞叶。
详细的神经和眼科检查可以定位值,在这种情况下的罕见neuro-behavioral综合症与焦点相关的大脑损伤。
面孔失认症是不能认出熟悉的面孔。这个障碍患者通常保留否则正常视觉功能,通常能够识别其他对象。通常病人痛苦,因为他们不能认识到家庭,朋友,和公众人物的脸。
在内侧颞叶病变,特别是temporo-occipital区域(梭状回),足以造成赤字。有趣的是,双边和单边右侧病变与面孔失认症有关。尽管在理论上任何病理过程在这些解剖位置可能导致这种疾病,肿瘤是一个很少报道。在这里,我们描述一个病人出现急性面孔失认症诊断出患有胶质母细胞瘤。
病例报告
69岁的右撇子的女人面对亚急性发作的视觉失真和频繁的没有其他神经系统症状头晕的感觉。她报告说,一天晚上她看电视的时候,似乎一些老年人整容和每个人的脸看上去更广泛,特别是在下颌的轮廓。熟悉新闻评论员看起来不像自己和一个总统候选人的脸扭曲了。在接下来的两天,人们变得更加难以识别,即使他们非常熟悉她。虽然看着家人的照片,每个人都看起来一样。有一次,她遇到了一位故友,他说话后,她只能识别。沉重的人似乎已经失去了正常体重和苗条的人似乎更重。她再也无法辨别有吸引力,有吸引力的人更少。然而,在此期间她的阅读没有影响。
病人被她的家庭医生和眼科医生出现症状后6天。家庭医生指出考试上没有明显的神经变化。眼科检查显示20/20的视力矫正视力(没有视野赤字,和正常的裂隙灯、眼底镜,tonometric考试。
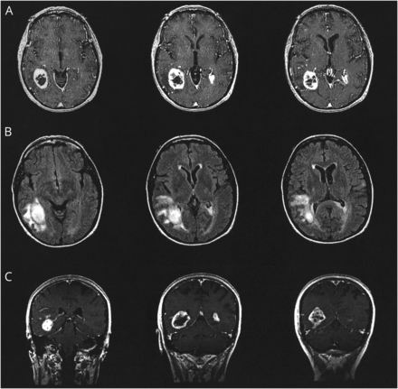
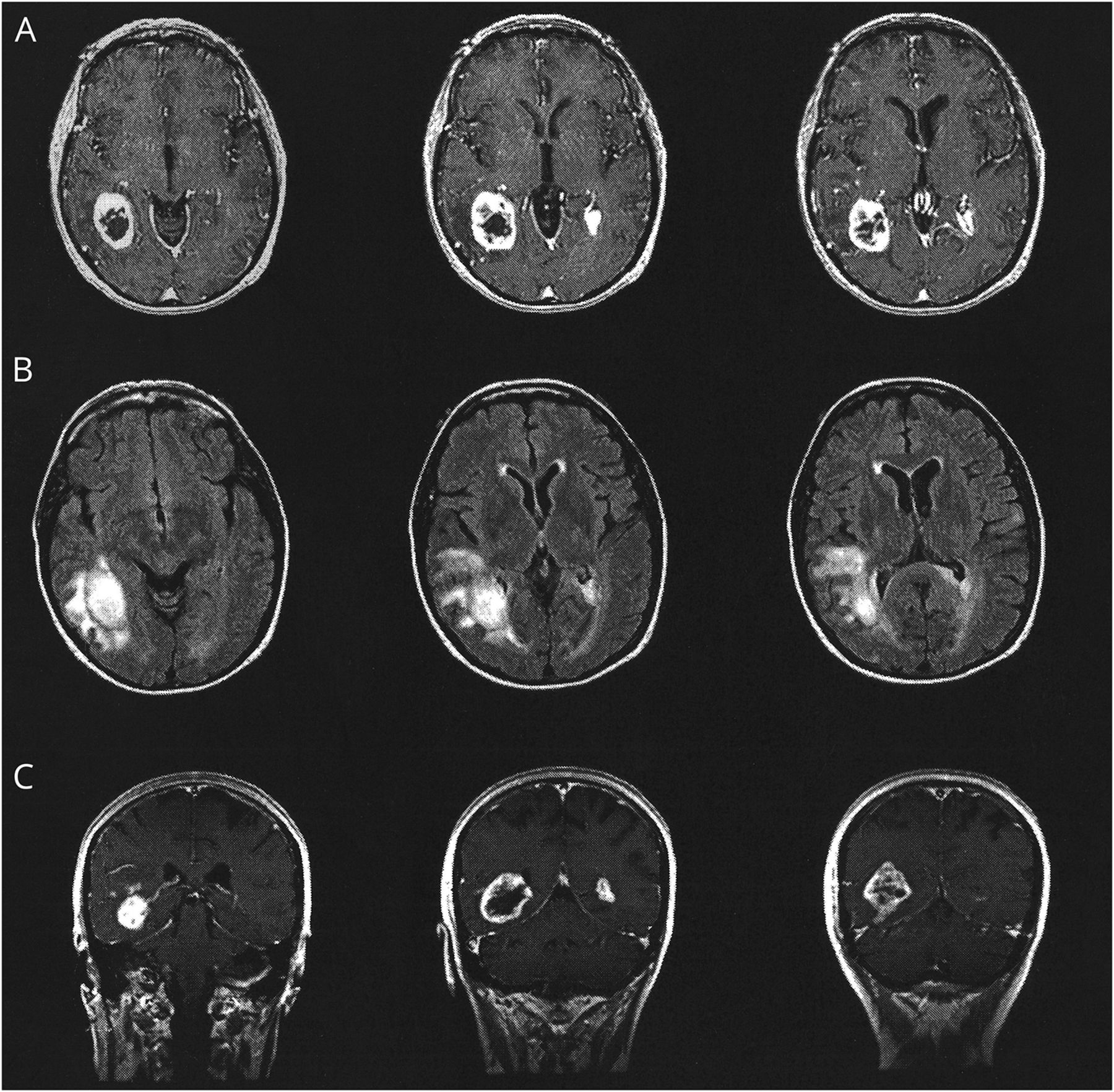
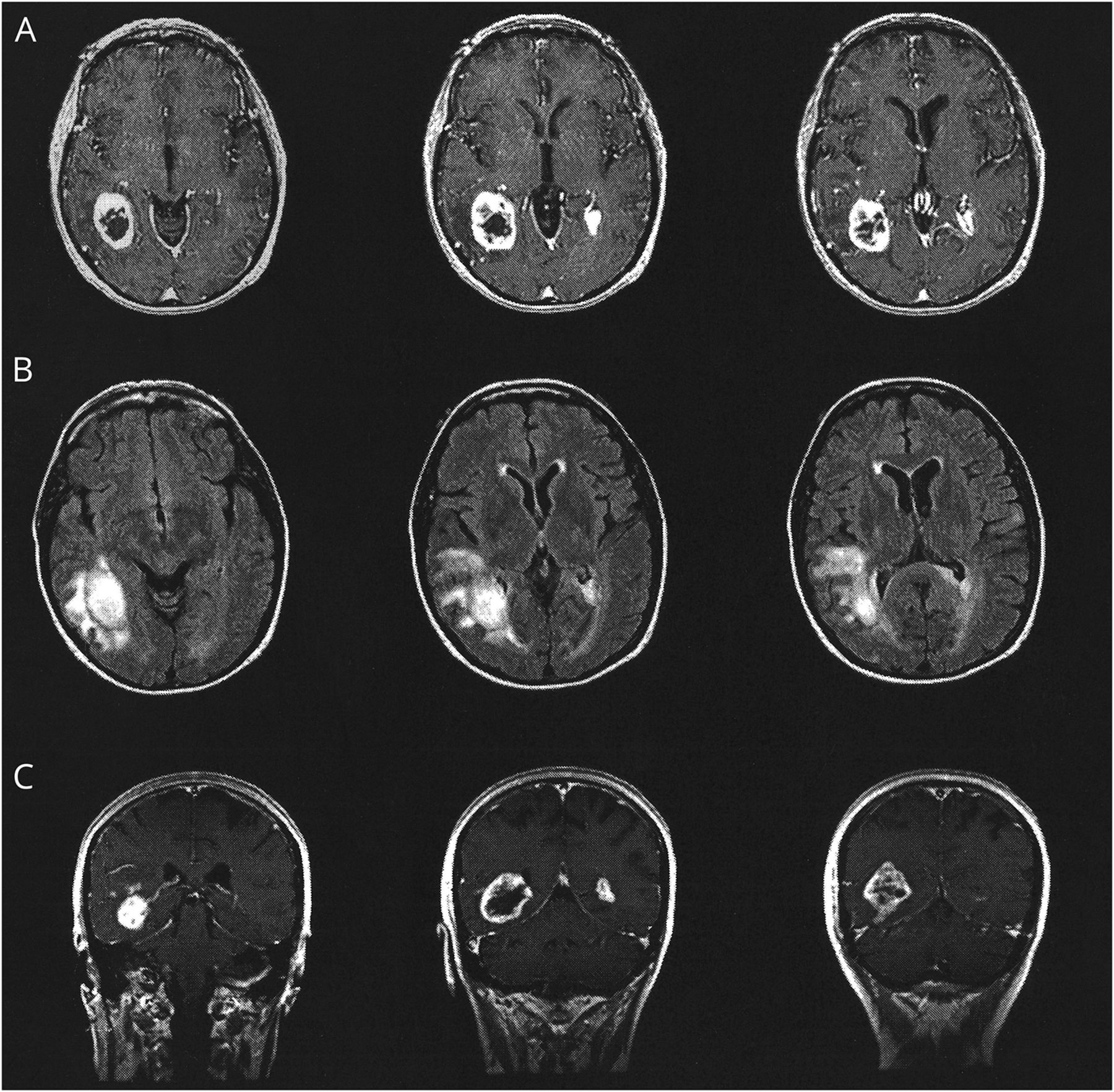
病人被称为大脑的核磁共振扫描来评估颅内异常。MRI显示变化符合多焦bihemispheric高档神经胶质瘤(图)。有一个大的提高区域周围水肿的temporo-occipital叶。这是最著名的网站。第二个增强病灶位于左顶叶白质与扩展在胼胝体压部。也有不正常的信号出现在T2 fluid-attenuated反转恢复图像涉及左额叶脑回。基于这些发现,病人被称为活组织检查。在高等院校,她提到了活组织检查,她的神经系统检查是重要的只剩下了视觉注意力不集中,同时两国刺激,建议左hemispatial忽视,除了面容失认症。活组织检查的权利temporo-occipital肿瘤显示多形性成胶质细胞瘤。放疗和化疗的病人被称为。
轴向超声造影被宠坏的梯度回忆图片(A),轴向fluid-attenuated恢复图像(B)和日冕对比度增强t1加权自旋回波图像(C)展示多个充当群众涉及右temporo-occipital叶和左顶叶心房区域。占主导地位的大众正确的temporo-occipital叶与温和的周围的水肿和质量效应。这种病变活检和显示多形性成胶质细胞瘤。
类固醇治疗后后续的化疗病人的面孔识别能力回来了。减少后续大脑成像显示周围的水肿和右侧病变的肿瘤大小。
讨论
多形性成胶质细胞瘤是最常见的原发性恶性胶质肿瘤在成人。是归类为第四级星形细胞瘤发病率为每100000人3.69在美国。生存中值大约是15个月。病人的表现症状是基于大脑肿瘤的解剖位置。
在这个病人,这个肿瘤的位置主要在内侧temporo-occipital叶,导致面容失认症。虽然是左心室病变涉及地区,它幸免左侧梭状回。因此,目前还不清楚如果半球病变导致这个病人的赤字。双边内侧temporo-occipital病变面孔失认症患者的尸检报告。然而,也有证据表明,单方面对梭状回参与可能导致面容失认症。1这说明完整的偏侧性面临特定的处理在一些病人而不是别人。
功能性核磁共振的研究表明,面部识别是一个复杂的过程,涉及许多专业领域的大脑工作通过复杂的相互作用。例如,识别面部运动不仅增强了理解面部表情,但也可以改善言论等方面面临的知觉理解(如听力受损的最佳证明),除了性别和身份的感觉。2这个整合的过程的额外线索从面部运动面部形式称为动集成。同时,传统的视觉处理相信皮质级联是一个自下而上的过程启动在枕叶皮质区,然后投射到前额叶皮层高级处理对象标识后才完全在梭状回,正在改变。有证据表明,视觉输入的部分分析版本预计将眶额回,然后激活的预期输入图像的最可能的解释。这种“最初的猜测”预计回前颞叶皮层的脸完全认识到这一过程被称为“自顶向下集成”。3赵等。4分类与人脸识别相关的大脑区域分成2组;即核心和扩展网络。在这个模型中,核心网络包括枕表面积、梭状回面孔区,面临选择性后颞上沟。扩展面临网络包括其他face-responsive地区如前颞叶、额下回、眶额叶皮层和杏仁核。这些领域相互作用为几个专门的函数,即动信息的集成,个人信息检索,自上而下的便利化。
面孔失认症可以发育或收购。一些获得面孔失认症的最常见的原因包括破坏性病变如大脑后动脉中风或血肿。PubMed搜索网格术语“人面失认症”和“肿瘤”收益率8出版物在1990年和2019年之间。这些出版物可以大致分为3类。第一组包括面孔失认症引起的直接由于涉及右侧颞叶肿瘤,例如,星形细胞瘤或lepto-meningeal转移。5第二包括几个演讲没有面孔失认症的患者,但发达面孔失认症作为瞬态后症状治疗不同的疾病涉及正确的temporo-occipital叶;的低级神经胶质瘤切除术,动静脉畸形治疗,或鞘内化疗leptomeningeal涉及本地区的转移。6,- - - - - -,8第三组的论文,有趣的是,包括中枢神经系统外肿瘤。为例,卵巢肿瘤相关mGLUR-5抗体或anti-NMDA受体抗体已报告导致边缘脑炎,现在与面孔失认症。9,10
这个病人的肿瘤的位置是一致的与其他的报道对内侧temporo-occipital病变导致面容失认症。重要的是要注意,孤立的认知缺陷像人面失认症可以第一个本地化脑瘤的症状。
研究资金
没有针对性的资金报告。
信息披露
作者报告没有披露相关的手稿。去首页Neurology.org/N为充分披露。
附录的作者
脚注
去首页Neurology.org/N为充分披露。资金信息和披露认为作者相关的,如果有的话,年底提供这篇文章。
- ©2019美国神经病学学会的首页
引用
- 1。↵
- 2。↵
- 强加于人K,
- Bulthoff我,
- 舒尔茨J
- 3所示。↵
- 4所示。↵
- 赵Y,
- 甄Z,
- 刘X,
- 首歌Y,
- 刘J
- 5。↵
- 安德森CA,
- 伍德考克JH,
- Filley厘米
- 6。↵
- 7所示。↵
- 8。↵
- 9。↵
- SawamuraH,
- 山本T,
- OhtomoR,
- BannaiT,
- Wakakura米,
- 信年代
- 10。↵
信:快速的网络通信
需求
如果你上传一个字母有关的一篇文章:
你必须在六个月内更新你的信息披露:http://submit.首页neurology.org
你的合作者必须发送完成出版协议形式来首页员工(不是必要的领导/通讯作者如下表单就足够了)在你上传你的评论。
如果你回复评论,写过一篇文章你最初撰写:
你(和合作者)不需要填写表单或检查信息披露作为作者形式仍然有效
和申请信。
提交规格:
- 提交必须与< < 200字5引用。参考1必须你评论的文章。
- 提交不应该超过5作者。(例外:原作者回复可以包括所有原始作者的文章)
- 6个月内提交只在文章发表日期的问题。
- 不会是多余的。读任何评论已经张贴在本文之前提交。
- 提交评论编辑和编辑审查发布之前。
你可能也会感兴趣
相关文章
主题讨论
提醒我
推荐的文章
- 文章
面孔失认症的解剖关联语义痴呆k·a·约瑟夫·j·l·Whitwell Vemuri et al。
首页神经学,2008年11月10日 - 文章
秘密在收购和发展面孔失认症Jason j.s巴顿•玛利亚Cherkasova,玛格丽特·奥康纳et al。
首页神经学,09年10月,2001年 - 文章
脸图像及其与知觉和秘密的关系识别面孔失认症Jason j.s巴顿•玛利亚Cherkasova et al。
首页神经学,2003年7月21日 - 文章
梭状回面孔区病变的影响感知的面部配置面孔失认症杰森J.S.巴顿,丹尼尔z出版社,朱利安·p·基南et al。
首页神经学,08年1月,2002年


