临床推理:48岁男性复视
第一节
一名48岁男性,最近被诊断为全体性高血压,突然出现复视4天,闭上一只眼缓解。在一般检查中,他对时间、地点和人物都很清楚。运动和感觉系统检查正常。颅神经V、VII、VIII正常,无小脑功能障碍临床征象。
眼部检查结果见图1,A和B.
第二节
本插图中的患者表现为双眼复视(闭上一只眼后缓解),这意味着复视与眼球运动问题有关。单眼复视(闭上一只眼后仍持续)表明该眼存在某些问题,如屈光介质不规则(圆锥角膜、圆锥透镜、早期白内障),患者需要进行详细的眼部检查。1
如在图1一个,双眼上眼睑内缩(左>右),粗斜视(右瞳孔7mm,左瞳孔3mm)。右瞳孔对直接或一致的光反应和尝试收敛没有反应。左眼严重屈光度下降20棱镜(图1一个).双眼完全上视麻痹,不对称下视麻痹(右眼>左眼),右眼内收轻微受限(图1 b).
除了研究结果显示图1,A和B,患者有其他眼肌运动异常。患者无法将双眼合拢,向上凝视时未出现合拢-回缩性眼震。娃娃的头部动作没有引起任何眼球运动。低振幅低频水平抽搐性眼震,右注视时右拍,左注视时左拍。也有中幅低频下拍性眼震,向下注视时增加。由于右眼有完全的垂直凝视麻痹,左眼更明显。左眼震也有扭转成分(视频1).
视频1
眼球震颤的详细特征。下载补充视频1通过http://dx.doi.org/10.1212/011007_Video_1
第三节
在评估凝视性麻痹时,应检查娃娃头的动作,以区分核上病变和核/核内病变。娃娃的头部动作包括水平和垂直旋转患者的头部,眼睑打开,患者看着目标物体。该测试评估前庭-眼反射(VOR)的完整性,VOR通过刺激脑干中的眼运动核来引起眼球运动,从而在不涉及大脑皮层的情况下反射性地稳定眼睛。在水平或垂直凝视性麻痹患者中,娃娃头动作的眼球运动表明核和核下通路完好无损,病变位于核上水平。娃娃头动作时眼动缺失提示核病变或核下病变,如本例患者。2由于该患者为垂直凝视麻痹,且娃娃头动作为阴性,病变部位可能位于丘脑-中脑交界处,即垂直凝视中心所在位置。
内侧纵束吻侧间质核(riMLF)控制同侧向下注视和对侧向上注视,因此,孤立的单侧riMLF病变会导致对侧眼向上注视受损,同侧眼向下注视受损。控制对侧向上注视的纤维在后连合(PC)处交叉,因此PC处的单一病变会导致双侧向上注视麻痹。病变影响一侧的PC和边缘,会导致一只眼的完全垂直凝视麻痹,另一只眼的向上凝视麻痹,这种组合被称为垂直一个半综合征。3.患者右眼完全垂直凝视麻痹,左眼向上凝视麻痹,很可能是由丘脑-中脑梗死影响PC和右侧边缘引起的。左眼斜视的另一鉴别诊断可为右眼斜视伴左眼斜视,但眼底检查未见左眼扭转,仰卧位下斜视未见减轻,排除斜视。4
考虑问题:
该患者在撒哈拉以南非洲资源有限的环境下接受治疗,那里只能进行CT扫描。
你能描述一下这个病人在脑部CT扫描上看到的病变吗?
你能解释一下基于CT扫描的动眼器,眼睑和瞳孔的发现吗?
第四节
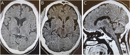
头部CT扫描显示右丘脑局灶性低密度,提示梗死,包括其靠近第三脑室壁的内侧部分,如轴向切片所示(图2一个),并延伸至中脑的嘴侧部,见四叉神经池水平的轴向切面(图2 b)和矢状面(图2 c).
为了解释本病例的所有动眼肌特征,简要修订垂直眼动控制将有所帮助(图3一).5垂直眼球运动的最终共同通路是由位于中脑背侧上丘水平的动眼核复合体(上直肌、下直肌和下斜肌的亚核)和位于中脑背侧下丘水平的滑车神经核(支配上斜肌)形成的。控制眼球垂直运动的垂直注视中心位于丘脑-中脑交界处,由3个主要结构组成:边缘核、卡哈尔间质核(INC)和PC。5
(A)垂直注视中心,它们的功能和联系。(B)本例中受梗死影响的区域。CCN =中央尾核;EWN =埃丁格-韦斯特法尔核;iNC = Cajal间质核;IO =下斜肌;IR =下直肌;后连合核;riMLF =内侧纵束口侧间质核;SO =上斜肌; SR = superior rectus.
表1总结这些中心病变的位置、连接、功能和临床表现的细节。
单侧眼内斜视病变伴缘性眼内斜视,眼内扭转运动要么不快速,要么指向对侧。因此,riMLF和INC的联合参与将导致平滑追求、扫视和VOR的丧失,以及垂直和扭转性眼震(对侧快速成分)。图3 b).5
未成对提上睑肌(LPS)亚核供应两侧的LPS,位于中脑背侧尾侧,因此也称为尾中央核(CCN)。假设它接受来自PC核的抑制性输入。在涉及PC的梗死情况下,对CCN的抑制输入减少,导致更多的静息神经支配流向两侧的LPS,导致双侧上眼睑收缩,如我们的病例所示。6瞳孔的固定和扩张可以通过位于边缘和INC附近的Edinger Westphal核的累及来解释。
当存在时,分离性收敛(即,在没有内收的情况下收敛的能力)是区分核间性眼肌麻痹(INO)与重症肌无力和动眼神经麻痹的有用标志。基于有无收敛,Cogan描述了INO的前型和后型。如果INO患者能够收敛,尽管不能内加,内侧纵束(MLF)病变可能位于尾侧,保留动眼神经内侧直肌亚核,这被称为Cogan后方INO。丘脑-中脑交界处的吻侧病变,即调节收敛的核所在处,很可能影响收敛,如本例所示,这被称为Cogan前路INO。因此,有无汇聚有助于区分INO的病变部位,尽管这一规则并不总是可靠的。7通常在INO中,外展眼有眼球震颤,但我们的患者右注视时有右拍击性眼球震颤,左注视时有左拍击性眼球震颤。这可能是一种凝视诱发的眼震,已知是由中脑叶病变累及邻近的小叶旁束引起的。7
根据这些信息和CT扫描,表2总结病人的临床特征及可能的解释。
讨论
在处理这个病例时,一个限制是磁共振成像的缺乏,因此无法知道确切的梗死范围。当我们在像撒哈拉以南非洲这样资源匮乏的地区工作时,我们必须接受这种限制。虽然图像的分辨率无法与MRI相比,但仍有可能对复杂的动眼症表现进行神经-放射学相关。
除中脑嘴侧外,本病例还累及右侧丘脑内侧,也可导致双侧仰视麻痹。这可能是由于额球纤维中断,交叉在丘脑内侧核,在到达上丘之前。8
丘脑-中脑卒中可单独表现动眼力,如本例。患者有垂直1 / 2综合征伴同侧核间性眼肌麻痹。我们称之为垂直的1 / 2和水平的1 / 2综合征。
研究资金
由印度海得拉巴眼科研究所和海得拉巴眼科研究基金会支持。
信息披露
作者报告没有披露与手稿相关的信息。去首页Neurology.org/N全面披露。
附录的作者
脚注
去首页Neurology.org/N全面披露。作者认为相关的资金信息和披露(如果有的话)将在文章末尾提供。
- ©2020美国神经病学学会首页
参考文献
- 1.↵
- 2.↵
- Schmidt-ErfurthU,
- KohnenT
- 帕克特E,
- AlmarzouqiSJ,
- 摩根毫升,
- 李AG)
- 3.↵
- 佐藤K,
- 高桥Y,
- 松本N,等
- 4.↵
- 5.↵
- 6.↵
- 7.↵
- 8.↵
- SurapaneniK,
- 弗格森l,
- Altschuler埃尔
信件:快速在线通信
需求
如果你要上传关于文章的信件:
您必须在六个月内更新您的披露:http://submit.首页neurology.org
您的合著者必须发送一份完整的出版协议表格来首页(对于主要/通讯作者不需要填写以下表格即可),然后再上传您的评论。
如果你在回复一篇关于你最初撰写的文章的评论:
您(和共同作者)不需要填写表格或检查披露,因为作者表格仍然有效
并适用于信件。
提交规格:
- 文章必须少于200字,参考文献少于5篇。参考文献1必须是你所评论的文章。
- 投稿者不得超过5人。(例外:原作者回复可以包括文章的所有原作者)
- 只可提交发稿日起6个月内发表的文章。
- 不要冗余。在提交之前阅读文章上已经发布的任何评论。
- 提交的意见在发表前须经过编辑和编辑审查。
你可能也感兴趣
相关文章
提醒我
推荐的文章
- 医学假说
脑干控制垂直凝视的假想方案Roongroj Bhidayasiri, Gordon T. Plant, R. John Leigh等。
首页神经病学,2000年5月23日 - 文章
单侧吻侧中脑病患者扭转快相眼运动异常P. Riordan-Eva, M. Faldon, J. A. Buttner-Ennever等人。
首页神经病学,1996年7月1日 - 文章
扭转性眼震在中脑小病变中的定位价值Helmchen, H. Rambold, U. Kempermann等。
首页2002年12月24日,神经病学 - 住院医生及研究员组
珍珠和蚝:眼运动生理学中的内侧纵束T. C.弗罗曼,S.加莱塔,R.福克斯等。
首页神经病学,2008年5月20日


