核磁共振发现Susac综合征
做出评论
看到评论
文摘
背景:Susac综合征(SS)是一种自限性的综合症,可能自身免疫性,组成的一个临床脑病的三和弦,视网膜动脉分支遮挡,和听力损失。三合会的所有三个元素可能不是现在或认可,和先生成像常常需要建立诊断。
摘要目的:确定的光谱异常MRI在党卫军。
方法:作者回顾了先生的图片27日以前未报告的临床患者SS三合会,和51例先生发表文章的图像描述或报道。
结果:所有27个患者多病灶的幕上的白质病变包括胼胝体。深的灰色核(基底节和丘脑)参与19 (70%)。19(70%)也有实质增强和9 (33%)leptomeningeal增强。从文学的51例,至少32胼胝体的病变。作者无法确定胼胝体病变的存在在这些患者18,据报道,且只有一个正常MRI在脑病的发病。
结论:党卫军的MR扫描显示幕上的一个相当独特的模式总是涉及胼胝体白质病变。通常深灰质,颅后窝参与,和频繁的实质与偶尔leptomeningeal增强。中央胼胝体的病变不同于那些在脱髓鞘疾病,而且应该支持的诊断SS患者至少两三个特点的临床三和弦。
Susac综合征(SS)由三合一的脑病、视网膜动脉分支遮挡(BRAO),和听力损失。1-42⇓⇓⇓⇓⇓⇓⇓⇓⇓⇓⇓⇓⇓⇓⇓⇓⇓⇓⇓⇓⇓⇓⇓⇓⇓⇓⇓⇓⇓⇓⇓⇓⇓⇓⇓⇓⇓⇓⇓⇓⇓的脑病表现头痛、混乱、记忆丧失、行为变化,构音障碍,偶尔缄默症。BRAO可能广泛的或微妙的;如果涉及到视网膜后极,病人可能抱怨视力下降。这些BRAO通常双边和可能呈现的特征的疾病,或发生在临床过程。同样,听力损失通常是双边和经常伴有耳鸣和眩晕;像BRAO,以后可能会呈现功能或开发。虽然学生通常发生在年轻女性年龄在20至40岁的女性,也折磨着男人。男女的年龄从16岁到58年,女性对男性比例是3:1。临床课程是自限性的,通常2到4年,之后,患者就会稳定不同程度的认知障碍,听力和视力丧失。免疫反应病因是假定。3
脑病的经典三和弦,BRAO,听力损失是特殊的学生,但这三个元素可能不是所有出席发病。此外,脑病可能防止病人抱怨的视觉和听觉困难。外围地坐落BRAO可能不会导致视觉症状,可能只是被眼科医生。因此,成像先生常常需要建立诊断。
先生的图片总是不正常,尤其是在脑病发作的病人,但白质病变往往归因于髓鞘脱失(多发性硬化症(MS)或急性播散性脑脊髓炎(ADEM))。适当的解释MRI应该增加学生的诊断产量。为此,我们描述了先生的图片27日以前未报告的病人,他们面对纳粹党卫军临床三和弦。我们也回顾了先生的报告文学。
方法。
大脑图像先生在患者27 F.R.M.完成临床综述了党卫军三和弦,A.D.G.,R.B.,and J.O.S. There were 17 women and 10 men with an age range of 22 to 58 years, median age 29 years. All patients had 5 mm axial T2, proton density, T1, and axial/sagittal T1-weighted images with gadolinium. Ten patients had fluid-attenuated inversion recovery (FLAIR) images in the axial/sagittal planes; one patient had double-dose gadolinium with magnetization transfer.
结果。
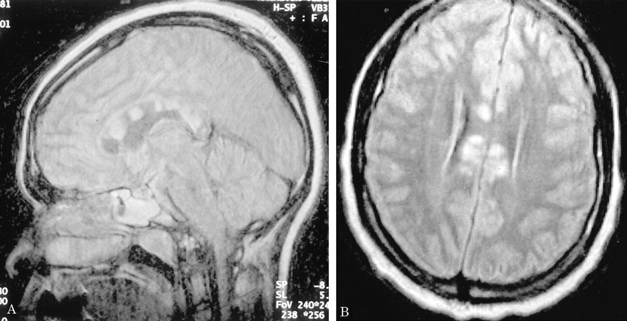
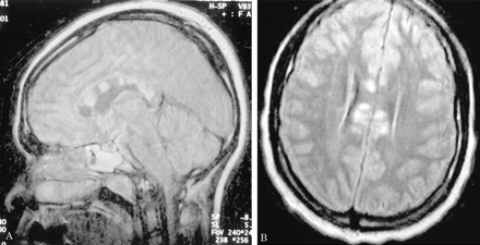
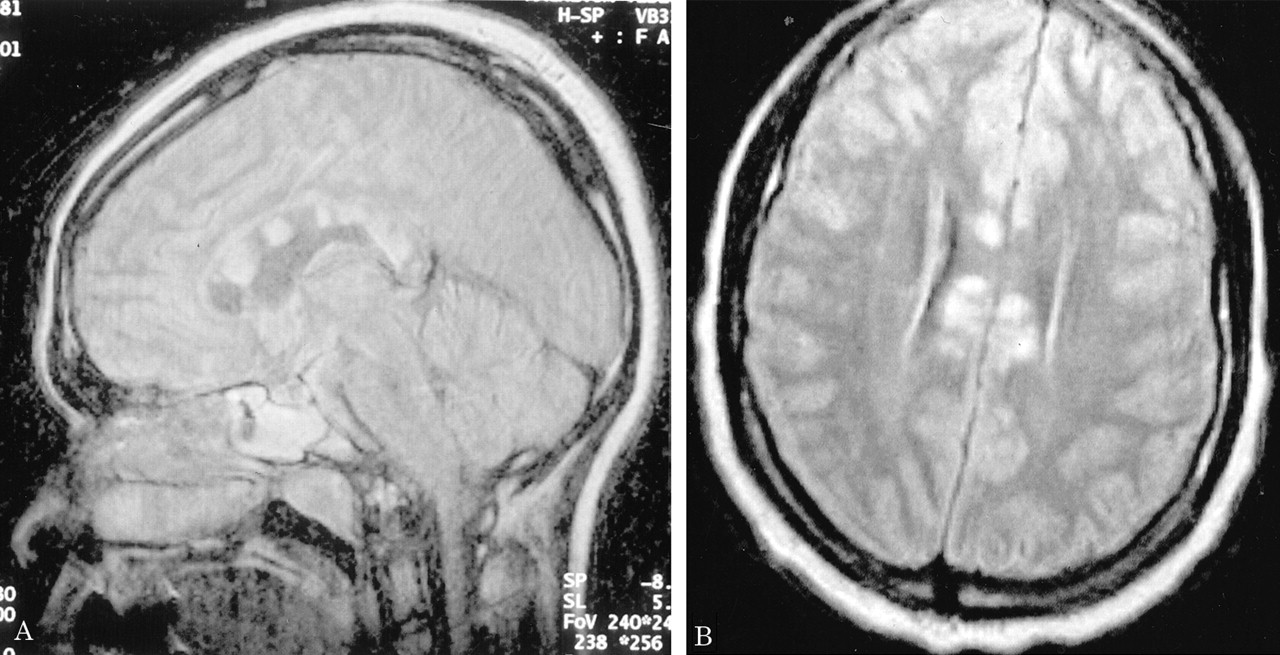
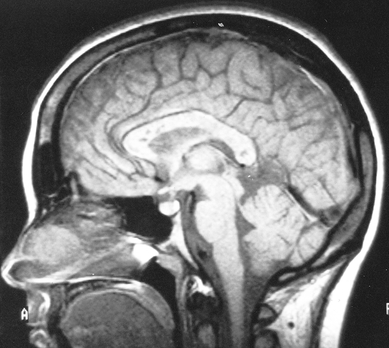
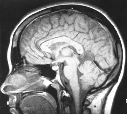
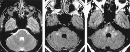
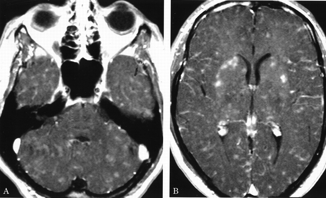
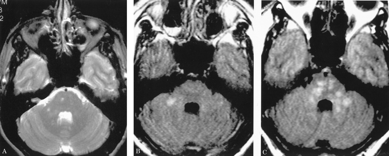
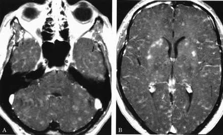
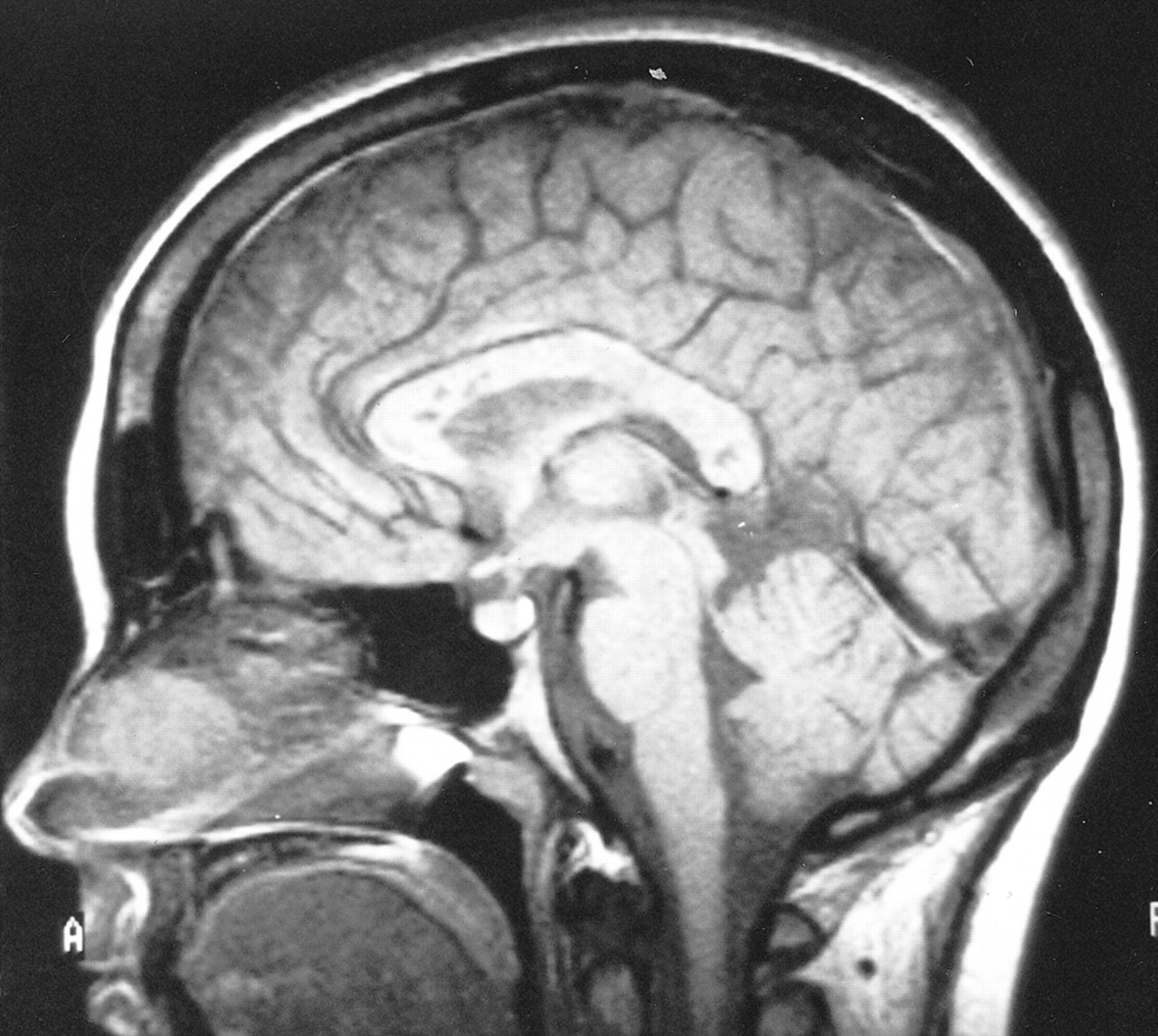
多病灶的幕上的白质病变,包括胼胝体(图1),在所有27个病人,有频繁的参与小脑,中间小脑总花梗,和脑干图1,表)。病变众多,往往是小(3 - 7毫米)但有些小病变成为支流和一些大的(> 7毫米)。19病人实质增强,当明显,导致大脑的粟粒状的外观(图2)。胼胝体的损伤通常是小的,并且涉及中央与周边的相对保留纤维;增强是变量。急性胼胝体的病变(图3)中观察到的活动脑病取而代之的是一个“充满”/穿孔先生出现在后续所有27例(图4),可能代表microinfarctions,没有出现在其他地方。胼胝体,最好在薄片(3毫米厚)矢状T1或T2矢状/质子密度加权图像,由一系列小(3毫米)中央孔相隔7毫米矢状T1和T2矢状/质子密度图像。这些扩展在整个长度的胼胝体。当急性(“雪球”)(见大图3)胼胝体的病变,慢性残余孔较大,尤其是在压部。线性缺陷有时看到的,可能反映microinfarction间接辐射在胼胝体轴突。中央孔(见图4)被认为是由于横向辐射的胼胝体轴突的微型心肌梗塞的可能性。
有深的灰色基底节和丘脑病变19病人(参见表),通常体现在T2信号强度增加,质子密度,和天赋的图像。大病变类似“巨大陷窝”43并建议纹状体外动脉增的广泛参与。三个这样的病人显示这些病变显著增强,伴随着leptomeningeal增强。实质增强(见图2)有关的大脑区域,偶尔与leptomeningeal增强(见相关表)。串行扫描被执行,增强可能是更常见。脑病减弱和病人开始恢复,只有残余病灶中央(见胼胝体的洞图4)和一些白质病变。在两个病人,增加信号强度变化在胼胝体伴随着中央胼胝体的洞在最初的MRI检查。更严重影响病人、脑和小脑萎缩随之而来。在两个这样的实例,胼胝体越来越萎缩,前面提到的胼胝体的洞几乎消失了。
讨论。
所有27个患者脑白质病变胼胝体的参与。19(70%)也有深的灰色病变,和9 (33%)leptomeningeal增强。这些发现先生的相关临床三合会的党卫军,甚至三元素,似乎是特殊的。党卫军经常被误诊为女士或者亚当因为杰出的白质病变。1、3、40⇓⇓胼胝体的病变,具体来说,被认为是“一个敏感的和具体的指标“女士在一份报告中称44写来区分与年龄相关的微血管缺血性变化(不涉及胼胝体)的脱髓鞘疾病。我们的一个病人是一个58岁的男人的白质病变可能很容易被误解为年龄相关,除了党卫军的特点胼胝体的发现。
我们试图回顾以前所有SS患者的案例报告,以确定有多少人胼胝体的参与。这是困难的,因为许多作者简单描述普遍没有特别提及胼胝体白质病变。有时,先生发布的图片显示胼胝体的参与。网上表格e 1 (www.neurology.org)分解51 SS患首页者先生从共有35个独立的报告。51岁的患者,32胼胝体的病变,要么是特别提到在数字出版的文本或明显或在我们的个人评估的实际扫描。我们不能确定胼胝体的参与20例。
只有一个病人与正常扫描报告。22病人出现记忆丧失、眩晕、共济失调,视觉模糊,后来发达BRAO和听力损失。病人已经稳定了15年;据说几年前的后续扫描显示几个“白点”(个人与j . Bogousslavsky沟通)。初代扫描仪可能错过了小病变和钆并不可用。扫描获得的可能是过早的影像学检查发展,但基于其他发表报告,全面脑病患者从党卫军先生不应该有一个正常的,至少在目前的成像技术。
在一些患者中,白质变化是最小的程度与严重程度的脑病。双倍剂量与磁化钆转移可能显示(见更广泛的变化图2),这将有助于解释这个明显的临床/差距先生。我们使用这个序列只在我们的一个病人,然而。
正常,可能是预测患者的听力损失和BRAO,但没有脑病。我们两个(J.O.S.和F.E.C.)见过三位病人没有脑病中央胼胝体的变化。
1991年,我们中的一个(A.D.G.)图像与中央黑洞先生发表在被错误地归因于ADEM的胼胝体。44病人的诊断是不清晰的,回想起来,几乎肯定是党卫军。中央胼胝体的孔女士在党卫军ADEM的不是一个特性或与学生相比,胼胝体的参与女士和亚当在底面的胼胝体隔接口。44尽管胼胝体的任何部分在党卫军可能受到影响,胼胝体的病变通常涉及中央纤维,与外围的相对节约。基于微血管血液供应(图5),44-46⇓⇓microinfarction应该涉及中央的胼胝体纤维。深灰色女士很少参与,但通常发生在儿童外,特别是在丘脑。47Leptomeningeal增强,指出在9我们的27例,与女士或ADEM不发生。
胼胝体病变的大小通常是3 - 7毫米,暗示闭塞的小前毛细管的小动脉中低于100μm胼胝体。44-46⇓⇓这个小尺寸超出动脉造影术的决议,这是几乎总是在SS患者正常。这些胼胝体的微型心肌梗塞的可能性出现最好在3毫米矢状(T1 / T2 /质子密度/天赋)部分,但更大的矢状“雪球”病变也明显的轴向视图(见图3)。
确认
作者感谢医生的转诊病人后,磁共振成像,和临床数据Susac综合症患者:苏珊•Andracchi医学博士威尔明顿数控;芝加哥,医学博士Richard Bernstein, IL);南希Bonachier医学博士,佛罗伦萨,SC;摩根大通(J.P.骑士,PA,宾夕法尼亚州匹兹堡;医学博士James j . Corbett杰克逊女士;布拉德·法里斯,MD,俄克拉荷马城,好;斯科特·s·费勒博士纽波特海滩,CA;多琳Fialho医学博士,英国伦敦;瑞士巴塞尔约瑟夫诡计,医学博士;本杰明·a . Frishberg医学博士,华盛顿特区; Richard M. Garcia, MD, Sarasota, FL; T. Haufschild, MD, Basel, Switzerland; T. Heckman, MD, Oroville, CA; George J. Hutton, MD, Dallas, TX; Eric Kraus, MD, Seattle, WA; Paul Latkany, MD, New York, NY; Richard P. Lenahan, MD, Temple, TX; Leah Levi, MD, San Diego, CA; Claudia F. Luchinetti, MD, Rochester, MN; Peter McCluskey, MD, Sydney, Australia; Jerry Maitland, MD, Tallahassee, FL; Charles A. Mango, MD, Syracuse, NY; Clyde Markowitz, MD, Philadelphia, PA; Luis Mejico, MD, Syracuse, NY; Hani A. Midani, MD, Albany, NY; Douglas J. Mogle, MD, Melbourne, FL; Carlos L. Perez, MD, Dallas, TX; George Petty, MD, Rochester, MN; Steven Putnam, MD, Charlotte, NC; S.R. Rana, MD, Pittsburgh, PA; George P. Rice, MD, Ottawa, Canada; Eric J. Russell, MD, Chicago, IL; Rosa Tang, MD, Houston, TX; Daniel Tesfaye, MD, Wilmington, NC; E. Uyama, MD, Kumamoto, Japan; James P. Valeriano, MD, Pittsburgh, PA; John Watson, MD, Sydney, Australia; Brian G. Weinshenker, MD, Rochester, MN; Max H. Williams, MD, Queensland, Australia; James M. Winkley, MD, Crestview Hills, KY; and Mitchell P. Wolin, MD, Greenville, SC.
对以下引用非材料显示胼胝体的参与:
总在兆瓦,克劳克兰RS。微血管病视网膜病变,脑病和耳聋(红色m)和系统性特征。Semin关节炎感冒21:123 1991;128年。
质量为M, Bourdette D,伯恩斯坦W, Hammerstad j .视网膜病变脑病,耳聋相关微血管病(红米综合征):三个新病例。首页神经学1988;38 17 (1):215。
Wildemann B, Schulin C, B Storch-Hagenlocher et al。Susac综合征:改进联合抗血小板和钙拮抗剂治疗(信)。中风27:149 1996;151年。
Weinshenker BG, Lucchinetti CF。急性脑白质病:鉴别诊断和调查。神经学家1998;4:156 - 161。
Fialho D,福尔摩斯P, Riordan-Eva P, Silber大肠头痛得眼睛发花充耳不闻(Susac综合征)。实用神经病学2002首页;(2):358 - 361。
脚注
附加材料与本文可以发现首页网站。去www.neuro首页logy.org和向下滚动12月23日发行的目录找到本文的标题链接。
- 收到了2003年7月28日。
- 接受2003年10月17日。
引用
- ↵
- ↵
- ↵
- ↵
- ↵
- ↵
- ↵
伊根RA,阮TH,盖斯DM, Rizzo摩根富林明,Tivnan J, Susac乔。视网膜动脉壁斑块在Susac综合症。是J角膜切削。2003;483年-486年。
- ↵
- ↵
- ↵
- ↵
- ↵
- ↵
- ↵
- ↵
- ↵
- ↵
- ↵
- ↵
- ↵
- ↵
- ↵
- ↵
Tashima K, Uyama E,桥本Y, Yonehara T, Uchino Susac综合征:在日本情况下皮质类固醇治疗的有利影响。内科(东京)。2001;40:135年-139年。
- ↵
- ↵
- ↵
- ↵
- ↵
- ↵
德维斯IA,写到JD, Valcarcel Gonzalez-Herrero BR,梅洛NM, Cervantes-Nicolast AJ。对德Susac科莫的hipoacusia neurosensorial。适配器Otorrinolaringol Esp。2002;53:379年-383年。
- ↵
- ↵
- ↵
- ↵
- ↵
玛丽我,Guegan-Massardier E,几何H, Favennee L, Cailleux N,科特伊斯H . Susac综合征或retinocochlcocerebral血管病变:误诊和被忽视的障碍。欧元J Int地中海。2000;11:108年-188金宝慱官网下载111年。
- ↵
- ↵
- ↵
- ↵
- ↵
- ↵
佩雷斯CL,舒尔茨年代,詹森R, Chason DP。Susac综合征:先生发现模仿多发性硬化症。在ASNR年会;2003年5月28日4月2日。
- ↵
- ↵
- ↵
费舍尔厘米。纯电机半身不遂的血管起源。拱神经。1965;13:30.-44年。
- ↵
- ↵
- ↵
- ↵
信:快速的网络通信
-
回复Lim et al
- 约翰Susac,50第二街,SE,冬天还,高度层33880jsusac@neurohaven.com
- r .问题公元欧洲甜樱桃、F.R. Murtagh R.B.荷
2004年2月5日提交 -
核磁共振发现Susac综合征
- CC TchoyosonLim,国家神经科学研究所、神经放射学,11道路tank Tock,新加坡308433Tchoyoson_Lim@ttsh.com.sg
- 柴大麻Tan T Umapathi
2004年2月5日提交
你可能也会感兴趣
提醒我
推荐的文章
- 居民和其他部分
临床推理:一个女人与亚急性进步的混乱和步态不稳詹妮弗·m·Martinez-Thompson雨果·博塔,布莱恩·s·卡茨et al。
首页神经学,2014年7月28日 - 居民和其他部分
与脑病临床推理:一名28岁的孕妇扎卡里·m·Grinspan约书亚z开松机,Mark j . Tullman et al。
首页神经学,2009年10月12日 - 观点和评论
免疫介导的光谱和脑干的炎性病变诊断的线索
赖阴法,d .肖恩Riminton MaiAnh阮等。
首页神经学,2019年8月26日 - 文章
在Susac视网膜病理综合症被spectral-domain光学相干断层扫描马吕斯Ringelstein,菲利普·阿尔布雷特,每一个的Kleffner et al。
首页神经学,2015年7月22日


