零星的克雅二氏症
罕见的临床和诊断特征VV1类型
做出评论
看到评论
文摘
背景:最近,六分子亚型的零星的库贾氏症(sCJD)已确定显示差异有关疾病,neuropathologic损伤模式,和敏感的诊断工具。罕见的VV1类型的事件已报告。
摘要目的:描述临床特点和neuropathologic病变概要文件在9例。
方法:571年1993年,直到2003年年底,明确的神经病理确诊病例的零星库贾氏症在德国被确定。其中九个是纯合子缬氨酸和显示病理PrP的1型Sc在大脑中(VV1类型)。
结果:作者描述八男一女属于VV1类型。所有患者在疾病发病相对年轻(平均44年vs 65年所有sCJD)与长期疾病持续时间(中位数在所有sCJD) 21个月和6个月。在最初的阶段,他们的主要临床症状是人格改变,慢慢地进步痴呆以及局灶性神经赤字。没有一个九VV1患者周期性尖波复合物(PSWCs)脑电图。只有两个显示典型的信号增加基底神经节的磁共振成像,而信号增加皮层的所有病人。14-3-3蛋白水平升高CSF在所有情况下测试。
结论:sCJD VV1类型的临床诊断的最好支持的14-3-3测试和皮质增加核磁共振信号。因为发病年龄的年轻vCJD症鉴别诊断有时被怀疑。MRI中扮演一个重要的角色在区分这两种疾病类型,应该表现在发病的早期。
经典的克雅氏病(CJD)类型的特点是快速进行性痴呆、共济失调、肌张力异常、肌阵挛。它会导致运动不能的状态哑和死亡的疾病持续时间中值后6个月。1
最近,六种不同的分子亚型(MM1,平方毫米,1/2 MV1、MV2 VV1, VV2)的零星的形式疾病(sCJD)已确定,基于methionine-valine多态性朊病毒蛋白基因的密码子129 (含有朊)和两种不同类型的朊蛋白(PrP)Sc类型1和2)。2后者的蛋白酶K消化后显示大小不同,因此可以通过电泳区分。
库贾氏症亚型不同有关疾病,发病年龄,和敏感的诊断测试。1
最常见的疾病类型(70%,MM1, 1/2 MV1)的特点是周期性尖波复合物(PSWC)脑电图,信号增加基底神经节的MRI (T2 -,液体衰减反转恢复(天赋),和diffusion-weighted图像[醉酒驾车]),在脑脊液和14-3-3蛋白。3 - 5
相比之下,第二个最频繁发生的类型,VV2类型(25%),表现为共济失调和痴呆,呈现神经功能,平均持续时间为7.5个月,缺乏典型的脑电图的发现。1、2
最罕见的亚型的VV1类型代表一个库贾氏症(只有1%的情况下)。2经典sCJD类型相比,这些患者发病特点是一个年轻的年龄,病程很长,只有慢慢进步痴呆(传达亚型)。1、2、6 - 9相似的临床特点有时提出了怀疑的变异型克雅氏病(vCJD)作为鉴别诊断。10因此,本研究的目的,进一步的临床和诊断特征描述VV1类型基于当前的疾病知识和识别因素帮助vCJD区分开来。
方法。
据报道,疑似库贾氏症患者库贾氏症监测单元在哥廷根,成立于1993年。通知后,疑似病例检查医生在医院的一项研究报告病人,和一个问卷调查关于病人的历史(职业、习惯、肉类消费)是和亲人一起填写。此外,副本由医学图表(临床发现,实验室测试)以及脑电图和MRI和神经系统检查。根据临床症状、脑电图和CSF发现,患者根据既定的标准进行分类。11他们的核磁共振扫描评估由neuroradiologist(株式会社)是谁知道库贾氏症的诊断,但不知道疾病的亚型。脑电图显示了标准的标准。3
遗传分析。
朊病毒蛋白基因的分析(含有朊)进行隔离后按照标准方法从血液基因组DNA。12
神经病理学。
组织学检查进行4-μm-thick部分formalin-fixed和脑组织石蜡包埋块。苏木精和伊红染色以及免疫化学,进行使用标准技术。单克隆抗体138和PrP L42被用于免疫组织化学检测Sc。在所有情况下宠物污点。13
免疫印迹(西方墨点法)。
PrP的免疫印迹概要文件Sc分为1型(unglycosylated PrP吗Sc20日至21日的kD)或2型(unglycosylated PrPSc18日至19日kD)基于电泳淌度后蛋白酶K消化。14
得分概要文件。
克雅氏病疾病的病理变化包括海绵状变化,神经胶质过多症,神经损失。这些变化的程度得分(缺席= 0,轻度= 1,中度= 2,严重= 3,最大= 4)额叶、扣带回、顶叶、颞、枕叶皮层和皮质的大脑外侧裂,壳核、海马CA1,形成和小脑蚓体cerebelli。标准的地区还没有在三个病人。
临床检查。
存在典型库贾氏症的患者进行症状(痴呆、共济失调、锥体和锥体束外的迹象,肌阵挛,和无着丝粒的缄默症)。痉挛状态被认为是现在如果强直性增加典型(折刀现象)或如果锥体迹象和夸张的肌肉反应。硬度通常被认为是现在如果强直性增加蜡状或齿轮现象被发现。进一步的失用症等症状,失语症、构音障碍、视觉障碍、感觉障碍、幻觉,和偏执狂并不总是记录的所指的研究医生或医院,这可能是由于限制与病人沟通和通用诊断不困难突出的干扰。
结果。
集体学习。
从1993年到2003年,九VV1 sCJD病例诊断的分子分析朊蛋白基因(含有朊)和免疫印迹分析冰冻的脑组织。的情况下进行的突变含有朊。
这项研究由8个男人和一个女人(显著性差异的男性,女性比例与健康人群相比,p= 0.039,一个示例测试二项式分布)。发病的平均年龄是44岁(19 - 55年)。疾病持续时间的中位数是21个月(17-49月)(表1)。
临床发现。
主要CJD-presenting九VV1病例症状包括患痴呆症慢慢九个我们研究的患者(6)和人格改变(三9)。两个病人有头痛(除了痴呆)和一个病人显示失用症的第一个迹象(见右边表1)。
在疾病过程中,所有患者痴呆和人格改变(侵略和幼稚的行为在5例,恐惧在三种情况下,偏执在一个案例中),9个发达的性紧张异常(4例刚度和痉挛状态,一个病人与刚度,在两种情况下,性紧张增加没有明确定义,一个病人显示角弓反张)。共济失调和肌阵挛都发现在5 9个病人。
痴呆和精神障碍表现症状是紧随其后的是共济失调(平均7个月),刚度(平均9个月),肌阵挛(平均10个月),和痉挛性强直性增加(平均12个月)。
在五个病人,局灶性神经系统疾病过程中出现迹象。一个病人(7例),失用症显示右手的第一个信号,开发hemineglect在右边,布洛卡失语症,右侧偏瘫发作后3个月。另一个病人(例9)显示垂直凝视麻痹发病后5个月。开发的轻偏瘫3例(3 8和9个月后出现)。此外,奔袭hypacusis(发病后9个月)和奔袭偏盲(发病后11个月)被观察到在两个病人。进一步报告症状是失用症,视觉和感觉障碍,幻觉,癫痫发作,chorea-ballismus。
诊断测试。
所有9名患者进行脑电图、磁共振成像和在疾病课程(见腰椎穿刺表1)。
脑电图。
八,九患者至少三个脑电图进行。七个病人显示焦点在疾病过程减缓。这一发现已经在4例可见第一脑电图(中位发病后4个月)。五个病人显示焦放缓的颞叶(主要是单方面),在两种情况下,2例额叶和枕叶也受到影响。一个病人的脑电图评估显示左半球的重点。典型的周期性尖波复合物(PSWCs)并没有在我们的病人。脑电图检查进行了7个月的平均发病后4到17个月(范围)。
核磁共振成像。
我们评估了天赋和T2图像7的9个病人。一个醉酒驾车和一个质子density-weighted形象(PD)除了可用(表2和图1中,通过D)。除了一个病人(例3)检查后整体疾病持续时间的三分之一。所有七个病人显示皮层信号增加,而只有两个病人显示hyperintense基底神经节。受影响的大脑区域通常是颞叶(所有的病人),脑岛和海马体(6例),其次是额叶、顶叶、枕叶和扣带回(5例)。病人呈现焦迹象,相应的MRI大脑区域受到影响:额叶是显示失用症和失语症患者的影响,在病人显示hypacusis颞叶,枕叶视觉障碍患者。
SPECT /宠物。
9名患者接受了核诊断测试的SPECT(5例)和宠物等(1例)(表e 1,上可用首页网站www.首页neurology.org)。在核磁共振成像中,颞叶是最常受影响(6例),其次是顶叶(5例)以及额叶和枕叶(4例)。
CSF。
在所有的病人测试(八,九)14-3-3脑脊液蛋白被发现。考试后进行中位数在发病后的7个月时间。在一个病人,14-3-3蛋白已经检测到后3个月。另外两个病人14-3-3蛋白还发现13和14个月后(例4和6)。串行穿刺进行三个病人。在其中的一个,14-3-3蛋白是不再检测到在第二个和第三个穿刺(14至18个月后出现)。
神经病理学。
广义皮质萎缩主要被发现在所有调查患者(5例)(表依照)。典型VV1患者,皮层和基底神经节被海绵状变化和神经胶质过多症严重影响。在大脑皮层区域之间,顶和脑岛地区显示最突出的变化,其次是枕叶和颞叶。在一个病人(例3),严重的海绵状变化是局限于颞叶皮层和脑岛,而其他皮质区域显示只有轻微的参与。
PrP存款是免疫组织化学检测到三的小地区的6例小脑分子层。利用宠物污点技术,proteinase-resistant朊蛋白存款在皮质可检测,基底神经节和小脑(主要是在分子层)的患者。
风险因素。
我们分析了潜在库贾氏症危险因素在文献中讨论。15日16五9名患者的积极精神疾病家族史。5名患者有手术史(扁桃腺切除术3例,分别手术鼻旁窦、尿道狭窄,杀菌,和肠活检1例)。关于环境的风险因素,两个病人一直在农场工作,一个病人在医院工作,所有患者食用牛肉至少一个月几次,和四个病人报告吃牛肚和肝脏。
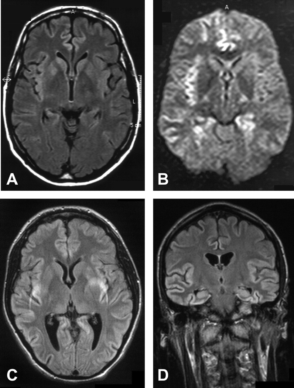
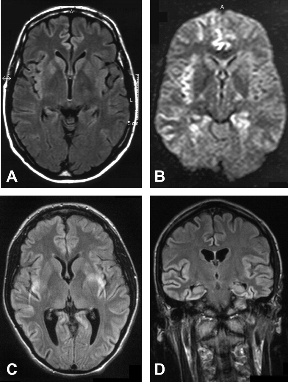
下面的案例报告是选择来说明一个典型的MRI显示信号增加大脑皮层区域在一个案例中(8例)和SPECT异常在另一个(例4)。
案例报告。
案例8。
一名46岁男子原本睡眠障碍,害怕,紧张,最初被归因于他的失业。之后他开发短期记忆丧失,严重头痛,和减肥,他吓了一跳。
他住院两个月后出现症状。核磁共振成像显示信号增加额叶和颞叶T2。天赋还显示一个信号增加parieto-occipital叶和海马。开始三个月后,病人被送去精神病院,因为他行为异常发达,成为害怕电。四个月后开始,他的神经状态仍然是正常的,除了抑制眉间反射和轻度痴呆(21 30分的细微精神状态检查)。当时MRI显示更少的参与fronto-parieto-occipital叶但轻微的信号变化的基底神经节(右尾状核头在左边)(见图1一个)。SPECT显示低灌注的左颞叶。但是没有PSWCs脑电图显示间歇性theta-delta活动。病人在疾病发作10个月后死亡。
例4。
一个44岁的男人原本性格变化。他很紧张,说他的孩子。三个月后他有神经衰弱。他开始失眠、多汗,变得消沉,而显示短期记忆丧失。核磁共振后7个月开始显示的信号增加海马在T2。一个月后信号改变左temporo-occipital叶和扣带回被认为天赋。
在疾病的进一步的课程他发达的视觉障碍,眩晕,手和脚的麻木。他取得了14 30分的细微精神状态检查。SPECT显示左脑灌注不足(图2)。脑电图显示在左额颞叶瓣的关注。病人发展幼稚的行为和言论的损失。一年后开始他的运动不能的哑,显示增加肌肉和肌阵挛。他仍然在这种状态下1年和后死亡疾病的2年。
讨论。
群内零星库贾氏症患者,六子类型已确定由遗传和分子分析。其中,VV1类型代表了稀有。
与经典的类型与快速痴呆老年,VV1 sCJD病人年轻(通常是50岁以下)和更频繁的男性(意义重大,p= 0.039,一个示例测试二项式分布):关于文学和我们自己的情况下只有3 16 VV1患者是女性,这导致了女性对男性的比例为四比一。
VV1情况下的疾病持续时间在这项研究从10到49个月不等。
在文献中,疾病持续时间最短VV1患者被报道为10个月,最长的31个月。1,8疾病持续时间的中位数所有VV1病例已知日期是18个月(范围10 - 49)。
重要的是要注意,我们的两个VV1痴呆的患者也明显超过时间规定的标准可能和可能的库贾氏症(小于2年),必须归类为“没有”如果他们没有经历neuropathologic考试。11相对漫长的疾病持续时间只有报道MV2类型(平均17个月,10例),罕见的专业类型(平均14个月,3例),以及vCJD和遗传病例。1、17感兴趣的,有些患者数目类型近日报道显示相似VV1患者对皮质的MRI信号模式的增加,没有PSWCs脑电图,和长时间的疾病。18
对于临床疾病,VV1患者通常发展缓慢进步痴呆和行为障碍的疾病。这些症状主要是保持唯一的异常很长一段时间(平均7个月),经典库贾氏症类型相比,认知能力下降通常是伴随着进一步周后神经症状。
这前驱期之后,进一步库贾氏症症状如共济失调(平均7个月),刚度(平均9个月),肌阵挛(平均10个月),或痉挛(平均12个月)。因此怀疑库贾氏症只在后面的疾病阶段(主要是与肌阵挛发作)。
在文献中痴呆被描述为唯一VV1类型的主要临床特征,可能是因为小的患者数量的时间。1、2我们现在可以报告人格改变所有VV1患者中发现的另一个特点。主要的精神特征是攻击行为(5例)、回归幼稚的行为(5例)、和恐惧(3例)。
认知能力衰退的早期发病和人格改变可能是由于大脑皮层的早期情感以及边缘系统,这将是符合著名neuropathologic这些领域的参与和频繁的信号增加皮质和海马体的磁共振成像。有趣的是,只有这三个病人已经出现行为异常显示一个强烈的信号显示增加MRI海马区域。
VV1病人的另一个特点,局灶性神经赤字被认为在五9个病人,包括轻偏瘫、hemineglect,偏盲,布洛卡失语症,以及片面的失用症。由于整体疾病持续时间延长,病变缓慢影响各种功能系统,震源信号经常可以见到VV1患者比MM1库贾氏症情况下有一个相对快速的参与整个大脑。
库贾氏症的临床诊断是基于脑电图(周期性尖波复合物[PSWC]), CSF(14-3-3蛋白的发现)和核磁共振(hyperintense基底神经节的信号)与各种临床症状。不同诊断方法的敏感性,取决于底层sCJD亚型,已报告。1日19
至于VV1病人,没有有用paraclinical test-apart CSF-could 14-3-3蛋白检测的是,到目前为止。1它最近表明这个测试的敏感性sCJD亚型之间的不同。20.
八VV1病例检查在这项研究中都积极CSF中14-3-3蛋白。与文献结果一致(表e - 3), 14-3-3蛋白被发现在所有测试患者的CSF但没有典型的脑电图结果(PSWC)被发现(尽管脑电图进行反复发作后7个月的时间中位数)。焦放缓,然而,似乎是一个频繁发现VV1患者(7的9个病人所显示),和符合局灶性神经症状和主要neuropathologic皮层和基底神经节的感情。
增加核磁共振信号中检测出所有VV1患者的皮层区域。在文献中,大脑皮层信号增加据报道在单一VV1案例报告。在我们的案例中,颞叶皮层的影响通常7例(7),其次是海马和脑岛(6 7例,每个)。
信号增加海马没有被描述为一个典型的发现在sCJD和只有两次。21日,22日频繁出现的异常在我们VV1病例表明,它可能是一个特定功能的罕见的库贾氏症亚型。
基底神经节作为典型的MRI信号改变已报告发现63%的sCJD病例(包括只有t2加权核磁共振成像)。19然而,只有两个七VV1患者显示异常。在一个案例中,这些变化是t2加权图像上可见发病后4个月。其他病人显示只有轻微的信号增加右尾状(相对于左尾状)在第一次扫描开始3个月后(T2,天赋)和更突出的一分之一FLAIR-weighted随访检查开始后3.5个月。少见的原因的基底神经节信号异常可能是diffusion-weighted图像,最敏感的技术,只是在我们的一个情况下使用。23
据报道Hyperintense基底神经节与早发性痴呆和较短的生存时间在零星的库贾氏症(所有亚型)。19有趣的是,我们两个VV1病例显示基底神经节信号变化是病程最短的患者(10个月和18个月),这是符合这一观点。
在核磁共振,颞叶也经常在SPECT和PET的影响。
最早的SPECT发现我们的一个病人是一个低灌注的颞叶发病后3个月。患者检查后5个月或之后显示广泛的皮层的参与。然而,正如之前提到的其他作者,没有具体的损伤模式到目前为止已经发现了库贾氏症。24日,25
长期疾病,在疾病发作,年轻的时候频繁的精神病症状,相对缓慢进步痴呆都特点VV1 sCJD和vCJD症。区分这两个病人群体很难随着年龄范围有关疾病以及疾病持续时间很大程度上重叠(表)的军医。14-3-3蛋白的缺失的CSF和信号增加枕在MRI(枕)可能诊断转向vCJD症。相比之下,14-3-3蛋白的存在和MRI海马信号增加可能代表VV1 sCJD。
枕的签署最具体的标准的诊断vCJD-is清楚地定义为双边hyperintensity丘脑枕的与前壳。26据我们所知,只有一个案例的VV1 sCJD报道介绍核磁共振的结果根据这个定义。10因此,为了避免假vCJD症的诊断,特别要注意信号之间的关系增加个人的大脑区域。
进一步诊断和简单的方法来排除可能的确定病人的分子类型。直到今天都vCJD症病例报告是蛋氨酸129密码子纯合子的朊蛋白基因,基因分析可能是最快的方式来区分vCJD缬氨酸的纯合子VV1 sCJD。27然而,这是唯一有价值的,只要没有vCJD症患者的其他分子类型的报道。
承认
作者感谢医生通知德国库贾氏症疑似病例监测单位提供相关的临床、neuroradiologic和生化数据以及他们的帮助获得脑脊液标本。他们也谢谢b . Steinhoff博士教授复查脑电图,莫妮卡Bodemer和芭芭拉Ciesielczyk 14-3-3分析,玛雅Schneider-Dominco和Jolanthe Zellner支持数据管理和编辑的手稿,和卡若拉克勒,遗传流行病学、帮助统计数据。
脚注
附加材料与本文可以发现首页网站。去www.首页neurology.org和向下滚动11月22日发行的目录找到本文的标题链接。
编辑,看到页面1520年
这篇文章曾发表在电子格式作为加快E-Pub 10月12日,2005年www.首页neurology.org。
支持由Bundesministerium毛皮陶冶和大幅减退(BMBF 01 gi0301和KZ: 0312720),欧盟委员会(EC) (qlg3 - ct - 2002 - 81606),和Bundesministerium毛皮一厢情愿(BMG az325 - 4471 02/15)。
披露:作者报告没有利益冲突。
2005年2月24日收到。2005年8月24日接受的最终形式。
引用
- 1。↵
- 2。↵
- 3所示。↵
- 4所示。
- 5。
- 6。
- 7所示。
- 8。
- 9。
- 10。↵
- 11。↵
谁。人类的传染性海绵状脑病。《疫情周报》上1998年;47:361年-365年。
- 12。↵
- 13。↵
- 14。↵
- 15。↵
- 16。
- 17所示。
- 18岁。↵
- 19所示。↵
- 20.↵
- 21。↵
- 22。
Grisoli M, Bruzzone毫克,Giaccone g·克雅二氏症的MRI的诊断价值。J神经1999年;246年:34。
- 23。↵
- 24。↵
德国汉高K,情节剧电影J, Zerr我,等。单光子发射计算机断层扫描(SPECT) 19克雅二氏症患者。J神经1999年;246年17 (1):我/ 102。
- 25。
- 26岁。↵
- 27。↵
信:快速的网络通信
你可能也会感兴趣
相关文章
提醒我
推荐的文章
- 文章
零星的克雅二氏症磁共振成像和临床结果
b•迈斯纳k·科勒,k Kortner et al。
首页神经学,2004年8月10日 - 文章
表型变化致命性家族失眠症(d178n - 129 m)基因型Zerr, a . Giese o . Windl et al。
首页神经学,1998年11月1日 - 文章
高发病率的基因在意大利人类传染性海绵状脑病a . Ladogana m . Puopolo Poleggi et al。
首页神经学,2005年5月9日 - 文章
继承与5-OPRI朊病毒疾病表现型修改129年重复长度和密码子
美国米德,t·e·f·韦伯,t·a·坎贝尔et al。
首页神经学,2007年8月20日


