2022年1月4日,
;98 (1)
居民和其他部分
教学实验:两国核束Solitarius病变神经源性呼吸衰竭
视图ORCID概要宾度Parayil Sankaran,Saskia b Wortman,米歇尔·a·Willemsen,亮丽人生Balasubramaniam
第一次出版2021年8月10日,
DOI: https://doi.org/10.1212/WNL.0000000000012614
宾度Parayil Sankaran
从遗传代谢疾病服务(B.P.S.,S.B.), Western Sydney Genetics Program, The Children's Hospital at Westmead, Sydney; The Children's Hospital at Westmead Clinical School (B.P.S.), Sydney Medical School, The Faculty of Medicine and Health, The University of Sydney, NSW, Australia; Department of Pediatric Neurology (S.B.W., M.A.W.), Amalia Children's Hospital, Radboud University Nijmegen Medical Center, Nijmegen,荷兰;儿科(S.B.W.),大学儿童医院,萨尔斯堡,奥地利;和遗传医学的学科(S.B.),悉尼医学院、悉尼大学、新南威尔士、澳大利亚。
Saskia b Wortman
从遗传代谢疾病服务(B.P.S.,S.B.), Western Sydney Genetics Program, The Children's Hospital at Westmead, Sydney; The Children's Hospital at Westmead Clinical School (B.P.S.), Sydney Medical School, The Faculty of Medicine and Health, The University of Sydney, NSW, Australia; Department of Pediatric Neurology (S.B.W., M.A.W.), Amalia Children's Hospital, Radboud University Nijmegen Medical Center, Nijmegen,荷兰;儿科(S.B.W.),大学儿童医院,萨尔斯堡,奥地利;和遗传医学的学科(S.B.),悉尼医学院、悉尼大学、新南威尔士、澳大利亚。
米歇尔·a·Willemsen
从遗传代谢疾病服务(B.P.S.,S.B.), Western Sydney Genetics Program, The Children's Hospital at Westmead, Sydney; The Children's Hospital at Westmead Clinical School (B.P.S.), Sydney Medical School, The Faculty of Medicine and Health, The University of Sydney, NSW, Australia; Department of Pediatric Neurology (S.B.W., M.A.W.), Amalia Children's Hospital, Radboud University Nijmegen Medical Center, Nijmegen,荷兰;儿科(S.B.W.),大学儿童医院,萨尔斯堡,奥地利;和遗传医学的学科(S.B.),悉尼医学院、悉尼大学、新南威尔士、澳大利亚。
亮丽人生Balasubramaniam
从遗传代谢疾病服务(B.P.S.,S.B.), Western Sydney Genetics Program, The Children's Hospital at Westmead, Sydney; The Children's Hospital at Westmead Clinical School (B.P.S.), Sydney Medical School, The Faculty of Medicine and Health, The University of Sydney, NSW, Australia; Department of Pediatric Neurology (S.B.W., M.A.W.), Amalia Children's Hospital, Radboud University Nijmegen Medical Center, Nijmegen,荷兰;儿科(S.B.W.),大学儿童医院,萨尔斯堡,奥地利;和遗传医学的学科(S.B.),悉尼医学院、悉尼大学、新南威尔士、澳大利亚。
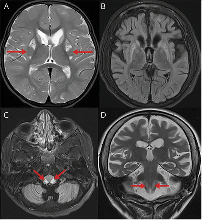
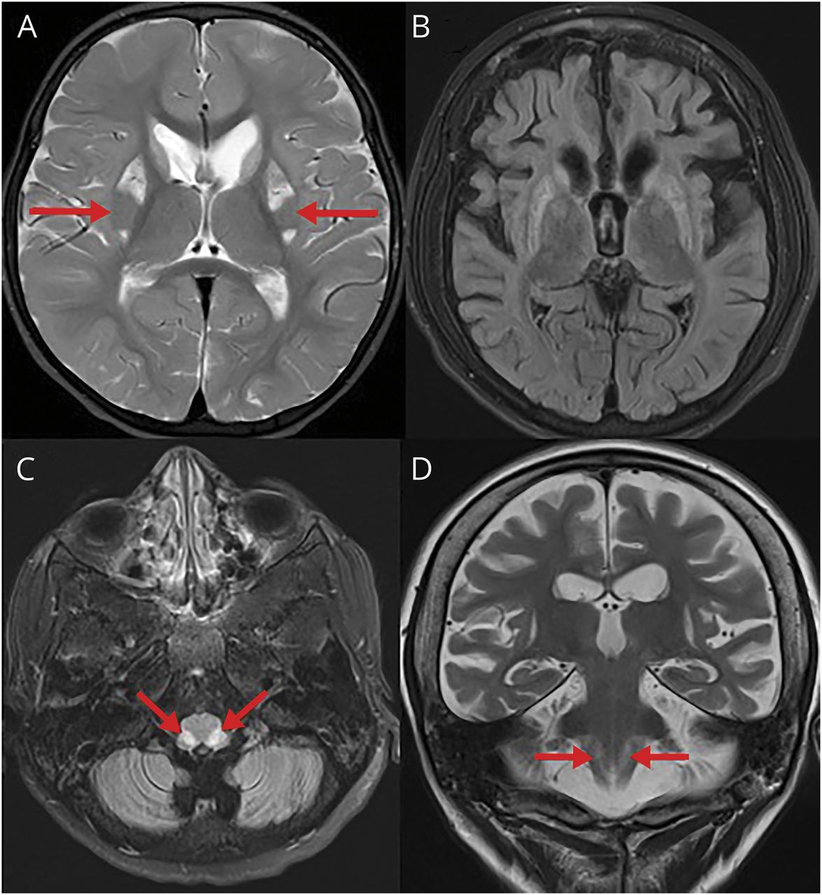
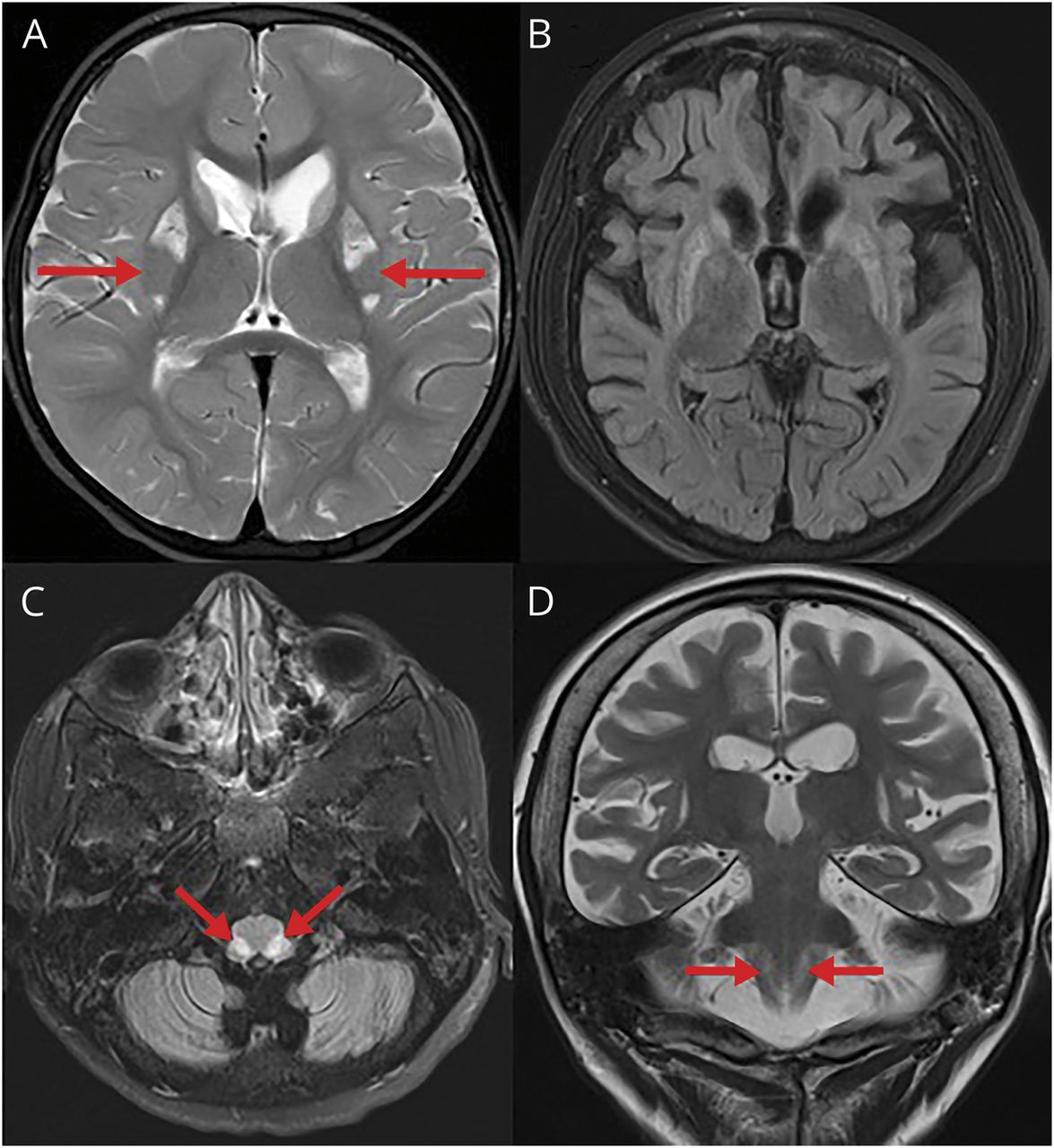
一个七岁的女孩MEGD (H) EL [3-methylglutaconic酸尿,dystonia-deafness,(肝病)、脑病,Leigh-like综合症,SERAC1]1面对日益恶化的呼吸妥协。评估显示II型呼吸衰竭(如hypercapnic)需要机械通气。脑MRI显示进展MEGD已知的变化(H)埃尔(图中,A和B)和对称核束solitarius (nt)参与(图中,C和D)。她呼吸机依赖,随后死于疾病的效果。
图
脑部核磁共振成像
2岁大脑核磁共振显示了典型的“putaminal眼”(A,箭头)。MRI在7岁显示进步的萎缩和胶质增生的基底神经节和大脑皮层萎缩(B)和双边对称信号变化的核束solitarius液体衰减反转恢复序列在t2加权像(C,箭头)和(D,箭头)。
双边nt参与神经系统的设置是一种罕见的发生。2nt起着至关重要的作用在连续调制chemoreceptor-mediated呼吸和其他呼吸反射。2这个案例说明了中央的神经影像相关神经源性呼吸衰竭。
研究资金
作者报告没有针对性的资金。
信息披露
b . Parayil Sankaran报告收到来自澳大利亚水户基础临床研究奖学金。S.B. Wortmann、硕士Willemsen和美国Balalsubramaniam报告没有披露相关的手稿。去首页Neurology.org/N为充分披露。
附录的作者
脚注
去首页Neurology.org/N为充分披露。资金信息和披露认为作者相关的,如果有的话,年底提供这篇文章。
- ©2021美国神经病学学会的首页


