急性播散性脑脊髓炎
文摘
急性播散性脑脊髓炎(ADEM)是中枢神经系统的免疫介导的炎症性疾病,其特征是广泛的白质脱髓鞘,主要涉及大脑和脊髓。条件通常是由病毒感染引起或接种疫苗。的展示功能包括急性脑病多病灶的神经体征和赤字。孩子们优先受到影响。没有特定的生物标记,ADEM的诊断仍然是基于临床和影像学特征。尽管ADEM通常有一个单相,复发性或多相形式已报告,提高诊断困难区分这些情况和多发性硬化症(MS)。国际儿科女士ADEM的研究小组提出了统一的定义和它的变体。我们讨论的一些困难解释可用的文学由于使用不同的术语和定义。此外,本文总结了当前ADEM的主要方面的知识,包括它的临床和放射诊断特征、流行病学、发病机制和结果。ADEM治疗儿童提供的概述。 Finally, the controversies surrounding pediatric MS and ADEM are addressed.
急性播散性脑脊髓炎(ADEM)是中枢神经系统的免疫介导的炎症性疾病,通常在感染,主要影响大脑和脊髓的白质。1 - 4可以在文献中找到的几个术语来描述患者外,反映疾病的更重要的方面:
“传染病后或postvaccinial脑脊髓炎、传染病后多病灶的脑炎,”当被认为是触发事件。
“急性血管周的myelinoclasia perivenous脑炎,传播vasculomyelinopathy,“当强调病变的病理特点和分布。
“急性脱髓鞘性脑脊髓炎,hyperergic脑脊髓炎,postvaccinal perivenous脑炎、postencephalitis髓鞘脱失,“有关可能immunopathogenetic机制。5-16
基于我们目前的临床病理的对疾病的理解,亚当可能是最适当的nosologic称号,诱发事件可能会缺席和疾病的发病机理尚不清楚。
没有特定的生物标记,ADEM的诊断是基于临床和放射特性。尽管ADEM通常有一个单相,复发性或多相形式已报告,提高诊断困难区分这些情况和多发性硬化症(MS)。本文综述目前我们知道外,包括诊断特征,发病机制,治疗,和结果,包括提出这种疾病的定义。
流行病学。
亚当可以发生在任何年龄,但更常见的儿科患者比成年人。极少数情况下老年人的报道,17尽管小心排除其他疾病应该被应用在这些情况下。诊断通常是在设置定义病毒性疾病或疫苗接种。虽然似乎没有性别优势外,18、19男性的优势被描述在两组儿童,与报道女性:男性比率为0.620.和0.8。21而不是2:1女性优势经常描述女士表示孩子的平均年龄范围从5到8年。研讨会
在冬季和春季季节性分布月被发现在研究在美国。19、20最近的一项研究在圣地亚哥县进行CA,估计ADEM的平均发病率为0.4 / 100000 /年在不到20岁的人生活在该地区。19百分之五的患者曾接受过疫苗接种前1月内ADEM事件,和93%的感染迹象前21天。没有明确的研究ADEM的全球分布。一些地区病例都与特定的疫苗,出身低微的狂犬病疫苗的情况下,天花疫苗,及以上形式的麻疹疫苗。
临床表现。
亚当是经典描述为单相障碍通常开始在2天内4周后一个抗原的挑战。大约77%到70的患者报告临床明显前期感染或疫苗接种在前几周。21日,22日,24岁ADEM的典型症状和体征包括快速发作性脑病与多病灶的神经赤字的组合。前驱期有发热、不适、头痛、恶心和呕吐可能观察到前不久脑膜的迹象和嗜睡的发展。临床病程通常快速进步和发展是在小时最大赤字在几天内(意思是,4.5天)。21
最初的神经功能是由中枢神经系统病变的位置。表1总结了人口分布在最近出版的案例研究和展示功能ADEM患者。频繁的神经系统症状和体征中描述的各种组合包括单边或双边锥体迹象(60 - 95%),急性偏瘫(76%)、共济失调(18 - 65%)、颅神经麻痹(22 - 45%),视觉损失视神经炎(7 - 23%),癫痫(13至35%),脊髓(24%)、参与障碍的言论(慢,含糊不清,或失语)(5 - 21%),和hemiparesthesia(2 - 3%),与不变的精神状态的参与,包括嗜睡、昏迷。19号虽然某些症状和体征可以观察到在儿童和成人的情况下,例如精神状态的变化,共济失调,电动机赤字,和脑干的参与,其他功能似乎年龄相关。25长期发烧22和头痛19日,研讨会,26岁与亚当身上更容易出现,而感觉赤字占主导地位在成人患者。17成人患者的癫痫发作很少观察到外,17,主要是五岁以下儿童。一项研究已经记录了延长焦马达发作在70%的年轻患者中,有82%的患者发生癫痫持续状态。21
周围神经系统急性多神经根神经病(pn)等症状24日,27日28可能发生在童年ADEM ADEM但被认为是罕见病例。pn和中枢神经系统功能的结合可能更常见的成年人,在一群成年病人的43.6%。29日
有一个广泛的疾病的严重程度的变化。偶尔,亚当可以呈现为一种微妙的疾病,与非特异性易怒,头痛,嗜睡,或者可能显示快速恶化的症状和体征昏迷和丧失理智的刚度。30.呼吸衰竭继发性脑干参与或严重受损的意识在11%到16%的情况下发生。21日,30
核磁共振成像特性。
神经影像学在建立ADEM的诊断是非常重要的。在t2加权MRI异常最常见的确定和fluid-attenuated反转恢复序列(天赋)是不完整的,不加边的区域信号强度增加。病变ADEM通常大,多个,和不对称。他们通常涉及到皮层下和中央白质和皮质灰白色结两脑半球,小脑、脑干和脊髓。30.花托和基底神经节的灰质经常参与,通常在一个对称的模式。21日,31日室周的白质也经常参与,被描述为30 - 60%的病例。20日,22日,30岁胼胝体病变局限于不太常见。然而,大型邻近白质脱髓鞘病变可能延伸到胼胝体和交叉侧半球。
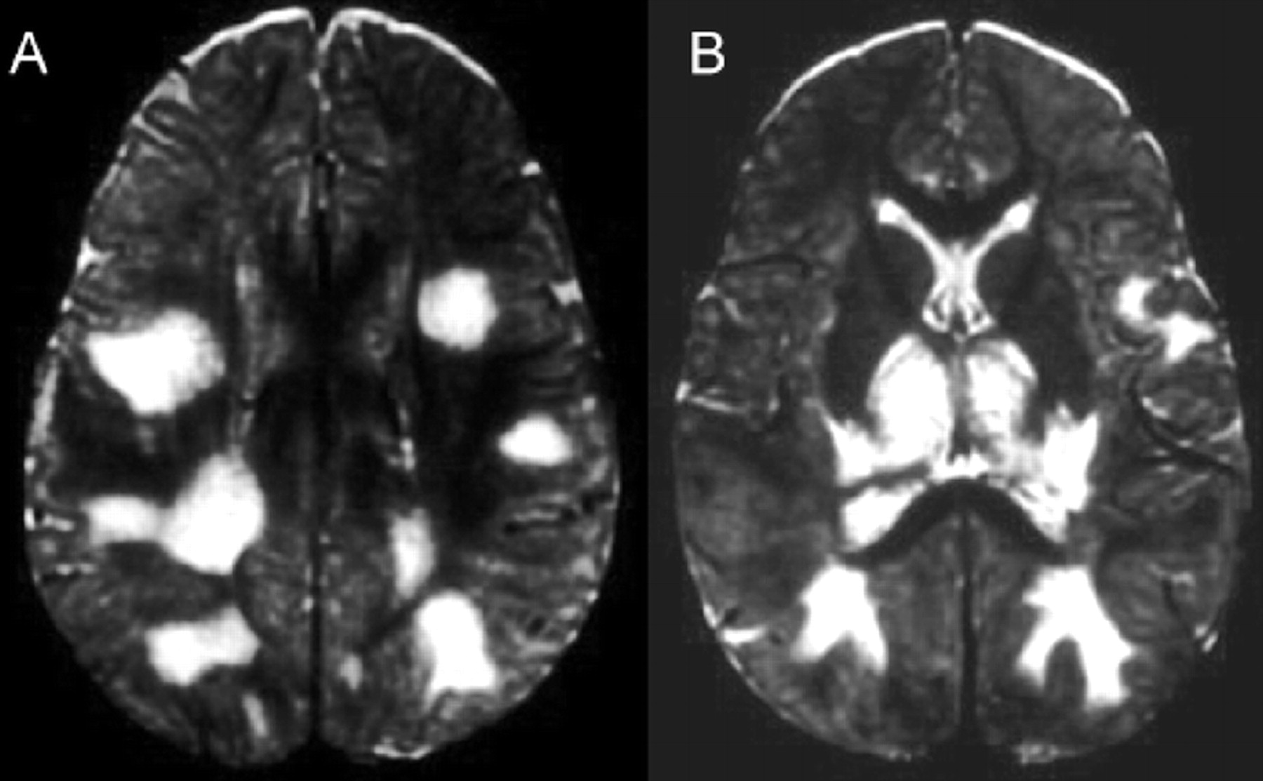
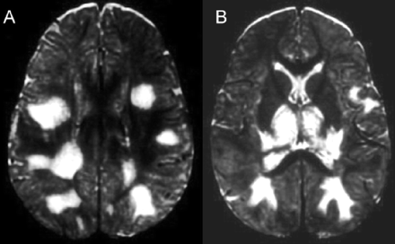
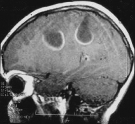
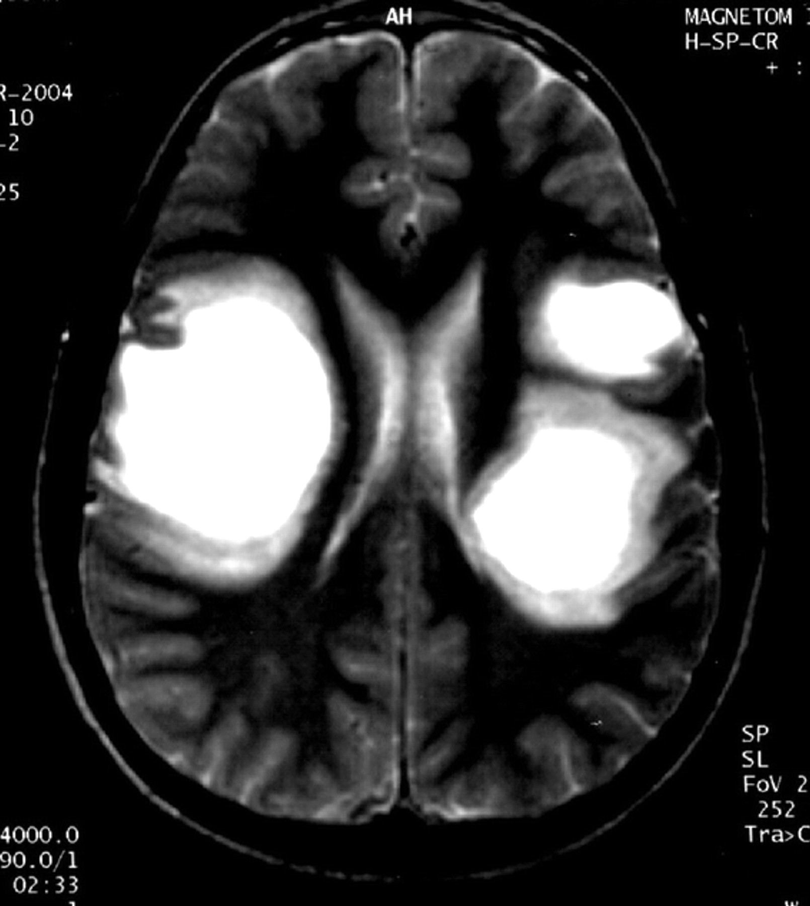
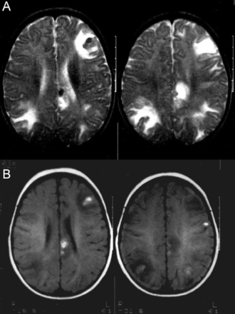
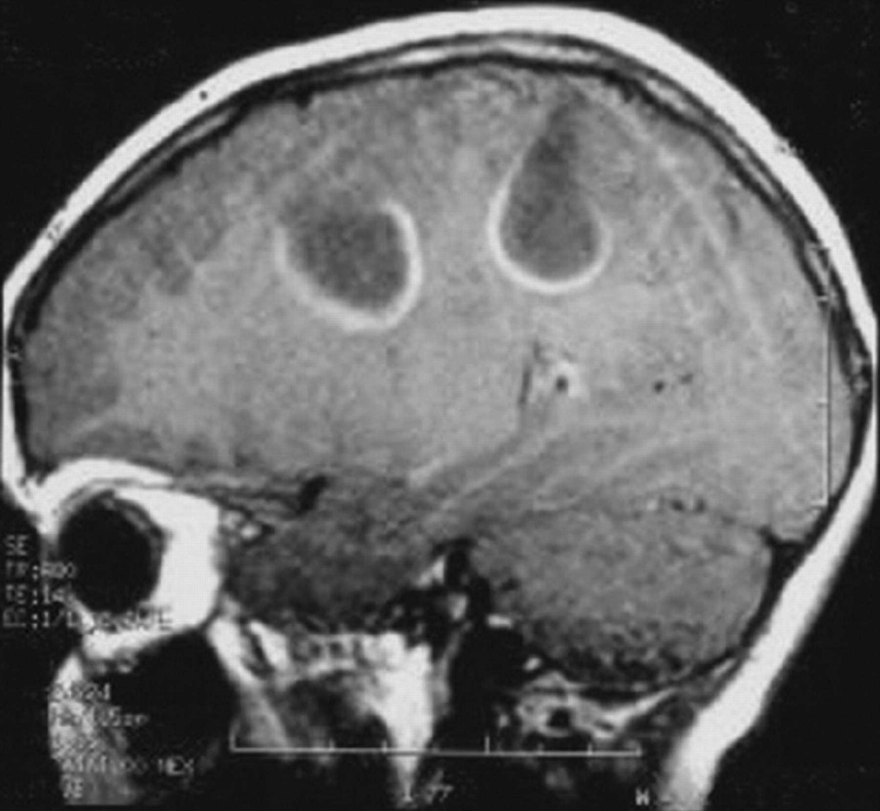
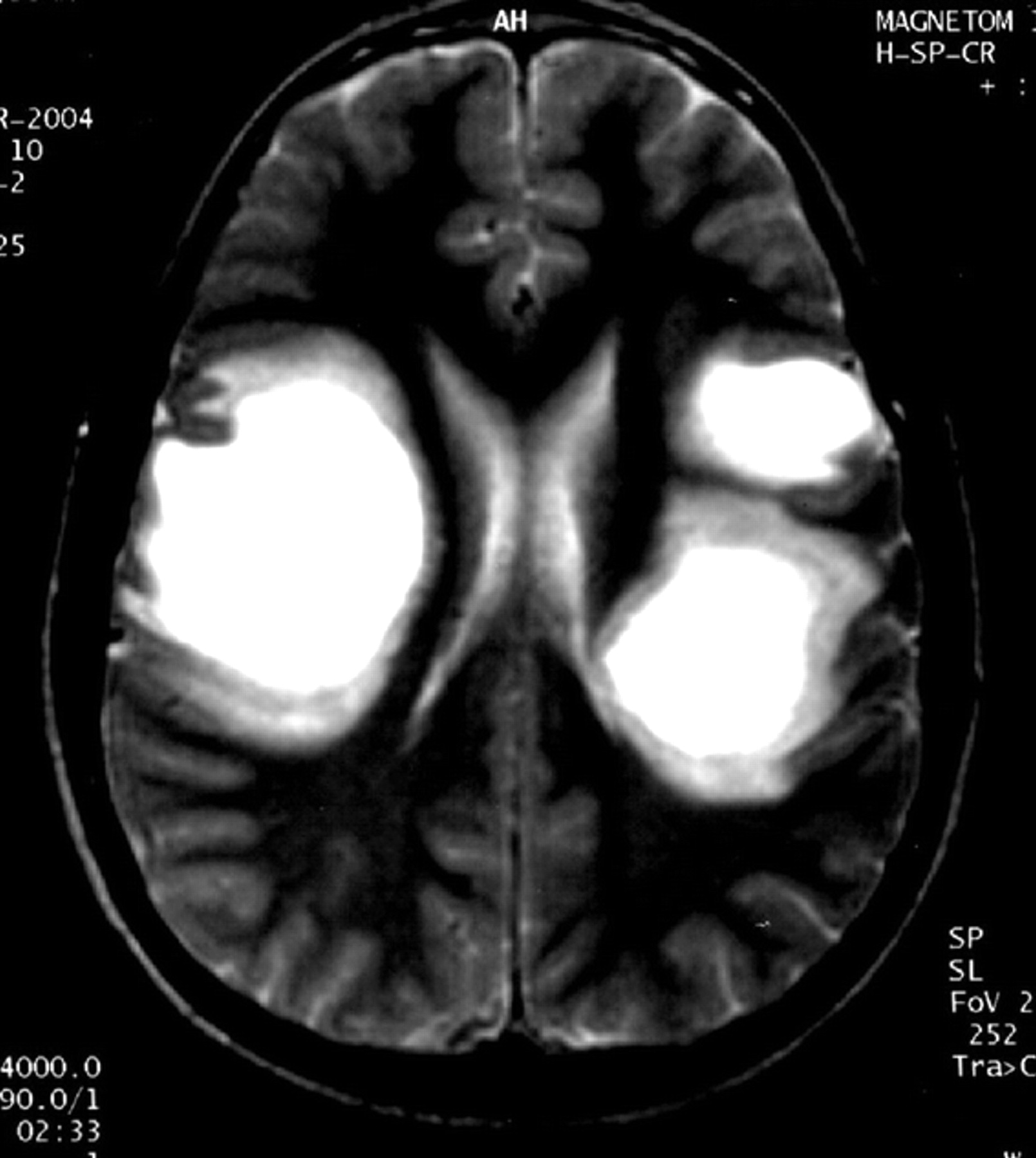
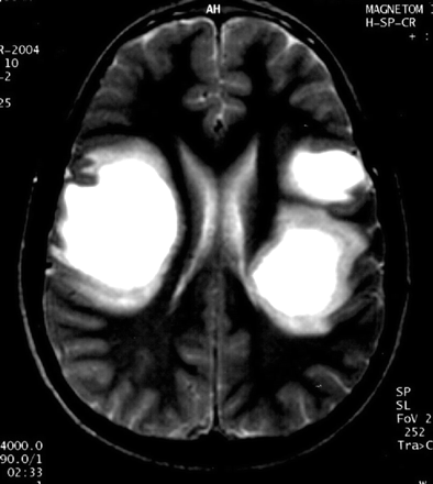
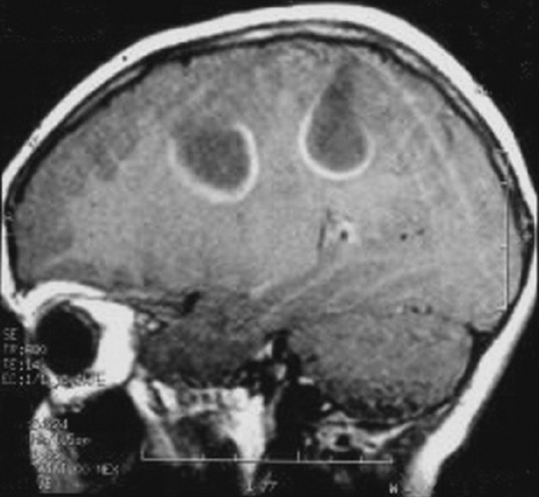
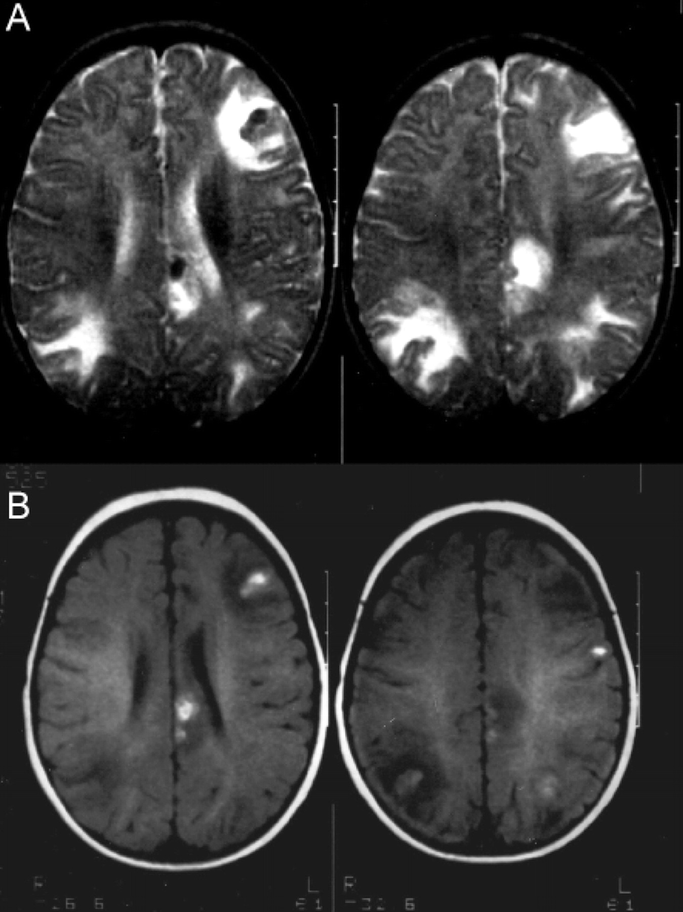
提出了四种模式的大脑参与描述ADEM的磁共振成像结果21:1)ADEM小病变(少于5毫米;图1);2)ADEM大支流,块状病变,簇状或频繁广泛perilesional水肿和质量效应(图2);3)ADEM附加对称bithalamic参与(图3);和4)急性出血性脑脊髓炎(咳咳),当一些出血的证据可以确定大脱髓鞘病变(图4)。核磁共振成像模式似乎并不与任何特定的结果或残疾,作为大型儿童群体中观察到,21因为大多数病变往往解决后续成像研究。21日,32然而,这种分类可能是有用的在考虑的鉴别诊断ADEM和可能有助于识别那些孩子来说,初始ADEM-phenotype真的是第一个女士的表现。
图1所示。急性播散性脑脊髓炎与小病灶。(一)轴向t2加权MRI显示双边、不加边hyperintense病变在中央,室旁,juxtacortical白质,(B)包括花托和内部胶囊,一个17个月大的男孩,麻疹疫苗接种后2周。
图4。急性出血性脑脊髓炎。(A)轴向t2加权MRI与著名的双边hyperintense病变区域的信号很低,相应的血红蛋白的分解产物,在一个5个月大的孩子男孩,百日咳疫苗接种后2周。(B)轴向t1加权磁共振成像相同的情况下,显示自发hyperintense大hypointense内病变的信号。
钆增强病变的发生率在t1序列非常变量外,可能取决于炎症阶段。31日,33岁的34钆增强病变在30 - 100%的患者被描述。21日,35岁的36增强的模式是可变的;完整或不完整的环形(图5),结节性、旋转的或参差不齐的模式被描述。36-38脑膜增强大脑或脊髓的不寻常。
脊髓参与ADEM被描述在11 - 28%。18日,研讨会,39岁典型的脊髓病变是大而肿胀,增强显示变量,以及主要影响胸区域。
连续磁振造影在随访期间建立ADEM的诊断中起着重要的作用。单相ADEM不是与开发新的病变有关。治疗后完全解决MRI异常被描述在37个ADEM患者的75%,和部分决议在25 - 53%的病人。18日,21日,24日,33岁,35岁6个月内解决MRI异常一直积极与亚当在一项研究的最后诊断。40没有明确的标准记录患者继续多久形象ADEM的事件之一。然而,作者建议重新评估病人至少有两个额外的MRI研究第一次正常MRI,后经过一段5年从最初的插曲,适当的方法来确定病变的缺乏持续的收益。
先进的神经影像技术。
低水平的N-acetylaspartate (NAA)和乳酸水平升高的区域内长期T2-MRI信号,没有增加胆碱,与定量观察质子光谱先生在ADEM的急性阶段。第四十一条、第四十二条这些异常信号经过规范化的临床和MRI发现解决。扩散和灌注加权MRI显示扩散模式,减少,正常,扩散系数增加,或减少或正常灌注在ADEM病变。43、44全球和双边降低脑代谢案例已经证明了PET扫描CT扫描只显示焦脱髓鞘病变。45
SPECT使用99 Tc-HMPAO一直显示领域更广泛的低灌注MRI病灶。46-48SPECT异常的时间进程,也反映了临床课程比MRI更准确。尽管解决MRI病灶,SPECT与乙酰唑胺检测持续性脑循环障碍,可能导致神经认知和语言障碍患者中观察到一些外。49岁的50
单相和多相亚当。
尽管ADEM是经典描述为单相障碍,几项研究已经描述了亚当复发,发生以下率:1/18 (5.5%),20.1/14 (7%),518/84 (10%),214/31 (13%),227/46 (15%),237/35 (20%),18和9/42 (21%)。19应该注意的是,不同诊断标准对复发被使用在这些不同的研究,这可能部分解释的变化。此外,后续报道的平均长度在这些ADEM系列差异:18个月,2222个月,235.3年,186.6年,21又可能导致interstudy变异性。52
多相ADEM的结局已经详细描述了在两个儿童系列和长期随访。18日,21在一项研究中,没有观察到86%的长期障碍多相ADEM的病人。18与多相ADEM同样,八个孩子,仍无复发后随访3 - 16年(平均8.2年),eds得分中值为1(范围从0到2.5)。21串行brain-spinal MRI表现在这些患者完全或几乎完全解决脱髓鞘病变没有透露新活动病变的证据。
急性出血性leukoencephalitis。
急性出血性leukoencephalitis (AHL),嗯哼,急性坏死性出血性leukoencephalitis韦斯顿赫斯特(ANHLE)是一种急性的变体,快速进步,频繁暴发的炎症性出血性的中枢神经系统白质脱髓鞘。它通常是由上呼吸道感染引起的。死于脑水肿是常见的脑病的发病1周内,但越来越多的证据有利神经结果已经发表和早期积极治疗皮质类固醇的使用各种组合,免疫球蛋白,环磷酰胺和血浆置换。21日53-55
AHL,嗯哼,ANHLE被认为是亚当的hyperacute子表单,并观察到2%的儿童群体。21病变MRI上往往是大型perilesional水肿和质量效应。56、57Diffusion-weighted成像披露限制扩散的区域影响的大脑区域最近出版,57,这一发现可能是由于急性血管炎,随后在AHL血管闭塞。
在诊断基于已发表的研究争议:理由提出的定义。
亚当应该充分定义和区别于其他疾病影响白质。特别是,一个诊断的挑战在于区分多相形式的ADEM和女士这是特别重要的,不仅对预后的目的,但对于治疗的目的,自诊断的MS,至少在成人患者中,早期治疗与免疫调制剂的建议。
亚当的历史上,不同的定义已经被用于出版儿童和成人患者的病例。39 17-23,26日,51缺乏一个统一的定义和明确的临床和神经影像学诊断标准导致其他神经条件ADEM的分类。由于缺乏一致性,很难比较神经影像学方面或结果,建立预后因素,或比较患者的百分比ADEM演变成女士为例,患者最初诊断为亚当的比例继续被诊断为女士从9.5%范围19到27%。18然而,两个孩子从一群七诊断为“多相ADEM”单症状的relapses-optic神经炎,和脑干综合症other-suggestive女士。18相反,最近发表的研究应用的概念,“任何第二攻击后的初始诊断亚当必须重新归类为女士。”39和报告第二次攻击的频率高达29%。因此,使用一个统一的定义可能有助于区分ADEM和其他终身脱髓鞘疾病,并提供一个一致的前瞻性研究结果的基础。然而,多个复发性脱髓鞘事件的长期结果和证据清楚地列明女士从ADEM是必需的条件。
不寻常的情况下患者的描述了亚当的脱髓鞘病变局限于脑干,演讲时更能反映临床孤立综合征(CIS)与脑干的参与或脑干脑炎。58-60非典型急性播散性脑脊髓炎的案例中描述的一个3岁的女孩,和一个纵向的脊髓病变局限于没有脑损伤的情况下,与纵向脊髓炎一致。61年不幸的是,这份报告没有提供成像的脑干更好地解释意识的孩子的改变。退行性神经和精神和运动技能逐步下降,尤其是在一个11个月大的婴儿脑膜炎。62年这个婴儿被误诊为亚当因为hyperintense MRI显示微妙的地区在额叶和parieto-occipital白质信号似乎过渡区域的髓鞘形成或髓鞘化延迟。63年最近的一份报告中描述了一个患者复发的简单和复杂部分发作,后来发展到棘手的epilepsia partialis连续和认知能力下降。64年虽然这种情况下代表了典型的慢性拉斯穆森的脑炎,因为病人开始症状后病毒性疾病和最初的MRI披露hyperintense病变(虽然主要涉及大脑皮层和皮层下结构),亚当被怀疑的诊断。此外,当癫痫复发从发病3个月后,病人被误诊为多相亚当。
各种各样的术语和定义被用于描述ADEM患者复发。复发,复发,pseudorelapsing, bi -或多相ADEM都应用使用不同的标准18日,21日,65 - 74:从第一个事件随时间少于4到8周以上;被定义为相同或不同的神经赤字;个人单症状的或polysymptomatic;最后MRI病灶被描述为在相同或不同的地区。
亚当的定义。
为了避免误诊和发展一个统一的分类,国际儿科研究小组(研究组)女士提出以下三个条款适用于变化的外(看到克虏伯等。74年,一个在这次会议的报告):
亚当:第一临床事件polysymptomatic脑病,急性或亚急性发病,显示焦点或多病灶的hyperintense影响中枢神经系统白质病变为主;没有证据表明以前的破坏性的白质变化应该存在;也没有以前的临床事件的历史特征的脱髓鞘的事件。如果复发发生在4周内逐渐减少类固醇治疗或前3个月内从最初的事件,这种早期复发急性单相同样被认为是暂时的相关条件和条款将取代“类固醇依赖ADEM”或“pseudorelapsing亚当。”
复发ADEM:新的ADEM脱髓鞘事件实现诊断标准,至少3个月后发生初始ADEM事件和至少4周完成类固醇治疗后,显示相同的临床表现和影响地区核磁共振作为初始ADEM情节。
多相ADEM:指一个或多个ADEM复发,包括脑病和多焦点的赤字,但涉及新的领域MRI和中枢神经系统的神经系统检查。复发发生至少3个月后首次ADEM攻击和至少4周后完成类固醇治疗。
鉴别诊断。
急性脑病和传播儿童中枢神经系统的髓鞘脱失代表对儿科临床医生和神经科医师诊断挑战。检测不到发炎许多炎症和迹象障碍可能有相似的临床和影像表现和应该考虑的诊断评估。
如果怀疑急性脑病是基于历史和体格检查,首先应排除中枢神经系统的急性细菌性或病毒性感染,开始经验性抗菌和抗病毒治疗。gadolinium-enhanced核磁共振成像的大脑和脊髓(更好地定义疾病负担)和腰椎穿刺应尽快执行。炎症过程的证据(CSF脑脊液细胞增多,脑脊液蛋白和免疫球蛋白指数升高,钆增强MRI)应确定除了筛查病毒,细菌或真菌感染(见“儿科女士的鉴别诊断和评价”在这个会议报告的完整轮廓感染引起的急性脑病)的原因。没有明确证据的感染原因,神经影像学结果应该定义的区域分布demyelinating-inflammatory过程。
神经成像时的初始事件可能是有用的诊断。MRI显示大焦肿瘤病变时,应考虑脑瘤,Shilder疾病、马尔堡的变体,女士和脑脓肿。75 - 77核磁共振成像模式与对称bithalamic参与可能出现在儿童急性坏死性脑病,深脑静脉血栓形成,血钠过多,和extrapontine myelinolysis,以及日本乙型脑炎疫苗接种后亚当的孩子。78 - 84基底神经节的参与可能符合有机酸尿,poststreptococcal ADEM或幼稚的双边纹状体坏死。85年,86年完整的存在ring-enhanced病变在脑白质异常外,和脑脓肿、结核瘤,脑囊尾蚴病、弓形体病、组织胞浆菌病应该被排除在外。36
女士的诊断应考虑在复发性或多相脱髓鞘的情况下,并在本文后面详细讨论。
治疗和管理。
没有标准治疗外。大多数治疗方法都使用某种形式的非特异性免疫抑制剂治疗类似于用于女士和其他自身免疫性疾病,包括类固醇,静脉注射免疫球蛋白(丙种球蛋白),或血浆置换。大部分的数据描述治疗ADEM来自案例报告和小系列。迄今为止,没有随机对照试验治疗ADEM的儿童或成人。
类固醇。
类固醇治疗一直是最广泛报道治疗外,通常在高剂量。然而,已经有各种特定的配方使用类固醇,路线管理、计量、圆锥形方案。最早的报告描述类固醇治疗使用ACTH ADEM出版于1953年。87年pre-MRI时期后报告描述成功使用强的松、促肾上腺皮质激素或地塞米松的显著改善症状与亚当在成人和儿科患者。12日,88年几个病人在这些报告有复发的症状在类固醇治疗和改善类固醇重新制订时停止。
大多数儿童团体详细描述他们的高剂量类固醇治疗用四甲基强的松龙(10到30毫克/公斤/天最大剂量的1 g /天)或地塞米松(1毫克/公斤)3到5天89年18日,21日,22日,26日,90年随后口服类固醇锥度为4到6周完全康复在50 - 80%的病人。18日,21日,22在唯一的比较具体的皮质类固醇治疗,methylprednisolone-treated患者更好的结果对eds分数相比静脉注射地塞米松治疗。21结果也可能受到类固醇锥度的长度增加复发的风险以来报告的类固醇锥度3周或更少。18日,23
高剂量类固醇治疗并非没有风险。胃穿孔由于消化道出血和死亡有关甲基强的松龙治疗ADEM报道。91年高血糖、低血钾、高血压、面部发红,和情绪障碍也被报道与高剂量皮质类固醇治疗。建议提供预防胃溃疡患者在高剂量类固醇,除了仔细监测血压、尿液中葡萄糖、血清钾。
免疫球蛋白。
IVIg已被成功地用于多种自身免疫性疾病虽然其有效性在女士是有限的。有多个单独丙种球蛋白被成功运用的案例报告92年,93年或者结合在一起61年与糖皮质激素在小儿和成人ADEM的情况下,但没有研究直接与类固醇丙种球蛋白相比,血浆置换或其他免疫调节治疗。在某些情况下,丙种球蛋白静脉脉冲类固醇治疗失败后管理94 - 96或者在例复发性脱髓鞘。68年,70年报道剂量丙种球蛋白一直相当一致,使用的总剂量1 - 2克/公斤,管理作为一个单一剂量或在3到5天。一般来说,丙种球蛋白在儿科人口耐受性良好。有孤立的案例报告重复丙种球蛋白政府治疗反复发作的髓鞘脱失,97年虽然绝对值得怀疑的是,这些病例是女士。
血浆置换。
使用血浆置换在ADEM只有少数报告的情况下,通常严重病例在类固醇治疗失败了。最近的一个系列98年检查结果后血浆置换为59多种中枢神经系统脱髓鞘疾病患者,包括ADEM的10例,发现40%的患者(包括外组)有中度到血浆置换后显著改善。在这一群人,意味着数量的7进行交流(范围2 - 20)虽然没有给出分解脱髓鞘疾病类型。在文献中,有报道称,六个儿科ADEM情况下用血浆置换治疗。四个病人完全恢复,报道99 - 101有残余左轻偏瘫,102年和一个病人没有描述的结果。103年
血浆置换为删除的自身抗体可能触发ADEM的髓鞘脱失,但也可能转变的动力学B和t细胞免疫系统内的相互作用。有证据表明从案例评价血浆置换可能更有效在发病的早期。104年然而,由于需要训练有素的人员专业设备及中央静脉访问多个治疗数天到数周不等的在一段时间内,血浆置换经常被用来作为最后的手段。症状性低血压、严重贫血和heparin-associated血小板减少与血浆置换中描述。98年的角色和时间密集治疗外值得进一步调查。然而,在可预见的未来等离子交换可能会继续被用作ADEM当其他救援治疗方法失败。
其他疗法。
据我们所知,没有发表的报道interferon-β或醋酸glatiramer用于急性期ADEM虽然有传闻的描述interferon-β用于复发性脱髓鞘与多相ADEM一致。一些改进与环磷酰胺报道使用成人ADEM对甲基强的松龙反应不佳的患者,17但我们不知道任何发表的报道环磷酰胺、硫唑嘌呤或其他细胞抑制剂在儿科ADEM吸毒。
结果和预后。
未经处理的亚当。
有限的数据存在的自然历史post-MRI ADEM的时代。在可用的案例研究,有相当大的多样性对前期感染,临床表现、神经影像学研究结果,进一步复杂化的结果分析。递归分类是一个主要的矛盾存在相当大的分歧何时复发性脱髓鞘归为多相ADEM和定义所有的复发性脱髓鞘情况下女士系列来自日本,105年印度,106年和俄罗斯107年表明,亚当在大多数儿童的自然历史是过去几周逐步改善之一,与50 - 70%的患者经历完全康复。改善连续核磁共振成像也显示在七个日本脑炎患者未经治疗的传染病后,尽管三个患者残余病变MRI。105年七21部分患者恢复南印度组106年有更广泛的白质病变相比,核磁共振成像的儿童完全恢复。没有其他的因素,包括前期感染,相关结果。
相比之下,莫斯科集团分层90儿科ADEM对前期感染患者(33%风疹、水痘29%,22%与未知病毒先行词)和复发(11%是属于多相ADEM,最前面的上呼吸道症状)。诊断是根据临床症状之前的病毒感染。MRI是通常只有在多相组织获得。结果随前期感染一个好的结果在没有明确的ADEM感染病例的70% vs 54%和43%正常结果报告post-varicella post-rubella ADEM,分别。具体恢复时间被描述为大约3周post-rubella ADEM和多相ADEM 12周,中间更变量post-varicella恢复时间和未知外组。107年综合来看,这些报告表明,大约有三分之二的病人完全恢复,没有特定的治疗,但复苏可能需要数周。
亚当接受治疗。
表1总结了结果信息在最近出版的情况下一系列15 ADEM患者。超过一半的患者都有一个很好的复苏极少或完全没有赤字。最常见的问题见下面ADEM焦马达赤字从轻微笨拙和共济失调轻偏瘫或失明。行为和认知问题被确定在6 - 50%的儿童,但很可能低估了系列。少后遗症包括癫痫ADEM决议后的发展。
大多数患者接受高剂量类固醇,虽然有些病人用丙种球蛋白治疗(有或没有类固醇)和血浆置换法被用于一些抗类固醇情况下反应严重。治疗开始后,在几小时内迅速改善有时看到虽然复苏通常进化了天。严重影响儿童(有时是减轻和机械通风)往往需要数周或数月改进和通常是处理多种免疫抑制剂方案,使其不清楚这些患者治疗结果是否影响自己改进。完全恢复是一些严重的病例报道,尽管不那么频繁了。亚当在成人患者的预后一直统一报告为有利。17
神经认知的结果。
将更多的关注在微妙的神经认知赤字在儿童中枢神经系统脱髓鞘之后,包括亚当。50108年即使是孩子认为全面复苏了微妙的神经认知赤字的关注,执行功能和行为50当评估3年以上外后,尽管这些赤字并不严重的女士作为儿科患者的报道。109年一项研究相比19 ADEM正常儿童年龄和sex-matched对照组,发现患者5年以下ADEM诊断有显著降低智商和教育成就评价时3.9年(平均),因为疾病,而older-onset患者慢口头处理,被评估为2.2年(平均)表示。108年行为问题也更突出的年青ADEM的组。进一步的研究需要进一步描述神经认知赤字亚当。这些研究将有助于指导评估个别病人并将促进适当的教育干预。
看来症状决议是类固醇或IVIg-treated病人更迅速。然而,由于患者群体的异质性和治疗方案,很难得出具体结论关于治疗相对于长期影响的结果。多中心前瞻性试验一致的诊断标准、治疗方案,统一的数据收集是至关重要的管理方面来提高我们的知识与认知障碍的儿童和青少年。
亚当和女士。
女士在孩子最初出现症状,且有迹象显示外并没有什么区别”。然而,随后的神经核磁共振的典型事件或变化导致女士的诊断。18日,19110年女士的可能性,一个孩子可能会是一个关心父母和临床医生,尤其是在例复发或多相亚当。女士的孩子也可以表现为独联体,更像是典型的神经活动与CIS临床不同于女士ADEM成年人,和被定义为单聚焦的或多病灶的脱髓鞘事件没有发烧或脑病(在脑干症状的情况下除外)。
我们当前的共识的定义儿科女士指出,亚当的第一个事件是不被认为是第一个事件诊断所需的女士,也不能用于确定传播在时间和空间。在这些孩子中,第二个脱髓鞘事件复发不符合标准或多相ADEM资格作为一个初始事件,随后的MRI改变或新的脱髓鞘集后会导致诊断为女士而研究表明儿童最初ADEM事件风险更高的最终发展的女士,18日,19110年后女士ADEM的实际风险尚不清楚。确定预后指标包括生物标记物之间的关系需要进一步澄清ADEM和随后的MS诊断的风险。
目前没有明确的预后因素,确定一个孩子的第一个事件ADEM或独联体女士女士最终将发展发展的风险后,亚当被报道为0%,219.5%,19到27%18和28%39通过不同的研究。应该注意的是,在这些研究中,不同的标准被用来定义儿科女士,和不同长度的后续使用,这可能导致广泛的发病率。作为一个总体趋势,亚当女士的风险低于CIS事件。研究患者第一次脱髓鞘事件,包括CIS-like和ADEM事件,显示,整体而言,57%发达所定义的两个女士脱髓鞘事件。39ADEM的初始诊断的患者中,28%发达女士的初始CIS-like事件,86%与视神经炎和50%初始脑干综合症女士整体开发,积极发展的预测因素是发病年龄女士10年或以上(危险比[HR], 1.67;95%可信区间),MS-suggestive初始MRI (HR 1.54),或视神经病变(HR 2.59)。风险较低的发展中被发现女士脊髓炎患者(HR 0.23)或精神状态改变(HR 0.59)表示。39百分之二十九119年(34)的孩子之前诊断ADEM发达女士,而75%(134 177)的孩子第一次事件符合CIS发达女士虽然这些临床研究是有帮助的和作为一个指南,明确诊断的女士不能根据这些数据。此外,使用标准化的标准来定义未来的研究将极大地增强女士解释。
放射诊断参数提供支持性证据的女士;然而,他们不能被用作预测发展的疾病,因为许多功能被认为是独特的女士也ADEM病例中出现的。20.在胼胝体病变,深室周的白质和灰质结构被认为发达MS患者中更常见。22然而,在其他系列相同的特性已被记录在亚当的典型案例。18、20
在脑脊液寡克隆免疫球蛋白乐队被发现是儿科的积极到64年的92%情况下,女士在0到29%的ADEM情况下,18日,21日,2188金宝慱官网下载2111年但这种差异没有统计学意义18所以不能作为一个可靠的标志,到目前为止,免疫测试并没有产生一个可靠的标志的发展从最初的脱髓鞘事件女士的孩子。
到目前为止,没有明确的临床和放射参数预测哪些ADEM或独联体将开发。112113年女士的早期治疗是大力提倡在成人患者,和已被证明是有益的在降低长期残疾。114115年此外,在儿科医学患者使用beta-interferon-1a最近被证明是安全的和可以忍受的。116117年然而,诊断不准确的风险,女士一生的负担,需要持续的治疗,一般认为超过延迟诊断的风险以确定诊断的小儿女士的女士提出的定义可能最终需要修改收集更多的信息关于发展的可预测性女士在最初脱髓鞘的事件。临床预后指标或生物标志物预测发展的女士在童年最初的脱髓鞘事件后需要促进儿科女士的早期、准确的诊断。
发病机理。
组织学上以perivenular ADEM的特点是T细胞和巨噬细胞的浸润,伴有perivenular脱髓鞘。虽然亚当与女士分享共同的病理特征,不同病理条件区分两种疾病尚未定义。没有系统的研究比较ADEM的组织病理学和女士,尽管这样的研究无疑会产生重要的信息在这两种疾病之间的关系。各种病理特性已经描述了在活检和尸检样本外,病人。尸检描述从一个5岁的男孩,致命的ADEM严重弥漫性脑水肿,uncal以及突出的扁桃体。19多病灶的血管周围淋巴细胞浸润与纤维蛋白沉积在血管腔内和相邻的髓鞘脱失。有弥漫性anoxic-ischemic神经元变性和intersitial水肿。病毒包涵体没有出现在圆)部分。脑活检中执行一个10岁的女孩有严重嗯了皮层下WM与血管周的出血性坏死亚急性炎症包括巨噬细胞、中性粒细胞和罕见的淋巴细胞。没有证据表明病毒、细菌、真菌、寄生虫感染。尽管ADEM通常被描述为脱髓鞘和轴突的相对保存,轴突损伤已被确定在一些患者的大脑。118119年白质病变主要涉及,但也可以包括大脑皮层和深部灰质结构。的脑脊液特点是蛋白质和白细胞升高。寡克隆条带急性表现在多达30%的患者外,18,可能是暂时的。CSF水平升高的促炎细胞因子il - 6、il - 10,和TNFα已被描述。120121年
急性出血性和急性出血性坏死性leukoencephalitis (AHL ANHLE)嗯,韦斯顿赫斯特与亚当共享一些炎症组织学特性;然而,中枢神经系统脱髓鞘更普遍和明显的中性粒细胞浸润。ANHLE特点是小血管的破坏与急性出血和纤维蛋白沉积有关。122年CSF分析反映了出血性这种疾病的性质与海拔蛋白,红细胞和白细胞计数。
外可分为postvaccinial或传染病后;然而,在许多情况下没有明确前期的历史存在。罕见的ADEM器官移植后均有描述。123 - 127传染病后形式的ADEM通常开始后2至21天内传染病事件;然而,时间间隔也被描述。病毒感染通常与亚当有关包括流感病毒、肠道病毒,麻疹,腮腺炎,风疹、水痘带状疱疹,eb病毒、巨细胞病毒、单纯疱疹病毒、甲型肝炎、柯萨基病毒。细菌引发包括肺炎支原体,。伯氏疏螺旋体,钩端螺旋体,beta-hemolytic链球菌。急性出血性leukoencephalomyelitis (AHLE)通常是流感或上呼吸道感染。唯一的流行病学和病理证实ADEM协会与疫苗接种狂犬病疫苗的出身低微的形式。3128 - 130其他疫苗与ADEM包括乙型肝炎、百日咳、白喉、麻疹、腮腺炎、风疹、肺炎球菌、水痘、流感、流行性乙型脑炎,小儿麻痹症。19日,21131 - 136中枢神经系统组织生产的疫苗包括出身低微的形式的ADEM的狂犬病疫苗的风险高。重要的是要注意,一般来说,疫苗接种形式与高并发症不再使用。一些报道发生率与各种形式的疫苗接种相关的脑脊髓炎中列出表2。
亚当的发病机制还不清楚;然而,鉴于其组织学特征和典型的单相的疾病,它被比作实验性自身免疫性脑脊髓炎动物模型(运算单元)。运算单元是一种自身免疫性脱髓鞘疾病,可引起多种动物物种与髓鞘蛋白或多肽免疫。此外,ADEM的postvaccinial形式与出身低微的狂犬病疫苗,其中包含狂犬病病毒感染神经组织,加强了这个比喻运算单元。病毒或细菌抗原表位类似髓鞘抗原有能力通过分子拟态myelin-reactive激活T细胞克隆,137年,从而引出CNS-specific自体免疫反应。因此,有人建议,微生物感染前ADEM引起交叉反应的anti-myelin响应通过分子拟态。另外,ADEM的激活可能是由于现有myelin-reactive T细胞克隆通过非特异性炎症过程。
赛尔鼠脑脊髓炎病毒诱导脱髓鞘疾病(TMEV-IDD)模型是直接引起的中枢神经系统感染的亲神经的TMEV小核糖核酸病毒,最初导致免疫介导的反应主要涉及TMEV-specific CD4和CD8 T细胞。138139年在慢性疾病的阶段,然而,T细胞反应,已观察到主机髓肽,指示表位发生传播辅助T细胞反应髓磷脂分解产物,导致自身免疫反应。140年两个小神经胶质细胞141年和树突细胞142年TMEV-infected小鼠中枢神经系统的髓鞘可以显示肽幼稚T细胞,从而促进抗原决定基传播病毒,主机髓鞘抗原。TMEV模型突出了抗原决定基二次传播的现象,破坏中枢神经系统病毒感染导致继发性自身免疫反应和慢性炎症。尽管这个模型表面上有一些相似之处外,重要的是要注意,大量证据已表明,亚当不是由于中枢神经系统的直接病毒感染,但二次免疫介导的现象。抗原决定基传播可能是慢性炎症性疾病的一个重要现象如女士,但参与ADEM是未知的。
髓磷脂碱性蛋白的序列已经被证明能够像一些病毒序列,在某些情况下,可交叉反应的T细胞反应已经证明。与MBP抗原交叉反应的T细胞的例子包括hhv - 6,143年冠状病毒,144年流感病毒血凝素,145年和巴尔病毒。146年含蛋白脂质蛋白(PLP)股价常见序列流感嗜血杆菌。147年Semliki森林病毒(SFV)肽模拟髓少突细胞糖蛋白(MOG)。148年增强髓磷脂碱性蛋白(MBP)反应性T细胞反应证实了传染病后患者的外形式。149150年anti-myelin抗体滴度升高患者的血清ADEM最近被证明比女士或病毒性脑炎患者。151年先前的研究已经表明增强anti-MBP postvaccinial ADEM后患者的抗体滴度与出身低微的狂犬病疫苗接种。152153年这些研究证明anti-MBP抗体滴度升高之一ADEM样本与样本。女士尽管有争议女士anti-myelin抗体反应的表征,研究亚当一直显示检测到的水平,表明发病机理的差异。总的来说,这些研究表明,增强T细胞和B细胞髓磷脂反应发挥作用在传染病后,postvaccinial ADEM的发病机理;然而,需要进一步的研究来确定因果关系。
第二ADEM是与类相关的等位基因HLA-DRB1 * 01和HLA-DRB * 03在俄罗斯的一项研究中。107年韩国的一项类似研究显示ADEM HLA-DRB1 * 1501的协会,以及HLA-DRB5 * 0101。154年相同的韩国研究显示一个协会HLA-DRB3 * 0202和HLA-DQB1 * 0502急性坏死性脑病的形式。基因主要是经常与HLA DRB1,女士155年与DR215156年被最常涉及的等位基因。发现了类似协会女士在儿科人口。157年因此,二类等位基因可能参与以及亚当女士;然而,与两种疾病相关的等位基因之间的差异表明发病机理的差异。
研究未来的发展方向。
亚当经常造成临床医生的诊断和预后的困境。在急性期,应该有一个低怀疑感染开始前皮质类固醇或免疫抑制治疗。诊断测试,建议增加一个准确诊断的速度。从长远来看,最紧迫的问题之一,一个孩子与亚当,特别是复发或多相形式的亚当,是转换的潜在风险,虽然亚当女士和女士有着许多相似的病理特征,预后是截然不同的。因此,识别的生物标志物可以预测女士ADEM事件之后的发展是至关重要的。
需要进一步的研究来理解全球流行病学和亚当的分布。这些研究可能给了解疾病的发病机理和潜在的预防措施。诱因ADEM的早期识别,如特定批次的疫苗,通过严格的监督机制。
目前治疗外通常导致可接受的结果。然而,进一步的研究需要调查其他代理的使用,特别是对耐火材料或多相病例。有一个缺乏文学的化疗药物的使用外,尽管坊间使用普遍存在。此外,使用β-interferons ADEM的多相形式需要进一步调查。
使用标准化的定义ADEM和女士在儿童和青少年将有助于促进未来的研究,对于预后,这两种疾病的发病机理和治疗。
附录
国际儿科研究小组女士:劳伦·克虏伯MD(椅子),医学博士,布伦达。l . Banwell Anita Belman,医学博士多罗斯Chabas,医学博士,博士Tanuja Chitnis,医学博士,彼得•邓恩博士安德鲁·古德曼博士金哈恩,医学博士,黛博拉·p·赫兹,英里,南希·j .荷兰EdD, RN, MSCN,道格拉斯·杰弗瑞,医学博士,博士,威廉·麦卡利斯特博士,劳尔Mandler,医学博士,玛丽亚Milazzo, RN, MS, CPNP,杰恩湖水,医学博士,博士,Jorge Oksenberg博士Trena l·佩勒姆医学博士,丹妮拉波尔,医学博士,博士Kottil Rammohan,医学博士,玛丽·r·Rensel医学博士Christel Renoux,医学博士Dessa Sadovnick,博士,医学博士,史蒂文•罗伯特Schwid西尔维亚Tenembaum,医学博士,克里斯蒂娜Toporas, Emmanuelle Waubant,医学博士,博士,比安卡Weinstock-Guttman, MD。
引用
- 1。↵
- 2。
- 3所示。↵
- 4所示。
- 5。↵
- 6。
戴维森C,布洛克s .急性脱髓鞘性脑脊髓炎呼吸道疾病。牛神经本月纽约1937年;6:504年-514年。
- 7所示。
范Bogaert l .感染后脑脊髓炎和多发性硬化症;perivenous脑脊髓炎的重要性。J Neuropathol Exp神经1950年,9:219年-249年。
- 8。
- 9。
DeVries。Postvaccinal perivenous脑炎。阿姆斯特丹:爱思唯尔出版社,1960年。
- 10。
木匠年代,兰伯特PW。传染病后perivenous脑炎和急性出血性leukoencephalitis。:Minckler J。病理学的神经系统。纽约:麦格劳-希尔,1968年:2260年-2269年。
- 11。
不易处理的化学加工。vasculomyelinopathy传播。评估的临床和病理反应hyperergic神经系统的疾病。《神经Scand1969年:375:33-44年。
- 12。↵
- 13。
- 14。
- 15。↵
- 16。
- 17所示。↵
- 18岁。↵
- 19所示。↵
- 20.↵
- 21。↵
- 22。↵
- 23。↵
- 24。↵
- 25。↵
- 26岁。
- 27。
- 28。
- 29。↵
- 30.↵
Wingerchuk DM,传染病后脑脊髓炎。咕咕叫神经>代表2003年;3:256年-264年。
- 31日。↵
- 32。
- 33。
- 34。
- 35。
- 36。↵
- 37岁。
- 38。
- 39岁。↵
- 40。↵
- 41岁。↵
- 42。
- 43。↵
- 44岁。
- 45岁。↵
- 46岁。↵
- 47岁。
- 48。
- 49。↵
- 50。↵
- 51。↵
- 52岁。↵
- 53岁。
- 54。
- 55。
- 56。↵
- 57。↵
- 58岁。↵
- 59。
- 60。
- 61年。↵
- 62年。↵
- 63年。↵
van der Knaap女士,Valk j .髓鞘形成和髓鞘化延迟。女士:van der Knaap Valk J, eds。磁共振的髓,髓鞘形成髓鞘疾病。第二版。Berlin-Heidelberg:斯普林格出版社,1995年:31日-52年。
- 64年。↵
- 65年。
- 66年。
- 67年。
- 68年。↵
- 69年。
- 70年。
- 71年。
- 72年。
- 73年。
- 74年。
- 74 a。↵
- 75年。↵
- 76年。
- 77年。
Tenembaum年代,Galicchio年代,Granana N, et al .脱髓鞘脑病大焦病变:诊断线索。大脑的开发1998;20:434。抽象的。
- 78年。↵
- 79年。
Mizuguchi m .急性坏死性脑病的童年:小说形式的急性脑病流行在日本和台湾。大脑的开发1997年;19:81年-92年。
- 80年。
- 81年。
- 82年。
- 83年。
- 84年。
- 85年。↵
- 86年。
- 87年。↵
米勒HG,吉本斯杰。急性播散性脑脊髓炎和急性播散性硬化;A.C.T.H.治疗的结果BMJ1953年;4850年:1345年-1348年。
- 88年。
- 89年。
- 90年。
- 91年。↵
- 92年。↵
- 93年。
- 94年。↵
- 95年。
- 96年。
- 97年。↵
- 98年。↵
- 99年。↵
- One hundred.
Ramachandrannair R, Rafeequ M, Girija。血浆置换在儿童急性播散性脑脊髓炎。印第安纳州Pediatr2005年;42:479年-482年。
- 101年。
- 102年。↵
- 103年。↵
- 104年。↵
- 105年。↵
- 106年。↵
- 107年。↵
- 108年。↵
- 109年。↵
- 110年。
- 188金宝慱官网下载111年。
- 112年。↵
- 113年。
- 114年。↵
- 115年。
- 116年。↵
- 117年。
- 118年。↵
- 119年。
- 120年。↵
- 121年。
- 122年。↵
Kumar V, Cotran RS,罗宾斯SL。罗宾斯基本病理,更新版。第七版。桑德斯;2004年。
- 123年。↵
- 124年。
- 125年。
- 126年。
- 127年。
- 128年。
- 129年。
- 130年。
- 131年。
- 132年。
- 133年。
- 134年。
- 135年。
- 136年。
- 137年。↵
- 138年。↵
- 139年。
- 140年。↵
- 141年。↵
- 142年。↵
- 143年。↵
- 144年。↵
- 145年。↵
- 146年。↵
- 147年。↵
- 148年。↵
- 149年。↵
- 150年。
- 151年。↵
奥康纳KC,罗宾逊WH de jager PL,等。高通量分析急性播散性脑脊髓炎的自身抗体识别髓鞘抗原。首页16 2005;64 (5):A417。抽象的。
- 152年。↵
- 153年。
- 154年。↵
- 155年。↵
- 156年。
- 157年。↵
信:快速的网络通信
你可能也会感兴趣
相关文章
-
没有找到相关文章。
提醒我
推荐的文章
- 文章
共识的定义提出了小儿多发性硬化症和相关疾病劳伦·b·克虏伯Brenda Banwell,西尔维亚Tenembaum et al。
首页神经学,2007年4月16日 - 文章
挑战小儿多发性硬化症的分类和未来的方向安妮塔·l·Belman Tanuja Chitnis, Christel Renoux et al。
首页神经学,2007年4月16日 - 文章
在228例急性播散性脑脊髓炎回顾美国多中心研究
萨利姆Chahin Diederik L.H. Koelman, Soe s . Mar et al。
首页神经学,2016年5月04日 - 文章
急性播散性脑脊髓炎和急性出血性Leukoencephalitis COVID-19系统回顾和综合集成
乔凡娜marble,迦勒r s McEntire玛丽亚Martinez-Lage et al。
首页神经学:神经免疫学和神经炎症,2021年8月27日


