居民&的轮
2020年11月3日,问题
这个问题特点2临床推理病例:第一个提出了人与复发性失语症,头痛、混乱和突出维护一个广义微分的重要性,包括治疗感染尤其是患者免疫抑制。第二个讨论如何方法治疗急性疾病患者肌无力的危机可能的冠状病毒2019 (COVID-19)。教学实验描述nonketotic高血糖的hyperosmolar状态,一个重要的中风模拟(见特色形象)。在神经影像学教学视频,三个癫痫患者痉挛眼科诊断是Aicardi综合症基于特征的发现包括视网膜脉络膜缺损。
临床推理:由于COVID-19感染治疗肌无力的危机中考虑
一个45岁的女人,乙酰胆碱受体抗体阳性重症肌无力报急诊科与呼吸道症状类似于她父亲的。危重病人管理大流行期间需要考虑如何治疗潜在可能影响神经系统的条件。
页面840年
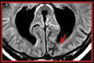
教学实验:Nonketotic高血糖的hyperosmolar国家模仿急性缺血性中风
这种情况下的55岁的人强调急性缺血性中风模仿nonketotic高血糖的hyperosmolar状态。
页面e2600
2020年11月10日,问题
这个问题的临床推理案件审查需要遗传检查例家族性认知和小脑功能障碍和扩大我们的理解的额颞叶痴呆。神经影像学教学展示Fabry疾病作为一个颈动脉解剖的常见原因。神经影像学教学视频让我们想起轻描淡写地标志的意义facioscapulohumeral肌肉萎缩症患者,提供了一个独特的“倒”的形式。训练神经病学文章中描述了一个新颖首页的开放获取在线教学平台提供高收益神经病学临床教育居民在美国期间COVID-19大流行。
临床推理:一个72岁的老人与一个渐进认知和小脑综合症
原本健康的人开发的平衡和行为问题和一直致力于精神单位2年了。测试了几个神经问题,尤其是在执行功能,行为,和记忆。案件检查行为问题和小脑性共济失调behavioral-variant额颞叶痴呆。
页面e2707
训练神经学:快速实现跨机首页构的神经病学COVID-19居民教育的时间
训练神经学的这篇文章看跨机构实现根首页据COVID-19系列讲座。大流行凸显了需要这样的训练,和产品正在进行进一步的研究和发展。
页面883年
2020年11月17日,问题
这个问题的临床推理案件体现了一个人进步的软弱和眼睑droopiness并讨论如何处理罕见的情况下,眼部肌肉疾病中可以看到弱点。珍珠& Oy-sters文章评论管理脑脊液漏和描述的方法在考虑手术修复患者的低压头痛和影像学表现特征。
临床推理:双边下垂、吞咽困难和进步的弱点在病人的法裔加拿大人的背景
一个40岁的男人开始体验进步弱点30出头。Oculopharyngeal肌肉萎缩症,更常见的在具有法裔加拿大血统的人,被认为在这个病人POLG突变。
页面933年
珍珠和Oy-sters:硬脑膜的缺陷修补脑脊液漏治疗难治性头痛
一个19岁的女人,每天头痛和腰痛头痛诊所。由于外伤性脑脊液漏从一匹马被怀疑。这种情况下强调调查clinical-radiologic相关诊断的重要性。
页面e2831
2020年11月24日,问题
这个问题的临床推理文章提供了一个罕见的格林-巴利综合征患者的变体,发达COVID-19的设置。在神秘的情况下文章,你可以理性的情况下与偏头痛的年轻女子,听力损失,视力模糊。尽管这篇文章提出了一种圆锥或非典型变种的部分表现经典三和弦,诊断存在的线索。
临床推理:一箱COVID-19-associated pharyngeal-cervical-brachial格林-巴利综合征的变体
一名49岁男子在这种情况下的诊断为COVID-19,上肢无力、反射问题,呼吸衰竭建议神经肌肉疾病。案件凸显了格林-巴利综合征的严重程度与一种罕见的变异COVID-19有关的障碍。
页面978年
神秘的例子:偏头痛、听力损失和视力模糊在一个年轻的女人
一位39岁的女性出现进行性头痛和测试揭示轻度认知障碍。病人另外有经验的脑病,听力损失,和视觉失真。放射测试可能是有用的和微妙的暗示Susac综合征症状。
页面e2945
脚注
编辑的博客NPub.org/rfblog
居民和其他孩子神经学的书首页NPub.org/cn_about
最新e-Pearls居民与其他部分Npub.org/epearls
- ©2020美国神经病学学会的首页
信:快速的网络通信
你可能也会感兴趣
相关文章
提醒我
推荐的文章
- 居民&的轮
居民&的轮罗伊·e·Strowd三世,惠特利Aamodt et al。
首页神经学,2020年9月28日 - 邀请的文章
COVID-19和神经肌肉疾病阿曼达·c·队旗,安东尼·a·阿马托et al。
首页神经学,2020年4月13日 - 居民&的轮
居民&的轮罗伊·e·Strowd三世,惠特利Aamodt et al。
首页神经学,2021年5月24日 - 居民和其他部分
教育研究:COVID-19大流行对神经的影响学员在意大利首页resident-driven调查
Elena Abati蒋禄卡Costamagna et al。
首页神经学,2020年9月16日


